Cookie Consent byPrivacyPolicies.comPhobie du travail - Eugenol

Phobie du travail

delphina06

10/04/2014 à 12h32

Coucou tout le monde,
je vous lis souvent, mais je participe peu à vos discussions.
Je suis en train de développer une phobie du boulot depuis que j'ai rencontré une amie qui s'est fait contrôler par la sécu. Apparemment, ils lui ont demandé de rembourser des actes qu'ils considéraient comme injustifiés (comme par exemple des panos qu'elle prescrivait avant les soins pour "débroussailler le terrain"). Je connais bien cette fille, on a fait nos études ensemble, elle n'est vraiment pas du genre à magouiller, elle est même un peu trop honnête. Elle a vraiment été traitée comme une "criminelle". Je suis dégoutée que des praticiens honnêtes soient traités de la sorte, et du coup, j'ai une phobie qu'un tel contrôle me tombe dessus. Je n'ai rien à me reprocher, mais évidemment, je ne suis pas parfaite non plus. Donc, s'ils veulent trouver la petite bête, ils la trouveront. Merci de m'avoir lue


alex33

10/04/2014 à 12h34

Sincérement, une pano pour un bilan, je vois pas en quoi ils peuvent demander de rembourser. Qu'ils demandent plutôt un remboursement des endos à 5 mm de l'apex, peinture canalaire , screw post et couronne en surcontour, ils auront plus de sous à récupérer.


delphina06

10/04/2014 à 12h38

Ils ont demandé également le compte rendu détaillé de ses panos. Evidemment, elle ne l'avait pas fait


Images qct94b - Eugenol
themumbly

10/04/2014 à 12h42

il faut juste relativiser c'est pas si grave....un exemple, mardi je n'en pouvais plus, j'ai donc pris mon aprem et je suis allé courir...j'ai passé une excellente journée


1309531 ours brun n5iukf - Eugenol
seespan

10/04/2014 à 12h50

delphina06 écrivait:
--------------------
> Ils ont demandé également le compte rendu détaillé de ses panos. Evidemment,
> elle ne l'avait pas fait

Dans ce cas elle ne peut rien faire. Le compte rendue est une obligation. Pas de compte rendue = tu dois rembourser le soins.

La France un des seul pays ou tu a plus de chances de te faire alligner pour une faute administrative que médicale


--
หมอจัดฟัน


Gregory H

10/04/2014 à 12h55

delphina06 écrivait:
--------------------
>
> une amie qui s'est fait contrôler par la sécu. Apparemment, ils lui ont demandé
> de rembourser des actes qu'ils considéraient comme injustifiés (comme par
> exemple des panos qu'elle prescrivait avant les soins pour "débroussailler le
> terrain").

On lui demande des indus sur la seule prescription d'opt ou sur leur réalisation?

EDIT:

delphina06 écrivait:
--------------------
> Ils ont demandé également le compte rendu détaillé de ses panos. Evidemment,
> elle ne l'avait pas fait

On lui demande des indus sur des opt qu'elle a seulement prescrits?
C'est au radiologue de rédige ce compte-rendu.


Abeille lzfkas - Eugenol
domi38

10/04/2014 à 13h14

Gregory H écrivait:
-------------------

> On lui demande des indus sur des opt qu'elle a seulement prescrits?

Exact, j'ai lu trop vite et je pensais qu'elle réalisait ses panos.
Et même dans ce cas, tu fais les comptes-rendus à postériori, non?


Gregory H

10/04/2014 à 13h23

domi38 écrivait:
----------------
> Et même dans ce cas, tu fais les comptes-rendus à postériori, non?


Ben oui.


CHIRDENT

10/04/2014 à 13h28

Dans ces cas, il faut s'entourer de gens compétents dans le domaine juridique spécifique.

Il existe l'association " Droit Dentaire " qui est composé d'avocats et de confrères experts qui ne lâchent pas le morceau tant sur la forme que sur le fond en cas de procédure de contrôle d'activités.

http://www.droit-dentaire.fr/index2.html


Q42955962076 4064 lcuc3e - Eugenol
dentino

10/04/2014 à 14h43

delphina06 écrivait:
--------------------
> Je suis dégoutée que des
> praticiens honnêtes soient traités de la sorte

Hé oui, on traite les praticiens trop consciencieux comme des criminels et on laisse les Mutilators opérer en toute quiétude et vider les caisses par millions... normal, c'est qu'elle ne fait pas du "social" (le label indispensable), ta copine...


denty352

10/04/2014 à 15h18

seespan écrivait:
-----------------

> La France un des seul pays ou tu a plus de chances de te faire alligner pour une
> faute administrative que médicale
>
................................

C'est vrai, putain c'est incroyable.............
Pour des comptes rendus de panos ??? personne n'en fait, ils feront tout pour nous dégouter du métier.


henri24

10/04/2014 à 15h20

Ma pauvre, si tu deviens phobique du boulot, tu dois vivre un vrai calvaire.
Je suis passé par là, moi aussi, tout le monde le sait ici. J'ai failli mettre fin à mes jours plus d'une fois à cause du boulot: peur des patients, peur de la sécu, peur des confrères...
Je suis suivi par un psy, ça va un peu mieux, j'essaie de vivre normalement, mais ce n'est pas facile.
Fais toi aider si ça persiste


delphina06

10/04/2014 à 15h31

Oui, j'ai déjà lu tes posts, je m'en souviens


Image001 e0kg9q - Eugenol
clemsdent

10/04/2014 à 16h45

elle a préscrit les panos --> au radiologue de faire le compte rendu , dans le pire des cas, tu fais un compte rendu pour les dossiers qu'on te demande.

De toute façon si tu fais ou prescrit une pano, il suffit de faire un petit compte rendu, ça a beaucoup d'avantages dans ta tenu de dossier et pour les futurs plans de traitement, ça demande un peu de rigueuer, mais c'est pas la mort non plus.

ou pour le resortir à des patinets: "attendez monsieur, je regarde le dossier...en 2010 je vous avais pourtant signalé l'infection apicale visible à la pano..."
normalement pour les rvg c'est pareil, même tu dois les imprimer.



Sinon pour ce qui est de ta phobie, (je suis un peu dans le même cas) : je fais toujours en sorte de pouvoir justifier mes traitements: Photos, Pano, Radios à l'appui,

évidemment je ne côte pas systématiquement la radio sur le rendez vous suivant ,

je ne côte le det que quand je le fais vraiment. (je dis pas que je le fais bien, mais je le fais! )

Si je rescelle une dent je côté C (avec petit descriptif, genre, tarte, inflammation, carie X,XY + rescllmt gratuit), et pour les emmerdeurs c'est du HN!

je ne dévitalise pas les dents systématiquement avant de couronner, mais je fais des photo / radio d'une carie très sousgingivale, ou je photographie l'abrasion généralisée.
Si dent saine, je côte HN bien sur!

j'ai quand même moins peur avec toutes ces précautions!!!!


Orezza gazeuse verre litre ocoxey - Eugenol
casa

10/04/2014 à 17h00

Le seul conseil que je pourrais te donner c'est de fuir ce forum hautement anxiogène (voir le post précédent ) . T'inquiète , c'est pas parce que ta copine a eu un accident de voiture qu'il ne faut plus que tu conduises , ça fait parti des "risques" du métier mais en fait c'est pas bien méchant. Stressant et révoltant certes mais au final , tu continues à travailler avec ta bonne conscience et c'est ce qui importe .


RépondreCiter
1309531 ours brun n5iukf - Eugenol
seespan

10/04/2014 à 17h25

casa écrivait:
--------------
> Le seul conseil que je pourrais te donner c'est de fuir ce forum hautement
> anxiogène (voir le post précédent )

Anxiogène le post précédent ? Pourquoi ? Peut de chance qu'un dentiste anglais ou U.S tombe sur votre prose.
SI c'était le cas c'est vrais qu'ils auraient de quoi de piquer des sueures froide. Putain si c'était mois qui faisait ça combien de temps avant que je me retrouve a la rue.

Ou alors il faut le prendre au second degrée. Un peut comme du Jackass

. T'inquiète , c'est pas parce que ta copine
> a eu un accident de voiture qu'il ne faut plus que tu conduises , ça fait parti
> des "risques" du métier mais en fait c'est pas bien méchant. Stressant et
> révoltant certes mais au final , tu continues à travailler avec ta bonne
> conscience et c'est ce qui importe .

Primo non nocere casa primo non nocere.


--
หมอจัดฟัน


Images 1 qtgoxf - Eugenol
ciwil

10/04/2014 à 19h28

casa écrivait:
--------------
> Le seul conseil que je pourrais te donner c'est de fuir ce forum hautement
> anxiogène

tu voudrais pas montrer l'exemple ?
:)


gwada972

12/04/2014 à 15h42

Effectivement je ne fais rien de tout ni compte rendu ni photos. Pano et j enchaîné après explications si le patient est ok. Et aujourd'hui après qq patients revenus pour des caries non dépistées , je fais une pano systématiquement aux nouveaux patients. Après c au cas par cas, et ça sert pour dépanner les urgences par téléphone. Fais ce que tu penses devoir faire tout en te remettant en question. Moi, je v devoir améliorer certaines choses quand même vu ce que j ai lu. Et surtout prendre de la distance avec le boulot. Je comprend que certains puissent attenter a leurs jours, il a beaucoup de pression, et de moins en moins de reconnaissance. Je cours deux fois par semaine et c est très efficace, et j ai une vie sociale , famille. Fais attention mais ne te pourris pas la vie.


120 81 mdkvjo - Eugenol
Monaco

12/04/2014 à 17h52

Au revoir la France.


Bashar

13/04/2014 à 06h19

Pinaise, ca donne pas envie de rentrer ca.
Pourtant je suis sur que ca reflete bien la realite, je le ressentais deja avant de partir. Ca a pas l'air de s'arranger


3f3boxni50k58rq7e9ce9ddqrxgk - Eugenol
dentiste57

13/04/2014 à 16h47

delphina06 écrivait:
--------------------
> Coucou tout le monde,
> je vous lis souvent, mais je participe peu à vos discussions.
> Je suis en train de développer une phobie du boulot depuis que j'ai rencontré
> une amie qui s'est fait contrôler par la sécu. Apparemment, ils lui ont demandé
> de rembourser des actes qu'ils considéraient comme injustifiés (comme par
> exemple des panos qu'elle prescrivait avant les soins pour "débroussailler le
> terrain"). Je connais bien cette fille, on a fait nos études ensemble, elle
> n'est vraiment pas du genre à magouiller, elle est même un peu trop honnête.
> Elle a vraiment été traitée comme une "criminelle". Je suis dégoutée que des
> praticiens honnêtes soient traités de la sorte, et du coup, j'ai une phobie
> qu'un tel contrôle me tombe dessus. Je n'ai rien à me reprocher, mais
> évidemment, je ne suis pas parfaite non plus. Donc, s'ils veulent trouver la
> petite bête, ils la trouveront. Merci de m'avoir lue

combien de patients ? et combien a t'elle du rembourser ?
j'ai moi même une analyse d'activité en cours.
60 patients... ça ressemble à de l'acharnement.
je ne sais pas encore ce que ça va donner.
j'espère juste que le CDC n'est pas un fou furieux ultra zélé mais un confrère qui connaisse nos difficultés d'exercice et qui soit juste et tolérant.
pour l'instant les contacts que j'ai eu avec lui étaient courtois et sans animosité.
si il y a des erreurs dans mes cotations, je l'assume pleinement, mais si il faut pinailler sur l'interprétation de la ngap, là, nous verrons au cas par cas.

pour ma part, je ne pense pas être un escroc à la sécu bien au contraire.. toutefois cette analyse me bouffe de l'intérieur depuis des mois et je la ressent comme une offense envers un travail que j'essaye de faire au mieux.


Capture d  cran 2015 03 12 12.28 - Eugenol
chicot29

13/04/2014 à 17h15

Bien venue au club. On monte une association loi 1901 ? -))
Moi aussi j'y ai droit pas pour des panos mais pour des status. Seules sont valables les radios qui "matchent révélant" une pathologie.

Voilà le topo:

"Clichés radiologiques non justifiés en regard des recommandations professionnelles"

"Rappel du service du controle médical sur les recommandations professionnelles en matière de radiologie en odonto stomatologie :

Le guide des indications et des procédures des examens radiologiques en odonto stomatologie indique que "le bilan complet en téléradiographie intra buccale systématique initial ou de controle n'est jamais justifié" pour des nouveaux patients (et encore moins pour des patients fidélisés). Pour les nouveaux patients adultes et adolescents, le bilan complet en téléradiographie intra-buccale peut etre justifié uniquement "quand le patient présente des signes cliniques de maladie dentaire diffuse ou des antécédents de soins intensifs".
Le meme guide recommande la réalisation de clichés rétro coronaires pour la détection des caries inter-proximales sur les secteurs prémolo molaires, en l'absence d'une situation clinique spécifique (restauration large et profonde qui peut faire penser à la possibilité de caries sous jacentes....). Mais "si une atteinte pulpaire est suspectée, un cliché rétro alvéolaire peut etre réalisé".
Les clichés rétro alvéolaires sont eux recommandés pour le diagnostic endodontique et pour "l'analyse des pathologies osseuses limitées d'origine dentaire, des traumatismes dentaires localisés et les examens pré chirurgicaux.
En parodontologie le guide recommande un bilan complet en téléradiographie intrabuccale uniquement en cas "d'atteintes parodontales marquées" (pertes osseuses horizontales moyennes ou importantes)."


J'adore jamais justifié pour des nouveaux patients et encore moins pour des patients" fidélisés". Pour qui alors ?
Grégory tu me suis ?-))))
Et en paro il faut attendre la marée basse et mobilité +++++ pour faire des clichés pour confirmer. le complet haut et bas n'est pas loin.-))
bien sur il ce compte rendu est truffé d'autres perles. Lesquelles ? A vos claviers.



Capture d  cran 2015 03 12 12.28 - Eugenol
chicot29

13/04/2014 à 17h22

casa écrivait:
--------------
> Le seul conseil que je pourrais te donner c'est de fuir ce forum hautement
> anxiogène (voir le post précédent ) . T'inquiète , c'est pas parce que ta copine
> a eu un accident de voiture qu'il ne faut plus que tu conduises , ça fait parti
> des "risques" du métier mais en fait c'est pas bien méchant. Stressant et
> révoltant certes mais au final , tu continues à travailler avec ta bonne
> conscience et c'est ce qui importe .

Casa est tu bien sure que statistiquement ton activité est bien dans les clous du riap ? tu n'as pas plein de petites étoiles dans certaines cases de celui ci ?
Saches que ta bonne conscience ne suffit pas. Un petit texte pour que tu médites :

Quand ils sont venus chercher les communistes,
Je n'ai rien dit,
Je n'étais pas communiste.

Quand ils sont venus chercher les syndicalistes,
Je n'ai rien dit,
Je n'étais pas syndicaliste.

Quand ils sont venus chercher les juifs,
Je n'ai pas protesté,
Je n'étais pas juif.

Quand ils sont venus chercher les catholiques,
Je n'ai pas protesté,
Je n'étais pas catholique.



Puis ils sont venus me chercher,
Et il ne restait personne pour protester

Pasteur martin-niemoller



Orezza gazeuse verre litre ocoxey - Eugenol
casa

13/04/2014 à 17h49

Alors après avoir du justifier ma "qualité" de dentiste , après qu'on m'ait demandé mes revenue , mes radios , il faut maintenant que je fournisse mon RIAP ? Ma feuille d'impot , mon patrimoine , et la couleur de mon .... sont ils aussi nécessaires ? Je donne un conseil plutôt sympa à une jeune consœur et voilà ce qui arrive ... Je ne sais si je suis représentative de la profession et franchement je m'en tape , parce que là non plus ils n'y en aurait pas beaucoup qui pourraient s'exprimer ici . Par contre , tu te sens "en devoir" de répondre à tout et à tout le monde . C'est bien , Mais je remarque que ton activité, (particulière ? ) attire les "foudres" de la sécu , alors es tu de bons conseils pour ce fil ci? j'en doute ...et franchement à une jeune qui flippe , lui dire ben moi aussi j'ai été contrôle et c'est tous des cons ..ça m’entonnerait que ça la rassure ...


Capture d  cran 2015 03 12 12.28 - Eugenol
chicot29

13/04/2014 à 18h01

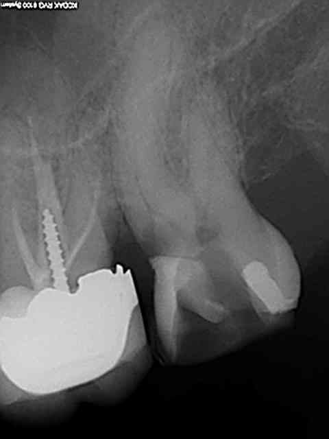
Exemple concret, de ce samedi (exceptionnellement au boulot car c'est un pote qui travaille sur Paris et qui a une semaine de vacances), j'en ai tous les jours.

la première radio date de 2011 issue d'un status inutile selon la sécu. Suspicion de reprise en mésial sous l'onlay de 27, noté sur le dossier à surveiller. Le patient appelle pour douleurs lancinantes spontanées la semaine dernière en haut au fond et à gauche exacerbées par le froid.
Diagnostic clair net et précis et par téléphone en plus : ca n'est pas du au tt merdique de la 26. Ce qui est confirmé in situ par la radio numéro 2 prise le jour meme de l'endo.
Comme à mon habitude je m'excuse d'avoir irradié le patient copieusement ( à raison de 70 kv et 0,099 s par cliché) plutot qu'un seul cliché argentique en fin de tt ( 70 kv aussi mais 1,3 s d'exposition lui) développé en fin de journée comme ca a du etre le cas pour le tt de 26 ( et m... encore raté).
Je sais pas moi mais le résultat parle de lui meme ( putain de mv2 que j'ai réussi à choper dans un 2 eme temps une fois les autres obturés)
Taille empreinte provisoire dans la foulée , l'avantage de la gutta chaude.
Vous préférez quoi dans votre bouche ? une seule radio et un tt endo comme la 26 ou 6 clichés et mon tt endo de 27 ?

R8 mywxnf - Eugenol
R7 rjnt3i - Eugenol
R6 lqrmfz - Eugenol
R5 jddzid - Eugenol
R4 rwxxeg - Eugenol
R3 fkqi5u - Eugenol
R2 tidkjq - Eugenol
R1 rjpzp5 - Eugenol