Cookie Consent byPrivacyPolicies.comurgence pour ma fille !!! besoin de vos conseils avisés ... - Eugenol
sue ellen

20/05/2014 à 19h06

je vous présente le cas:
ma fille , jeune kamikaze de bientôt 3 ans est tombée il y a quinze jours, elle avait la lèvre tuméfiée et mal sur 61 ...
et bonne mère dentiste, j ai vite regardé la dent : elle était sensible mais pas déplacée et peut être un tout petit peu plus mobile que l autre .
bref je ne me suis pas inquiétée, surtout que ce n 'est pas la première fois que ca arrive !
sauf que depuis qq jours j'ai des doutes, et depuis hier soir : au secours , elle est grise !!!
elle ne lui fait pas mal, il n'y a pas de fistule, pas de gonflement ...
je n'ai pas encore eu le temps de lui tester au froid .
je me demande surtout si le mieux à faire est WAS
ou s'il vaut mieux essayer de dévitaliser tout de suite .
forcément comme il s'agit de ma fille je ne sais pas quoi faire ...
qq'un à t il déjà eu un cas similaire ?
merci d'avance pour vos réponses !!!!


Amibien

20/05/2014 à 19h09

Wait and see, une pulpe qui a saigné peut très bien rester vitale en denture de lait


doagui

20/05/2014 à 19h11

La bible des sites sur les traumatismes dentaires :

http://www.dentaltraumaguide.org/

Si tu parles anglais tu y vas, tu as une classification des types de traumatismes, avec bien évidemment la conduite à tenir et plein d'infos.


Avatar kvapls - Eugenol
God Save the Fluide

20/05/2014 à 19h15

La décoloration coronaire est le diagnostic clinique d'une atteinte de la pulpe, elle peut être réversible au stade 1 et début de stade 2 de son évolution.

Si cette décoloration apparaît à 2-3 semaines après le trauma, ce n'est le signe pathognomonique d'une nécrose pulpaire... en revanche si c'est après plusieurs mois===> mortification.

Fait une rx pour voir si lésion para ap. si présente... endo.



Darmon - Eugenol
Latin

20/05/2014 à 19h35

Qu'aurait-tu fait si un patient de 3 ans s'était présenté avec le même tableau clinique? Test au froid, radio, surveillance... Pulpec si persistance d'un test au froid négatif (nécrose). Même vitale la dent peut rester colorée.


RépondreCiter
sue ellen

20/05/2014 à 19h37

et toi ?


sue ellen

20/05/2014 à 19h39

je parle pas couramment anglais mais je n'y trouve pas mon cas ! merci en tous cas pour le lien


Darmon - Eugenol
Latin

20/05/2014 à 19h47

Qu'attends-tu pour faire une radio et tester la vitalité?


sue ellen

20/05/2014 à 19h58

j ai lancé cette discussion dans le but d obtenir ( comme noté dans l intitulé) des CONSEILS AVISES de confrères ...
merci à tous ceux qui n 'ont pas d'enfants ou qui ont une boniche à disposition pour leur amener leur progéniture au cabinet de ne pas prendre part à cette discussion.
encore une fois, comme je l'ai expliqué au départ, je me suis rendue compte de ça hier soir... demain , mercredi, jour ou je ne travaille pas et ou les enfants n 'ont pas classe, je ferai un test au froid à ma fille.
et oui je suis dentiste, oui je traite des enfants de cet âge là.
sinon je pensais aussi que le forum servait à aider pour ce genre de situation ...
encore une fois merci à ceux qui donnent leur avis à tord et surtout à travers de s'abstenir


RépondreCiter
doagui

20/05/2014 à 20h02

Amusant les posts qui disent "tu es sure que tu es dentiste ?" pour ensuite dire une énormité, du genre "qu'est-ce que tu attends pour faire un test de vitalité ?"...

Donc on reprend la base de la pédodontie : JAMAIS de test de vitalité sur une dent de lait. C'est peu précis, beaucoup trop subjectif pour un enfant (surtout de cet âge-là, et encore bien plus s'il y a eu un trauma) et de toutes façons il ne saura pas dire s'il a mal à cause du froid, de la pression sur une dent traumatisée ou s'il a simplement peur. De plus il y a des faux positifs ou des faux négatifs, donc en gros le test de vitalité on oublie complètement.

Pour faire le suivi d'une dent traumatisée on se rabat plutôt sur les radios et on cherche une éventuelle lésion osseuse ou des résorptions radiculaires, par exemple.

Par contre il est simplement impossible que tu ne trouves pas ton cas sur le site que je t'ai conseillé, puisque tous les cas de figure y sont représentés...


Nouveau image bitmap fz77zh - Eugenol
Sethef

20/05/2014 à 20h06

Test au froid ne sera pas concluant à cet âge là...

Ce serait la mienne, j'attendrai; tu as la possibilité de faire une surveillance régulière: si lésion tu feras l'endo ou l'ex, selon l'âge et le stade de résorption.

Comme signalé plus haut, une dyschromie d'apparition rapide ne signe pas forcément la nécrose.


Nouveau image bitmap fz77zh - Eugenol
Sethef

20/05/2014 à 20h12

doagui écrivait:
----------------
> Amusant les posts qui disent "tu es sure que tu es dentiste ?" pour ensuite dire
> une énormité, du genre "qu'est-ce que tu attends pour faire un test de vitalité
> ?"...


Eugenol style, tu peux pas test.


eusebius

20/05/2014 à 20h19

Sans polémiquer, avoue aussi que tes interrogations ressemblent fort à celles posées par des patients sur Doctissimo.....


ensuite, à toi de voir si tu as envie/ la capacité (émotionnelle) / la lucidité pour soigner ta fille...


Coccinelle mgl0qv - Eugenol
murielle

20/05/2014 à 20h20

1/ Rx de la dent pour avoir une image de référence la plus précoce possible.

2/ Surveillance Rx tous les 3 mois; et surveillance clinique parallèle évidemment.

Si pas de zone radioclaire à l'apex, pas de signe clinique (fistule, tuméfaction), et que la dent définitive poursuit bien sa descente comme la dent controlatérale, alors laisse ta fille tranquille. A cet âge-là en général, ils ne sont pas traumatisés que leur quenotte soit un peu grise.

Si apparition d'une zone radioclaire et tuméfaction, voire fistule, alors il faut extraire pour ne pas prendre de risque pour la dent définitive en dessous. D'ici-là (et si ça arrive; ce n'est pas systématique), elle aura probablement presque l'âge où les premiers copains commenceront à perdre des dents; du coup ça se passe très bien en général.

NB: j'ai éludé la possibilité de l'endo car une endo propre à cet âge me paraît assez chaud à réaliser. Le fait que la dent soit grise ne signifie pas qu'elle soit forcément nécrosée et le fait qu'elle soit nécrosée ne signifie pas forcément qu'elle soit septique.

Voilà, voilà; j'espère t'avoir aidée un peu.



Coccinelle mgl0qv - Eugenol
murielle

20/05/2014 à 20h25

eusebius écrivait:
------------------
> Sans polémiquer, avoue aussi que tes interrogations ressemblent fort à celles
> posées par des patients sur Doctissimo.....
>
>
> ensuite, à toi de voir si tu as envie/ la capacité (émotionnelle) / la lucidité
> pour soigner ta fille...

On peut très bien avoir envie de soigner ses enfants, la capacité émotionnelle et tout et tout, mais préférer se rassurer auprès des confrères, car on le sait tous qu'on peut manquer d'objectivité quand il s'agit de soi ou des siens, que l'émotion prend forcément part à l'affaire. C'est justement objectif de s'en rendre compte et de préférer demander conseil.

Maintenant, au lieu de juger la forme, ça l'aiderait plus si vous répondiez vraiment à sa question...


Orezza gazeuse verre litre ocoxey - Eugenol
casa

20/05/2014 à 20h36

Par solidarité féminine, mais pas seulement , je répondrais +1 pour Murielle: attendre, surveiller , surtout si ta fille n'a pas mal , il sera toujours temps d'agir si des signes quelconques apparaissent . Les dentistes , pardon les docteurs en chirurgie dentaire , de ce forum sont souvent / parfois d'excellents techniciens mais un peu genre:animal à sang froid ....


gloglo

20/05/2014 à 20h40

La coloration à elle seul n'est pas inquiétante.
En plus des contrôles radio(immédiat, 15 jours, 2 mois) le plus important est de regarder (discrètement) comment elle mange, si elle évite des aliments dur qu'elle aime bien, si elle mastique différemment. WAS donc...


Avatar kvapls - Eugenol
God Save the Fluide

20/05/2014 à 20h42

Latin écrivait:
---------------
> Tu es sûre que tu es dentiste? Ce n'est pas parce que c'est ton propre enfant
> qu'il faut perdre ses moyens. Qu'aurait-tu fait si un patient de 3 ans s'était
> présenté avec le même tableau clinique? Test au froid, radio, surveillance...
> Pulpec si persistance d'un test au froid négatif (nécrose). Même vitale la dent
> peut rester colorée.

en effet... tu dis pas mal de connerie pour un dentiste... dommage que tu ose faire des réflexions alors que tu montres un poil d’incompétence face à ce problème. je conçois que l'on oublie ces cas rare... c'est pour ça que j'ai une bible sur les traumas chez les gosses toujours sous le coude... mais sérieux... te comporte pas comme un blaireau... un peu d'humilité


Img 5097 lxchd7 - Eugenol
Queixal

20/05/2014 à 20h45

Si la petite ne se plaint pas et en absence de signes infectieux laisser faire la nature.


doagui écrivait:
----------------
> La bible des sites sur les traumatismes dentaires :
>
> http://www.dentaltraumaguide.org/
>
> Si tu parles anglais tu y vas, tu as une classification des types de
> traumatismes, avec bien évidemment la conduite à tenir et plein d'infos.

Merci pour le lien tres instructif.

Hors sujet: C´est bien domâge sur nonol que la moitié des sujets finissent en couille par manque d´humilité de certains "con-Frêres.
Grands clasiques, sindicats,digue pas digue,ortographe.......


Darmon - Eugenol
Latin

20/05/2014 à 20h54

Radio, surveillance, ne pas se jeter sur la pulpec... Il est où le problème? Il y a une autre conduite à tenir à 2 semaines?

C'est vrai le test au froid risque de ne pas être concluant à 3 ans. Dont acte.
Mais visiblement je ne suis pas le seul à avoir relevé le "doctissimo style". Dixit Eusebius.
Faut pas prendre la mouche pour rien.


sue ellen

20/05/2014 à 20h54

ca me rassure, on est ok: latin , tu sors !!
merci aux autres !
on est bien d'accord , mon vrai questionnement était de savoir si j'attendais ou s'il vallait mieux ouvrir tout de suite, tout ca bien sur lié au risque pour le germe de21, le risque d'infection...
et bien sur , j'ai déjà prévu le soigneur (parrain, tata, grans parents .... on a l 'embarras du choix )
ah et au fait , j 'adore doctissimo ;)


Darmon - Eugenol
Latin

20/05/2014 à 20h57

Ça ne m'étonne pas que tu adores doctissimo, sinon tu aurais commencé pas demander conseil aux nombreux confrères de ta famille plutôt que de t'adresser à des inconnus (même si confrères) sur un forum.


sue ellen

20/05/2014 à 20h58

murielle écrivait:
------------------
> eusebius écrivait:
> ------------------
> > Sans polémiquer, avoue aussi que tes interrogations ressemblent fort à celles
> > posées par des patients sur Doctissimo.....
> >
> >
> > ensuite, à toi de voir si tu as envie/ la capacité (émotionnelle) / la
> lucidité
> > pour soigner ta fille...
>
> On peut très bien avoir envie de soigner ses enfants, la capacité émotionnelle
> et tout et tout, mais préférer se rassurer auprès des confrères, car on le sait
> tous qu'on peut manquer d'objectivité quand il s'agit de soi ou des siens, que
> l'émotion prend forcément part à l'affaire. C'est justement objectif de s'en
> rendre compte et de préférer demander conseil.
>
> Maintenant, au lieu de juger la forme, ça l'aiderait plus si vous répondiez
> vraiment à sa question...


heureusement qu'il y a des personnes intelligentes sur ce forum !
c est la première fois que je poste, mais sans déconner, il y en a qui passent leur temps a ramener leur science ici ou je rêve ???? sinon il y a de quoi flipper !!


Nouveau image bitmap fz77zh - Eugenol
Sethef

20/05/2014 à 21h13

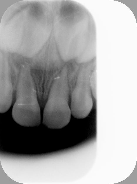
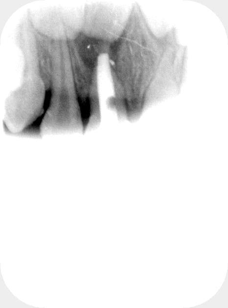
Tiens, je viens de faire ça il y a 5 min, ça me semblait à propos.
Petite vue en mars 2013, 51 dyschromiée suite à chute, 3 ans et demi à l'époque, je la sentais un peu jeune pour tenter le coup.
Pas d'image apicale, pas de fistule.

Revue ce jour, avec les frangines: apparition d'une fistule, décision de l'endo, faite en 5 min. Gamine super cool, pas eu besoin d'anesthésie. 4 ans et 11 mois ce jour. Ordonnance d'antibio en cas de réveil infectieux dans les jours à venir.
Obturation Sealite+IRM dans la chambre, ça tiendra jusqu'à la chute de la dent.

2014 j6icbr - Eugenol
2013 ku3ppd - Eugenol
2014 endo bfptqc - Eugenol

sue ellen

20/05/2014 à 21h44

Sethef écrivait:
----------------
> Tiens, je viens de faire ça il y a 5 min, ça me semblait à propos.
> Petite vue en mars 2013, 51 dyschromiée suite à chute, 3 ans et demi à l'époque,
> je la sentais un peu jeune pour tenter le coup.
> Pas d'image apicale, pas de fistule.
>
> Revue ce jour, avec les frangines: apparition d'une fistule, décision de l'endo,
> faite en 5 min. Gamine super cool, pas eu besoin d'anesthésie. 4 ans et 11 mois
> ce jour. Ordonnance d'antibio en cas de réveil infectieux dans les jours à
> venir.
> Obturation Sealite+IRM dans la chambre, ça tiendra jusqu'à la chute de la dent.

Merci , c est tout à fait ce genre de réponses que j attendais !