Cookie Consent byPrivacyPolicies.comEt la suroccl revient, le jour suivant... - Eugenol

Et la suroccl revient, le jour suivant...

Mario ycg44a - Eugenol
Mario180

18/06/2014 à 01h05

sumble écrivait:
----------------

> Pour en revenir au sujet, Mario, as tu contrôler aussi les latéralités?

Je ne contrôle pas strictement les latéralités, je contrôle toutes les incisions (incisives et canines ou prémolaires).

Cette dent n'avait plus qu'une fonctionnalité accessoire voire inexistante au dernier épisode.

J'ai oublié de poster les images, j'y pense demain.

Isaie, je reste coi.

La seule chose que j'entends, c'est un jargon qui veut dire "forme-toi, c'est trop compliqué à t'expliquer"


Blue eye thumb medium dx1i0w - Eugenol
bill

18/06/2014 à 01h45

Tu as parfois des mouvements de latéralités ou de propulsion qui induisent des abrasions sur certaines centrales sup., mouvements impossibles à reproduire par le patient et pourtant il y a abrasion +++ évolutive.

Tu as des personnes, en dormant par exemple à plat-ventre, qui arrivent à des contacts occlusaux surprenants...
Peut-être une piste ?


carident

18/06/2014 à 02h40

bill écrivait:
--------------
> Tu as parfois des mouvements de latéralités ou de propulsion qui induisent des
> abrasions sur certaines centrales sup., mouvements impossibles à reproduire par
> le patient et pourtant il y a abrasion +++ évolutive.
>
> Tu as des personnes, en dormant par exemple à plat-ventre, qui arrivent à des
> contacts occlusaux surprenants...
> Peut-être une piste ?

Les personnes qui ont des arcades zygomatiques proéminentes, et qui dorment latéralement, présentent une propension à faire des diductions involontaires de grandes amplitudes liées au relâchement musculaire et à l'apesanteur durant le sommeil...

Pour peu que le patient dorment toujours sur le même côté...


Bebe 038 nf8eum - Eugenol
danteyeah

18/06/2014 à 04h27

isaïe écrivait:
---------------
> Pourquoi ça se passe comme ça?
> Ici ex des 46 36. La 37 se couche tandis que la 47 reste en place et les 45, 44
> s'offrent une croisière distale.

Je suis sensible à ton argumentaire Isaie. Mais ici l'exemple semble mal choisi ou trop peu informatif: les 6 ont elles été extraite au même moment? La 45 était elle sur l'arcade à ce moment, où se situait son germe sinon? Quel type d'occlusion avait on lors des avulsions, rôle de la langue, de la respiration à ce moment.......


Bebe 038 nf8eum - Eugenol
danteyeah

18/06/2014 à 04h49

Bon Mario revenons à des questions basiques: observe tu un migration coronaire de la limite cervicale de la couronne?
Dans le cas contraire pourquoi ne voir que la 11 dans ta sur occlusion récidivante, et ne pas prendre son ou ses antagonistes en compte? Et d'imaginer alors l'impact de la langue et de la musculature labiales sur l'alignement de ces dernières. Dans le même ordre d'idée: as tu contrôler la phonation et donc l'impact directe de la langue sur ta centrale (mais bon dans ce cas il ne devrait y avoir qu'une vestibuloversion et non une suroccl.)


isaïe

18/06/2014 à 09h41

Mario,
Ton patient à quel âge ?


colza2

18/06/2014 à 09h50

désolé je bifurque un peu du sujet
isaïe tes recherches expliqueraient pourquoi certaines dents sans antagonistes s'égressent et d'autres non?


isaïe

18/06/2014 à 10h08

Colza,
C'est un phénomène qui ne trouve pas d'explication dans le modèle mécaniste qui considère qu'une dent est bloquée par son antagoniste.
Le maintien de la position par les voisines, les antagonistes, les couloirs musculaires est bien entendu tout à fait justifié et raisonnable, on ne peut pas nier leur rôle.
Mais quand on a des déplacements inexplicables, je pense qu'il faut pouvoir envisager d'autres paramètres et sans tomber dans l'irrationnel.

Pour ceux que ça intéresse, je peux fournir en gros le cadre "occlusal" dans lequel je fonctionne. Hélas avec des raccourcis que je pourrais approfondir, mais l'endroit ne convient peur-être pas.

Un gros générateur de champ électrique est l'étirement musculaire, ligamentaire, tendineux, par la nature élastique des composants. Ce champ alternatif, dont il n'est pas nécessaire de connaître pour le moment sa ou ses fréquences, induit une asymétrie posturale. C'est facile à vérifier en massant n'importe quel muscle.
Nous devons obtenir la même induction d'asymétrie posturale par la pression sur n'importe quelle dent et dans n'importe quel axe. Si nous ne l'obtenons pas, c'est que le ligament n'existe pas (implant) ou qu'il est dans un état tel qu'il ne peut plus se déformer au moins dans une direction et une des causes est la surocclusion.
Il y a des conditions à cet examen de la posture qu'il faudrait détailler, mais bon, c'est juste pour donner une idée de l'approche.
J'ajoute simplement qu'en matière d'étirement musculaire, tendineux iatrogène, la surocclusion, c'est de la rigolade à côté des étirements oculomoteurs générés par l'effet prismatique des verres correcteurs, qui sont pour moi des tueurs invisibles.


Amibien

18/06/2014 à 21h46

isaïe écrivait:
---------------
> Je n'ai qu'une expérience limitée des traitements sur implants.
> Est-ce qu'on rencontre souvent ce phénomène de récidive de "sur-contact" ?
************************************************

jamais à ma connaissance


Amibien

18/06/2014 à 21h50

isaïe écrivait:
---------------
> Colza,
> C'est un phénomène qui ne trouve pas d'explication dans le modèle mécaniste qui
> considère qu'une dent est bloquée par son antagoniste.
> Le maintien de la position par les voisines, les antagonistes, les couloirs
> musculaires est bien entendu tout à fait justifié et raisonnable, on ne peut pas
> nier leur rôle.
> Mais quand on a des déplacements inexplicables, je pense qu'il faut pouvoir
> envisager d'autres paramètres et sans tomber dans l'irrationnel.
>
> Pour ceux que ça intéresse, je peux fournir en gros le cadre "occlusal" dans
> lequel je fonctionne. Hélas avec des raccourcis que je pourrais approfondir,
> mais l'endroit ne convient peur-être pas.
>
> Un gros générateur de champ électrique est l'étirement musculaire, ligamentaire,
> tendineux, par la nature élastique des composants. Ce champ alternatif, dont il
> n'est pas nécessaire de connaître pour le moment sa ou ses fréquences, induit
> une asymétrie posturale. C'est facile à vérifier en massant n'importe quel
> muscle.
> Nous devons obtenir la même induction d'asymétrie posturale par la pression sur
> n'importe quelle dent et dans n'importe quel axe. Si nous ne l'obtenons pas,
> c'est que le ligament n'existe pas (implant) ou qu'il est dans un état tel qu'il
> ne peut plus se déformer au moins dans une direction et une des causes est la
> surocclusion.
> Il y a des conditions à cet examen de la posture qu'il faudrait détailler, mais
> bon, c'est juste pour donner une idée de l'approche.
> J'ajoute simplement qu'en matière d'étirement musculaire, tendineux iatrogène,
> la surocclusion, c'est de la rigolade à côté des étirements oculomoteurs générés
> par l'effet prismatique des verres correcteurs, qui sont pour moi des tueurs
> invisibles.
*************************************************


Si je pousse à peine, un contact très léger, avec un pellet d'ouate tenu dans une précelle sur une couronne implanto portée j'obtiens le signe clinique chez le sujet ayant dégluti. Idem avec un bout de fil de soie... Où est l'étirement ici ?


isaïe

19/06/2014 à 09h33

Si on me permet une précision…
"c'est que le ligament n'existe pas (implant) ou qu'il est dans un état tel qu'il ne peut plus se déformer au moins dans une direction et une des causes est la surocclusion."
Ce qui ne veut pas dire qu'il faille modifier l'occlusion.


Amibien

19/06/2014 à 10h07

isaïe écrivait:
---------------

> J'ajoute simplement qu'en matière d'étirement musculaire, tendineux iatrogène,
> la surocclusion, c'est de la rigolade à côté des étirements oculomoteurs générés
> par l'effet prismatique des verres correcteurs, qui sont pour moi des tueurs
> invisibles.

**********************************************

quand tu parles des "tueurs invisibles" tu penses réellement que cela tue au sens littéral du terme ? Te connaissant je pense que tu as utilisé ces termes dans ce sens là mais je voudrais que tu en dises plus, merci.


Grueavatar nptrc9 - Eugenol
Le Choixpeau magique

19/06/2014 à 10h35

Salut Mario, est-ce que tu as une photo des contacts sur cette couronne ?
Comme les autres dents, si une incisive n'a pas de calage, elle subit une égression, ce n'est pas très étonnant qu'en supprimant tous les contacts d'autres se créent.
Est-ce que la dent est mobile ?


Amibien

19/06/2014 à 13h41

Un truc bizarre ce matin et dans la ligne de ce dont on parle...

Trois implants dans une greffe sinusale bien consolidée, je fixe les piliers définitifs à 30 Nm, je fourre mon eugénate dans les fûts, je fais l'empreinte globale, je confectionne un provisoire résine sur ces trois piliers implantaires, j'ajuste l'occlusion, plus de gêne aucune, je sors l'engin de la bouche pour le polir, je le repositionne et là, chose curieuse, une énorme surocclusion, je me dis que ce n'est pas resdescendu à fond, je contrôle, non il est à fond, alors je meule à nouveau jusqu'à tomber juste avec les antagonistes... C'est comme si les implants à la suite de la mise en occlusion étaient devenus plus hauts ??? Serait-il possible que cette mise en occlusion provoque un appel de fluide dans la matrice extracellulaire osseuse et que la région gonfle littéralement faisant monter les piliers implantaires ??? Il faudrait pouvoir le mesurer mais comment ?

Ce qui m'inquiète c'est que j'ai fait l'empreinte avant de confectionner le provisoire et qu'il se pourrait que l'empreinte soit fausse, autrement dit le biscuit sera lui aussi en surocclusion...


Mario ycg44a - Eugenol
Mario180

19/06/2014 à 13h55

Le patient reviens demain, donc je pourrai donner des nouvelles plus fraiches concernant la suroccl et la mobilité.

On pourra comparer la photo d'il y a 2 mois et la situation actuelle (dont j'espère neanmoins qu'elle est la même)


Mario ycg44a - Eugenol
Mario180

20/06/2014 à 16h09

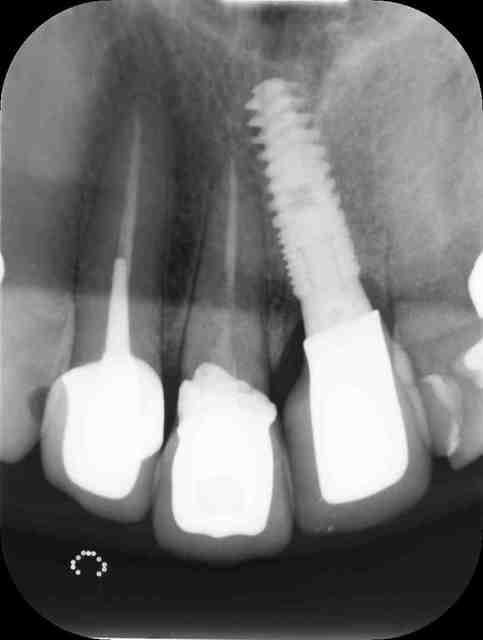
Patient revenu ce jour : couronne descellée, avec surocclusion ré-apparue.

J'ai fait une photo, mais la carte mémoire n'était pas dans l'appareil, alors impossible de l'extraire de la mémoire interne.

Contact ré-apparu en plein sur le cingulum, et sur la face palatine du bord triturant.

Qui plus est, la couronne parait maintenant près d'1/2 mm plus longue que la voisine.

J'ai retouché et vais faire un relais avec une provisoire pour tester différents contacts occlusaux avant de refaire, puisque les retouches concernent à présent l'armature zircone.

Ci-joint la photo des contacts photographiés lors de la précédente visite (13/05, après retouches occlusales), et la radio de ce jour.

Pour info restauration sur implant 21 : 16/06/2010

Ci5 t8vw4v - Eugenol
C5 ilhlqf - Eugenol

isaïe

20/06/2014 à 18h42

A mon avis, elle reçoit l'ordre de quitter le territoire...


Mario ycg44a - Eugenol
Mario180

20/06/2014 à 19h43

isaïe écrivait:
---------------
> A mon avis, elle reçoit l'ordre de quitter le territoire...

Pourtant elle est en règle et née en France de père français.


Smile beach jgh0a1 - Eugenol
Céramik

25/06/2014 à 00h18

elle semble au bout du rouleau cette 11...
un autre implant ?

--
Céramik


Vw campersurfvan bmnk1q - Eugenol
enlaye

25/06/2014 à 02h04

la molaire du bas du coté opposé elle est comment ?
et il n y aurait pas une sur occ sur la laterale ?


Mario ycg44a - Eugenol
Mario180

25/06/2014 à 11h52

enlaye écrivait:
----------------
> la molaire du bas du coté opposé elle est comment ?
il s'avère que monsieur en a même plusieurs.

> et il n y aurait pas une sur occ sur la laterale ?
je me demande dans quelle mesure ça pourrait découler du fait que les contacts occlusaux ont été supprimés sur la centrale...
Qui plus est cette couronne est très ancienne et ne montre aucun signe de pathologie de quelque nature que ce soit.


Vw campersurfvan bmnk1q - Eugenol
enlaye

25/06/2014 à 12h55

si tu as une epine dans le talon tu va l eviter et marcher sur l avant .
et tu vas me dire mais j ai pas mal au talon mais a l orteil!!

met la 7 du bas du coté opposé en sous occ surtout la crete distale.

aucun mais aucun contact sur la laterale

pour commencer .

photos moulages h+b ?


Darmon - Eugenol
Latin

25/06/2014 à 13h55

Céramik écrivait:
-----------------
> elle semble au bout du rouleau cette 11...
> un autre implant ?
>
> --
> Céramik

La voilà la solution : tu mets un implant comme ça avec l'ostéointégration plus d'égression possible!


Mario ycg44a - Eugenol
Mario180

25/06/2014 à 20h15

Latin écrivait:
---------------
> Céramik écrivait:
> -----------------
> > elle semble au bout du rouleau cette 11...
> > un autre implant ?
> >
> > --
> > Céramik
>
> La voilà la solution : tu mets un implant comme ça avec l'ostéointégration plus
> d'égression possible!

LE patient me l'a suggéré, et comme un con j'ai décliné...


enlaye écrivait:
----------------
> si tu as une epine dans le talon tu va l eviter et marcher sur l avant .
> et tu vas me dire mais j ai pas mal au talon mais a l orteil!!
>
> met la 7 du bas du coté opposé en sous occ surtout la crete distale.

Bonne suggestion, je vais m'y intéresser. Merci

désolé par de photos moulage.

c'est le genre de situation qui s'amène sans prévenir, je ne m'imaginais pas en avoir besoin


Blocperso talon jer3sl - Eugenol
mrquentin

12/09/2014 à 16h37

Bon alors, la mise en sous occlusion de la 47 a regle le problème? J ai une petite théorie de la sur occlusion qui réapparaît mais c est qu une théorie
Le patient a une musculature tres forte, notamment dans l orbiculaire des lèvres. Ca appuie sur les deux centrales qui sont un peu plus antérieures que les autres dents. L implant ne bouge pas, la dent naturelle oui. Du coup, sur occlusion, et comme il n y a pas de tenon, il y a des descellement.