Cookie Consent byPrivacyPolicies.com1ere fois que ca m arrive!!!!!! - Eugenol

1ere fois que ca m arrive!!!!!!

Hok 1b hgd3rj - Eugenol
Hokusai

19/05/2018 à 17h04

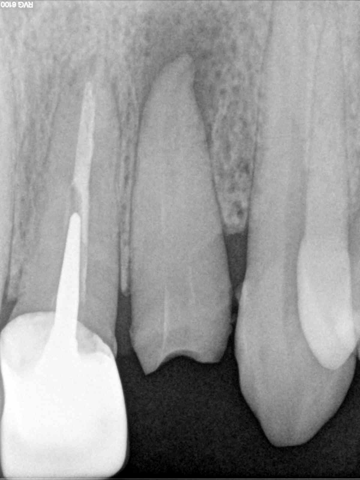
Tu vois la ligne d escalier horizontale sur tout le cliche. Mais rien n est impossible...


Utilisateur banni

19/05/2018 à 17h17

C’est un artefact qui se voit au niveau de la molaire aussi et surtout sur l’autre PM!
Sinon j’aurais posé un implant directement sans passer par la case départ Daryl , tu penses bien :)


Generique fraisage r2rxmm - Eugenol
lardonbis

25/06/2018 à 12h34

à 4 mois ménage + radio :
- à pu bobo
-à pu fistule
-à pu mobilité

un implant de moins !
du coup je sais pas si je dois dire merci.

3 vyiuxa - Eugenol

Vw campersurfvan bmnk1q - Eugenol
enlaye

25/06/2018 à 14h34

le probleme , ç est que maintenant , tu vas avoir du mal a rester sérieux face à 1 endo , face à 1 paro , face à 1 implanto ,et si à cela tu rajoutes mes delires occlusaux ( qui marchent aussi ) tu auras aussi du mal à parler à 1 ortho .
bref , je t ai mis dans la merde :-)))


Dprtmuluo7sk4wxn8aabgsxy7sde - Eugenol
Pervers Pépère

25/06/2018 à 14h57

Oh purge, y a le lardon qu' a choppé l'enlayite et il est mal barré, z'ont pas encore trouvé de vaccin pour ça.

Déjà qu'il avait la déconite aigüe, je donne pas cher de sa peau.


--
Su-Père Pervers


Orezza gazeuse verre litre ocoxey - Eugenol
casa

25/06/2018 à 17h03

Mon petit cas , une 22 avec un abcès palatin récidivant depuis des années et pour cause ...pas d'obturation sous une couronne , les rd datent de début décembre , fin janvier , fin mai . tutti va bene , plus de trace de rien au palais

R4 ole2z5 - Eugenol
R11 q00vry - Eugenol
R15 hekuhh - Eugenol

Vw campersurfvan bmnk1q - Eugenol
enlaye

25/06/2018 à 17h05

tu peux nous en dire plus , Casa ?


Generique fraisage r2rxmm - Eugenol
lardonbis

25/06/2018 à 17h07

dit enlaye.... t'as pas un cas de pluriradiculée par hasard ? ;)


Orezza gazeuse verre litre ocoxey - Eugenol
casa

25/06/2018 à 17h10

Alors j'ai fais l'endo début janvier , ça allait mieux , mais il restait toujours une petite tuméfaction au palais , je me suis dit vas-y casa tu l'as déjà fait ...! donc fin janvier , j'ai extrait le dent , retouché un peu l'apex , un petit crochet inesthétique ! ,cureté le fond de l'alvéole ..et j'ai remis avec une provisoire sans contention rien ... j'ai vérifié en Mars je crois , tout allait bien , plus rien au palais , en mai j'ai fait la définitive ....impeccable ! aucune mobilité gencive impeccable !


Generique fraisage r2rxmm - Eugenol
lardonbis

25/06/2018 à 17h11

ils ont prévu quel code CCAM du coup? il y a une résection...Je vois rien dans les intitulés qui interdise de coter l'extraction et le curetage...
- exo hbgd036
-curetage resec hbgb005
-provisoire hbld037

j'en oublie ?


Orezza gazeuse verre litre ocoxey - Eugenol
casa

25/06/2018 à 17h30

La radio initiale .

Pour moi c'est tout gratos ... !

R3 cgmghd - Eugenol

Index vakr2r - Eugenol
pgc

25/06/2018 à 19h07

lardonbis écrivait:
---------
> ils ont prévu quel code CCAM du coup? il y a une résection...Je vois rien dans
> les intitulés qui interdise de coter l'extraction et le curetage...
> - exo hbgd036
> -curetage resec hbgb005
> -provisoire hbld037

Jésus-Christ...
Si tu cotes une extraction,
qu'il y a un contrôle,
et qu'ils voient que la dent est toujours là,
Ils ont pas fini de t'enquiquiner!



6szjws718sv1jksw54v4mpj3a6cu - Eugenol
vulpi

25/06/2018 à 19h29

faut t'adapter Monsieur pgc, tu extrais la dent, tu prends une RX qui prouve l'absence de la dent, puis tu la replace dans son alvéole:-))))))))))
Toujours préparer sa défense en cas de contrôle et en plus tu cotes une radio per-op... merkiki?-((


Vw campersurfvan bmnk1q - Eugenol
enlaye

25/06/2018 à 19h55

lardonbis écrivait:
---------
" ils ont prévu quel code CCAM du coup? "

lorsque j ai fait ma conf dessus , les gentils organisateurs etaient des hauts dignitaires de la CCAM et de la HAS , et du conseil de l ordre .
et bien sur ils m attendaient sur les indications , et si possible me casser la bouche par la meme pour rigoler .
pendant la conf ,je leur ai demandé de ne pas coter l ERI en CCAM , sinon ils seraient capables d'y mettre un jour un tarif opposable et ce qui serait dommage pour l évolution de l envie de le pratiquer .
ensuite pour ce qui est de la HAS , je leur ai dit la chose suivante , texto :
" on ne peut pas donner d indications à l ERI , pcq ce n est pas 1 ttt mais 1 outil , et que si l' on donnait 1 indication cela en briderait l outil .
en fonction de la dextérité ( ou plutôt la folie ) on peut en trouver plein d utilisations comme pour 1 tournevis :
- avec 1 tournevis , je peux tourner 1 vis mais je peux aussi ouvrir 1 pot de peinture .
or ce n est pas marqué sur la boite de tournevis qu on peut ouvrir 1 pot de peinture avec , hein ?
mais si tu ne l as pas , le tournevis , ben tu ne faits pas la peinture , tu la regardes et il ne se passe rien !
donc il ne faut pas s'enfermer dans des indications .. ""

au final , ils ont bien rigolé , donc ils n ont pas osé me crever , mais là où ils sont emmerdés , ç est que j ai appris qu il y en a 1 ( et pas des moindres en grade ) qui a essayé par la suite , et que ça a marché . :-)))


Orezza gazeuse verre litre ocoxey - Eugenol
casa

25/06/2018 à 20h07

Bien démontré Enlaye ! c'est qui le gradé ?


Utilisateur banni

25/06/2018 à 20h32

J’ai fait avec une monoraduculée , avec 2 racines , avec une triradiculée... du coup J’essaie désespérément de trouver un cas avec un bridge . On enlève le bridge et les dents puis on remet les dents piliers et le bridge qui va avec comme si de rien n’était.


Vw campersurfvan bmnk1q - Eugenol
enlaye

26/06/2018 à 08h12

lardonbis écrivait:
---------
" dit enlaye.... t'as pas un cas de pluriradiculée par hasard ? ;) "


si à la page d avant , une 37


Generique fraisage r2rxmm - Eugenol
lardonbis

26/06/2018 à 08h37

enlaye écrivait:

> si à la page d avant , une 37


même pas vu.
j'y va.


Vw campersurfvan bmnk1q - Eugenol
enlaye

28/06/2018 à 12h43

bien justement la voilà la 37 , je l ai vu aujourdhui .
la radio est belle , , je n' arrive pas a la mettre dessus avec ces putains de enregistrer sous , sous quoi ? je ne sais pas ,
bref tu peux me faire confiance , et en photo ça donne ça .
la gencive est belle et j'ai pris l empreinte .

 mg 1481 hnvcg5 - Eugenol

Blue eye thumb medium dx1i0w - Eugenol
bill

28/06/2018 à 15h09

enlaye écrivait:
------
>
> la radio est belle , , je n' arrive pas a la mettre dessus avec ces putains de
> enregistrer sous , sous quoi ? je ne sais pas ,

Sous visiodent outils--> exporter --> enregistrer en jpeg


Utilisateur banni

26/09/2018 à 10h07

.


Avatar transparent iqadnc - Eugenol
adhoc

26/09/2018 à 10h26

> la radio est belle , , je n' arrive pas a la mettre dessus avec ces putains de
> enregistrer sous , sous quoi ? je ne sais pas ,<

Ecroulé :-)))


Bebert.

26/09/2018 à 13h01

Généralement c'est fracturé trop cervical pour qu'on puisse garder la partie coronaire seule.
Donc c'est soit extraction-implantation immédiate, soit contention en espérant un cal de cicatrisation, soit tentative de transfixer avec un taux de réussite assez bas mais quand même pas nul, dans une optique de 10 ans.
Après tout dépend de l'âge.


Generique fraisage r2rxmm - Eugenol
lardonbis

23/11/2018 à 10h26

l'affaire est dans le sac !
merci enlaye!

1 oma4vo - Eugenol
2 tkvyxi - Eugenol

jeunedentiste001

23/11/2018 à 11h40

extraction -> resection apical -> reimplantation ?


1...272829...