Tous les forums
Dites moi pas que c'est pas vrai
14/10/2014 à 15h21
Alors là suis ok avec toi yobi .
Un truc qui est étonnant :
un implant ç est cher et c est normal
pour les dents c est le dentiste qui est cher
quand on se promène dans les labos on voit plein de boulots sur implant avec des dents fracassées a coté et de moins en moins de fixe ,
avec la société de conso on investi ,on achète on ne répare plus.
Si mes dents sont abimées c est la faute a la génétique ou au mauvais sort ….et quand j aurais des sous je me payerais des implants,
De la même façon si mon fils est con je l amène au ballon le samedi et a l ortho le mercredi ,ç est plus facile que de lui apprendre les bonnes manières ou le théorème de Thalès,et au moins j'aurais tout fait pour lui.
La notion du prix dépend de notre notion de responsabilité et de l envie
14/10/2014 à 16h42
Je vais revenir sur la notion : "le dentiste c'est cher " L'autre jour , notre cher chicot ,que je qualifierais de "maitre étalon" de la dentisterie moderne nous montre un de ses cas ( et l'on a le choix !) http://www.eugenol.com/sujets/407540-reciproc-ou-wave-one?page=1#post_782115
Il a donc réalisé en 1h15 ,4 endo PM , empreinte pour IC couronne sur un cmu . Je suppose qu'à la séance suivante il va poser tout cela soit encore 30 mn de travail : bilan 1900 € au bas mot en environ 2 h ! le fait que ce patient soit CMU fait qu'il peut se permettre ce genre de "rentabilité" mais un patient lambda qui au bout de moins de 2 h bouche ouverte va faire un chèque de pas loin de 2000 € (et là ce sont des tarifs CMU !) et ben il va penser "punaise c'est cher " ! vous pourrez tourner le problème dans tous les sens et lui expliquer par A+B que on aurait fait le boulot en 10 h ça aurait coûté le même prix , lui, il ne voit que 2h/2000 € ! Ce n'est pas une vue de l'esprit de journaliste , c'est ce qui se passe actuellement quand la sacro sainte rentabilité horaire pousse la majorité à faire un maximum d'actes en un minimum de temps et quand le patient sort son carnet de chèque , il a complètement oublié qu'il a été soigné en un "minimum de temps". Le dentiste c'est cher , et c'est pas prêt de baisser !! à moins que Mr Leclerc .... Houlà , encore "beaucoup d'amis" à venir
14/10/2014 à 17h09
ah oui mais là.....c est pas qu'il est cher ç est qu'il est trop fort....
avec cette hitoire d IC +couronnes direct tout se resume en endo -richmond. 1970 avec la digue en plus. grace a la digue tout est permis .rien ne va plus.
14/10/2014 à 17h10
casa écrivait:
--------------
> Je vais revenir sur la notion : "le dentiste c'est cher " L'autre jour , notre
> cher chicot ,que je qualifierais de "maitre étalon" de la dentisterie moderne
> nous montre un de ses cas ( et l'on a le choix !)
> http://www.eugenol.com/sujets/407540-reciproc-ou-wave-one?page=1#post_782115
> Il a donc réalisé en 1h15 ,4 endo PM , empreinte pour IC couronne sur un cmu .
> Je suppose qu'à la séance suivante il va poser tout cela soit encore 30 mn de
> travail : bilan 1900 € au bas mot en environ 2 h ! le fait que ce patient soit
> CMU fait qu'il peut se permettre ce genre de "rentabilité" mais un patient
> lambda qui au bout de moins de 2 h bouche ouverte va faire un chèque de pas loin
> de 2000 € (et là ce sont des tarifs CMU !) et ben il va penser "punaise c'est
> cher " ! vous pourrez tourner le problème dans tous les sens et lui expliquer
> par A+B que on aurait fait le boulot en 10 h ça aurait coûté le même prix , lui,
> il ne voit que 2h/2000 € ! Ce n'est pas une vue de l'esprit de journaliste ,
> c'est ce qui se passe actuellement quand la sacro sainte rentabilité horaire
> pousse la majorité à faire un maximum d'actes en un minimum de temps et quand le
> patient sort son carnet de chèque , il a complètement oublié qu'il a été soigné
> en un "minimum de temps". Le dentiste c'est cher , et c'est pas prêt de baisser
> !! à moins que Mr Leclerc .... Houlà , encore "beaucoup d'amis" à venir
Et combien d'investissement pour parvenir à ce niveau de qualité en 2h ?
Effectivement, si tu gères ton cabinet comme raisonnent les patients, pas étonnant que ton CA ne decolle pas.
14/10/2014 à 18h02
casa écrivait:
--------------
> Je vais revenir sur la notion : "le dentiste c'est cher " L'autre jour , notre
> cher chicot ,que je qualifierais de "maitre étalon" de la dentisterie moderne
> nous montre un de ses cas ( et l'on a le choix !)
> http://www.eugenol.com/sujets/407540-reciproc-ou-wave-one?page=1#post_782115
> Il a donc réalisé en 1h15 ,4 endo PM , empreinte pour IC couronne sur un cmu .
> Je suppose qu'à la séance suivante il va poser tout cela soit encore 30 mn de
> travail : bilan 1900 € au bas mot en environ 2 h ! le fait que ce patient soit
> CMU fait qu'il peut se permettre ce genre de "rentabilité" mais un patient
> lambda qui au bout de moins de 2 h bouche ouverte va faire un chèque de pas loin
> de 2000 € (et là ce sont des tarifs CMU !) et ben il va penser "punaise c'est
> cher " ! vous pourrez tourner le problème dans tous les sens et lui expliquer
> par A+B que on aurait fait le boulot en 10 h ça aurait coûté le même prix , lui,
> il ne voit que 2h/2000 € ! Ce n'est pas une vue de l'esprit de journaliste ,
> c'est ce qui se passe actuellement quand la sacro sainte rentabilité horaire
> pousse la majorité à faire un maximum d'actes en un minimum de temps et quand le
> patient sort son carnet de chèque , il a complètement oublié qu'il a été soigné
> en un "minimum de temps". Le dentiste c'est cher , et c'est pas prêt de baisser
> !! à moins que Mr Leclerc .... Houlà , encore "beaucoup d'amis" à venir
casa, tu prends le probleme dans le mauvais sens car un patient normal n'aurait pas la bouche dans un tel etat.
deuxièmement, crontrairement à ce qu'affirme ameli, cela n'empeche pas la realisation des soins sauf conneries de la secu qui ne traite pas les dossiers CMU correctement.
Enfin, soit on continue la course à la rentabilité à des niveaux que tous les autres pays ne cherchent pas à copier. Et on va se retrouver avec un gros probleme de santé publique. Car si les CMU arrivent à creer ce genre de bouche naturellement, il faut bien comprendre qu'a un moment il faut bien nourrir la machine.
14/10/2014 à 18h02
et oui trop fort le chicot ! et en plus il soigne bien les CMU ! Un As ! @ tizot : heu comment tu sais ? je fais mieux que chicot : j'arrive à faire des stellite en 3 x 10 mn ! empreinte essayage pose ! aucun investissement : presque tout bénef ! ha ha ha sont forts ces chinois !
"toute ressemblance avec des personnes ou des situations existantes ou ayant existées ne saurait être que fortuite."
14/10/2014 à 18h23
Ce qui est dramatique c'est que je passe 3 fois plus de temps pour des facettes ceram collées et pour moins cher. Le manque d'habitude sans doute.-))))
14/10/2014 à 18h35
casa écrivait:
--------------
> Je vais revenir sur la notion : "le dentiste c'est cher " L'autre jour , notre
> cher chicot ,que je qualifierais de "maitre étalon" de la dentisterie moderne
> nous montre un de ses cas ( et l'on a le choix !)
> http://www.eugenol.com/sujets/407540-reciproc-ou-wave-one?page=1#post_782115
> Il a donc réalisé en 1h15 ,4 endo PM , empreinte pour IC couronne sur un cmu .
> Je suppose qu'à la séance suivante il va poser tout cela soit encore 30 mn de
> travail : bilan 1900 € au bas mot en environ 2 h ! le fait que ce patient soit
> CMU fait qu'il peut se permettre ce genre de "rentabilité" mais un patient
> lambda qui au bout de moins de 2 h bouche ouverte va faire un chèque de pas loin
> de 2000 € (et là ce sont des tarifs CMU !) et ben il va penser "punaise c'est
> cher " ! vous pourrez tourner le problème dans tous les sens et lui expliquer
> par A+B que on aurait fait le boulot en 10 h ça aurait coûté le même prix , lui,
> il ne voit que 2h/2000 € ! Ce n'est pas une vue de l'esprit de journaliste ,
> c'est ce qui se passe actuellement quand la sacro sainte rentabilité horaire
> pousse la majorité à faire un maximum d'actes en un minimum de temps et quand le
> patient sort son carnet de chèque , il a complètement oublié qu'il a été soigné
> en un "minimum de temps". Le dentiste c'est cher , et c'est pas prêt de baisser
> !! à moins que Mr Leclerc .... Houlà , encore "beaucoup d'amis" à venir
Là où tu te trompes Casa c'est que travaillant aussi "vite" que Chicot, je diminue le nombre de séances quitte à y passer 2h le 1er RV, et absolument aucun de mes patients ne s'en plaint, au contraire! Ils préfèrent venir à 3 RV plutôt qu'à 10... Et à partir du moment où ils sont ok avec le devis, personne ne m'a jamais dit "c'est cher pour quelque chose qui vous a pris 2 h"...
Ils sont soulagés, et débarrassés!
Ce n'est pas en multipliant les séances que tu peux "faire passer" tes tarifs, rien à voir, ils ne sont pas idiots!
14/10/2014 à 19h14
yobi écrivait:
--------------
Je me souvient très bien d'une étude disant qu'un nombre
> important de titulaires de la CMU renonçaient aux soins dentaires pour des
> raisons financières! c'était le motif avoué par les patients mais quel était le
> vrai motif?
Non, l'aveu "financier" est souvent caché, et on invoque aussi d'autres motifs inventés ou peu compréhensibles par les praticiens (frais de vacances, bagnole, fringues, téléphone, etc). Ainsi certains assurés ont droit à la CMU mais ne l'ont pas car n'ont jamais demandé, d'autres sont CMU mais ont peur de devoir payer, et parfois c'est l'illisibilité des dispositifs qui rend tout opaque et fait peur, surtout pour tout le domaine préventif et domaine du dépistage y compris dans les salaires élevés : on préfère ne pas savoir qu'apprendre une mauvaise nouvelle. La peur financière n'est pas fausse, mais elle est non seulement largement exagérée, et elle repose sur une incompréhension complète.
La "peur" est un empêchement ! qu'elle soit logique ou illogique, vraie ou fausse, n'est pas la cause du renoncement mais une bonne information pourrait être une solution satisfaisante et peu onéreuse ! Mais comment éduquer et expliquer ?
Cette peur est une peur financière, une peur d'un phénomène inconnu, une peur d'un jugement défavorable, donc on préfère raconter un mensonge pour expliquer le refus.
Evidemment, l'attitude des professionnels peut être inadaptée, accueil défavorable ou absence de disponibilité... c'est compréhensible face à des patients qui se méfient et craignent tout !
Résultat décevant ! alors que les aides (CMU et autres) fonctionnent plutôt positivement, les refus et inégalités s'aggravent, d'année en année. Tous les grands le disent, y compris les profs de médecine, les économistes, les sociologues.
Si on amplifie les obstacles financiers, même légèrement, le risque est lourd, et ça coutera cher au sanitaire, par conséquence.
14/10/2014 à 19h47
ameli écrivait:
---------------
elle repose sur une incompréhension complète.
Donc la reponse finaciere n'apportea pas de solutions puisque l'incomprehension ne sera pas reglée.
> La "peur" est un empêchement ! qu'elle soit logique ou illogique, vraie ou
> fausse, n'est pas la cause du renoncement mais une bonne information pourrait
> être une solution satisfaisante et peu onéreuse ! Mais comment éduquer et
> expliquer ?
Tu sais il y a pas mal de personnels à la sécu qui pourraient bouger leur cul de leur chaise et plutot que d'emmerder des patients pendant un an pour leur refuser une carte vitale travailler et réellement pour les patients. Mais bon, il faut selon toi que les professionnels de santé fasse ton boulot benevolement sur leur temps de travail pour que tu puisse de tourner les pouces.
14/10/2014 à 19h53
casa écrivait:
--------------
> et oui trop fort le chicot ! et en plus il soigne bien les CMU ! Un As ! @ tizot
> : heu comment tu sais ? je fais mieux que chicot : j'arrive à faire des
> stellite en 3 x 10 mn ! empreinte essayage pose ! aucun investissement : presque
> tout bénef ! ha ha ha sont forts ces chinois !
> "toute ressemblance avec des personnes ou des situations existantes ou ayant
> existées ne saurait être que fortuite."
Il est dommage que chicot n'ait pas monté une association bidon, ait demandé à un pote journaliste de faire de la pub sur la fait qu'il s'occupe lui des patients pauvre et vire tous les patients qui ne correspondent pas à ce schemas de soins pour faire un peu plus associations qui oeuvre pour l'accès aux soins dentaires des plus pauvres en industrialisant ce scheam de soins meme lorsqu'il n'ait pas justifié par l'etat initial de la bouche des patients.
Non avant les centres low cost, les dentistes selon P.... S.... , n'avaient pas compris le potentiel des patients CMU.
14/10/2014 à 20h21
Traduction pour ceux qui n'auraient pas compris ameli : viva le tiers-payant généralisé.
À nos frais évidemment.
14/10/2014 à 22h35
ameli écrivait:
>
> Non, l'aveu "financier" est souvent caché, et on invoque aussi d'autres motifs
> inventés ou peu compréhensibles par les praticiens (frais de vacances, bagnole,
> fringues, téléphone, etc). Ainsi certains assurés ont droit à la CMU mais ne
> l'ont pas car n'ont jamais demandé, d'autres sont CMU mais ont peur de devoir
> payer, et parfois c'est l'illisibilité des dispositifs qui rend tout opaque et
> fait peur, surtout pour tout le domaine préventif et domaine du dépistage y
> compris dans les salaires élevés : on préfère ne pas savoir qu'apprendre une
> mauvaise nouvelle. La peur financière n'est pas fausse, mais elle est non
> seulement largement exagérée, et elle repose sur une incompréhension complète.
Ne crois tu pas que les motifs que tu cites (frais de vacances, bagnole, fringues, téléphone, etc) en plus de l'aspect financier ne sont parfois là que pour se donner "bonne conscience"?
Ne pas remettre en cause son mode de vie, à savoir boissons sucrées +++, brossage irrégulier, contrôle quand ça fait mal, tabac, alcool...
C'est moins culpabilisant de mettre cela sur le dos du dentiste (trop chère), de la sécu (pas assez de remboursement), non?
J'explique à longueur de journée que cela ne coute pas chère d'avoir des "bonne dents", alimentation équilibrée en buvant de l'eau, pas de tabac/alcool en excès, brossage 2 à 3 fois par jour, contrôle tout les ans chez moi.
Je ne nie pas que le prothèses dentaires peuvent revenir couter (surtout si on considère ce que l'on donne tout les mois au duo secu/mutuel pour un remboursement indigne!!), mais en faisant attention on dépense moins chez moi!
Mais bon c'est plus facile de penser par la pub : les boissons sucré, les plats tout prêts, les mutuels....
14/10/2014 à 23h34
@ docteurno
Tu pourrais même rajouter:
" y en a un peu plus j'vous le met quand même ?"
15/10/2014 à 12h13
zazamouk écrivait:
------------------
> Ne crois tu pas que les motifs que tu cites (frais de vacances, bagnole,
> fringues, téléphone, etc) en plus de l'aspect financier ne sont parfois là que
> pour se donner "bonne conscience"?
Non, je ne crois rien, je ne fais que résumer ce que les études sur ces sujets démontrent. Les affirmations de ces non-patients sont souvent mensongères pour plusieurs raisons : un menfoutisme grave pour sa propre santé, une grosse difficulté financière qui privilégie la vie de tous les jours et pas un traitement qu'on ne comprend pas.
Les problèmes psychologiques et éducatifs aggravent les difficultés de payer quoi que ce soit. La priorité devient le plaisir de survivre, et pas d'aller chez un toubib pour guérir d'une maladie qui n'ennuie pas tant que ça ou poser une prothèse dont on peut se passer.
> C'est moins culpabilisant de mettre cela sur le dos du dentiste (trop chère), de
> la sécu (pas assez de remboursement), non?
Ta remarque est juste, mais secondaire. En fait, c'est que la motivation du patient n'existe pas : pour lui, l'urgence de soins, l'urgence de créer une prothèse n'existent pas. Il est dans le désintérêt de sa santé. S'il croit qu'il doit faire un gros effort financier, il se fiche de sa santé, perd conscience de la gravité du souci.
C'est d'ailleurs parfois aussi le cas des gens instruits : c'est un souci comportemental qui vient en complément ou en substitution du souci financier.
Comment motiver un patient qui fait un blocage financier ou un autre blocage ? Les études ne manquent pas sur ce sujet, dont une récente plutôt célèbre et signée par de grands cadors (gros chef de médecine, Tabuteau, CNRS, etc...).
Exemple tout con : pourquoi moi je ne vais jamais de jamais chez un médecin pour contrôler quoi que ce soit, je m'en fiche, je dis que je me connais mieux que ces cons de toubib et que je suis increvable. Résultat, un hosto m'a "convoqué" pour de multiples examens de 8h du matin à 17h, et je suis convoqué chez un toubib libéral le lendemain, en complément. J'y vais, parce que mes gosses ont eu la copie de ces courriers et m'y obligent ; sinon, j'aurais pointé absent ! On tente de provoquer une inquiétude chez le patient pour créer une motivation de suivi-contrôle de graves symptômes, alors que le patient n'est pas inquiet du tout et est passé à autre chose. Sans ces courriers très incitatifs, j'aurais fait un renoncement pour non-motivation.
Quand on n'est pas motivé, quand on se sent bien, on ne fait que vivre, et ça plait. Quand on n'est pas motivé, et qu'en prime on se bat avec la banque, on ne fait rien ou on va boire un coup au bistrot avec les potes.
15/10/2014 à 15h51
casa écrivait:
--------------
> Je vais revenir sur la notion : "le dentiste c'est cher " L'autre jour , notre
> cher chicot ,que je qualifierais de "maitre étalon" de la dentisterie moderne
> nous montre un de ses cas ( et l'on a le choix !)
> http://www.eugenol.com/sujets/407540-reciproc-ou-wave-one?page=1#post_782115
> Il a donc réalisé en 1h15 ,4 endo PM , empreinte pour IC couronne sur un cmu .
> Je suppose qu'à la séance suivante il va poser tout cela soit encore 30 mn de
> travail : bilan 1900 € au bas mot en environ 2 h ! le fait que ce patient soit
> CMU fait qu'il peut se permettre ce genre de "rentabilité" mais un patient
> lambda qui au bout de moins de 2 h bouche ouverte va faire un chèque de pas loin
> de 2000 € (et là ce sont des tarifs CMU !) et ben il va penser "punaise c'est
> cher " ! vous pourrez tourner le problème dans tous les sens et lui expliquer
> par A+B que on aurait fait le boulot en 10 h ça aurait coûté le même prix , lui,
> il ne voit que 2h/2000 € ! Ce n'est pas une vue de l'esprit de journaliste ,
> c'est ce qui se passe actuellement quand la sacro sainte rentabilité horaire
> pousse la majorité à faire un maximum d'actes en un minimum de temps et quand le
> patient sort son carnet de chèque , il a complètement oublié qu'il a été soigné
> en un "minimum de temps". Le dentiste c'est cher , et c'est pas prêt de baisser
> !! à moins que Mr Leclerc .... Houlà , encore "beaucoup d'amis" à venir
Tu mets exactement le doigt sur le noeud du problème.
Notre ami chicot admet lui même qu'il adapte sa pratique cmu à ce que la secu exige (panier de soin) donc toute endo se transforme en inlay core ccm. On ne vois pas les photos initiales mais si ça se trouve ces dents auraient pu être restaurées avec de simples compo ou des inlay. Grâce à notre fabuleux système, 95% des dentistes sont tellement formatés à automatiquement couronner toutes dents dévitalisées qu'ils ne voient même plus le surtraitement.
Donc des 1900e en 2h c'est grâce au soins opposables que ça existe. Sinon ça serait beaucoup moins cher et générerait autant de bénéfice car moins de frais.
La solution au problème est connu.
15/10/2014 à 17h32
enlaye écrivait:
----------------
> @ docteurno
> Tu pourrais même rajouter:
> " y en a un peu plus j'vous le met quand même ?"
@enlaye
je ne comprends pas le sens de ta réflexion?
16/10/2014 à 04h09
Le sens est ironique bien sur .
Quand tu dis qu une fois le devis signé les gens préfèrent que ça aille vite c est vrai .
Que tu sois rentable , en effectuant en 2heures ce que d'autres feraient en 10 c’est vrai.
Mais que tu dises que ce soit pour le même travail non !enfin j espère que tu n es pas dupe !?
Attention on parle bien de : empreinte pour ic+couronne ou bridge en 1 fois direct ou semi direct...pour gagner du temps.Ce qu expliquait Casa : pif-paf 2000 euros .
Je te donne un exemple :
tu fais faire un devis pour repeindre ton cab
décapage+ masticage + après et 2 couches de blanc joli-joli 2000$
tu dis OK
mais tu es là pendant les travaux et tu t aperçois que le décapage est rapide que le masticage n est même pas poncé et qu'il passe une couche de blanc dans la foulée avec la main gauche et en même temps la 2emecouche avec la main droite,
Sur le devis tout était bien écrit y a pas de problème mais tu as envie de lui donner un coup de boule.
Et bien faire un bridge en finition directe avec inlay-core c est pareil .
Un inlay core préfigure toute l élaboration du bridge que ce soit par
la forme occlusale
,la forme des émergences,
des embrasures
l essayage des provisoires (esthétiques et fonctionnels)
ET tu délègues tout au labo qui n'y comprend rien. Tu subis son délire. Pas d essayage possible ….
Je n'ai jamais pu mettre un IC sans le retoucher,j ai passé des heures a tailler les IC a tel point ….que je n en fait plus ( surtout a cause du bruit et des casses de rotor de turbine).
Je ne parle même pas de l étanchéité de l ensemble.
Et pourtant sur le devis c’est écris pareil: inlay core +bridge ; mais ç est pas le même boulot !!!
Après il ne faut pas s’étonner si les protos trouvent qu'on se gave.
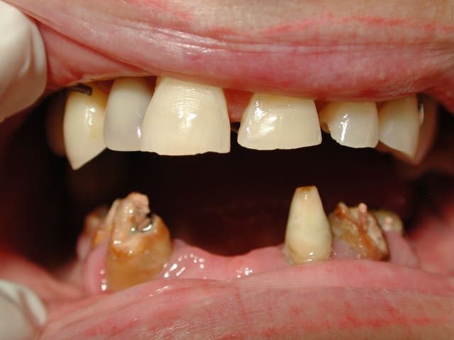
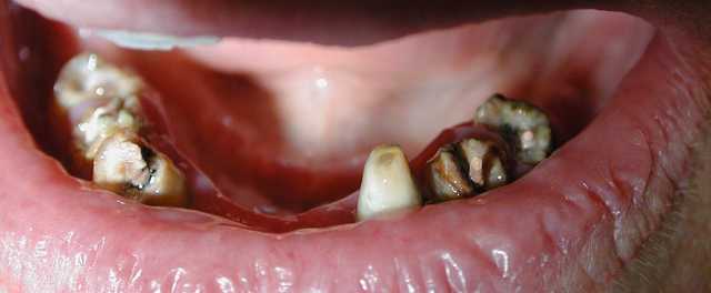
Voila un cas vite fait par un rentable: ramolli en 5 ans
Tu penses qu'on peut le rattraper en faisant inlay-core + bridge ?
Tu penses que j'ai perdu mon temps pour justifier des séances ?
Malheureusement je viens de lire les nouveaux post sur notre avenir et je me demande si ce n est pas toi qui est dans le mouv pour la suite ,Dommage,
16/10/2014 à 10h13
chatondecarte écrivait:
-----------------------
> casa écrivait:
> --------------
> > Je vais revenir sur la notion : "le dentiste c'est cher " L'autre jour , notre
> > cher chicot ,que je qualifierais de "maitre étalon" de la dentisterie moderne
> > nous montre un de ses cas ( et l'on a le choix !)
> > http://www.eugenol.com/sujets/407540-reciproc-ou-wave-one?page=1#post_782115
> > Il a donc réalisé en 1h15 ,4 endo PM , empreinte pour IC couronne sur un cmu .
> > Je suppose qu'à la séance suivante il va poser tout cela soit encore 30 mn de
> > travail : bilan 1900 € au bas mot en environ 2 h ! le fait que ce patient soit
> > CMU fait qu'il peut se permettre ce genre de "rentabilité" mais un patient
> > lambda qui au bout de moins de 2 h bouche ouverte va faire un chèque de pas
> loin
> > de 2000 € (et là ce sont des tarifs CMU !) et ben il va penser "punaise c'est
> > cher " ! vous pourrez tourner le problème dans tous les sens et lui expliquer
> > par A+B que on aurait fait le boulot en 10 h ça aurait coûté le même prix ,
> lui,
> > il ne voit que 2h/2000 € ! Ce n'est pas une vue de l'esprit de journaliste ,
> > c'est ce qui se passe actuellement quand la sacro sainte rentabilité horaire
> > pousse la majorité à faire un maximum d'actes en un minimum de temps et quand
> le
> > patient sort son carnet de chèque , il a complètement oublié qu'il a été
> soigné
> > en un "minimum de temps". Le dentiste c'est cher , et c'est pas prêt de
> baisser
> > !! à moins que Mr Leclerc .... Houlà , encore "beaucoup d'amis" à venir
>
>
> Tu mets exactement le doigt sur le noeud du problème.
> Notre ami chicot admet lui même qu'il adapte sa pratique cmu à ce que la secu
> exige (panier de soin) donc toute endo se transforme en inlay core ccm. On ne
> vois pas les photos initiales mais si ça se trouve ces dents auraient pu être
> restaurées avec de simples compo ou des inlay. Grâce à notre fabuleux système,
> 95% des dentistes sont tellement formatés à automatiquement couronner toutes
> dents dévitalisées qu'ils ne voient même plus le surtraitement.
>
> Donc des 1900e en 2h c'est grâce au soins opposables que ça existe. Sinon ça
> serait beaucoup moins cher et générerait autant de bénéfice car moins de frais.
>
> La solution au problème est connu.
So much truth being spoken above.
> Grâce à notre fabuleux système,
> 95% des dentistes sont tellement formatés à automatiquement couronner toutes
> dents dévitalisées qu'ils ne voient même plus le surtraitement.
This, this, this! But when you understand the economics involved it's understandable even if it is perverse.
"le dentiste c'est cher "
Chez nous si tu dit que quelque chose est cher, on vas te dire "NE L'ACHETE PAS ALORS!"
--
"Si chaque confrère envoi une brosse à dent, crois moi ca les fera réfléchir."
16/10/2014 à 10h53
@enlaye, tu as repris les endos ? Si oui, en extrayant les dents et en les réimplantant, ou pas ? ;)
En tout cas sympa comme cas.
16/10/2014 à 11h24
chatondecarte écrivait:
-----------------------
> Tu mets exactement le doigt sur le noeud du problème.
> Notre ami chicot admet lui même qu'il adapte sa pratique cmu à ce que la secu
> exige (panier de soin) donc toute endo se transforme en inlay core ccm.
Non, SC33 CCM à 122,55 l'inlay core ( sauf évidemment quand il y en a trop, ca fait perdre du temps)on ne va pas gacher son ratio IC/SC33 pour des clopes et puis il faut bien équilibrer si on veut rentrer dans les cases du système-))))
On ne
> vois pas les photos initiales mais si ça se trouve ces dents auraient pu être
> restaurées avec de simples compo ou des inlay. Grâce à notre fabuleux système,
> 95% des dentistes sont tellement formatés à automatiquement couronner toutes
> dents dévitalisées qu'ils ne voient même plus le surtraitement.
Tout à fait, mais vois tu je n'ai pas envie de facturer des actes le tiers du prix du prothésiste pour un reste à charge également nul pour le patient. C'est pas une question de formatage uniquement une question de survie.
> Donc des 1900e en 2h c'est grâce au soins opposables que ça existe. Sinon ça
> serait beaucoup moins cher et générerait autant de bénéfice car moins de frais.
>
> La solution au problème est connu.
C'est évident et c'est beaucoup d'argent pour si peu de temps, je propose de diminuer la rémunération de ces actes. Il faudra encore aller plus vite, ceux qui ne trouveront pas la solution disparaitront.
Sinon en soins conservateurs au tarif opposable je n'ai pas encore trouvé la solution pour dépasser le seuil de rentabilité du cabinet, quelqu'un a une idée ? -))))
16/10/2014 à 12h11
trepo écrivait:
---------------
" @enlaye, tu as repris les endos ? Si oui, en extrayant les dents et en les réimplantant, ou pas ? ;)
En tout cas sympa comme cas."
Ha ha ,,,Si si j ai repris les endo bien sur.
J'aurai pu extraire nettoyer et remettre en effet ,et en même temps j 'aurais évité de faire les élongations coronaires. : en ne remettant pas les dents a fond,
Mais sur une reconstruction fixe totale ce n est pas possible pour un problème évident de contention,
De plus je suis contre les provisoires scellés en prothèse fixée pour des raisons parodontales. Je préfère des provisoires fixes sans colle ,démontables pour le nettoyage après les repas.Style coiffes télescopes...
Pas très indiqué après extraction réimplantation.
16/10/2014 à 13h04
@chicot , le prix du cynisme , @enlaye le prix de "l'originalité " . t'es pas rentable enlaye , dommage pour toi tu seras "éliminé" . Regarde chicot : Porsche , maison de luxe en location , appartements .... tu peux pas rivaliser . tu es le maillon faible !