Cookie Consent byPrivacyPolicies.com1ere fois que ca m arrive!!!!!! - Eugenol

1ere fois que ca m arrive!!!!!!

Vw campersurfvan bmnk1q - Eugenol
enlaye

20/02/2020 à 12h22

ç est parfait tout ça :-)
faut admettre que le rapport qualité prix est impressionnant quand même , non ?
alors Junior , qui ç est le patron ? :-)))


6szjws718sv1jksw54v4mpj3a6cu - Eugenol
vulpi

20/02/2020 à 13h11

Et t’attends quoi pour t'occuper de la 16, feignasse!
en plus en extrayant la 15 c'était l'indication d'un bridge pris en charge... elle va plus bien la Mireille:-)


pascal79

20/05/2020 à 14h12

Dernier cas de ERI faite entre midi et deux. Au niveau historique, abcès 15 mars 2019, je retraite et je suis plutôt content ( merci au passage chicot qui m'a appris l'endo) et on temporise. L'image radio est toujours présente plus de 6 mois après avec fistule qui va et qui vient. Devis implant trop cher et donc je propose l'ERI. La suite en image. Je croise les doigts. J'ai positionné la dent un peu plus haut pour faire un style d'élongation coronaire, je ne sais pas si j'ai bien fait car la dent est quand meme plus mobile que bien enfoncée dans son alvéole...à suivre
et bien sur merci à enlay qui nous apprend l'ERI ( entre autre)!

Capture d écran 9 zduz7c - Eugenol

Jack 2 wm3tqs - Eugenol
Treponem

20/05/2020 à 14h42

Vu que tu as eu l'occasion de voir la racine de près, tu n'as pas vu une fêlure/fracture ? L'image latérale m'évoque ça en première intention surtout si ça guérit pas , comme ta reprise semble top.


pascal79

20/05/2020 à 14h50

merci. non pas vu de fracture. J'ai pensé plus à un canal latéral. La pro etant la depuis un an je pense que j'aurais eu une évolution de l'image osseuse tout autour de la dent+ descelllement. Comme je peux plus mettre les loupes avec ces visières de merde, je suis peut être passé à coté aussi... à suivre


Generique fraisage r2rxmm - Eugenol
lardonbis

27/05/2020 à 19h24

j'ai pensé à toi enlaye en lisant un article dans je sais plus quelle revue sur l'égression chirurgicale.

Bons ils mettent un point de colle pour les tenir en place.... alors qu'il suffit de les impacter un peu après leur avoir fait faire un 180 ;)
si ça marche je vous balancerais les radios .

c'était pas voulu, j'ai pété un bord de la prep lors de l'extraction.


Vw campersurfvan bmnk1q - Eugenol
enlaye

27/05/2020 à 20h02

lardonbis écrivait:
---------

" Bons ils mettent un point de colle pour les tenir en place.... alors qu'il
suffit de les impacter un peu après leur avoir fait faire un 180 ;)
si ça marche je vous balancerais les radios . "

ah , si tu en es à faire le coup du tourniqué , ç est que t es un vrai craint dégun .:-)


Vw campersurfvan bmnk1q - Eugenol
enlaye

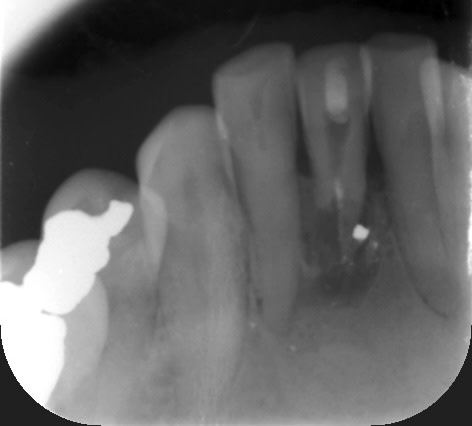
16/06/2020 à 10h21

voici la radio de contrôle de la 22 de la page 8 .
eri de 2014 .
pour rappel ç etait celle qui etait nécrosée vide que j ai réimplanté vide sans lui faire l endo au préalable mais après .
jusque là tranquille :-)

Eri yujzep - Eugenol

Orezza gazeuse verre litre ocoxey - Eugenol
casa

16/06/2020 à 13h39

Y'a pas une petite résorption interne ? heureusement qu'il y a une carie sur la 21 sinon tu ne la revoyais pas !


Vw campersurfvan bmnk1q - Eugenol
enlaye

08/12/2020 à 12h41

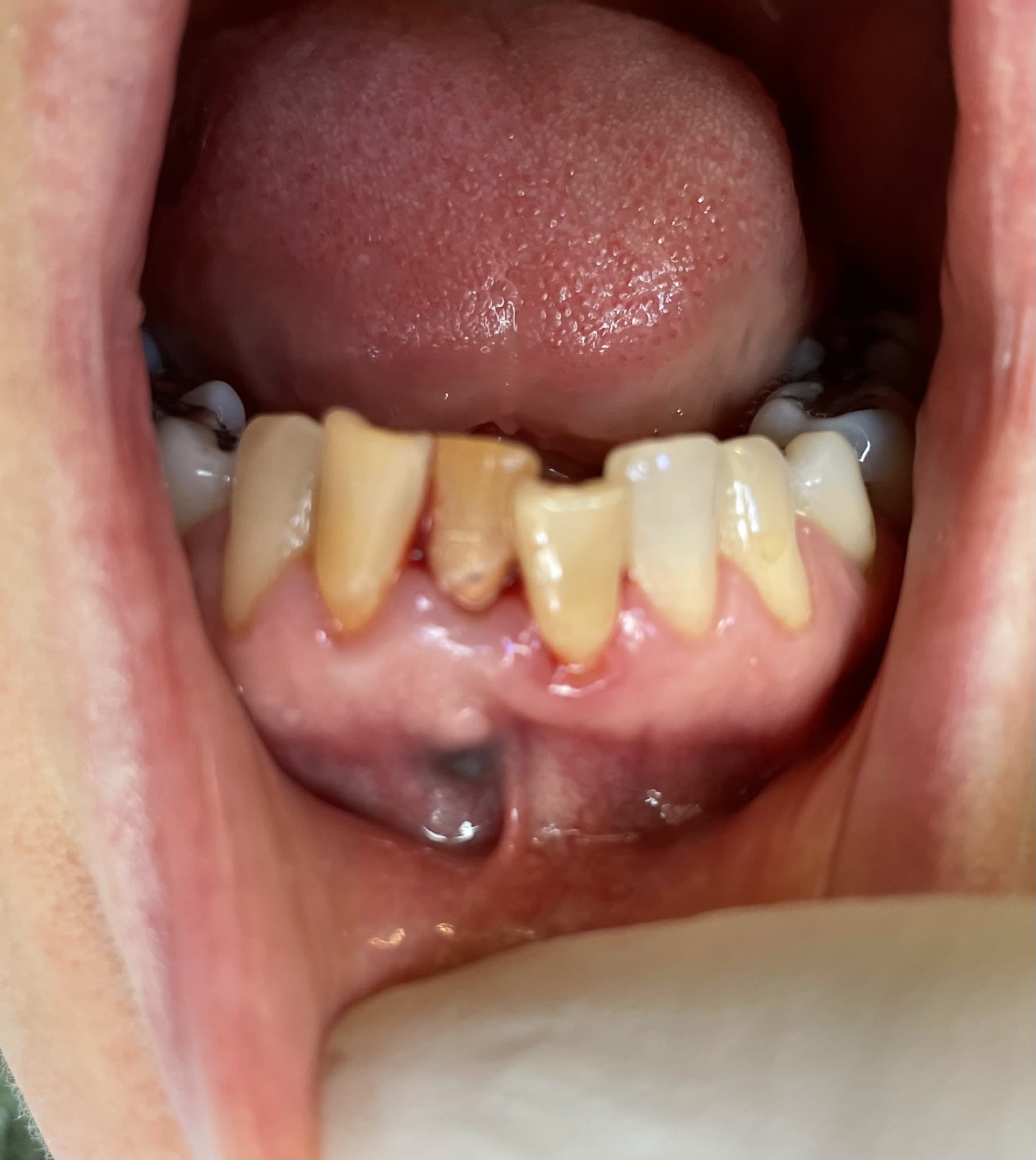
mouhahaha , me régale :-))
tu vois la 25 ? , ( photo au miroir ) oui celle toute tordue .
elle est tordue pcqu elle a perdu la 24 , et plein d autre d ailleurs , depuis que je ne l ai plus revue .
bon , en plus on ne peut pas dire qu elle ait une occlusion favorable hein !

 mg 2171 tixxo4 - Eugenol

Vw campersurfvan bmnk1q - Eugenol
enlaye

08/12/2020 à 12h44

tu veux la radio ? , ben la voilà

 mg 2173 hvi8hl - Eugenol

Vw campersurfvan bmnk1q - Eugenol
enlaye

08/12/2020 à 12h57

alors , elle perd , elle casse toutes les dents les unes après les autres sauf la 25 .
peuchere , d elle , chaque fois qu elle va voir un dentiste , on la prend pour une jobarde , et on la prend à coup de pieds . et tu sais pourquoi ? pcq elle leurs dit qu' il ne faut pas y toucher à la 25 que c est une dent qu on lui a enlevé puis remise , c est un souvenir ! puis tu peux y aller elle bronche pas la 25 .
mais toi tu la connais l histoire , mais ouiiiii , ç est celle de la page 3 ( 2014)
:-))) me régale :-)


Utilisateur banni

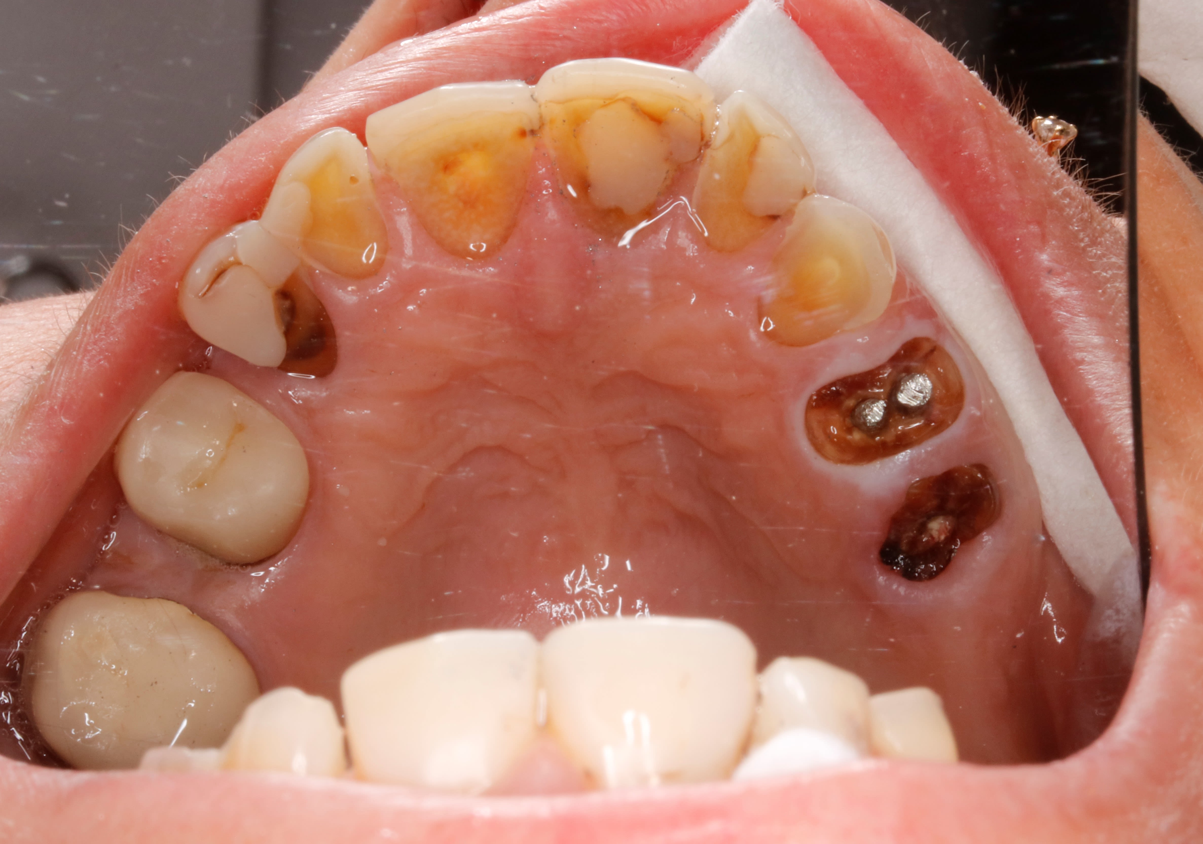
29/04/2021 à 10h37

ERI réalisée il y a 25 ans
Historique :
- choc
- le praticien dévitalise
- lésion toujours présente
- il décide d’extraire et de réimplanter

Aujourd’hui résorption. Je me demande si ils n’ont pas foutu un plombage à l’apex dans le temps. Le plombage aurait migré. D’où la tâche violette sur la muqueuse

288fbc74 4dd7 4a0f 91ca 4fb2d168419c tftgil - Eugenol
Cdcaaa07 d60e 4155 8f8e 4e975ac40ac8 kntyeh - Eugenol

Blue eye thumb medium dx1i0w - Eugenol
bill

23/12/2022 à 14h50

Bon je remonte ce post assez grandiose pour les petits nouveaux qui découvrent eugenol à l’occasion des vacances, papa Noël enlaye est là…


--
https://docudent.fr
Tous les documents du cabinet dentaire
& l'aide au choix prothétique.
____________________________________


Vw campersurfvan bmnk1q - Eugenol
enlaye

23/12/2022 à 16h34

Ah merci Bill , je ne l avais jamais vu ce dernier post du Banni .


Orezza gazeuse verre litre ocoxey - Eugenol
casa

23/12/2022 à 16h40

Un grand moment !


Vw campersurfvan bmnk1q - Eugenol
enlaye

23/12/2022 à 16h45

Ouaip ça rigolait bien :-)


1...3132