Cookie Consent byPrivacyPolicies.com1ere fois que ca m arrive!!!!!! - Eugenol

1ere fois que ca m arrive!!!!!!

Vw campersurfvan bmnk1q - Eugenol
enlaye

07/07/2014 à 14h24

Bien bien les affaires reprennent on dirait ,

réponse a doc Edmond:

il ne fallait pas nous parler comme ça , nous on aime trop et on a un sentiment de trop peu ,
obligé de revenir causer , et oui quand on aime on compte pas ,,,,,,l info,

vous nous dites que la corrélation entre in vivo et in vitro n est pas toujours évidente en rapport a des paramètres que l on ne maitrise pas tjs, ceci devrait vous plaire http://www.agence-nationale-recherche.fr/projet-anr/?tx_lwmsuivibilan_pi2%5BCODE%5D=ANR-11-BSV2-0016


RépondreCiter
Nouveau image bitmap fz77zh - Eugenol
Sethef

07/07/2014 à 14h32

Tu es la seule ici à parler de jeunes et de vieux.

Ce ne sont pas des faits précis, juste que ce type d'arguments, je l'entends toujours dans la bouche de praticiens médiocres.

-on couronne, on verra combien de temps ça tiendra
-on va essayer de la sauver
-prenez de la piascledine, ça renforcera vos gencives

Tout ça je l'ai vu, et quand le patient arrive chez toi avec 17 merdouilles à bas bruit, toutes prêtes à claquer, et que tu dois repartir à zéro, ben c'est chiant.
Mon prédécesseur est parti à la retraite à 65 piges, je ne reprends jamais ses boulots parce que c'est clean.



Tout cela n'a rien à voir avec Enlaye.


Orezza gazeuse verre litre ocoxey - Eugenol
casa

07/07/2014 à 15h00

Sethef écrivait:
> Par contre, je n'aime pas le "c'était mieux avant", le "les jeunes n'ont pas sens clinique" .

C'est pas moi qu'à commencer !!!
Excuse enlaye de polluer ta discussion ...


Vw campersurfvan bmnk1q - Eugenol
enlaye

07/07/2014 à 15h08

casa essaye le pacifique !! du calme

réponse a SETHEF,

quand je disait « il ne peut pas y avoir d expérience avec une seule éprouvette « c est une image bien sur ,

quand je disait ne prenez pas de risques ce n était pas de risques opératoires non plus , mais de risque medico-legal bien sur .

On prend des risques tous les jours même avec des techniques certifiées conformes !

Regardes ce cas réel qui a fini au tribunal .


Une femme décide de supprimer son complet du bas et va consulter.
Elle n avait pas gd chose a reprocher a son complet du bas si ce n est que c est une prothèse mobile comme son nom l indique .
Mais voilà qu on lui explique qu il n ya plus assez d os pour poser des implants sauf si greffe....et que probablement lors de l élaboration de son complet il devait y en avoir assez a l époque .
Malchance pour la dentiste la femme retrouve le panoramique de l époque .( de plusieurs années date du complet)

Et bien il a été convenu que le complet avait érodé les crêtes et qu a l époque la dentiste aurait DU lui suggérer fortement d aller se faire …...poser des implants (bien que ce n était pas encore la mode a l époque )
la dentiste a été condamnée par les tribunaux.

Et pourtant on parle de technique de prothèse totale hyper éprouvée qui date de l'époque MING s'il faut !


Attention SETHEF peut être un jour on te reprochera d avoir jeté une dent en 2014 alors q enlaye …......LOL.





Orezza gazeuse verre litre ocoxey - Eugenol
casa

07/07/2014 à 15h16

Toujours aussi drôle ! Mais alors , on a tous des procès aux fesses en puissance ...arrrgh ,on est foutu !
Pacifique , connais pas par contre la Méditerranée...


Index vakr2r - Eugenol
pgc

07/07/2014 à 15h31

Sethef écrivait:
----------------

>...
> -on couronne, on verra combien de temps ça tiendra
> -on va essayer de la sauver
> -prenez de la piascledine, ça renforcera vos gencives
>

Juste pour dire: ce problème est éternel. Je l'ai vu en commençant à bosser il y a plus de 20 ans. Je le vois encore.
Je connais très bien des praticiens très jeunes, et des quadra, et des vieux birbes, qui travaillent de cette manière.
Les saligauds, les margoulins, les maladroits et les idiots sont la plaie de ce métier. Je ne sais pas ce qu'il faut faire pour s'en débarrasser. Ils y a tous les jours des jeunes saligauds qui viennent remplacer les vieux saligauds qui partent enfin à la retraite.


> Tout ça je l'ai vu, et quand le patient arrive chez toi avec 17 merdouilles à
> bas bruit, toutes prêtes à claquer, et que tu dois repartir à zéro, ben c'est
> chiant.

C'est fréquent et c'est insupportable. Des fois, après l'examen, et devant la pano, on baisse les bras. Ca m'arrive.

> Mon prédécesseur est parti à la retraite à 65 piges, je ne reprends jamais ses
> boulots parce que c'est clean.
>

Parce que c'est un monsieur qui bossait bien. Et tu es drôlement verni de prendre sa suite!



Index vakr2r - Eugenol
pgc

07/07/2014 à 15h37

Juste pour dire: c'est un métier épuisant. Il y a des praticiens qui se sont complètement désinvestis 10 ans avant la retraite, ou qui n'y voyaient plus rien, ou qui avait un début de Parkinson.
Donc un conseil pour les jeunes: ne bossez pas trop, faites du sport, détendez-vous, gardez du temps pour la famille et les proches. Vous n'en serez que meilleurs au travail.

Jusqu'à présent je n'ai suivi aucun de ces conseils, mais c'est mon chantier pour 2015 et la suite: ne pas mourir au travail, personne n'ira à mon enterrement en disant que je faisais de belles endos ou que sais-je. J'adore les fleurs, mais pas allongé sur le dos avec une couronne sur l'estomac. Je veux les voir de mes yeux, debout (avec une VisaGold à forte capacité dans ma poche, si possible).


Orezza gazeuse verre litre ocoxey - Eugenol
casa

07/07/2014 à 15h41

"Parce que c'est un monsieur qui bossait bien. Et tu es drôlement verni de prendre sa suite!"


Pourtant la seule digue qu'il connaissait c'est, sans doute, celle de Nantes à Montaigu !


Vw campersurfvan bmnk1q - Eugenol
enlaye

07/07/2014 à 16h13

Excellent casa ! Tu as essayé l Antesite ?


Orezza gazeuse verre litre ocoxey - Eugenol
casa

07/07/2014 à 18h26

Tiens un petit exemple de ce qui n'arrivait pas il y a de ça quelques années : nouvelle patiente , 14 descellée : à l'interrogatoire, la ccm à 1 an ( et foi de vieille , elle ne tiendra jamais!) par contre grosses caries sur 13 23 et 27 à extraire tellement elle est atteinte ... a donc consulté un jeune installé et ceci n'a rien à voir avec son age (il a peut être 50 balais !) il y a donc un an environ !!! il a peut être le sens clinique (!) mais il a surtout le sens des affaires ! ah oui le pauvre il a de gros emprunts à payer !( haro sur la CNSD ?) . Ben moi , ça m'agace aussi légèrement !!!

oups je suis complètement sortie du sujet ! Enlaye faut pas m'en vouloir mais faut pas me chercher non plus !


edmond

07/07/2014 à 19h35

enlaye écrivait:
----------------
>dites que la corrélation entre in vivo et in vitro n est pas toujours
> évidente en rapport a des paramètres que l on ne maitrise pas tjs, ceci devrait
> vous plaire
> http://www.agence-nationale-recherche.fr/projet-anr/?tx_lwmsuivibilan_pi2%5BCODE%5D=ANR-11-BSV2-0016

,

merci pour le lien !

ayant encore lu récemment ceci dans Kupiec 2013 "origine des individus " p167 Fayard

"-Un organisme est toujours dépendant de trois facteurs que sont son ADN, l'Environnement et l'Histoire portée par la structure"

c'est ce troisième facteur qui a mon avis complique l'affaire et explique , peut être, pourquoi ex vivo la plasticité cellulaire est plus importante que in vivo ..

sinon j'ai sous les yeux AOS juin 2014 le paragraphe "cellules souches et parodonte profond" semble parfaitement se rapporter a ce fil et en particulier concernant l'importance de la vascularisation ..




Vw campersurfvan bmnk1q - Eugenol
enlaye

07/07/2014 à 21h05

et donc ? il dit quoi cet AOS ?
on attend tous bouches bées !

faut faire vite avant que casa ne se mette a l anisette.


edmond

07/07/2014 à 21h16

dans ledit paro profond , les Cell Souches se rencontrent a proximité des vaisseaux , dans leur endothéliumn, et dans le système circulatoire ......Ces CSM sont pluripotentes ( différenciation en ostéoblastes, chondroblastes, cementoblastes, fibroblastes )

Mais attention avec la réserve que c'est en culture et en culture la plasticité cellulaire est plus élevée que in vivo ..


Nouveau image bitmap fz77zh - Eugenol
Sethef

07/07/2014 à 22h33

casa écrivait:
--------------
> Tiens un petit exemple de ce qui n'arrivait pas il y a de ça quelques années :
> nouvelle patiente , 14 descellée : à l'interrogatoire, la ccm à 1 an ( et foi de
> vieille , elle ne tiendra jamais!) par contre grosses caries sur 13 23 et 27 à
> extraire tellement elle est atteinte ... a donc consulté un jeune installé et
> ceci n'a rien à voir avec son age (il a peut être 50 balais !) il y a donc un an
> environ !!! il a peut être le sens clinique (!) mais il a surtout le sens des
> affaires ! ah oui le pauvre il a de gros emprunts à payer !( haro sur la CNSD
> ?) . Ben moi , ça m'agace aussi légèrement !!!
>
> oups je suis complètement sortie du sujet ! Enlaye faut pas m'en vouloir mais
> faut pas me chercher non plus !


Ben oui, c'est un naze. Moi, ce genre de choses, je les voyais beaucoup dans ma première collab, et ça faisait un bail que ça durait. Prat qui ne traitait que ce qui faisait mal. La piascledine, c'est elle aussi. Elle n'a pas compris pourquoi je ne voulais pas reprendre son cab, pourtant donné. Va savoir.


Orezza gazeuse verre litre ocoxey - Eugenol
casa

07/07/2014 à 22h57

"faut faire vite avant que casa ne se mette a l anisette."

Jamais avant le casa !

Sinon sethef : soigner ce qui fait mal, ça me choque moins que de soigner seulement ce qui rapporte le plus ...

Intéressant l'histoire des petites cellules souches ...


Vw campersurfvan bmnk1q - Eugenol
enlaye

07/07/2014 à 23h03

.


Ce que veut dire Doc Edmond ( en vulgarisant)

c est qu une cellule souche peut se différencier en une cellule type en fonction du milieu ou elle est placée , elle a tous le codages de toutes les cellules du corps humain et c est seulement l immobilité de cette même cellule qui déclenche le codage du noyau qui va donner l ordre de se transformer pour ressembler a sa cellule voisine.

Elle a donc besoin d être adsorbée sur une surface ( la racine ) par l intermédiaire de protéines d adhésions comme le collagène et les fibroleptines ...et qu elles reconnaissent la séquencece d acides aminés propres a la racine ,

tout cela dépend des propriétés de surfaces du biomédicaux: composition chimique,aspect topographique de surface etc ,

Donc il est facile de comprendre que la racine enlevée ET tout de suite replacée n a pas la même composition de surface que celle expulsée ramassé dans la cour de l école trempée dans du lait et réimplantée ,:le codage RGD est forcement diffèrent ,d' ou peut etre des problemes de resorption

De plus comment voulez vous que les protéines soient stables si il y a un problème infectieux !
C'est donc que dans le cas de latérale nécrosée il ne pouvait y avoir de cause bactérienne ,( de même que pour les autres cas après curetage )
CQFD

pas trop dit de bêtises Doc Edmond ?






Nouveau image bitmap fz77zh - Eugenol
Sethef

07/07/2014 à 23h11

casa écrivait:
--------------

>
> Sinon sethef : soigner ce qui fait mal, ça me choque moins que de soigner
> seulement ce qui rapporte le plus ...

>

Coup de chance que ce soit souvent la même chose alors.


Debroc

07/07/2014 à 23h25

.euh je prends la conversation en cours... J ai moi aussi sous la main..un vieil SAS du juin... Mais de 74....le titre fini aussi par.... "profond".... On parle de la même chose...?


Vw campersurfvan bmnk1q - Eugenol
enlaye

08/07/2014 à 03h14

Prince malko tu es démasqué ,

ici on discute entre connoisseur sur l art de remettre ,

perso je soutiens qu il faut la remettre très vite pour un max d efficacité ,Mis a par CASA qui est tjs prête a remettre la sienne au comptoir avec PGC ,les autres craignent la résorption ankylosante , Je reconnais que la résorption ça doit pas être drôle a négocier en 2 me intention mais plus tu attends plus elle arrive, ,c est peut être pour ça qu ils préfèrent l'obturation a rétro directe , pour être sur de pas avoir a y revenir,
Donc tu vois tu n as rien perdu du fil : des LQOS aux AOS et meme SAS ou OSS on est pas plus avancés .Faut pas mollir


Vw campersurfvan bmnk1q - Eugenol
enlaye

08/07/2014 à 10h36

par contre un SAS de 74 ç est un peu depassé .
vas voir un peu sur
http://www.omnidentiste.com/
Là il y a toutes les references utiles pour bosser les devoirs de vacances .C' est la nouvelle CCAM :Cas
Cliniques
A
Mediter.

et là c est vraiment exaustif .


Orezza gazeuse verre litre ocoxey - Eugenol
casa

08/07/2014 à 11h02

Excellent Pal , hier j'ai viré une patiente ch.... et je m'en suis lu une , histoire de décompresser. Mieux que le yoga et Eugenol qui parfois peut te mettre les nerfs en p'lotte .
Perso , les cas je les ai tous !


Capture d  cran 2015 03 12 12.28 - Eugenol
chicot29

08/07/2014 à 11h35

casa écrivait:
--------------

> Sinon sethef : soigner ce qui fait mal, ça me choque moins que de soigner
> seulement ce qui rapporte le plus ...

En l'occurrence ce qui rapporte tout court, mais difficile de ne faire "que" de la prothèse quand meme, a part travailler dans un centre low cost pour faire du volume et ainsi baisser les prix (non, non ca n'est pas l'économie d'échelle ni l'organisation qui font baisser les prix mais le sur-traitement)


Orezza gazeuse verre litre ocoxey - Eugenol
casa

08/07/2014 à 11h51

chicot , toi par ici ? je me disais aussi ...


Vw campersurfvan bmnk1q - Eugenol
enlaye

08/07/2014 à 14h34

CHICOT que penses tu de

"De plus comment voulez vous que les protéines soient stables si il y a un problème infectieux !
C'est donc que dans le cas de latérale nécrosée il ne pouvait y avoir de cause bactérienne ,( de même que pour les autres cas après curetage ) " ??

C'a tient la route ?


Vw campersurfvan bmnk1q - Eugenol
enlaye

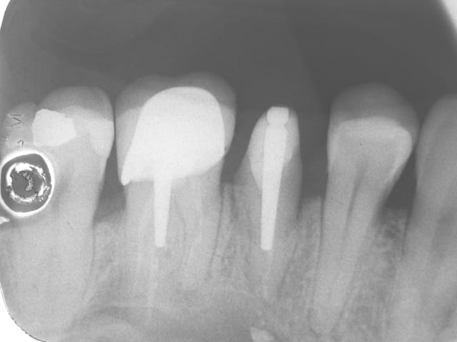
05/08/2014 à 11h37

ci joint la radio de controle du coup du loukoum :soit 1 an apres extraction reimplantation

http://www.eugenol.com/sujets/406035-1ere-fois-que-ca-m-arrive?page=32

V4 .06 - Eugenol
V5 .07 - Eugenol

1...141516...