Cookie Consent byPrivacyPolicies.com1ere fois que ca m arrive!!!!!! - Eugenol

1ere fois que ca m arrive!!!!!!

Utilisateur banni

24/11/2017 à 11h36

Ben n’importe quelle colle qui colle à la céramique , c’est moche mais on s’en fout c’est juste 3 semaines. Je mets de la colle juste entre les couronnes...


Vw campersurfvan bmnk1q - Eugenol
enlaye

24/11/2017 à 14h51

A qui le tour d essayer ??
3615 qui qu en a ??:
:-))


Generique fraisage r2rxmm - Eugenol
lardonbis

24/11/2017 à 15h24

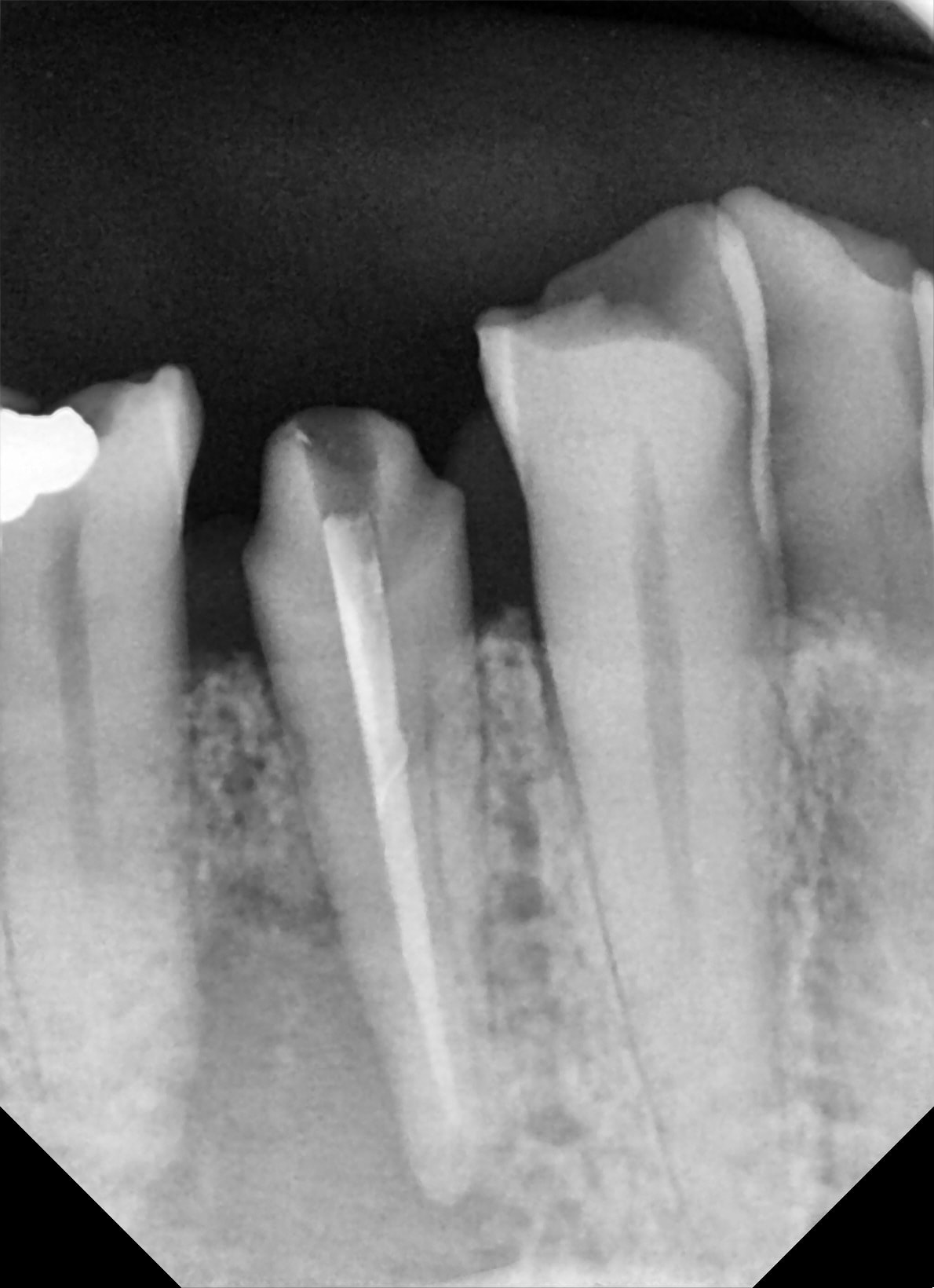
bruxomanie, grosse peche, je pensais à uen fêlure mais il n'y a rien.
Un petit coup de lime pour voir: super bien compactée cette gutta....
Je me tâte... pas terrible pour un essais non.

sinon : est-ce que quelqu'un se souvient d'un article ( des années 90? )où un mec sort une racine fracturée de frais, la recolle au superbond et la refourre dans l’alvéole? ça pourrait intéresser enlaye ça! réalité clinique ?

1 jqxuco - Eugenol
2 evbmcb - Eugenol

060108 005 nrfjgc - Eugenol
NaFr

24/11/2017 à 15h30

lardonbis écrivait:
---------
> bruxomanie, grosse peche, je pensais à uen fêlure mais il n'y a rien.
> Un petit coup de lime pour voir: super bien compactée cette gutta....
> Je me tâte... pas terrible pour un essais non.
>
> sinon : est-ce que quelqu'un se souvient d'un article ( des années 90? )où un
> mec sort une racine fracturée de frais, la recolle au superbond et la refourre
> dans l’alvéole? ça pourrait intéresser enlaye ça! réalité clinique ?

Perso là, je serais partant pour chercher un second canal.......à la vue de la superposition d'images ligamentaires......une rétro beaucoup plus défilée aiderait...
--
Francis N.


Utilisateur banni

24/11/2017 à 15h41

Chez les bruxos l’os c’est souvent du costaud, autrement dit la probabilité de casser ta racine est élevée si tu fais une ERI
Donc un traitement classique me semble plus approprié


Generique fraisage r2rxmm - Eugenol
lardonbis

24/11/2017 à 15h51

je sais bien mais "gutta condensée" pour moi c'est souvent équivalent a "je ferais pas mieux".
pour tout vous dire j'ai anesthésié pour passer l'arrache cr et j'ai pas résisté: mini luxation pour voir, bilan ça bouge un peu.
Je le vois dans 15j, il est prévenu, si ça me reviens pas je la dépose :D

ça pue le second canal introuvable pour moi ( la condensation n'a pas marqué le passage)


Vw campersurfvan bmnk1q - Eugenol
enlaye

24/11/2017 à 18h27

junior® écrivait:
-------
" Chez les bruxos l’os c’est souvent du costaud, autrement dit la probabilité de casser ta racine est élevée si tu fais une ERI
Donc un traitement classique me semble plus approprié "

enfin avec la peche qu'il a + la conicité + 1 intralig , ç est du beurre


Vw campersurfvan bmnk1q - Eugenol
enlaye

24/11/2017 à 18h32

lardonbis écrivait:
---------
" ça pue le second canal introuvable pour moi ( la condensation n'a pas marqué le passage)"

et puis , aller quand bien meme ,tu le trouves ce canal ,soyons fous , entre nous et la porte du frigo , tu ne penses pas comme moi que cela ne servirait à rien ??


Generique fraisage r2rxmm - Eugenol
lardonbis

24/11/2017 à 18h38

je vais gratter un peu. je vais me mettre la lime sous le pif, et si la gutta pue pas la nécrose je saurait que mes chances de faire mieux se réduisent encore.
Franchement des mecs qui condense vers chez moi y'en a que trois: moi, mon associé et l'aut'.
L'aut' il bosse mieux que moi alors quand il foire...

j'anesthésie, je regarde pour un canal N°2 le temps que ça prenne et crouic!


Vw campersurfvan bmnk1q - Eugenol
enlaye

24/11/2017 à 19h33

lardonbis écrivait:
---------
" sinon : est-ce que quelqu'un se souvient d'un article ( des années 90? )où un mec sort une racine fracturée de frais, la recolle au superbond et la refourre dans l’alvéole? ça pourrait intéresser enlaye ça! réalité clinique ? "

sans aller si loin ,il y a mon copain Wakrap qui nous a montré sur nonol , un cas similaire , qu'il a fait .


Utilisateur banni

24/11/2017 à 20h35

C’est dans quel post ? :)))
Je sens que ça va me faire rire


Vw campersurfvan bmnk1q - Eugenol
enlaye

05/02/2018 à 11h23

37
apres une endo de sauvage ,bien bourrée au compactor , 1 petit aller retour pour cette 37 .
pratique pour detartrer la face distale :-))
je vous tiens au courant .

Avant 37 oy3gxa - Eugenol
Apres 37 dpm5s7 - Eugenol

Orezza gazeuse verre litre ocoxey - Eugenol
casa

05/02/2018 à 11h33

Joli !


elmini

09/02/2018 à 00h21

Bonjour à tous,

Je fais parti des 76000 vues de ce post sans être jamais intervenu, et j'ai posé aujourd'hui une question à Enlaye en message privé. Je vous fait un copié-collé de mes questions et de sa réponse, avec son accord.

" j'ai deux dents mobiles sur deux patients différents chez qui, je pense, l'extraction-implantation pourrait se tenter... Pourriez-vous me donner votre avis ?

Le premier cas est une 26. Assez mobile, infection, atteinte paro aussi... Du coup, je ne sais pas si c'est un bon cas... Le patient s'attend à perdre sa dent (comme vous dites, dans ce cas, 100% de réussite...) Comme faire dans ce cas ?
Dépose couronne (pour rendre la dent en sous occlusion) puis extraction puis curetage +++ de l'alvéole, amalgame ou IRM aux apex puis réimplantation ? Est-on obligé d'enlever la couronne ou la fraiser pour la mettre en sous occlusion est suffisant?

Autre cas, cette 31. Là, c'est peut être un peu extrême non ? Là c'est pareil ? Aucune contention ? faire une contention avec 32 41 mais sécuriserait j'avoue... Qu'en pensez-vous ?

Et pour finir, petite question con... je peux poser la dent sur le plateau pendant le curetage de l'alvéole ? Je la mets dans un compresse humide ? "

Réponse d'Enlaye :

"Le secret , c est qu elle tienne fermement quand tu la remets .
Dans ce cas tu n as pas besoin de contention .pour ta 6 si elle bouge beaucoup c est delicat .
Par contre ta 31, ç est nickel , tu fais l endo avant et hop tu racles ce qui depasse .pas besoin de mettre quoi que ce soit au bout .

Il te faut un vieux davier qui coince pour tenir la dent sans qu elle ne touche quoi que ce soit . Ou alors tu la garde a la main avec le davier ç est le mieux .
Pour ta 6 ç est une etiologie occlusale entre autre donc tu vires la couronne . "

Voilà, si cet échange peut en intéresser d'autres, c'est tant mieux !

26 mobile f2yemu - Eugenol
31 mobile kymblw - Eugenol

Vw campersurfvan bmnk1q - Eugenol
enlaye

09/02/2018 à 01h07

ouaip ,ç est quand meme bien de supprimer la cause initiale avant toute chose , hein .

pour ta 31 il y a de fortes usures des bords libres . cela fait pense à 1 perte de calage post avec style usure des canines du bas avec un gros méplat .
ce qui veut dire que si tu ne comptes pas la raser , il faut au moins la mettre en sous occ .
mais attention ,il faut la mettre en sous occ ,y compris pendant les trajets de para-fonction .
si tu n'es pas sur de ton coup , ou si par manque de calage post , elle touche tjs ,alors oui ,il vaut mieux faire un petit calage par compo lors de la réimplantation .
lorsque tu fais l'endo tu peux faire une para apicale , mais lorsque tu feras l'extraction réimplantation ,il te faudra faire obligatoirement une anesthésie intraligamentaire ( même si tu as déjà fait une para apicale ).
l'intraligue , t'aidera à extraire sans forcer d'une part , mais surtout commencera à pré-décoller les parties molles de l'os par le jeu de la pression .
ç est un cas tranquille , ça ! t'en profiteras pour bien la detartrer aussi :-)

quand à ta 6 , je ne le sens pas ce coup .

PS: je n ai jamais fait l endo le jour de l extraction . Je ne sais pas si ça ça changerait quelque chose , mais je ne l ai jamais fait .


Orezza gazeuse verre litre ocoxey - Eugenol
casa

09/02/2018 à 14h31

Si je peux me permettre , j'en suis à ma 3 ème dont une récente revue hier ,un mois après l'intervention , ce qui me parait important c'est que le temps hors de l'alvéole doit être le plus court possible donc il vaut mieux faire l'endo avant . Mes 2 autres expériences sont toujours en place ... Et puis , une fois la dent extraite , il vaut mieux pas trop y toucher , pour ma dernière , j'ai un peu retouché l'apex qui présentait une petite boursouflure qui ne me plaisait pas . (une 22 pour préciser )


Vw campersurfvan bmnk1q - Eugenol
enlaye

09/02/2018 à 16h06

Bravo Casa , voilà une fifille qui craint dégun :-)

je vais me tenter le coup le plus dingue qui soit . l’inimaginable délire :-))
le genre de truc que si tu le fais , ç est soit que t'es complètement jobard ou alors que t'es le plus couillu de tous et de loin :-)))
une idée ??
celui qui trouve , il est tres fort !!


Generique fraisage r2rxmm - Eugenol
lardonbis

09/02/2018 à 16h18

refaire une 46 pourrie avec une 15 et une 25 ?


colza2

09/02/2018 à 16h22

le faire sur un bridge?


colza2

09/02/2018 à 16h22

....


Dprtmuluo7sk4wxn8aabgsxy7sde - Eugenol
Pervers Pépère

09/02/2018 à 16h40

enlaye écrivait:
------

>
> je vais me tenter le coup le plus dingue qui soit . l’inimaginable délire :-))
> le genre de truc que si tu le fais , ç est soit que t'es complètement jobard ou
> alors que t'es le plus couillu de tous et de loin :-)))
> une idée ??
> celui qui trouve , il est tres fort !!

Pisser dans le crachoir? ah non, déjà fait.


--
Su-Père Pervers


Vw campersurfvan bmnk1q - Eugenol
enlaye

09/02/2018 à 17h05

:-)))
hummmm ç est pas un delire " biologique " ç est plus un grand risque prof :-)


6szjws718sv1jksw54v4mpj3a6cu - Eugenol
vulpi

09/02/2018 à 17h12

enlaye écrivait:
------

> je vais me tenter le coup le plus dingue qui soit . l’inimaginable délire :-))
> le genre de truc que si tu le fais , ç est soit que t'es complètement jobard ou
> alors que t'es le plus couillu de tous et de loin :-)))

Tu vas te marier?


Dprtmuluo7sk4wxn8aabgsxy7sde - Eugenol
Pervers Pépère

09/02/2018 à 17h22

Arrêter les pet' et ne boire que de la Volvic ?


colza2

09/02/2018 à 17h24

sur un bridge complet ???


1...232425...