Cookie Consent byPrivacyPolicies.comProtocoles de M.... ! - Eugenol

Protocoles de M.... !

387658 285645131467567 178493338849414 912435 1067789649 n e7hcpr - Eugenol
Djuls

12/05/2014 à 18h37

Encore un de mes patient (pas vu depuis 3 ans) qui veut voir mon associé parce que "lui il a signé un protocole avec Groupama"...
Concrètement, quel est l'avantage pour mon patient d'aller voir mon associé ? Il a des tarifs imposés par Groupama ?(donc surement moins cher ?) Tiers payant ?

Je fais quoi ? J'en parle à mon associé en lui disant qu'il est con de tout signer et qu'il va finir par se faire bouffer ?


X ray 03 medium zvq18j - Eugenol
cyber_quenottes

12/05/2014 à 19h07

faut voir lequel de vous deux a signé le tout premier protocole sans en parler à son "associé"

ensuite faut comprendre, une fois le doigt dedans le bras suit

si toi aussi tu offre ton corps à des financeurs à travers un proctocole, même si ton associé n'en faisait pas davantage, ton voisin le plus proche n'apprécie pas ton attitude


et ca fait boule de neige partout en France


avec le soutien actif de la csnd qui nous a vaseliné le terrain


dr-quenottes

12/05/2014 à 19h25

Le patient sera surtout mieux remboursé en allant voir ton associé. C'est l'effet pervers de l'autorisation du remboursement différencié mis en place depuis décembre.

C'est le début de la fin...


Marine cross pagqaa - Eugenol
whiteteeth

12/05/2014 à 19h29

Djuls disait :

---------Je fais quoi ? J'en parle à mon associé en lui disant qu'il est con de tout signer et qu'il va finir par se faire bouffer ?---------

Ah ces râleurs !!!

Ne peux tu pas accepter de faire de la prévention, les endos et les rtt endo, les détartrages, les urgences, les extractions, et que ton gentil associé fasse la prothèse protocolée plafonnée pour permettre à tes patients d'avoir accès à de la prothèse bien blanche monochrome made in low cost.


387658 285645131467567 178493338849414 912435 1067789649 n e7hcpr - Eugenol
Djuls

12/05/2014 à 20h18

whiteteeth écrivait:

>
> Ne peux tu pas accepter de faire de la prévention, les endos et les rtt endo,
> les détartrages, les urgences, les extractions, et que ton gentil associé fasse
> la prothès

Mouuuuuuai. Bof bof...


Bbpanda vyfmu4 - Eugenol
kung fu panda

12/05/2014 à 20h27

Djuls écrivait:
---------------
> Encore un de mes patient (pas vu depuis 3 ans) qui veut voir mon associé parce
> que "lui il a signé un protocole avec Groupama"...
> Concrètement, quel est l'avantage pour mon patient d'aller voir mon associé ? Il
> a des tarifs imposés par Groupama ?(donc surement moins cher ?) Tiers payant ?

Le patient a des avantages de folie en allant chez le dentiste partenaire : 50 euros de remboursement en plus sur la couronne chez le dentiste partenaire.

Avec un protocole aussi avantageux, je signe des deux mains et des deux pieds en même temps !!!


John gp55mb - Eugenol
Faivre-rampant

12/05/2014 à 20h59

Chaque mutuelle a un protocole ???

-----

dans le cadre de celui là, il n'y a pas de tarif maximun imposé au praticien.
si le praticien décide que la CCM est à 800 cela bloque rien pour le protocole non ?


dr-quenottes

12/05/2014 à 21h19

kung fu panda écrivait:
-----------------------
> Le patient a des avantages de folie en allant chez le dentiste partenaire : 50
> euros de remboursement en plus sur la couronne chez le dentiste partenaire.
>
> Avec un protocole aussi avantageux, je signe des deux mains et des deux pieds en
> même temps !!!

Le montant des remboursements est à pleurer: des montants bas avec des plafonds et des limitations. J'espère que pour un tel contrat le patient ne paye pas trop cher sinon il se fait arnaquer.


Roger federer 300x217 eqdnuv - Eugenol
Patatrasse

12/05/2014 à 21h57

Faivre-rampant écrivait:
------------------------
> Chaque mutuelle a un protocole ???
>
> -----
>
> dans le cadre de celui là, il n'y a pas de tarif maximun imposé au praticien.
> si le praticien décide que la CCM est à 800 cela bloque rien pour le protocole
> non ?

En début d'année, Groupama (qui a fusionné avec PRoBTP dans le cadre du réseau Sévéane) analyse tes tarifs et si tu es top cher, il te vire automatiquement de leur réseau, c'est ce qui est arrivé à mon associé qui n'a pas voulu descendre en dessous de 520 ou 550 euros pour ses couronnes.Tu reçois un courrier te disant que ta grille tarifaire ne te permet plus de rester chez eux, soit tu baisses ton froc, soit tu ne réponds pas et tu es viré comme un malpropre du réseau (là, je peux te dire que ton égo en prend un coup, car se faire virer par ces pourritures, ça pique)
--
http://patatrasse.tumblr.com/


Image001 e0kg9q - Eugenol
clemsdent

12/05/2014 à 23h34

les patients sont finalement beaucoup mieux remboursé en dehors du partenaire groupama; car le partenaire est de mémoire plafonné pour l'inlay-core!


Dentiste oa9i0v - Eugenol
DavierCrocket

13/05/2014 à 11h08

Djuls écrivait:
---------------
> Encore un de mes patient (pas vu depuis 3 ans) qui veut voir mon associé parce
> que "lui il a signé un protocole avec Groupama"...
> Concrètement, quel est l'avantage pour mon patient d'aller voir mon associé ? Il
> a des tarifs imposés par Groupama ?(donc surement moins cher ?) Tiers payant ?
>
> Je fais quoi ? J'en parle à mon associé en lui disant qu'il est con de tout
> signer et qu'il va finir par se faire bouffer ?

cela veut aussi dire que le patient ne voit pas son intérêt à rester avec toi plutôt qu'un autre à 50 euros près.

si tu fais la même chose (accueil, qualité de soins,... et tout ce qui permet au patient de juger ton service (ce qui n'a rien à voir avec la qualité de travail on est bien d'accord)), pourquoi rester avec toi.

par contre, effectivement une petite discussion avec ton associé serait bienvenue.A t-il vraiment besoin de cela pour travailler?


cy2

13/05/2014 à 11h36

et qui c'est qui négocie un partenariat avec un groupe de mutuelles...??


Avatar kvapls - Eugenol
God Save the Fluide

13/05/2014 à 12h51

peut être qu'il faut remettre en question ton association vu qu'il détourne tes patients....


cy2

13/05/2014 à 12h57

God Save the Fluide écrivait:
-----------------------------
> peut être qu'il faut remettre en question ton association vu qu'il détourne tes
> patients....

+1


le figou

13/05/2014 à 13h02

Djuls écrivait:
---------------
>
>
> Je fais quoi ? J'en parle à mon associé en lui disant qu'il est con de tout
> signer et qu'il va finir par se faire bouffer ?

pour les marseillais qui veulent comprendre l'analyse d'un coach qui est favorable aux partenariats


colza2

14/05/2014 à 13h30

le 20 mai Belle soirée en perspective et d'actualité, allez y pour connaitre l'avis du dr binhas et partagez vos avis.
En plus dans le 13 , vous êtes vraiment au coeur du système.
Qui y va?


colza2

14/05/2014 à 22h51

à marseille le 22 mai il y a aussi une soirée fsdl


3f3boxni50k58rq7e9ce9ddqrxgk - Eugenol
dentiste57

15/05/2014 à 02h21

Patatrasse écrivait:

> En début d'année, Groupama (qui a fusionné avec PRoBTP dans le cadre du réseau
> Sévéane) analyse tes tarifs et si tu es top cher, il te vire automatiquement de
> leur réseau, c'est ce qui est arrivé à mon associé qui n'a pas voulu descendre
> en dessous de 520 ou 550 euros pour ses couronnes.Tu reçois un courrier te
> disant que ta grille tarifaire ne te permet plus de rester chez eux, soit tu
> baisses ton froc, soit tu ne réponds pas et tu es viré comme un malpropre du
> réseau (là, je peux te dire que ton égo en prend un coup, car se faire virer par
> ces pourritures, ça pique)
> --

ben moi ça m'est arrivé il y a 1 mois1/2 , viré !!! allez hop, tu dégages ! ..

bon en fait ça change rien...

ah oui, j'allais oublier, ils ont noté sur leur courrier en LRAR que je devait tenir informé les patients que je n'était plus "partenaire"..

ben voyons! je dirai surtout aux patients de changer de mutuelle..


Bagheera tudzjy - Eugenol
bagheerra

19/02/2016 à 17h25

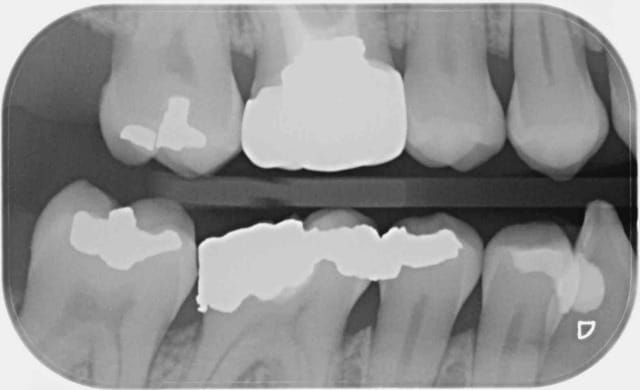
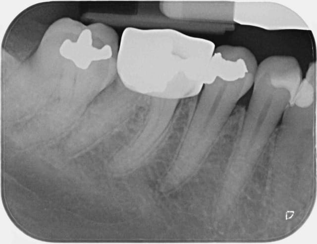
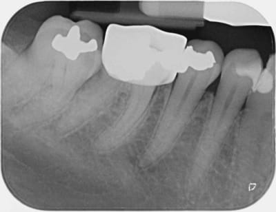
Ce message n'apporte rien au débat, c'est juste pour parler de cette patiente qui n'avait pas donné suite au devis pour couronner la 46. Au contrôle annuel suivant, la dent était couronnée, tout allait bien. Il a fallu que je lui pose la question pour qu'elle m'explique, sans la moindre gêne, que sa mutuelle GROUPAMA l'avait orientée vers un dentiste partenaire "moins cher".
Rien que sur la radio, je vous laisse admirer la qualité de la morphologie occlusale, le profil d'émergence, les points de contact (ou leur absence)... Je n'ai pas osé prendre de photo de ce blockhaus.
Bref, un an après, voici que la patiente revient pour me dire que la couronne ne va pas du tout, que ça la gêne.
Je me suis donc fait un malin plaisir de la renvoyer vers ce con-frère,
ET CA FAIT DU BIENNNNNNNNNNNNNN.

C1 yv600w - Eugenol
C3 x2wy3b - Eugenol
C4 xz4dh1 - Eugenol

Capture d  cran 2012 08 30   17.43 - Eugenol
ernest

19/02/2016 à 17h51

anticiper ?
je demande en général la carte de mutuelle
et là coup sur coup un Groupama et un Santeclair,
je donne le devis en leur disant que sans doute je ne les reverrai pas , qu'ils seront appelé par leur mutuelle, que c'est du détournement de clientèle pour 3 francs six sous eu égard au nombre d'années qu'ils ont passé dans mon cabinet. Et bien revenus en me disant en effet que pour finir ils n'aiment pas ce genre de manipulation, et que bien qu'y perdant financiérement, ils continuent avec moi .


4a338550 6a5b 47ea b2a7 d3cb675c5076 oni5gh - Eugenol
fistule 69

19/02/2016 à 17h55

Moi, je colle ça à chaque devis !


P2eqdh3csim6s7nb09ktdq3e7ev8 - Eugenol
barbabapat

19/02/2016 à 18h04

bagheerra écrivait:
-------------------
........


On comprends comment il peux s'aligner sur les tarifs du réseaux en éclusant son lot de bagues de cuivres. Par contre, il faut encore trouver un prothésiste du même acabit.


VivaEuropa?

19/02/2016 à 18h18

fistule 69 écrivait:
--------------------
> Moi, je colle ça à chaque devis !

Ce flyer est cash et c'est très bien. Par contre le détail qui tue c'est qu'il est signé du syndicat qui a mis en place le premier réseau qui certes ne casse pas les prix mais casse les remboursements (différenciés)... ce qui a exactement les mêmes conséquences sur le détournement de patientèle. On n'est pas à un paradoxe près.

PS : C'est quoi une couronne à bague? On en entend parfois parler, comme d'une relique.


P2eqdh3csim6s7nb09ktdq3e7ev8 - Eugenol
barbabapat

19/02/2016 à 18h53

VivaEuropa? écrivait:
---------------------

> PS : C'est quoi une couronne à bague? On en entend parfois parler, comme d'une
> relique.

J'avais récupéré un vieux poly de Tp lors de rébus de la bibliothèque universitaire.

Globalement tu adapte une bague à ta préparation, tu prends de la pate de kerr, tu en place sur le haut de la bague et fait mordre en occlusal puis fait prendre un empreinte.

Le prothésiste fait juste la partie qui correspond à la face occlusale et la soude à la bague. Il reste juste à bourrer de ciment et à replacer sur la dent légèrement préparée.


Avatar transparent iqadnc - Eugenol
adhoc

19/02/2016 à 19h04

C'etaitt quand même du tonnerre pour des faibles hauteurs comme 7 ou inf. On pouvait bouteroller avec une pince la bord cervical pour une super rétention.
De meme que les stellites façonnés, ca avait une autre gueule, c'etait beaucoup plus léger (comme ceux en titane a peu pres).
Mais le temps prothésiste était trop long par rapport a la technique coulée
Vieilles techniques ne signifient pas toujours moins bonnes.


12