Cookie Consent byPrivacyPolicies.com1ere fois que ca m arrive!!!!!! - Eugenol

1ere fois que ca m arrive!!!!!!

Generique fraisage r2rxmm - Eugenol
lardonbis

23/11/2018 à 12h39

exactement ça.
un petit point de superbond en mésial et distal je crois mais c'était pas indispensable.
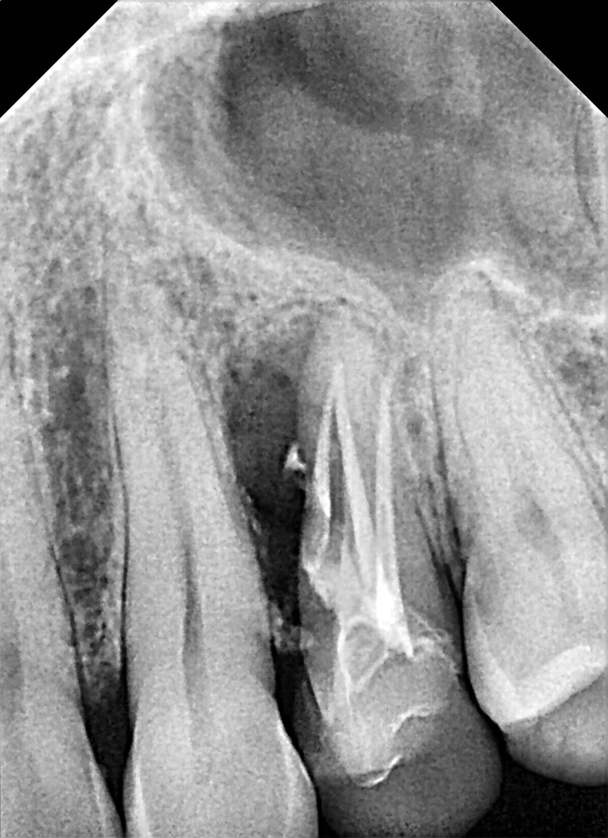
C'est le résultat à 10/11 mois


Jack 2 wm3tqs - Eugenol
Treponem

23/11/2018 à 13h01

Joli !


Vw campersurfvan bmnk1q - Eugenol
enlaye

23/11/2018 à 13h35

lardonbis écrivait:
---------
" l'affaire est dans le sac !
merci enlaye! "

mais ç est moi qui te remercie :
- de m avoir cru
- d' avoir essayé
- et surtout d avoir publié les radios avant / apres de ton cas .
faut dire aussi que toi t as vu la conf , et que t as bien rigolé :-)))


Dprtmuluo7sk4wxn8aabgsxy7sde - Eugenol
Pervers Pépère

23/11/2018 à 13h44

Enlaye président ! Enlaye président ! Enlaye président !

On sait pas encore de quoi mais on va trouver, de toute façon ce sera pas pire que certains !


Generique fraisage r2rxmm - Eugenol
lardonbis

23/11/2018 à 14h13

enlaye écrivait:
------

> faut dire aussi que toi t as vu la conf , et que t as bien rigolé :-)))

sur, surtout en sachant qui était dans le public :D

Ca fait plaisir de voir que tu causes pareil dans la vrai vie qu'ici ;)


Amibien

25/11/2018 à 23h09

Ce n'était pas une dent nécrosée mais plutôt névrosée...


Utilisateur banni

23/01/2019 à 15h41

Il y a un truc qui doit être marrant à faire c’est l’extraction par l’apex . Tu vires le 1/3 apicale par l’apex Sans touché au 2/3 supérieur, tu dépulpes et tu couronnes :)
Finalement j’ai pas osé , par contre j’ai été assez con pour faire une extraction implantation immédiate. Le problème c’est que 1) il a fallu niquer l’os pour virer les morceaux apicaux et 2) le patient avait non seulement cassé les apex mais aussi l’os pendant sa chute :) du coup je n’ai pas foré et j’ai serré à fond les baloches pour que les implants tiennent. Le tout avec les pans V cassés (dû à sa chute) + l’os que j’ai niqué en proximal pour lui virer les apex. J’ai serré le sphincter anale pendant la pose , je me suis dit que j’allais jamais pouvoir lui poser ces Putins d’implants pendant la séance . J’aurais mieux fait de lui extraire d’attendre et de poser à 3 mois. C’est dire si je suis con :)

57563a3d a6f7 41e8 9c7b 187d1eac71a0 qlc5fv - Eugenol
8a7412ed 846a 40e8 9c6b f3c780efd747 aeunpm - Eugenol

Utilisateur banni

29/07/2019 à 12h35

Salut a tous !
Comme promis à un type louche avec les doigts bleus qui m'a appris le truc, je transmet du cas.
J'en ai fait pas mal, des simples, ça marche facile.... pour le moment ;)
Donc je vais ici poster du "qui pue", au moment où je le fait. Pour le résultat il faudra donc attendre.

CasKiPu N°1:
Une 24 qui c'est fait mesialo-troué un troisième virtuel il y a un environ an chez un patient en pleine forme. Résine une dent ($$$) ou cobaye ? il dit cobaye :)
stabilité nickel , maxi patate en mesial, exo difficile car racine en forme de boursouflure coalesco-divergente.
Je dilate, ça sort.
visuellement c'est la merde:
- un cône de gutta
- une coulure de ce qui semble être un ciment composite
- un bouchon de MTA-like.

Coup de bistrac sur la racine, je gratoulle une couche de MTA et vu la coulure de compo je curète léger (ce que je ne fait jamais d'habitude) voir si il n'y aurai pas du rab.
J'enfourne ensuite au plus vite, deux point de superbond sur les adjacente (alvéole dilatée), un doliprane, ordo pour un cierge à la grotte et adishatz.

J+3 coup de tel : pas de bobo.
Je le revois bientôt.

Merdier24 fp2boa - Eugenol

Vw campersurfvan bmnk1q - Eugenol
enlaye

29/07/2019 à 18h13

bien joué minot !!!


Utilisateur banni

07/08/2019 à 13h53

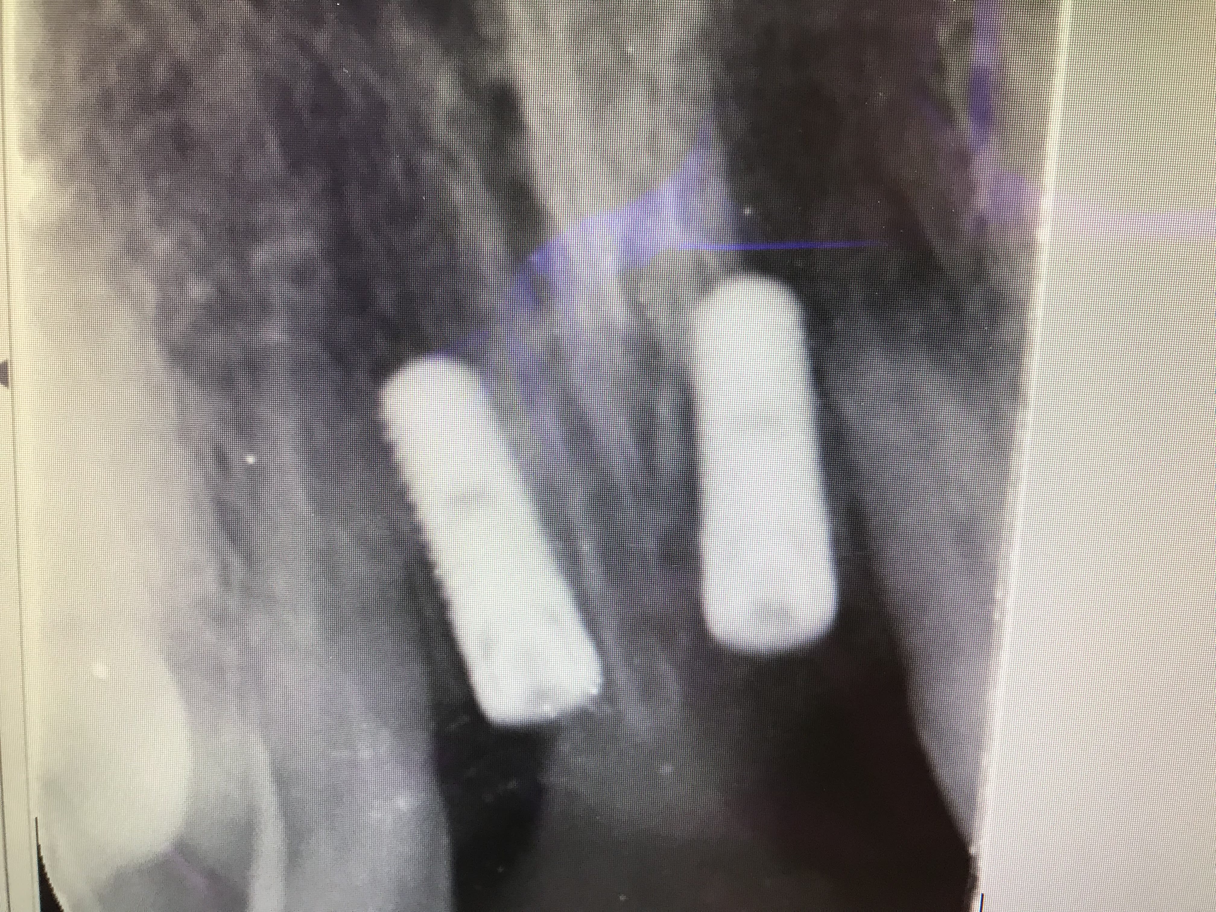
presque 2 semaines après.

Fistule : y'a pu
mes points de colle ont partiellement foutu le camp mais mobilité normale.
plus de douleur.

à suivre. J'y crois moyen mais pour l'instant ça sent bon...

2 semaines fvqp9t - Eugenol

Vw campersurfvan bmnk1q - Eugenol
enlaye

07/08/2019 à 14h32

2 semaines + mobilité normale , ça sent très bon ton affaire .
je remarque que cela fait plusieurs fois que l on voit sur nonol des cas d ERI avec les faces occlusales en place . Ce qui est une premiere , en fait .
pcq sur tous les articles , les ERI se font sans face occlusale .
on est des dingues , des craint dégun ! :-))


Utilisateur banni

07/08/2019 à 15h43

mise en charge immédiate mec ! par contre c'est canine qui prend tout dans la gueule, la provisoire à perdu quelques dixièmes.
titane rugueux... vieux cément mité... c'est tout pareil ;)


Jack 2 wm3tqs - Eugenol
Treponem

07/08/2019 à 16h04

Well done, on attend la suite.
Le retour du lardon ?!


Utilisateur banni

07/08/2019 à 16h14

il est mort le lardon.
dépression suite au départ du cambodgien.
mais le cycle des réincarnation ne s’arrête pas pour ces broutilles ;)



harta's écrivait:
-------
> il est mort le lardon.
> dépression suite au départ du cambodgien.
> mais le cycle des réincarnation ne s’arrête pas pour ces broutilles ;)

Du coup foferdéfôtt pour remettre la pression ?


--
♫ Ne soyez pas timide, postez de la zic ♫🎸🔊


Utilisateur banni

07/08/2019 à 18h01

:D t'as tout compris vieux pervers !


Sinon, une bonne pression contre la dépression.


--
♫ Ne soyez pas timide, postez de la zic ♫🎸🔊

Index tj7682 - Eugenol

pascal79

09/08/2019 à 15h33

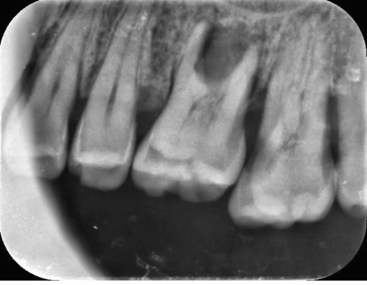
Bon à mon tour... infection à répétition sur cette 37 support de bridge.
Alvéo mésiale distale, curetage et remis la dent avec un cavit. Je croise les doigts!!

R3 m9ooq1 - Eugenol
R5 b27yu7 - Eugenol

Vw campersurfvan bmnk1q - Eugenol
enlaye

10/08/2019 à 10h15

on va monter un club :-)))


6szjws718sv1jksw54v4mpj3a6cu - Eugenol
vulpi

14/08/2019 à 19h54

enlaye écrivait:
------
> 2 semaines + mobilité normale , ça sent très bon ton affaire .
> je remarque que cela fait plusieurs fois que l on voit sur nonol des cas d ERI
> avec les faces occlusales en place . Ce qui est une premiere , en fait .
> pcq sur tous les articles , les ERI se font sans face occlusale .
> on est des dingues , des craint dégun ! :-))
Les gars des articles, y z'ont pas pigé un truc, normal ça se voit pas dans les livres, mais dans les bouches. Table occlusale ou pas, quand tu manges... bé... ça appuie. Faut pas leur dire hein !!! Mais ça appuie. Y a pas besion d'être très intelligent pour le comprendre... juste observateur... en bouche... au fauteuil en quelques sortes.
Bon été mon poto😉


lampadaire skurup

12/10/2019 à 08h56

J’ai trouvé une indication réelle à l’ERI , c’est la lésion logée entre les racines . Ici pas de possibilité de faire de la résection. Imaginons que le traitement endo n’a pas d’effet => ERI


--
Fabriqué en métal. Avec un design intemporel, le lampadaire skurup vous ravira. Hauteur réglable en fonction de l'éclairage souhaité.

F87303d5 46d9 4260 8576 1ea51f30c09a noipel - Eugenol

Ylfwcw979cz1jnx9gfqeaxndiuzk - Eugenol
Algi

12/10/2019 à 17h29

Vous faites chier avec vos eri !

Chez moi ca veut pas....

Un je me cague...

Deux les cas courent pas les rues comme les rats a marseille

Trois quand je crois en tenir une belle j'extraie cette foutue salope de 24 pour me rendre compte qu'elle est fendue en deux de haut en bas comme une Jeanne d'arc qui aurait connu Rocco Sifredi...




--

https://open.spotify.com/user/8iz7teu84dfphmgspeh2979o8/playlist/59Tfpt7zoHfkI27430lfNg?si=MAiYEkb2S6mMV6qNX2aFwg


On a toujours le choix mais entre quoi et quoi?
Vas-y boulégue et l'avenir te le dira!


Ylfwcw979cz1jnx9gfqeaxndiuzk - Eugenol
Algi

12/10/2019 à 17h32

Vous pensez j'aurais pu coller les deux moitiés genre carlingue de maquette de spitfire et remboiter la chose ?

Un peu de cyanolite, deux trois tours de fil dentaire pour solidariser....?


--

https://open.spotify.com/user/8iz7teu84dfphmgspeh2979o8/playlist/59Tfpt7zoHfkI27430lfNg?si=MAiYEkb2S6mMV6qNX2aFwg


On a toujours le choix mais entre quoi et quoi?
Vas-y boulégue et l'avenir te le dira!


Ylfwcw979cz1jnx9gfqeaxndiuzk - Eugenol
Algi

12/10/2019 à 17h34

Je sens que enlaye va réfléchir.... Cette histoire de recoller les morceaux ca va l'énerver....


--

https://open.spotify.com/user/8iz7teu84dfphmgspeh2979o8/playlist/59Tfpt7zoHfkI27430lfNg?si=MAiYEkb2S6mMV6qNX2aFwg


On a toujours le choix mais entre quoi et quoi?
Vas-y boulégue et l'avenir te le dira!


Ylfwcw979cz1jnx9gfqeaxndiuzk - Eugenol
Algi

12/10/2019 à 17h44

Une idée qui me vient....

Les endos on est tous d'accord c'est la misère....

Vu ce qui s'annonce..... Le rac0 et toussa toussa...

Pourquoi s'emmerder avec des limes et de l'irrigation et des radios....

Y'a qu'à plus faire QUE des ERI....

Du coup radio pre-op, extraction, endo dans la main ce qui est reconnaissez le plus facile, un 3eme année y arrive....

Curetage et zou, reimplantation.

Ca a marché ?

1 mois plus tard.....

Taille et empreinte.

Des doutes sur les limites, des difficultés a éliminer le ciment ?

Extraction, polissage des limites et zou reimplantation.

Le collage vous fait peur?

La digue tient pas ?

Risque de pollution par la salive ?

Pas grave, on extrait, on colle bien propre et bien sec, on retouche la face distale de la dent voisine tranquille et on reimplante.

Et a chaque fois on gagne sur les cotations.


--

https://open.spotify.com/user/8iz7teu84dfphmgspeh2979o8/playlist/59Tfpt7zoHfkI27430lfNg?si=MAiYEkb2S6mMV6qNX2aFwg


On a toujours le choix mais entre quoi et quoi?
Vas-y boulégue et l'avenir te le dira!


1...282930...