Cookie Consent byPrivacyPolicies.com1ere fois que ca m arrive!!!!!! - Eugenol

1ere fois que ca m arrive!!!!!!

burnax

08/09/2015 à 12h29

la pression est latérale, verticale ou peu importe ?


Vw campersurfvan bmnk1q - Eugenol
enlaye

08/09/2015 à 12h47

peu importe , burnax .
perso j'ai tjs appuyé en latéral voir en torsion .
mon pote qui m'a donné cette astuce ne me l'a pas precisé , maintenant que tu me le dis ...J'suis pas sur qu'il le sache non plus , il l'a entendu d'un copain d'un copain etc .
En tout cas j'ai été surpris quand j'ai entendu ça , j'ai essayé et ça le fait , essayes tu nous diras !:-)))


Image saznoz - Eugenol
Hodina

08/09/2015 à 14h52


Content de ton retour, Enlaye.
Je me posais la même question.tu viens d'y répondre.
Merci

--
😁😁😁😁😁😁
Le Blog dentaire.
www.arcad-dentaire.fr
((-----Vivre le sourire Hollywoodien-----))


G-P

10/09/2015 à 12h55

enlaye écrivait:
----------------
> G-P écrivait:
> -------------
> " Elle est bien cette technique mais j'ai peur que de comprimer l'os longtemps
> comme cela puisse entraîner une nécrose ..."
>
>
> Hahaha tjs dans l’excès le G-P , mais ç est pas faux ce que tu dis , surtout si
> tu es atteint de narcolepsie au moment de l’appui :-)))

J'emploie cette technique de temps en temps, c'est sans doute toi qui m'a donné envie de tester.
Mais cela va un peu dans le sens contraire du mouvement actuel d'avulsion sans contrainte sur l'os, préservation de l'alvéole.

Je n'ai pas de suites opératoires néfastes, ceci dit.


Vw campersurfvan bmnk1q - Eugenol
enlaye

25/09/2015 à 14h42

tout neuf
information dentaire n° 32 vol.97 du 23 septembre 2015

un certain Dr K. Lee serait aussi un grand fou :-)))
vous etes temoins , j'en ai parlé en 1er hein ?!?

Eri 1 nkjnrq - Eugenol
Eri 2 dkro6m - Eugenol

6szjws718sv1jksw54v4mpj3a6cu - Eugenol
vulpi

25/09/2015 à 14h49

Tu es un génie, on peut pas lutter;))


Orezza gazeuse verre litre ocoxey - Eugenol
casa

25/09/2015 à 17h56

Certains devraient se prosterner devant toi !


tictac

25/09/2015 à 22h59

en fait c'est le principe des physic forceps. Il parait que si le ligament alveolo dentaire est sous une contraite constante et continu, il finit par rompre

En fait ca c'est sur le papier car les physic forceps, pour les avoir eu, c'est de la charlatanerie


Vw campersurfvan bmnk1q - Eugenol
enlaye

26/09/2015 à 10h53

casa écrivait:
--------------
" Certains devraient se prosterner devant toi ! "


surtout ceux qui t'on traité de blonde ? quand tu y as cru en 1er avec Hodina ! :-)))))


Capture d  cran 2015 03 12 12.28 - Eugenol
chicot29

24/11/2015 à 18h32

tictac écrivait:
----------------
> en fait c'est le principe des physic forceps. Il parait que si le ligament
> alveolo dentaire est sous une contraite constante et continu, il finit par
> rompre
>
> En fait ca c'est sur le papier car les physic forceps, pour les avoir eu, c'est
> de la charlatanerie

Ah ? Il faut insister il y a un coup de main à prendre.

Capture d e cran 2015 11 24 17.27 - Eugenol

tictac

24/11/2015 à 18h51

Quel coups de main? Le principe de base est enfantesque. Tu descends ton mors lingual le plus profondément et tu maintiens en augmentant la bascule (et non le serrage) toutes les 30 secondes. Sauf que ça marche pas. Ah si sur les premos des gamins pour extractions ortho. À 1500€ le kit bonjour l'enculade pour le service rendu.


Capture d  cran 2015 03 12 12.28 - Eugenol
chicot29

24/11/2015 à 18h57

Ben, écoutes moi ca marche. Et je n'ai que les postérieurs plus difficiles à utiliser. Ceci dit j'ai mis un moment avant de "sentir" le coup de patte.


tictac

24/11/2015 à 19h47

mais de quel coups de patte parles tu? Y'a un coups de patte pour apprehender un nouveau systeme endo, un nouveau systeme implanto...Pas un davier chicot.


tictac

24/11/2015 à 20h13

en fait je me suis rendu compte de l'arnaque apres avoir connu plusieurs echec sur molaire en allant voir les videos youtube
Et vous pouvez constatez que toutes sont coupés au montage! On voit praticien commencer à maintenir la dents, coupure de la video, et hop on voit la dent luxé

Exemple


Toutes les videos de dent un peu galere sont comme ca. Les seuls ou on voit le systeme marché, c'est sur les alveolyse terminale, les molaires du hauts ou l'os est plus maleable ou enfin sur les monoradiculé!


Capture d  cran 2015 03 12 12.28 - Eugenol
chicot29

24/11/2015 à 20h28

ouais bon, celle là tu aurais pu t'accrocher avec un davier classique. Essayes en alternant la luxation avec un bernard et le physic forceps ci ca résiste.


Vw campersurfvan bmnk1q - Eugenol
enlaye

24/11/2015 à 23h45

tictac écrivait:
----------------
" À 1500€ le kit bonjour l'enculade pour le service rendu."

apres , si ç est bien ankylosé :-)))) , faut voir .:-)))


Vw campersurfvan bmnk1q - Eugenol
enlaye

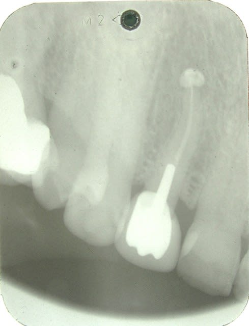
11/12/2015 à 12h29

controle du cas de la page 19 , ce jour .
faut aimer l'aspect champignon , mais ça va , chance !!!!

11.12 - Eugenol

Gutt-A

11/12/2015 à 12h43

oui ca avance... enfin.....tu aurais dû sous-exposer la rx encore un chouia et là on aurait dit que c'est carémment cicatrisé.


Vw campersurfvan bmnk1q - Eugenol
enlaye

11/12/2015 à 13h09

voilà ,j'ai repris la photo de la meme radio , ce qui ne change pas le fait qu'elle soit tjs sur l'arcade :-)

Pc110269 jtiunl - Eugenol

Orezza gazeuse verre litre ocoxey - Eugenol
casa

02/02/2016 à 20h04

aller , un petit up !!!


Vw campersurfvan bmnk1q - Eugenol
enlaye

10/03/2016 à 18h01

aahh enfin du lourd ! j'etais un peu jaloux pcq je ne voyais jamais de beau kystes comme sur eugenol ,et le voilà :-))
bon , là , si il y en a 1 qui me dit qu'il fait une resection apicale , il est fort :-))

 mg 0745 duixhj - Eugenol
 mg 0750 ntmymv - Eugenol
 mg 0749 glo3ra - Eugenol
 mg 0751 ydh9jm - Eugenol
 mg 0752 dzsnaz - Eugenol
 mg 0753 htzjhi - Eugenol

6szjws718sv1jksw54v4mpj3a6cu - Eugenol
vulpi

10/03/2016 à 18h20

Elle va être un peu instable la réimplantation. Comme une vision...
Tu va faire une contention?


6szjws718sv1jksw54v4mpj3a6cu - Eugenol
vulpi

10/03/2016 à 18h20

Elle va être un peu instable la réimplantation. Comme une vision...
Tu vas faire une contention?


Vw campersurfvan bmnk1q - Eugenol
enlaye

10/03/2016 à 18h41

à peine :-)))juste un compo de calage entre canine et pm apres avoir mis la pm en sous occ

 mg 0724 t45ihm - Eugenol

Capture d  cran 2015 03 12 12.28 - Eugenol
chicot29

10/03/2016 à 18h44

C'est là qu'on voit tout de suite l'intérêt du pano. -)


1...181920...