Cookie Consent byPrivacyPolicies.comCanal calcifié - Eugenol

Canal calcifié

poterie

02/09/2014 à 09h49

Bonjour à tous,

Que faire sur cette 43 nécrosée ?
sensibilité apicale à la palpation.
Mortification lié à un traitement orthodontique violent
Disparition de la lumière canalaire...
Je précise accessoirement que c'est la mienne.

01020173 bfnfn4 - Eugenol

doctyoni

02/09/2014 à 10h04

traitement endo chez un endo exclusif


Capture d  cran 2015 03 12 12.28 - Eugenol
chicot29

02/09/2014 à 10h06

Non, tu vas voir un magicien.-)))))


poterie

02/09/2014 à 10h10

doctyoni écrivait:
------------------
> traitement endo chez un endo exclusif

C'est bien mon intention mais il faut en effet en trouver un un peu magicien...


Acerec

02/09/2014 à 13h45

pourquoi ne pas tenter direct une résection apicale ? Cela te permet d'éliminer le risque de perfo lors du traitement par voie orthograde et d'avoir la reconstitution coronaire la plus étanche possible : la dent. Par un endo exclusif of course ;)


RépondreCiter
cy2

02/09/2014 à 15h41

déjà il faut tenter... Des fois en voyant la radio on se dit qu'on y arrivera jamais et pourtant...
Mais là ça semble bien calcifié qd même!!


Avatar eugenol pe0ymx - Eugenol
nicklebenou

02/09/2014 à 17h30

slt à toi: j'ai un exercice quotidien orienté endo et selon moi délégue le traitement. J'essayerai d'abord de traiter de manière orthograde mais avec aide optique (microscope sur ce cas là): prévoir beaucoup de temps car peu probable d'arriver à l'apex facilement.


Avatar eugenol pe0ymx - Eugenol
nicklebenou

02/09/2014 à 17h31

j'avais pas enregistré que c'était ta dent. lol
Bon courage et trouve un bon spé!


poterie

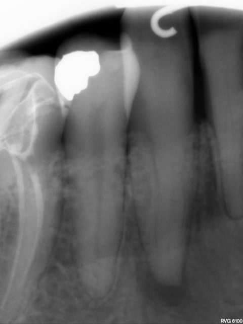
03/09/2014 à 13h22

Image RVG THD6100.

Canal non ?

R9 qushkf - Eugenol

cy2

03/09/2014 à 13h39

en tout cas on le voit. très difficilement sur la partie coronaire mais sur les autres 3/4 on le voit.


Avatar eugenol pe0ymx - Eugenol
nicklebenou

03/09/2014 à 14h04

poterie écrivait:
-----------------
> Image RVG THD6100.
>
> Canal non ?

avec cette radio oui ça a l'air faisable mais racine bifide.


dcs

03/09/2014 à 14h28

un scan


Monsieur Poupi

03/09/2014 à 19h43

si la dent n'est pas bifide elle a l'air d'avoir une section en 8, et donc ptètr 2 canaux , mais avec un microscope ça doit se reperer.
CBCT +1


Capture d  cran 2015 03 12 12.28 - Eugenol
chicot29

05/09/2014 à 23h51

Au tarif sécu je te le fais ca va prendre 5 mn. Pas d'inquiétude la HAS veille ! faut vraiment être dentiste pour aller chercher midi à 14 H !-))))


carident

06/09/2014 à 00h55

Si t'es en région parisienne je te fais le traitement canalaire sans soucis.


Capture d  cran 2015 03 12 12.28 - Eugenol
chicot29

06/09/2014 à 01h53

Mouarf ! leçon numero 1ne jamias commencer un boulot finger in the nose.


carident

06/09/2014 à 02h00

C'est sûre, et je n'ai jamais dit que je la ferais en 5 min... :-)

Au contraire, je vais la cajoler cette dent... Je suis sûre que je peux y mettre un cône bleu protaper! ;-)


Capture d  cran 2015 03 12 12.28 - Eugenol
chicot29

06/09/2014 à 02h23

HBGD MES COUILLES . OBTURÉ AU PURIN SOcialiste avec ou sans naocl, avec ou sans digue. Quelle importance ? Faire attention, donner le meilleur de soi, qu'elle importance ?
Mon fils qui rentre en Ce2 est distrait ? quelle importance.? on dirait son père...... qui a fini cochon de dentiste. Franchement quelle importance ? 40, 35, 30, 25 ans après je leur chie dessus et leur pisse contre. Médiocres !
Merde fini par cocher correctement une case, celle du concours pcem1 de mes 2. anonyme ! Un accident !


Capture d  cran 2015 03 12 12.28 - Eugenol
chicot29

06/09/2014 à 02h38

Avec quelque "rares " exceptions quand meme !


Capture d  cran 2015 03 12 12.28 - Eugenol
chicot29

06/09/2014 à 02h41

Tu commences par un cauchemar scolaire et si tu as de la chance tu finis par un cauchemar fiscal.


Ce pays est foutu.


Capture d  cran 2015 03 12 12.28 - Eugenol
chicot29

06/09/2014 à 02h44

Le tout est à la fin du parcours malgré toutes ces contraintes violentes, de ne pas finir calcifié ! ( retour au sujet initial) -))))))


carident

06/09/2014 à 02h53

chicot29 écrivait:
------------------
> Tu commences par un cauchemar scolaire et si tu as de la chance tu finis par un
> cauchemar fiscal.
>
>
> Ce pays est foutu.

Au CE2, ils voulaient me faire sauté une classe, car je faisais déjà le programme du CM2 en math, mais ça ne m'a pas empêché de finir par un cauchemar fiscal, puisque j'ai eu un contrôle de comptabilité cette année...


poterie

06/09/2014 à 10h15

chicot29 écrivait:
------------------
> Au tarif sécu je te le fais ca va prendre 5 mn. Pas d'inquiétude la HAS veille !
> faut vraiment être dentiste pour aller chercher midi à 14 H !-))))


Ouais, il n'était nullement question de disserter sur l'ascétisme, la frustration ou le pognon...
Juste d'une dent...et de l'avis des autres quand le mien ne suffit pas.