Tous les forums
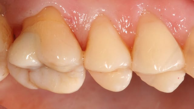
Collage onlay au composite chauffé .
21/05/2014 à 03h02
Je sais que les onlays ne sont pas à l'ordre du jour avec notre CCAM mais je vois souvent des présentations avec des onlays collés au composite de restauration.
Quel est le protocole clinique ?
je suppose que le traitement de l'onlay (acide fluorhydrique , silane , +- microabrasion) reste le meme.
Comment la polymérisation arrive à se faire sous l'épaisseur de l'onlay ? Avec une colle photo/chémo , la chémopolymérisation fait le travail dans les zones avec une grande épaisseur .
L'adhésif est le meme que celui qu'on utilise en restaurative ?
2 eme question .
Onlay avec remontée de marche ?
Quel est l'interet?
N'est-il pas préferable de faire une élongation coronaire ?
21/05/2014 à 13h03
levm écrivait:
--------------
> Je sais que les onlays ne sont pas à l'ordre du jour avec notre CCAM mais je
> vois souvent des présentations avec des onlays collés au composite de
> restauration.
> Quel est le protocole clinique ?
Pour faire court, il vaut mieux une colle dual (relyx, multilink, panavia... choose your weapon)
> je suppose que le traitement de l'onlay (acide fluorhydrique , silane , +-
> microabrasion) reste le meme.
oui
> Comment la polymérisation arrive à se faire sous l'épaisseur de l'onlay ? Avec
> une colle photo/chémo , la chémopolymérisation fait le travail dans les zones
> avec une grande épaisseur .
d'où l'indication d'une colle dual et non un compo de restai
> L'adhésif est le meme que celui qu'on utilise en restaurative ?
On peut, son choix est lié à ton composite
> 2 eme question .
> Onlay avec remontée de marche ?
> Quel est l'interet?
> N'est-il pas préferable de faire une élongation coronaire ?
Tout ce qui permet un collage supra-gingival (parce qu'on colle au compo dans un milieu qui doit être sec et pour polir le joint) est à rechercher.
22/05/2014 à 00h13
Merci pour ta réponse .
Je vois des conférenciers de renom utiliser la technique du composite chauffé .
J'ai aussi plus confiance dans une colle dual qu 'en un simple composite de restau.
pour les remonté de marche , c est pareil j en vois de plus en plus dans certaines présentations , je trouve que la technique n'est pas la plus adapté que ce soit sur le plan paro ou la pérennité du traitement .
22/05/2014 à 00h59
Attention la colle dual n'est pas une "colle", mais un composite dual.
Les colles dual, peuvent présenter des incompatibilités avec l'utilisation d'adhésifs auto mordançant. L'acidité de l'adhésif rentrant en compétition avec la réaction acide base de la colle..
Les colles automordançantes (Rely X, SmartCem et autres...) sont insuffisantes à mon avis pour faire tous les cas de restaurations partielles (facettes et onlay)
Pourquoi utiliser un compo que Photo:
- Un temps de prise illimité
- Retrait des excès très facile, pas d'étalement, on peut passer le fil...(avec un compo de restauration)
- Qualité du joint
- Un seul compo et adhésif pour tout faire, direct et indirect... simplification des protocoles...
Pour la lumière, fait des essais sur de pièces céramiques et tu verras que la lumière passe toujours a travers, meme jusqu'a 2mm (ce qui est très rare, d'avoir 2mm inaccessible par toutes les faces de la dent...)
https://dl.dropboxusercontent.com/u/21502719/onlay%20hd.mp4
--
Dr Cingulum
-----Ancien interné----
----Attaché à l'apex----
http://www.clinic-all.fr/ formation par passion
22/05/2014 à 01h10
Cingulum écrivait:
------------------
> Attention la colle dual n'est pas une "colle", mais un composite dual.
Tu as raison ! Abus de langage.
> Les colles dual, peuvent présenter des incompatibilités avec l'utilisation
> d'adhésifs auto mordançant. L'acidité de l'adhésif rentrant en compétition avec
> la réaction acide base de la colle..
Oui, bien s'assurer de la compatibilité. Certains n'ont besoin que d'un primer (mais un etching de l'email ne fait pas de mal.
> Les colles automordançantes (Rely X, SmartCem et autres...) sont insuffisantes à
> mon avis pour faire tous les cas de restaurations partielles (facettes et onlay)
Mon avis est que le relyx ne tiendra pas longtemps face au relyx ultimate (récemment introduit pour concurrencer) qui s'utilise avec un SAM
> Pourquoi utiliser un compo que Photo:
>
> - Un temps de prise illimité
oui mais la colle dual a un meilleur résultat de conversion, tu ne pourras pas polymériser à 100% avec un compo photo
> - Retrait des excès très facile, pas d'étalement, on peut passer le fil...(avec
> un compo de restauration)
> - Qualité du joint
> - Un seul compo et adhésif pour tout faire, direct et indirect... simplification
> des protocoles...
Mais resistance à l'arrachement insuffisante.
22/05/2014 à 01h28
PopHip écrivait:
----------------
> Cingulum écrivait:
> ------------------
> > Attention la colle dual n'est pas une "colle", mais un composite dual.
>
> Tu as raison ! Abus de langage.
>
> > Les colles dual, peuvent présenter des incompatibilités avec l'utilisation
> > d'adhésifs auto mordançant. L'acidité de l'adhésif rentrant en compétition
> avec
> > la réaction acide base de la colle..
>
> Oui, bien s'assurer de la compatibilité. Certains n'ont besoin que d'un primer
> (mais un etching de l'email ne fait pas de mal.
Tu parles de colles (variolin k, Choice, Permashade ) ou de colles automordançantes (relyx par exemple) ?
>
> > Les colles automordançantes (Rely X, SmartCem et autres...) sont insuffisantes
> à
> > mon avis pour faire tous les cas de restaurations partielles (facettes et
> onlay)
>
> Mon avis est que le relyx ne tiendra pas longtemps face au relyx ultimate
> (récemment introduit pour concurrencer) qui s'utilise avec un SAM
>
> > Pourquoi utiliser un compo que Photo:
> >
> > - Un temps de prise illimité
>
> oui mais la colle dual a un meilleur résultat de conversion, tu ne pourras pas
> polymériser à 100% avec un compo photo
j'avais souvenir que la prise chimique et photo était en parallèle mais que l'une ne remplaçait pas l'autre.
Pas sur que tu ais 100% avec une colle (compo dual)
>
> > - Retrait des excès très facile, pas d'étalement, on peut passer le
> fil...(avec
> > un compo de restauration)
> > - Qualité du joint
> > - Un seul compo et adhésif pour tout faire, direct et indirect...
> simplification
> > des protocoles...
>
> Mais resistance à l'arrachement insuffisante.
Tu peux détailler ?
Système adhésif + composite c'est la valeur de référence en terme de collage des restaurations céramiques. Faut pas croire que les conférenciers font ça que pour faire les mariole ...
--
Dr Cingulum
-----Ancien interné----
----Attaché à l'apex----
http://www.clinic-all.fr/ formation par passion
22/05/2014 à 01h41
Ca n'a pas été redit, mais quand on a l'habitude de coller avec un compo photo, les règles de préparation changent tout de même subtilement, pour éviter des épaisseurs de céramique trop importantes justement...
Après chacun ses préférences.
A noter, de mémoire, que les adhésifs photo incompatibles avec les colles dual n'inhibaient que la chémopolymérisation, pas sa part photo...
A titre perso, jamais testé sur des inlays, mais je colle souvent mes facettes au composite flow, ce qui revient au même... Pas encore eu de retour, et effectivement on se facilite le boulot.
22/05/2014 à 03h02
Donc si je résume.
Taille , IDS sur la dentine seulement pour eviter les sensibilités post op avec un SAM
Empreinte
Provisoire (scellée à quoi ? )
Dépose de la provisoire
l'IDS est tjrs présente quand on retire le ciment ou besoin de repasser un SAM le jour de la pose ?
Traitement de l'inlay (acide fluorhrydique , silane , microAb)
Traitement de la surface de la dent mordancage de l'email
Besoin de mordancer la dentine ?
Quel systeme adhésif utiliser un MR ou un SAM avec le composite chauffé le jour de la pose ?
25/05/2014 à 18h19
levm écrivait:
--------------
> Donc si je résume.
> Taille , IDS sur la dentine seulement pour eviter les sensibilités post op avec
> un SAM
> Empreinte
> Provisoire (scellée à quoi ? )
Systemp Onlay, par exemple, glycérine dans la cavité, et mise en place, réglage de l'occlusion et Photopolymérisation
>
> Dépose de la provisoire
> l'IDS est tjrs présente quand on retire le ciment ou besoin de repasser un SAM
> le jour de la pose ?
Tu as de la résine à la surface de la dent, mais repasse ton SAM. Moi je mordance tout...
> Traitement de l'inlay (acide fluorhrydique , silane , microAb)
Sableuse, acide fluo 20sec, silane à évaporer.
> Traitement de la surface de la dent mordancage de l'email
> Besoin de mordancer la dentine ?
Je remordance tout...
> Quel systeme adhésif utiliser un MR ou un SAM avec le composite chauffé le jour
> de la pose ?
J'utilise de plus en plus un universel avec mordançage en plus (surtout l'émail)
des vidéos ?
https://www.dropbox.com/s/z3u1ptbkbk306zk/onlay2.mp4
https://www.dropbox.com/s/i0zyjg309bnc6ro/ONLAY.mp4
--
Dr Cingulum
-----Ancien interné----
----Attaché à l'apex----
http://www.clinic-all.fr/ formation par passion
02/06/2014 à 18h40
je viens de regarder la première video.Elle comporte un grand nombre d 'erreurs.Pas de traitement par secteur (pose de la digue pour déposer 45 46 et 47 sans parler du massacre de la langue.Empreinte a l 'arrache (le prothésiste a du inventer la limite L.Pas d 'esayage de l 'onlay avant la digue.Pose de la digue avec déchirure , petit coup de bonding qui ne sert a rien en finition... sans parler que la cuspide DL (la plus exposée en latéralité non travaillante (non verifiée) risque de casser dans le futur.Et puis pour finir en beauté un petit coup sur la langue.C'est dommage de montrer ça.
02/06/2014 à 19h14
tristanavi écrivait:
--------------------
> je viens de regarder la première video.Elle comporte un grand nombre d
> 'erreurs.Pas de traitement par secteur (pose de la digue pour déposer 45 46 et
> 47
J'ai pas l'habitude de déposer les Amg qui posent pas de problèmes. Les soins par secteur, oui, mais pourquoi déposer un soin qui rempli son rôle si il n'y a pas une demande esthétique du patient ?
> sans parler du massacre de la langue
heu... tu confonds je pense avec la gingivectomie de la gencive linguale, afin de retrouver une limite compatible avec le collage
>Empreinte a l 'arrache (le prothésiste a
> du inventer la limite
A par ce que toi tu vois le résultat de l'empreinte à l'injection du light ? je peux t'assurer que les limites étaient bonnes ...
>Pas d 'essayage de l 'onlay avant la digue
Il ne t'a pas échappé que le film est monté, coupé, j'essaye en général mon onlay avant de poser la digue
> Pose de la digue avec déchirure , petit coup de bonding qui ne sert a rien en finition...
je veux bien recevoir cette critique
> sans parler que la cuspide DL (la plus exposée en latéralité non travaillante
> (non verifiée) risque de casser dans le futur
Et tu vois tout ça sur la vidéo ? t'es trop fort :)
>.C'est dommage de montrer ça.
Mais j'attends de voir tes vidéos, la critique est facile, l'art difficile...
--
Dr Cingulum
-----Ancien interné----
----Attaché à l'apex----
http://www.clinic-all.fr/ formation par passion
02/06/2014 à 21h18
Quand on diffuse une vidéo on s 'expose à la critique mais n'y vois aucune animosité.Tu sais on voit plein de choses sur ta vidéo.On sait quelle anesthésie tu as effectué et qu'il n'y a pas de protection canine a droite (pointe canine intacte) et je corrige ce que j'ai écris ,c 'est un mouvement de latéralité travaillant qui peut être ici à l 'origine de fractures cuspidiennes linguales.C'est le risque aussi pour la 46 .Prendre le risque d 'une fracture sous gingivale je comprends pas.Je n 'ai pas de vidéo sur le sujet mais quelques photos ou l 'on voit bien (félures) ce qui se passe sous des amalgames qui ne posent pas de problèmes.
02/06/2014 à 23h48
tristanavi écrivait:
--------------------
> Quand on diffuse une vidéo on s 'expose à la critique mais n'y vois aucune
> animosité.Tu sais on voit plein de choses sur ta vidéo.On sait quelle anesthésie
> tu as effectué et qu'il n'y a pas de protection canine a droite (pointe canine
> intacte) et je corrige ce que j'ai écris ,c 'est un mouvement de latéralité
> travaillant qui peut être ici à l 'origine de fractures cuspidiennes
> linguales.C'est le risque aussi pour la 46 .Prendre le risque d 'une fracture
> sous gingivale je comprends pas.Je n 'ai pas de vidéo sur le sujet mais quelques
> photos ou l 'on voit bien (félures) ce qui se passe sous des amalgames qui ne
> posent pas de problèmes.
Pas de problème pour la critique ; mais affirmer que l' empreinte n'est pas bonne, que l'occlusion est mal gérée, qu'il faut déposer les autres amalgames, que la digue est mal mise, tout ça à partir d'un montage vidéo, ce n'est plus de la critique, ça ressemble plutôt à un exercice de voyance...
;-)
--
Dr Cingulum
-----Ancien interné----
----Attaché à l'apex----
http://www.clinic-all.fr/ formation par passion
03/06/2014 à 00h19
j'ai 57 ans ; un DU d'occluso ( epoque on monte sur Stuart et on wax une arcade complete en RC) des pointes canines nickel et une fonction canine des 2 cotés......Etonnant non? Franchemetn c'est n'importe quoi: juger d'une occlusion avec des photos en macro???????.... a se demander pour quoi il ya des glands qui utilisent un arc facial et un articulateur.. ça commence a etre gonflant le bashing sur Eugenol; un jour les gars qui ont de la casse sur Emax en scellant au CVI decouvriront qu'il ya personne pour leur errpondre et ils auront aps a se demander pourquoi.
03/06/2014 à 00h44
Putaing, c'est la première fois que je vois quelqu'un critiquer le travail de Cingulum !
Qu'on ne soit pas d'accord avec ses décisions thérapeutiques, j'admettrais à la rigueur. Mais qu'on conteste la qualité de son boulot, j'en reste pantois.
Et pour en rajouter une petite couche, des fêlures, toutes les dents en ont. Sous un amalgame, peut-être un peu plus ou alors seulement parce que les produits de corrosion y ont diffusé et qu'on les voit mieux.
De là a décider d'onlaytiser systématiquement, il y a un pas que je ne m'imagine pas franchir en ce qui me concerne personnellement.
03/06/2014 à 03h40
Merci pour la vidéo, c était très interessant.
Maintenant j ai des questions et une remarque.
Je commence par la remarque que je pense constructive: tu utilise une fraise boule diamantée pour déposer l amalgame, comme beaucoup de confrères. Il faut absolument que tu essaye la fraise de chez komet, celle qui est double bague bleu conçue spécialement pour cela, ca change la vie.
Bon, sinon, je trouve interessant cette technique de collage mais j aimerais connaître le recul. Vous parlez de grand conférenciers l utilisant. Est ce une technique vraiment fiable dans le temps?
Sinon, de mon côté, je fais beaucoup d onlay, mais j avoue que utiliser un compo sur une très grosse cavit, cela me fait peur. Peur d une pulpite.cela t est il deja arrivé?
A un moment tu met d ailleur un composite me semble t il en fond de cavité. Pourquoi? Il ne me semble pas qu il y ait des contre dépouilles?
Pourrait tu donner la marque de la résine provisoire. Chez qui la trouve t on?
Tu as parle de glycérine a mettre dans la dent avant?
De mon côté, j utilise souvent un IRM en provisoire. Cela risque t il d affect mon collage si je le fais avec un Relix, un compo ou du multilink?
Enfin, j ai,pas,capté si on utilise d abord l ca fluorhydrique puis le silane ou l un ou l autre.
Voila, pour tout vous dire actuellement j utilise le Fuji plus en collage. Pour le moment ca fonctionne bien.
Mais a lire vos post, je me dis que c est peut être insuffisant dans la durée d ou l envie d apprendre et de changer.
Merci d avance , parceque la,,il y en a des questions.
A plaisir de voir tes vidéo.
03/06/2014 à 10h27
Salut Cingulum,
Bravo pour le travail qui me semble propre et net ( mais je peux me tromper ;)) et le partage !
A ce propos, sont-ce des vidéos que tu as prises avec ton Scialytique ?
Jp
03/06/2014 à 10h45
fuji + c'est un scellemetn. pour les onlays en Emax c'est un collage qu'il faut. donc acide et silane obligatoire. un des grands interets de l'Emax c'est sa possibilité d'etre collé et la solidité de la structure d'ensemble que cela confert.
Ce sont les MAgne brothers qui ont vraiment etabli et popularisé il y a une dizaine d'années l'ensemble de ces techniques et protocoles ( ce qui ne veut pas dire de plus qu'ils ont été les premiers a le faire ). Depuis de Vailati à Tirlet etcetc tout le monde s'y est mis en poussant la limite d'indication bien au dela de ce qu'un omni prat standart aura envie de faire. donc la quetion est plutot: est ceque des trucs que je n'oserai jamais faire de toute façon peuvent tenir 3 ans ; 5 ans ? 10 ans?
il ya des kilogs de bouquins et de formations là dessus . j'ose pas te dire d'aller te former chez Clinic-all où on est qq kilogs içi a etre passé ;) parcequ'il ya des formations partout là dessus mainteant; par contre ce n'est psa tout le monde qui accepte de t'ouvrir son cabinet et de venir y passer une juornéee. Avant lui , il y avait eu Alhoun, mac; et apres Tigabi et Marc Apap. Stephane Simon me l'avait proposé et je n'avais pas pu y aller. Qd des gens de cette qualité font ça opur une truffe comme moi ; ça me fait un peu mal au derche qu'on leur explique l'occlusion par la photo macro.
03/06/2014 à 11h07
Jpeg écrivait:
--------------
> Salut Cingulum,
>
> Bravo pour le travail qui me semble propre et net ( mais je peux me tromper ;))
> et le partage !
> A ce propos, sont-ce des vidéos que tu as prises avec ton Scialytique ?
> Jp
oui c'est filmé avec le scialytique Elio d'EKLER
--
Dr Cingulum
-----Ancien interné----
----Attaché à l'apex----
http://www.clinic-all.fr/ formation par passion
03/06/2014 à 11h10
C'est beau de voir les copains venir soutenir leur pote.Cela dit je redis que ce n 'est pas cette méthode qu'il faut transmettre .
03/06/2014 à 11h21
Hodina écrivait:
----------------
> Merci pour la vidéo, c était très interessant.
Merci
> Maintenant j ai des questions et une remarque.
> Je commence par la remarque que je pense constructive: tu utilise une fraise
> boule diamantée pour déposer l amalgame, comme beaucoup de confrères. Il faut
> absolument que tu essaye la fraise de chez komet, celle qui est double bague
> bleu conçue spécialement pour cela, ca change la vie.
Alors deux choses, tout d'abord en général je coupe les amalgames en gros bout, pour éviter la "poussière", mais là, l'axe du contre angle rentrait dans le champ de la camera :)
On peut pas observer sans modifier ce que l'on observe...
Ensuite j'essaye d'avoir le moins de fraise possible. J'ai 8 fraises dans mes kits, et je fait tout avec...
> Bon, sinon, je trouve interessant cette technique de collage mais j aimerais
> connaître le recul. Vous parlez de grand conférenciers l utilisant. Est ce une
> technique vraiment fiable dans le temps?
Oui... plus de 10 ans en tout cas.
> Sinon, de mon côté, je fais beaucoup d onlay, mais j avoue que utiliser un compo
> sur une très grosse cavit, cela me fait peur. Peur d une pulpite.cela t est il
> deja arrivé?
Le compo, la colle ce sont des résines... même combat.
La pulpite sur des onlays jamais eu. Sur des facettes/couronnes oui, environ 3-5 cas en 15 ans...
Des nécroses, plus souvent, lié je pense a l'atteinte pulpaire avant intervention. Dans ces cas je passe a travers la pièce céram et je bouche au compo
> A un moment tu met d ailleur un composite me semble t il en fond de cavité.
> Pourquoi? Il ne me semble pas qu il y ait des contre dépouilles?
c'est soit pour remonter la marge et me simplifier l'empreinte (comme ça je peux faire ça comme un cochon) et le collage. Ou alors pour diminue l'épaisseur de ceramique en vue du collage que photo.
Ensuite ça créer ce que l'on appelle l'IDS (immediate dentin sealing) qui permet de protéger la dentine et la pulpe et soit disant améliore le collage.
> Pourrait tu donner la marque de la résine provisoire. Chez qui la trouve t on?
là c'est du Telio Onlay Ivoclar
> Tu as parle de glycérine a mettre dans la dent avant?
si tu mets adhésif et compo avant l"empreinte, il faut sinon ton provisoire est "collé" !
> De mon côté, j utilise souvent un IRM en provisoire. Cela risque t il d affect
> mon collage si je le fais avec un Relix, un compo ou du multilink?
Oui il contient de l'eugenol, pas bon avec les résines
> Enfin, j ai,pas,capté si on utilise d abord l ca fluorhydrique puis le silane ou
> l un ou l autre.
Sablage, acide fluo 20sec, et silane ensuite
> Voila, pour tout vous dire actuellement j utilise le Fuji plus en collage. Pour
> le moment ca fonctionne bien.
> Mais a lire vos post, je me dis que c est peut être insuffisant dans la durée d
> ou l envie d apprendre et de changer.
ça va être insuffisant dans des cas d'overlay, onlay a plat, ou facette
Comme pour les fraises, j'aime bien rationaliser et avoir un seul protocole de collage d'emax qui permet de tout coller très fort...
> Merci d avance , parceque la,,il y en a des questions.
> A plaisir de voir tes vidéo.
Pour finir un peu d'accord avec Hallboy, j'ai jamais refuser la critique, sinon je serais plus sur Eugenol, mais la tendance est à la critique gratuite, sans partage en retour.
Je suis dentiste, omnipraticien, je filme et montre ce que je fais tout les jours, je suis pas là pour faire la vidéo qui fait baver, mais où on change de crampon de digue entre deux séquence par ce qu'ils sont sales.... a bon entendeur ...
--
Dr Cingulum
-----Ancien interné----
----Attaché à l'apex----
http://www.clinic-all.fr/ formation par passion
03/06/2014 à 12h24
Je suis dentiste, omnipraticien, je filme et montre ce que je fais tout les jours, je suis pas là pour faire la vidéo qui fait baver, mais où on change de crampon de digue entre deux séquence par ce qu'ils sont sales.... a bon entendeur ...
....
et accessoirement pour faire de la pub gratuite pour des formations payantes.
03/06/2014 à 12h38
mais je doute pas de tes qualités Tristan; sauf que si tu peux determiner une occlusion avec un flash annulaire faut publier.
Mais e fond du truc, c'est le bashing gratuit. tu es bien contetn qd tu as de la casse qu'on vienne te repondre; et c'est ce genre de conduite qui au fil des ans vide Eugenol. Qd tout le monde ne sera plus qu 'en groupe privé sur Facebook; faudra pas se demander pourquoi.
si les Magne ou Dietschi veulent publier sur eugenol , j'en ai rien a carrer qu'ils disent qu'ils font des formations... c'est comme raler parcequ'il ya des pubs sur les bandeaux d'Eugenol ; ça m'enchante pas ; masi si ça me convient pas ,j'ai qu'a ouvrir le mien de Forum, pour voir si ça se fait sans me couter un rond.