Cookie Consent byPrivacyPolicies.comLa denturologie arrive en France - Eugenol

La denturologie arrive en France

Capture d  cran 2015 03 12 12.28 - Eugenol
chicot29

24/10/2014 à 00h01

Sinon, mes dépenses de prothèse en 2012.
On voit quand je prends des vacances et quand je fais des infidélités, hein ?-))))))
Je ne sais pas ce que nous mijote Macron, mais à ta place je serrerais les fesses. -)))))


340 6 lnustc - Eugenol
ladent17

24/10/2014 à 10h19

ce qui m’énerve moi prothé c'est qu'il y a une minorité qui veulent d’approprié une part de votre "gâteau" et vous nous mettez tous dans le même panier, je dit "NON" pour mon équipe nous ne voulons pas de cela, comme vous le dites si bien nous ne voulons pas traité directement avec les patients avec tout les effets qui s'en suive :(
parce qu’il y a 3 ou 4 fêler du cerveau on nous mettent tous dans le même wagon ??? comme la très bien dit Chico29 ce sont des labos frustrés et en perte de CA qui pense qu'en travaillant en direct sauveront leurs fesses !!!!!
pfffff perso nous sommes en progression depuis 3 ans car nous avons changé complétement notre stratégie commercial et aussi en nous équipant de bon outils de production, mais avant tout la priorité est le dialogue avec vous qui est le plus important dans cette réussite


Capture d  cran 2015 03 12 12.28 - Eugenol
chicot29

24/10/2014 à 11h27

Moi je vois bien un tarif opposable au raz des pâquerettes pour la prothèse, mais à tous les niveaux de la fabrication à la pose.
Vous allez rentrer comme nous pour les soins opposables dans la 4 eme dimension les gars. Vous allez voir ce que ca donne quand l'état s'occupe de vos tarifs. -)))))
N'oubliez pas que vous êtes en dépassements d'honoraires comme nous sur la prothèse. -))))
Mauvais ou pas mauvais, rien à foutre memes tarifs de merde mais avec un cahier des charges d'excellence !


Capture d  cran 2013 10 04   18.40 - Eugenol
gigispix

24/10/2014 à 12h20

ladent17 écrivait:
------------------
> ce qui m’énerve moi prothé c'est qu'il y a une minorité qui veulent d’approprié
> une part de votre "gâteau" et vous nous mettez tous dans le même panier, je dit
> "NON" pour mon équipe nous ne voulons pas de cela, comme vous le dites si bien
> nous ne voulons pas traité directement avec les patients avec tout les effets
> qui s'en suive :(
> parce qu’il y a 3 ou 4 fêler du cerveau on nous mettent tous dans le même wagon
> ??? comme la très bien dit Chico29 ce sont des labos frustrés et en perte de CA
> qui pense qu'en travaillant en direct sauveront leurs fesses !!!!!
> pfffff perso nous sommes en progression depuis 3 ans car nous avons changé
> complétement notre stratégie commercial et aussi en nous équipant de bon outils
> de production, mais avant tout la priorité est le dialogue avec vous qui est le
> plus important dans cette réussite

C'est une minorité….qui fait beaucoup, BEAUCOUP de bruit !!! Tant et si bien que l'opinion publique, dentistes compris pensent que c'est l'ensemble de la profession qui souhaite cela.
Mais pourquoi on n'entend pas les autres syndicats ?


olivier

24/10/2014 à 14h02

chicot29 écrivait:
------------------
> Sinon, mes dépenses de prothèse en 2012.
> On voit quand je prends des vacances et quand je fais des infidélités, hein
> ?-))))))
> Je ne sais pas ce que nous mijote Macron, mais à ta place je serrerais les
> fesses. -)))))


Ah ok la Panamera c'est un cadeau du proto....


Couv 183680 s43eq6 - Eugenol
Bozzo

24/10/2014 à 14h41

ladent17 écrivait:
------------------
> ce qui m’énerve moi prothé c'est qu'il y a une minorité qui veulent d’approprié
> une part de votre "gâteau" et vous nous mettez tous dans le même panier, je dit
> "NON" pour mon équipe nous ne voulons pas de cela, comme vous le dites si bien
> nous ne voulons pas traité directement avec les patients avec tout les effets
> qui s'en suive :(
> parce qu’il y a 3 ou 4 fêler du cerveau on nous mettent tous dans le même wagon
> ??? comme la très bien dit Chico29 ce sont des labos frustrés et en perte de CA
> qui pense qu'en travaillant en direct sauveront leurs fesses !!!!!
> pfffff perso nous sommes en progression depuis 3 ans car nous avons changé
> complétement notre stratégie commercial et aussi en nous équipant de bon outils
> de production, mais avant tout la priorité est le dialogue avec vous qui est le
> plus important dans cette réussite

Entièrement d'accord avec toi Ladent17, comme l'a bien dit Chicot chacun son métier ! Nous sommes artisans c'est un fait, nous sommes sous-traitant c'est un fait mais nos professions ne peuvent pas se passer l'une de l'autre. Un prothésiste ne peut pas devenir dentiste simplement en changeant l'enseigne sur sa porte et un dentiste ne peut pas connaître l'intégralité des impératifs techniques que doit gérer le prothésiste. On doit travailler en duo, c'est encore la meilleure manière de faire !


Pierre-E

24/10/2014 à 15h33

si les patients font la course au prix de toute façon, les "petits" labos vont vite crouler sous le boulot, vont devoir embaucher donc charges en plus, ou refuser du monde et donc soit garder le même revenu, soit boser 70h/semaine et gagner un max mais s'épuiser.

Et surtout si ça apsse, si j'ai le moindre pépin, c'est retour au prothésiste qui aura fait.

En tout cas mon labo (gros labo) est tout à fait contre ce changement et m'a dit qu'il soutiendrait notre profession contre un éventuel passage en direct patient/prothésiste.


Images qct94b - Eugenol
themumbly

24/10/2014 à 15h55

chicot29 écrivait:
------------------
> Sinon, mes dépenses de prothèse en 2012.
> On voit quand je prends des vacances et quand je fais des infidélités, hein
> ?-))))))
> Je ne sais pas ce que nous mijote Macron, mais à ta place je serrerais les
> fesses. -)))))


t'as rien branlé en janvier
bouge toi un peu

sinon ça force le respect


Capture d  cran 2015 03 12 12.28 - Eugenol
chicot29

24/10/2014 à 16h15

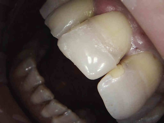
Non pas du tout, je ne suis pas particulièrement fier de "vendre" de la prothèse pour me permettre de "vendre" des cas comme celui ci pour 43 euros. Car un cas comme ca me prend plus de temps que de faire une coiffe. mais ca il faut etre dentiste pour comprendre, pas prothésiste.
Ps : pour le meme temps de travail, je te passe 4 incisives au taille crayon, ca équilibre, non ? Mais là c'est un ami qui de surcroit se marie cet après midi, c'est différent d'autant que je ne travaille pas le vendredi, j'avais donc tout mon temps-))))
En temps normal avec le chrono qui tourne et des tarifs de soins opposables merde, c'est disons moins fini ou plus délabrant -)))

1 xqltpk - Eugenol
2 cfchnj - Eugenol
3 dmmi9r - Eugenol
4 dchkgm - Eugenol
5 ckgryw - Eugenol
6 tzi16p - Eugenol
7 buos1c - Eugenol

Prod 1280 mscsgu - Eugenol
JohnJohn

25/10/2014 à 12h49

Une petite digression quoi que...
Une nouvelle concurrence pour nos deux professions et un nouveau commerce dangereux pour les patients ?

http://www.hkprotect.com/gouttieres/31-gouttieres-de-musculation.html


Smile beach jgh0a1 - Eugenol
Céramik

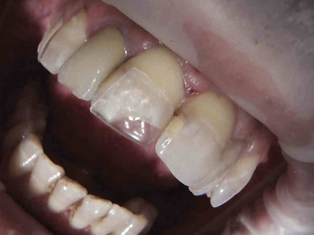
26/10/2014 à 00h31

belle paro et belle dentition pour le mariage :-(

--
Céramik


Darmon - Eugenol
Latin

26/10/2014 à 02h18

JohnJohn écrivait:
------------------
> Une petite digression quoi que...
> Une nouvelle concurrence pour nos deux professions et un nouveau commerce
> dangereux pour les patients ?
>
> http://www.hkprotect.com/gouttieres/31-gouttieres-de-musculation.html

Il y a une différence entre vendre des protèges-dents dont on peut légitimement penser qu'ils sont de meilleur qualité lorsqu'ils sont faits sur-mesure, et prétendre améliorer des problèmes de bruxisme ou d'ADAM avec des gouttières nocturnes conçues sur le mode "do it yourself". Donc oui potentiellement ça peut être dangereux.

Dans le premier cas ça ne me choque pas d'aller chez Décathlon (ou autre) et de mordre dans un protège-dent thermoformable préalablement trempé dans l'eau chaude pour le conformer à ses arcades.

Dans le deuxième cas on ne peut qu'être critique. Surtout que l'occluso (puisque c'est de ça dont on parle)... c'est quand-même... disons... compliqué à appréhender. Du moins de manière rationnelle.


Michel4 ve7g1x - Eugenol
chabit

26/10/2014 à 09h19

Salut,
Je prends le post au vol, j'avais proposé sur un autre post (autre sujet) que la denturologie soit intégrée à notre exercice. J'en vois sauter en l'air et je ne vais pas me faire que des potes, mais bon, je vous explique.
La CCAM nous arrive en pleine tronche dans 8 jours, avec ses travers ses arcanes etc. J'ajoute, et je l'ai déjà dit plusieurs fois, son absence de HN. Je propose de pratiquer la denturologie pour tout ce qui nous sied en HN, il est impossible qu'on nous accuse de pratique illégale de la médecine puisque nous sommes diplômés. J'ai le même cheminement d'esprit que le Kiné diplomé ou le médecin généraliste qui font de l'ostéopathie: un secteur conventionné, et un secteur non conventionné. On nous donne l'occasion de pratiquer un nouveau métier, avec ou sans prothèse, avec ou sans partenariat avec un prothésiste, sérieusement, plus j'y pense, plus je me sens concerné. Vous en pensez quoi ?


el diablo

28/10/2014 à 11h38

Bonjour,

Je ne comprends pas trop ce que tu voudrais qu'on fasse, tu pourrais donner des exemple stp?


Michel4 ve7g1x - Eugenol
chabit

28/10/2014 à 12h11

Notre problème actuel, c'est le travail à perte. Nous nous démenons pour faire du bon boulot malgré tout, en faisant vivre nos cab sur les actes avec dépassements autorisés ou sur des actes HN. Jusque là c'est insupportable, mais on fait avec. A partir de lundi, plus de HN et bien moins de dépassements autorisés. Comme l'a dit je ne sais plus qui sur le forum, il nous restera 3 options, on ne fait plus les actes trop "perdants", on les fait à l'arrache en s'arrangeant avec notre conscience, ou on se déconventionne. Le déconventionnement s'il a des avantages, a aussi quelques inconvénients (je parle pour nos patients). Surtout que, jusqu'à présent, c'est tout ou rien, conventionné ou pas. Les patients consultent un prat conventionné (prise en charge CPAM normale pour tous nos actes), ou non conventionné (prise en charge CPAM sur TA pour tous nos actes). je propose que nous ayons 2 casquettes derrière une seule plaque unique. Dentiste conventionné et dentiste non conventionné, mais çà on n'a pas le droit, par contre et c'est ma proposition, derrière notre plaque de diplômé, je voudrais exercer mon métier de dentiste avec convention pour mes patients, et mon second métier de "denturiste, dentologue ou autre" sans convention, ni nomenclature, ni réseau pour mon cabinet et moi. Comme le font les médecins ostéopathes, les kinés ostéopathes etc. Pourquoi pas dans le même temps, marcher sur les plates bandes d'une minorité de nos partenaires prothésistes (j'insiste sur minorité et sur partenaires) en récupérant la profession de denturologue, avec un gros plus évident: nous sommes diplômés et on ne peut pas nous accuser d'exercice illégal.
Ça te paraît plus clair ?


Capture d  cran 2015 03 12 12.28 - Eugenol
chicot29

28/10/2014 à 12h20

Céramik écrivait:
-----------------
> belle paro et belle dentition pour le mariage :-(
>
> --
> Céramik

Tu trouves aussi ? -))))
Impossibilité de proposer un tt global car pas de "solvabilisation" possible dans ce cas. Meme à des amis, sous peine que ca ne soit plus des amis. -))))


el diablo

28/10/2014 à 12h21

Ca revient donc a vouloir dissocier nos acte de prothese, on fait la pose en étant conventionné et la préparation en étant non conventionné? on pratique la pose au tarif remboursable, et le reste passe en hn déguise, c'est ca?


Img 2951 flo3gr - Eugenol
molinarius

28/10/2014 à 12h27

chabit écrivait:
----------------
> Notre problème actuel, c'est le travail à perte. Nous nous démenons pour faire
> du bon boulot malgré tout, en faisant vivre nos cab sur les actes avec
> dépassements autorisés ou sur des actes HN. Jusque là c'est insupportable, mais
> on fait avec. A partir de lundi, plus de HN et bien moins de dépassements
> autorisés. Comme l'a dit je ne sais plus qui sur le forum, il nous restera 3
> options, on ne fait plus les actes trop "perdants", on les fait à l'arrache en
> s'arrangeant avec notre conscience, ou on se déconventionne. Le
> déconventionnement s'il a des avantages, a aussi quelques inconvénients (je
> parle pour nos patients). Surtout que, jusqu'à présent, c'est tout ou rien,
> conventionné ou pas. Les patients consultent un prat conventionné (prise en
> charge CPAM normale pour tous nos actes), ou non conventionné (prise en charge
> CPAM sur TA pour tous nos actes). je propose que nous ayons 2 casquettes
> derrière une seule plaque unique. Dentiste conventionné et dentiste non
> conventionné, mais çà on n'a pas le droit, par contre et c'est ma proposition,
> derrière notre plaque de diplômé, je voudrais exercer mon métier de dentiste
> avec convention pour mes patients, et mon second métier de "denturiste,
> dentologue ou autre" sans convention, ni nomenclature, ni réseau pour mon
> cabinet et moi. Comme le font les médecins ostéopathes, les kinés ostéopathes
> etc. Pourquoi pas dans le même temps, marcher sur les plates bandes d'une
> minorité de nos partenaires prothésistes (j'insiste sur minorité et sur
> partenaires) en récupérant la profession de denturologue, avec un gros plus
> évident: nous sommes diplômés et on ne peut pas nous accuser d'exercice illégal.
> Ça te paraît plus clair ?

Pour résumer , tu investis dans un labo au sein de ton cabinet ?
C'est pas con ! sur une même plaque , il y aura les 2 dénominations :


P2eqdh3csim6s7nb09ktdq3e7ev8 - Eugenol
barbabapat

28/10/2014 à 12h37

On peut aussi tout a fait avec le diplome de dentiste faire de la denturologie, ce qui permet de virer legalement toute l'activité déficitaire du cabinet quitte à sous traiter une partie de la réalisation de la prothese comme le font dejà certain prothesistes.

Et en plus comme tu ne travaille pas comme dentiste, tu peux faire du vrai made in france comme dans l'industrie.


Darmon - Eugenol
Latin

28/10/2014 à 12h46

barbabapat écrivait:
--------------------
> On peut aussi tout a fait avec le diplome de dentiste faire de la denturologie,
> ce qui permet de virer legalement toute l'activité déficitaire du cabinet

Sauf qu'il ne faudra pas compter sur moi pour faire tes extractions et tes bios!


Michel4 ve7g1x - Eugenol
chabit

28/10/2014 à 13h04

molinarius écrivait:
--------------------
> chabit écrivait:
<< Pour résumer , tu investis dans un labo au sein de ton cabinet ? >>

Inutile d'investir dans un labo, rien n'empêche un artisan de sous traiter une partie de son travail. Quand mon plombier m'a installé la clim dans le cabinet, il a sous traité avec une boîte spécialisée à laquelle je n'ai pas eu affaire du tout. Il a assumé la responsabilité de cette installation comme s'il l'avait faite lui même, çà ne te rappelle rien ?

Sinon, pour les autres vous m'avez bien compris. Je pense mais c'est à voir, qu'en tant qu'artisan, on se fera moins bouffer la rate qu'en temps que dentiste conventionné.


Darmon - Eugenol
Latin

28/10/2014 à 13h08

Quelques photos de vacances...

Visiblement dans ce pays pas mal de dentistes ont leur hygiéniste et leur prothésiste à demeure.

Ca fonctionne uniquement parce que les tarifs des soins ne sont pas les mêmes qu'en France, hein!
C'est même un autre monde!

225$CA l'"examen + nettoyage".


1000$CA pour une bio incisive avec compo palatin une face (vécu par une amie) contre 50,61€ le sc14+sc7 en France (plus 15,96€ de radios c'est vrai). Pour ce tarif ils posent la digue même sur des antérieures maxillaires, faut pas déconner quand-même!

Je pense qu'avoir un prothésiste plus que disponible ne peut qu'améliorer la qualité du travail, personne n'ira dire le contraire.

Je ne sais pas si là-bas des denturologues travaillent de manière complètement indépendante. Ce que je veux dire, c'est que le danger réside dans les prothésistes qui font des dentiers dans leur coin avec des connaissances cliniques/santé générale nulles. En plus de "récupérer" des patients à l'étape de la prothèse. (Exactement comme les praticiens affiliés à des réseaux en somme!)

Img 0066 ks3a9j - Eugenol
Img 0072 zdeebg - Eugenol
Img 0065 fym2ic - Eugenol
Img 0067 sy1jma - Eugenol
Img 0068 tkodup - Eugenol
Img 0069 dl5ih1 - Eugenol
Img 0071 xxoilw - Eugenol

Michel4 ve7g1x - Eugenol
chabit

28/10/2014 à 13h27

Latin écrivait:
---------------
<<..... Ce que je veux dire, c'est que le danger réside dans les prothésistes qui font des dentiers dans leur coin avec des connaissances cliniques/santé générale nulles. >>

Raison de plus pour leur couper l'herbe sous le pied, et proposer le même service, la sécurité d'un diplômé en plus !


Darmon - Eugenol
Latin

28/10/2014 à 13h30

Les soins tu les fais hors convention aussi?
Ou tu les fais faire ailleurs?


P2eqdh3csim6s7nb09ktdq3e7ev8 - Eugenol
barbabapat

28/10/2014 à 13h41

Latin écrivait:
---------------
> Les soins tu les fais hors convention aussi?
> Ou tu les fais faire ailleurs?

Pourquoi te conventionner pour les soins. Donc ça peut être du black, du non conventionné, ou le patient à le choix d'aller les faire ailleurs pour que ce soit remboursé.