Cookie Consent byPrivacyPolicies.comErosions faces vestibulaires - Eugenol

Erosions faces vestibulaires

magnague

11/09/2014 à 20h32

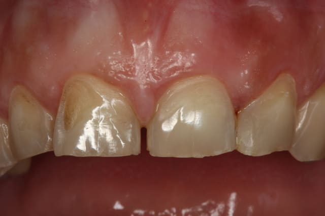
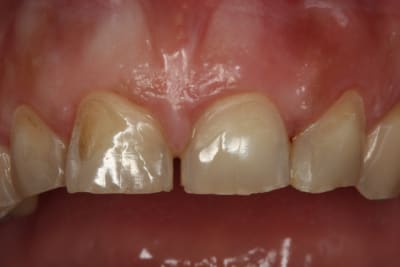
Bonjour,ma patiente présente des érosions des faces vestibulaires et est gênée esthétiquement car elles se colorent en quelques semaines après un détartrage et polissage. Elle me dit qu'elle serre les dents la nuit mais ne bruxe pas ( du moins son mari n'entend rien...). Au niveau alimentaire, il n'y a pas une consommation excessive de fruit, crudité, ni de boisson sucrée gazeuse. Ces érosions sont elles du au fait que la patiente serre les dents? Peut on envisager de les reconstituer avec des facettes ou est ce plutôt contre indiqué dans son cas? Merci pour vos conseils.

Photo 2 wpvas9 - Eugenol
Photo 1 jwwl6e - Eugenol

carident

12/09/2014 à 00h49

Elle ne croque pas dans des citrons?
Elle n'utilise pas de dentifrices abrasifs?
Pas de régurgitations (boulimie) ou de reflux gastrique?

Le bruxisme peut se manifester aussi bien par un grincement de dents que par un claquement de celles-ci de manière plus ou moins forte et donc plus ou moins bruyante... ça peut être très bruyant, voir quasiment pas en cas de claquement, surtout si la patiente n'a aucune couronne ou onlay/inlay en bouche...


Dents t2cri9 - Eugenol
FGR

12/09/2014 à 00h56

bonsoir,
ta patiente est elle gauchère ? quel dentifrice? quelle type de brosse a dent ? les érosions vestibulaires pour moi ça ressemble bien à de l'érosion abrasion mécanique iatrogène, associée à une acidité (si elle n'est pas alimentaire elle peut en effet être liée à un RGO).

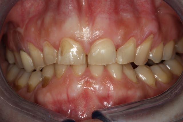
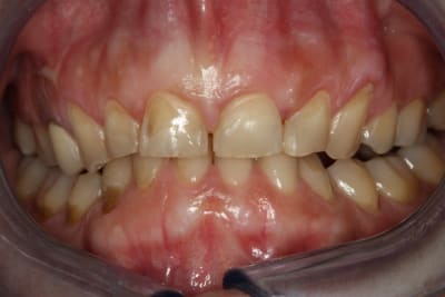
je suis quand même étonné qu'elle ne bruxe pas compte tenu des usures des bords libres antérieurs et des encoches en particulier 13 et facette abrasion versant V de 34.

en faisant bien attention à l'occlusion et aux trajets des contacts par rapport aux bords de collage des facettes, je pense qu'il n'y a pas de contre indication à la facette. prévoir peut être une gouttière de protection nocturne.
Mais ce n'est pas la seule solution des composites peuvent aussi fonctionner .
Fred


Vw campersurfvan bmnk1q - Eugenol
enlaye

12/09/2014 à 02h57

Les mylolyses c est occlusal.
En 2014 faudrait arrêter d imaginer que ce soit un problème de citronade ou de brosse a chien dent avec de la poudre a récurer .
Et très souvent mais très souvent du a un traitement ortho .


RépondreCiter
Smile beach jgh0a1 - Eugenol
Céramik

12/09/2014 à 03h04

Chez nous on dit "abfraction" et 90% du temps problèmes occlusaux, faut simplement analyser le schéma occlusale

--
Céramik


Vw campersurfvan bmnk1q - Eugenol
enlaye

12/09/2014 à 03h14

C est ou chez toi?
Les 10% qui te restent tu fais quoi?


1309531 ours brun n5iukf - Eugenol
seespan

12/09/2014 à 03h39

elle ferait pas de la natation ?

--
หมอจัดฟัน


Vw campersurfvan bmnk1q - Eugenol
enlaye

12/09/2014 à 09h53

???? Raconte seespan.
Elle a peur de couler la bouche ouverte alors elle serre les dents?



Dr - Eugenol
JeRis

12/09/2014 à 10h04

> http://www.eugenol.com/sujets/398416-devinette-diagnostique-thai-introuvable


Images jm2g2g - Eugenol
dr_0le

12/09/2014 à 10h06

enlaye écrivait:
----------------

> En 2014 faudrait arrêter d imaginer que ce soit un problème de citronade ou de
> brosse a chien dent avec de la poudre a récurer .

j'ai eu un cas similaire, quoique plus marqué il y a quelques mois. après quelques questions il s'avère qu'elle mangeait des pamplemousse de façon exagéré..


Vw campersurfvan bmnk1q - Eugenol
enlaye

12/09/2014 à 10h40

L attaque acide n explique pas la bouche en forme d oursin.


boxdistal

12/09/2014 à 10h59

seespan écrivait:
-----------------
> elle ferait pas de la natation ?
>
> --
> หมอจัดฟัน

+1
j'en ai vu une comme ça qui se lavait les dents avec de l'eau de javel (elle mettait de l'eau de javel partout, vaisselle, lavage des mains, etc.)

--
"araignée du gratin, machin"


6szjws718sv1jksw54v4mpj3a6cu - Eugenol
vulpi

12/09/2014 à 13h57

A ce stade il faut recouvrir, sinon le brossage va aggraver la situation (l’abrasif du dentifrice quel qu’il soit), il y a souvent une surcharge et/ou un déséquilibre occlusale (suite à ortho pourquoi pas) ce qui donne de l'abfraction, puis les facteurs locaux: brossage, soda, jus de fruit, rgo, dépôt bactérien... aggravent la situation. En l'absence d'un diagnostic précis, et si ce n'est pas Laure Manaudou, commencer par des composites et voir.


Vw campersurfvan bmnk1q - Eugenol
enlaye

12/09/2014 à 14h00

moi aussi j en ai vue une au bord de la piscine qui avait 2 gros pamplemousses et javel' impression qu elle n etait pas du genre a mettre une protection nocturne mais je n ai jamais su si elle mangeait volontier.

bon je sors


G-P

12/09/2014 à 14h13

Le bandeau d'émail restant périphérique est caractéristique d'une érosion chimique...


6szjws718sv1jksw54v4mpj3a6cu - Eugenol
vulpi

12/09/2014 à 14h18

Enlaye tu m'as donné une idée et je t'en remercie. Il y a 20 ans et plus on rencontrait rarement c'est pathologies, alors que maintenant... Et je me suis toujours demandé ce qui pouvait avoir changé en 20 ans, j'ai accusé les brosses à dents, les dentifrices, le coca cacahuètes et j'en passe. Mais ce qui a changé c'est l'ortho, les patients d'il y a 20 ans ils avaient subi des traitements +/- efficaces les dents s'étaient remises un peu ou elles voulaient, échappant ainsi aux contraintes occlusales, alors qu'aujourd'hui... oui là y a un truc à gratter! Plus les problèmes de brossage pendant le traitement, je vais ajouter une ligne à mon questionnaire.


Tozzi

12/09/2014 à 14h28

Pour le facteur occlusal, comment le mettre en évidence ? et comment y remédier ?


6szjws718sv1jksw54v4mpj3a6cu - Eugenol
vulpi

12/09/2014 à 14h28

G-P disait:

"Le bandeau d'émail restant périphérique est caractéristique d'une érosion chimique..."

Pas toujours, l'émail saute où s’exercent les contraintes, si c'est au milieu de la face vestibulaire (pour des incisives) il en restera en dessous.

Il y a aussi le délicat problème de la dépose de la colle orthodontique qui arrache les prismes d'émail.


Vw campersurfvan bmnk1q - Eugenol
enlaye

12/09/2014 à 14h40

G-P écrivait:
-------------
> Le bandeau d'émail restant périphérique est caractéristique d'une érosion
> chimique...

non , erosion electrique: piezzo-electrique plus precisement.

lorsque tu mets une pile dans ta montre le courant fait battre le mineral quartz.
inversement si tu exites un mineral (email) par une activitée mecanique ( bruxime centré ou pas )tu crées un courant.....


G-P

12/09/2014 à 14h41

Je vais donc vous laisser entre vous..

A+


Vw campersurfvan bmnk1q - Eugenol
enlaye

12/09/2014 à 14h43

tu vas forcement nous manquer


6szjws718sv1jksw54v4mpj3a6cu - Eugenol
vulpi

12/09/2014 à 14h53

Dis moi elaye, tu ne ferais pas de la piezzo-orthodontie avec fil électrique ("où y a d'la gégène y a pas de plaisir" Gal Aussaresses) et tout le bazar?


6szjws718sv1jksw54v4mpj3a6cu - Eugenol
vulpi

12/09/2014 à 15h30

Tozzi disait

"Pour le facteur occlusal, comment le mettre en évidence ? et comment y remédier ?"

D'une façon artistique, non scientifique et tout à fait personnelle, je dirai que:

- le bruxiste est un athlète des atm, qu'il a fréquemment des tori osseux, qu'il use partout, plutôt à plat

- le chimique creuse et conserve de l'émail en bordure, l'attaque chimique va plus vite que l'usure de l'émail périphérique, il n'y a pas concordance entre la lésion (le fond) et la dent antagoniste

-le contraint use où il est bloqué pour se libérer, il y a concordance antago lésion, souvent les dents ont des formes très aiguisées.

Comment ça ce traite? ben là..., faut voir quelqu'un d'autre.
Pour le cas présent composites dans les règles de l'art (digue, système adhésif MR3..), si décollent contraintes internes, si décolles pas (4 à 5 ans) facettes envisageables.
Après il y surement des spécialistes des traitements adhésifs sur nonol qui en savent bien plus que moi.

Ciao.


6szjws718sv1jksw54v4mpj3a6cu - Eugenol
vulpi

13/09/2014 à 00h01

décolent
Dans ton cas, sur les photos il semble y avoir un recouvrement incisif excessif, d'où surpression en propulsion, il faudrait aussi voir si elles ne sont pas (11 et 21, en fait le bloc incisivo-canin) trop lingualées, cela pourrait expliquer les deux fêlures verticales de l'émail.
La facette d'usure sur la 43 très marquée par rapport aux collatérales postr... le bloc antr mandibulaire appuie fort (c'est un contraint?).
Si tu fais des facettes tu risques d'avoir les même fêlures en vestibulaire ou pire, il faudrait tester ou "libérer" la mandibule, si quelqu'un a une idée?


6szjws718sv1jksw54v4mpj3a6cu - Eugenol
vulpi

13/09/2014 à 00h05

décollent, pardon tu n'a pas une fille "chanteuse" dans la pièce d'à coté, déja j'ai du mal...


12