Cookie Consent byPrivacyPolicies.comDites moi pas que c'est pas vrai - Eugenol

Dites moi pas que c'est pas vrai

Orezza gazeuse verre litre ocoxey - Eugenol
casa

16/10/2014 à 19h54

excellent ça , je prends !


Capture d  cran 2015 03 12 12.28 - Eugenol
chicot29

16/10/2014 à 21h51

Et je termine la semaine avec un no post no crown; Le récipoc m'a un peu démangé je dois dire, mais ca n'est peut être que partie remise.-)))
Content de mon demi mois d'octobre. Les affaires reprennent ! -))))

4 n28raw - Eugenol
3 i2u0u8 - Eugenol
1 mcqsw1 - Eugenol
2 n8yt9d - Eugenol

Vw campersurfvan bmnk1q - Eugenol
enlaye

16/10/2014 à 22h25

chatondecarte écrivait:
-----------------------
" Puis j'ai
découvert le travail des kouby, attal, tirlet, magne etc... et là impossible de revenir en arrière."




il est là ton probleme tu n aurais jamais du le connaitre le koubi junior dit la « qualité « et ses amis.
Tu es contaminé et addict a la beauté. Faut reconnaître qu il sait faire rever le Stephen et en plus lui il n'a pas le melon dilaté .
+Ce que tu ne sais peut etre pas ç est que quand tu en arrives a ce genre de boulot la secu ne te concerne plus.Les patients à gros boulots esthetique il s en foutent des 30 euro dont tu parles, et lui j't'en parle meme pas.

+D'un point de vue clinique tu remarqueras que tous les cas que l'on te presente sont des cas globaux.ç'est tout ou rien sinon ça ne marche pas. Un peu comme en ortho on fait toute l arcade ou rien,
Tu vois ce n est pas applicable pour une convention a l echelle standardisée ,
Par contre personne ne t interdit de faire le robin des bois sans faire de la merde pour autant quel que soit le prix ,:
le cas que j ai montré avec les inlay-cores ç est au prix secu ,mais celui qui vient avec son jet privé il subventionne.
Si tu ne peux plus revenir en arriere fonce en avant …..avec ou sans secu.fait comme eux.......


Vw campersurfvan bmnk1q - Eugenol
enlaye

16/10/2014 à 22h38

et toi chicot29
putain tu a des mains en or ,une tete de con mais des mains en or. profites en pour acheter une turbine et des fraises diamants.....
demenage s il faut mais fait au dessus aussi bo que dessous .
tu vas finir par te gacher a force de te battre contre les moulins a vent


Utilisateur banni

16/10/2014 à 23h18

coucou a chicot 2,9 : mais que tu es bon toi , tu es vraiment tres tres bon ; tu veux quoi , nous aneantir ? pas la peine , déja fait ......


Capture d  cran 2015 03 12 12.28 - Eugenol
chicot29

16/10/2014 à 23h39

N'en jetez plus c'est surtout la matrice qui est bonne. -))))


Orezza gazeuse verre litre ocoxey - Eugenol
casa

17/10/2014 à 00h14

matrice , matrice c'est qui celle là ?


Pouetmaster

17/10/2014 à 01h27

Chicot29 : Par contre fêlure sur la 25 ? Ou tu viens de la coiffer ?

Sinon le principe de la dentisterie n'est pas de prévenir plutôt que guérir ? Car tant qu'on fait des beaux soins, le processus carieux est toujours là. Donc l'échec sera là. On ne soigne pas, on bouche des trous.
Et puis si on se remet aux biomat, rien ne vaut la dent donc quoiqu'on fasse, on fait de la merde.
Donc le bien du patient, il est où ?

Le problème (et là je suis toujours surpris du discours d'Ameli), les pouvoirs publiques oublient toujours la prévention (y a qu'à regarder la dernière loi d'MST) pourtant action principale de santé publique. Si en plus nous même, on s'en fout, qu'on ne viennent pas pleurer car on a perdu notre cœur de métier : soigner.


Capture d  cran 2015 03 12 12.28 - Eugenol
chicot29

17/10/2014 à 09h45

Pas fêlée, simplement le résultat d'une prévention gratuite et de soins gratuits.-)))
Quand tout est gratuit ( ou plutôt payant de façon indirecte) on en a rien à branler. Mieux rembourser la prévention est à mon avis une erreur, c'est comme l'école gratuite avec des enseignants mal payés ( et surtout quoiqu'ils fassent) meme si ils sont aussi nombreux que l'armée populaire de chine, voué à l'échec.
D'ailleurs dans ce cas précis les cerams sont gratuites, la leçon ne va donc pas etre retenue, quel dommage ! -))))
Pourquoi à ton avis les français font la vidange de leur bagnole ? tout simplement parceque si il ne la font pas ils savent que ca va leur couter bonbon.

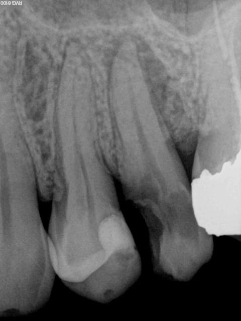
1 hkjoyv - Eugenol

Bazaruto 2007 ircsez - Eugenol
jumpingjackflash

17/10/2014 à 12h06

personnellement j'aurais fait le composite avant la couronne, pas de problème de contacte et contrôle du composite qui a fusé dans la concavité de la racine


Capture d  cran 2015 03 12 12.28 - Eugenol
chicot29

17/10/2014 à 12h12

Ben justement j'ai refait le composite parce qu'il y avait un problème de point de contact avec la couronne. Sur ce genre de cas le patient ne se plaignant pas j'ai tendance à fidéliser. Mais c'est sur il vaut mieux ne pas prendre de radios après les composites des fois on est décu, mais c'est trop tard.-))))


1...1213