Cookie Consent byPrivacyPolicies.com1ere fois que ca m arrive!!!!!! - Eugenol

1ere fois que ca m arrive!!!!!!

Vw campersurfvan bmnk1q - Eugenol
enlaye

05/08/2014 à 12h36

a ce jour il y a tjs le provisoire .
il n y a pas de mobilité
aucune nociception
une belle gencive
par contre a la radio on dirait une perte d os en mesial . au sondage il n y a pas de poche .

comme avec les autres cas il y a tjs un petit lissage de l apex sans que l on puisse parler de resorption pour autant.
j ai l impression que la reconstruction osseuse autour de l apex se fait comme dans les autres cas ,d une façon centrifuge en partant de l apex.


Vw campersurfvan bmnk1q - Eugenol
enlaye

09/09/2014 à 14h10

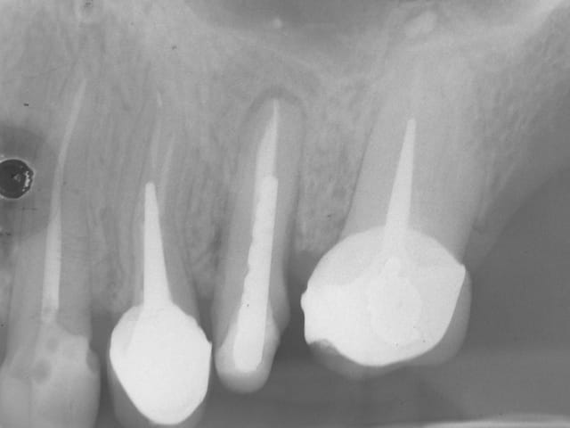
ci joint la radio de controle de l extraction reimplantation du cas de la page 11.
http://www.eugenol.com/sujets/406035-1ere-fois-que-ca-m-arrive?page=11

la reconstruction osseuse a l apex est evidente .
il n y a pas eu de provisoire sur cette dent et c est dommage .en effet il y a une migration en mesial et le ligament est lache .

faudrait faire la prothese au plus vite mais là c est une autre histoire.......financiere....

09.09 - Eugenol

Image saznoz - Eugenol
Hodina

09/09/2014 à 14h35

Bravo.


6szjws718sv1jksw54v4mpj3a6cu - Eugenol
vulpi

09/09/2014 à 14h47

Bonjour enlaye, observes tu des ankyloses? Et si oui, à quelle fréquence?


Vw campersurfvan bmnk1q - Eugenol
enlaye

09/09/2014 à 15h18

bonjour a vous
a HODINA:
bravo mais de pas de grand chose . il suffit d enlever de curetter et de remettre .pas compliqué ça .Y a pas de quoi en faire tout un patacaisse . C'est aux cellules souche qu il faut dire BRAVO.

a VULPI:
non jamais ,mais quand bien meme on s'en fout non ? .on me demande tjs s il y a des rysalyses ou des ankyloses,je ne sais pas d'ou vient cette angoisse !?!


6szjws718sv1jksw54v4mpj3a6cu - Eugenol
vulpi

09/09/2014 à 15h26

j'en ai vu, mais suite à trauma expulsion...endo, réimplantation.


Vw campersurfvan bmnk1q - Eugenol
enlaye

09/09/2014 à 15h47

a oui mais dans ces cas la reimplantation depasse largement les 5 mn apres l expulsion . l alveole considere alors la dent comme un element etranger . la phase detersive est plus importante .
imagines que tu fores pour un implant a midi puis que tu le mettes au retour du resto , a mon avis ça marche moins bien que si tu le poses tout de suite .


Orezza gazeuse verre litre ocoxey - Eugenol
casa

09/09/2014 à 17h18

"faudrait faire la prothese au plus vite mais là c est une autre histoire.......financiere...."
Ne me dis pas que tu soignes la femme de Thomas Thevenoud !

Quant au forage , restau, implant ..ben ça dépend de ce que tu as mangé à midi .. si c'est un aïoli , t'es mal parti en effet!
Je dis bravo à la nature humaine et à ceux qui osent l'impossible !


Darmon - Eugenol
Latin

09/09/2014 à 18h41

enlaye écrivait:
----------------
on me demande tjs s il y a
> des rysalyses ou des ankyloses,je ne sais pas d'ou vient cette angoisse !?!

De ce qu'on apprend en paro à la fac, tout simplement. (Théorie des domaines de Melcher).


Vw campersurfvan bmnk1q - Eugenol
enlaye

09/09/2014 à 19h25

" domaine de Melcher " ?
rouge ou rosé ? je connais pas .


Vw campersurfvan bmnk1q - Eugenol
enlaye

09/09/2014 à 20h15

bon en meme temps on peut pas tout connaître puiqu on séchait les cours paro ....pour aller se mouiller du matin au soir entre 2 patients tres patients .c etait bon la fac.

Ponto kt3ttv - Eugenol

Darmon - Eugenol
Latin

09/09/2014 à 20h24

Ca ne t'empêche pas de rester à l'affût de ce fil de discussion mémorable!

Une revue sur les travaux de Melcher, publiée dans le JDR en 1999. Tu y trouveras les références de l'essentiel de ses publications sur la cicatrisation du ligament.


Vw campersurfvan bmnk1q - Eugenol
enlaye

09/09/2014 à 20h29

merci latin !


Vw campersurfvan bmnk1q - Eugenol
enlaye

09/09/2014 à 20h44

"Ca ne t'empêche pas de rester à l'affut de ce fil de discussion mémorable!"

quand il n y a pas de vent, ni de vague, trop chaud pour le vtt, et trop tot pour aller aux boules avec apero Ricard ballon j aime bien eugenol en effet.(sur ce fil tres special).ma gonzesse dit que je passe plus de temps sur eugenol que sur elle . je vais l extraire elle aussi si elle continue .


Index vakr2r - Eugenol
pgc

09/09/2014 à 22h01

si tu la ré-implantes direct ça devrait bien se passer


Orezza gazeuse verre litre ocoxey - Eugenol
casa

09/09/2014 à 22h20

Dans tous les cas, la digue s'impose .


Vw campersurfvan bmnk1q - Eugenol
enlaye

09/09/2014 à 23h15

bonsoir PGC et casa .


Vw campersurfvan bmnk1q - Eugenol
enlaye

10/09/2014 à 12h09

enlaye écrivait:
----------------

la digue , celle de Nantes a Montegut ?


Vw campersurfvan bmnk1q - Eugenol
enlaye

20/10/2014 à 21h52

Radio de contrôle today de la latérale,

pour souvenir cette latérale a nécrosé ,

http://www.eugenol.com/sujets/406035-1ere-fois-que-ca-m-arrive?page=19

je l ai enlevé puis remis sans endo en novembre 2013
l endo a été faite 3 mois plus tard et la ceram aussi .
ça vous va comme ça ?


20.10 - Eugenol

Android jyzura - Eugenol
Tavéca

21/10/2014 à 11h16

Bravo, tu as tenté, ça a marché, What else?
En même temps si j'ai bien suivi, ça ressemble au protocole lors d'une expulsion non?
Les littéraires nous diront les pourcentage de succès.


Vw campersurfvan bmnk1q - Eugenol
enlaye

21/10/2014 à 12h11

non non tu n as pas du bien suivre


Android jyzura - Eugenol
Tavéca

21/10/2014 à 12h17

enlaye écrivait:
----------------
> non non tu n as pas du bien suivre

Bon je vais relire les 40 pages alors! ;)


Vw campersurfvan bmnk1q - Eugenol
enlaye

07/12/2014 à 11h45

Hodina est un precurseur,

l'autre soir j 'etais a la reunion implantaire . Le genre de reunion où meme si tu arrives en retard tu sais qui est qui .
L'implanto lui , est degaine l'oeil vif avec des chaussures pointues facon alibaba .
les autres ont les traits tirés avec un gros sac rempli de tout leurs malheurs.
sans oublier la petite grosse qui rigole , parce qu'il faut bien faire quelque chose .
Et moi ,sans chaussettes ,qui defend mes conneries d'extraction-reimplantation
Cette session etait speciale , puisqu'il y en a un qui a fait son coming out CNSD,

un copain vient me voir et me dit a voix basse :
- j'ai essayé ton truc 2 fois
- et pourquoi tu parles doucement, toi aussi , t'es a la cnsd ,..ou quoi ?il me faut les radio au plus vite ,
- j'en ai pas
- ah merde , pour nécrose ? Instrument cassé ?
- Non non rien ,
- ?????????
- quand tu as un bridge décollé de derrière et pas devant tu fais quoi ?
- Ben je coupe
- oui ….mais quand c'est le tien ?
- Coupe aussi ,non ?
- ben moi non , je tape a l arrache couronne !
- Tu ne serais pas le couze a Hodina ? Y en a qu'on essayé y z on eu des problèmes !!!!
- ???????? Hodina ??
- Et donc ?
- Et donc ça arrache la dent qui était reste collée et je rescelle tout comme ça ! Pas vu pas pris !!
- un dingue , toi t es monté sport !!!
- mais attention , anesthésie et tout ,,,,
- et l'autre cas ?
- Pareil


moralité : il y a toujours plus fou que soit et
Hodina est un génie qui s'ignore




Image saznoz - Eugenol
Hodina

07/12/2014 à 12h20

Je vois ma patiente dont je t ai parlé en Mp lundi.
Avec abces a l apex ( une PM du bas) et traitement endo de merde.
Le probleme, pas de canal en dessous des 3 MM de pâte.
J essaye donc le classique RTE, mais je ne pense pas pouvoir aller a,l apex.
Si je y arrive pas,la,dent est perdue.
Perdue pour perdue, je vais donc peut être utiliser ta technique en avertissant la patiente que c est dans ce cas l ultime dernière chance. Le protocolle ayant été decrit et documenté par le dr. ENLAYE.
Affaire à suivre.
Sinon, depuis mon accident, j ai investit dans les Wamkey.
C est vrai que c est top.
Du coup, depuis, le démontage de couronne est NPC à hauteur de 45 euros.
Et cette semaine, je devrait recevoir mon wam'x pour les onlay core.
Affaire à suivre également.


Orezza gazeuse verre litre ocoxey - Eugenol
casa

07/12/2014 à 12h43

@enlaye; la description de l'implanto est top : chaussures façon alibaba !! @hodina , les wam key ça va bien aussi pour les inlay core , un petit logement à la limite dent/ inlay et hop ... il me semble que les wam'x coutent un bras ? Sinon , tu nous donneras des nouvelles de ton expérience , moi j'avais un cas mais il devait revenir après les vacances d'été , pas vu ... remarque , je me fais pas de bille un jour ou l'autre il va se pointer vu l'état paro .....


1...151617...