Cookie Consent byPrivacyPolicies.com1ere fois que ca m arrive!!!!!! - Eugenol

1ere fois que ca m arrive!!!!!!

Vw campersurfvan bmnk1q - Eugenol
enlaye

27/02/2018 à 19h57

Vas comprendre ,Charles :-)))


Utilisateur banni

27/02/2018 à 20h41

Alors là je suis sur le cul
J’aurais au minimum désinfecté l’implant puis rincé au sérum. Mais là pas du tout :)
T’as corrigé l’occlusion ou pas ?
Ou peut être que vu que le bridge était descellé, ça a entraîné des contraintes sur l’implant et une lyse osseuse sur ce dernier.


Blue eye thumb medium dx1i0w - Eugenol
bill

27/02/2018 à 23h20

Monsieur Plus va faire le rabat-joie mais bon, avant que l'on ait ostéointégration, enlaye sera enseigné dans toutes les facs du monde... ;-))


Vw campersurfvan bmnk1q - Eugenol
enlaye

27/02/2018 à 23h33

je partage ton avis , Bill .


Photo 158 mluhia - Eugenol
robin

28/02/2018 à 09h48

je suis d'accord avec vous ..lors du RDV, je n'ai rien fais pour nettoyer l'implant car j'étais sur de revoir le patient quelques semaines après pour démonter le bridge et virer l'implant.


Orezza gazeuse verre litre ocoxey - Eugenol
casa

28/02/2018 à 12h16

les grandes inventions ne sont-elles parfois nées d'erreur ou du hasard ?


Vw campersurfvan bmnk1q - Eugenol
enlaye

28/02/2018 à 12h18

oui oui , comme le Carambar :-))


Orezza gazeuse verre litre ocoxey - Eugenol
casa

28/02/2018 à 15h21

invention du siècle effectivement ! tu brevètes un arrache couronne , c'est ça ?


Utilisateur banni

02/03/2018 à 19h03

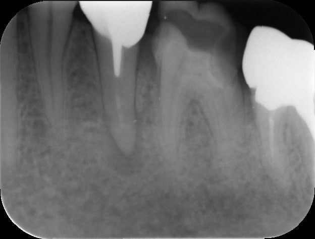
Tiens ... patient qui vient en urgence pour sa 26 douleur +++. Pas le temps d’extraire. Atb.
Entre temps il me ramène son scanner car je dois lui poser des implants secteur droit. Je regarde : merde y a une lésion sur la 27 aussi.
- du coup j’extrais la 26 et en même temps j’en profite pour faire une ERI sur 27

7162cf2a 366b 4682 aae1 3da978897616 ir6uk0 - Eugenol
Ac5f0e83 d234 4f96 a9b9 cedd90c0d7b3 xedfcm - Eugenol
C2bb0759 c9f8 4df0 b97a 345400162246 isbzck - Eugenol

Vw campersurfvan bmnk1q - Eugenol
enlaye

02/03/2018 à 19h10

ha ça t'a plu l'ERI :-))
tu as nettoyé le haut des racines ou meme pas ?


Utilisateur banni

02/03/2018 à 19h53

Juste un curetage alvéolaire


Utilisateur banni

05/03/2018 à 15h48

Est-ce que les dents avec des obturations à l’ancienne ça se retraite bien ? Ils ont fait un noeuds à l’apex
Sinon autrement ERI :))

1556fef4 0caf 4b36 9db7 20060d759f35 zcyuzv - Eugenol

Generique fraisage r2rxmm - Eugenol
lardonbis

05/03/2018 à 16h19

elle est pas mal celle là :D


Vw campersurfvan bmnk1q - Eugenol
enlaye

05/03/2018 à 16h29

je rêve ou il est en train de devenir un craint dégun de l' ERI ? :-)))


Utilisateur banni

05/03/2018 à 19h03

Programmé pour le mois de septembre :)


Generique fraisage r2rxmm - Eugenol
lardonbis

13/03/2018 à 09h10

15 jours plus tard le mec n'a pas mal et c'est toujours là.
bon début ;)


Vw campersurfvan bmnk1q - Eugenol
enlaye

26/03/2018 à 13h15

radio de contrôle apres pose d IC la semaine passée , jusque là ça va :-) pas évident sur 1 dent toute seule en terminal

Eri l00uyw - Eugenol

Utilisateur banni

29/03/2018 à 11h51

La première d’une série sur des indiens qui ont des pulpos sur molaires obturées avec Bakélite. Ils ont été sur le cul les indiens :)) extraction de la 48 curetage et ERI sur 47 et curetage

0638ebed ae87 40ce b05d bd6e9d3616a7 xkwc5o - Eugenol

Dprtmuluo7sk4wxn8aabgsxy7sde - Eugenol
Pervers Pépère

29/03/2018 à 11h59

junior® écrivait:
-------
> Ils ont été sur le cul les indiens

Pourquoi, t'avais pas remis ta culotte ?


--
Su-Père Pervers


Utilisateur banni

26/04/2018 à 17h39

Empreinte pour faire des implants sur mesure qui correspondront exactement à l’alvéole de la dent à extraire :)

3b7d98f6 c9dd 4b1a 8f4c df481beb9016 agx8nq - Eugenol

Generique fraisage r2rxmm - Eugenol
lardonbis

27/04/2018 à 14h02

junior® écrivait:
-------
> Empreinte pour faire des implants sur mesure qui correspondront exactement à
> l’alvéole de la dent à extraire :)

y'a deja quelques equipe sur ce ce créneau un peu bidon ;)

Natural dental implants presents 3d printed replicate tooth ids 2017 1 ktbsdd - Eugenol

Utilisateur banni

19/05/2018 à 14h03

oh putaing qu'est ce que je fais ?
- j'ai déjà posé des implants sur ce patient et l'os c'est du béton armé donc pas d'ERI sinon la racine va casser
- tout le 1/3 apical est calcifié , impossible de passer le moindre instrument
- du coup je lui recrée un canal au milieu avec mes inserts :))

1 qbmcnk - Eugenol
3 biagxf - Eugenol

Capture d écran 2018 05 16 à 21.30 - Eugenol
Daryl

19/05/2018 à 16h38

Bin moi Junior quand je grossis la radio post op, je vois une fracture milieu de racine mais je dis ça, jdis rien :)))


Hok 1b hgd3rj - Eugenol
Hokusai

19/05/2018 à 16h45

Non a mon avis c est un artefact numerique.


Capture d écran 2018 05 16 à 21.30 - Eugenol
Daryl

19/05/2018 à 16h57

T'es sûr ??? car ça ne concerne que cette dent et avec des inserts c'est possible, nan ???


1...262728...