Cookie Consent byPrivacyPolicies.comAIDE ENDO molaire abus? - Eugenol

AIDE ENDO molaire abus?

Utilisateur banni

15/10/2014 à 10h17

Pas de digue, beaux debuts.

Parodontite apicale aigue........pulpo, j'ai raté des cours ?

image apicale = dent asymptomatique à couronner ?

C'est la première promo Pessoa ?


Vw campersurfvan bmnk1q - Eugenol
enlaye

15/10/2014 à 10h19

La question qui tue:
Si il n avait pas signé le devis? Il faut l envoyer ou ?


Utilisateur banni

15/10/2014 à 10h30

T'aurais attendu deux mois, c'est ça ?

--
machopacha écrivait:
--------------------
> Si tu trouves que la convention est si mauvaise que cela, tu as tout à fait le
> droit de te déconventionner et de pratiquer les honoraires que tes compétences
> t'autorisent.
--------------------
> l'argent mis sur les faux moignons aurait permis de revaloriser les soins opposables.
Cet argent aurait permis de revaloriser les soins opposables d'au moins 20% !!!


Capture d  cran 2015 03 12 12.28 - Eugenol
chicot29

15/10/2014 à 11h07

neb écrivait:
-------------
> Pas de digue, beaux debuts.
>
> Parodontite apicale aigue........pulpo, j'ai raté des cours ?
>
> image apicale = dent asymptomatique à couronner ?
>
> C'est la première promo Pessoa ?

Non la promo conventionné sécu à des tarifs opposables de merde.


Utilisateur banni

15/10/2014 à 11h21

Je pense au contraire qu'un traitement dans les règles de l'art aurait coûté moins cher au débutant, au patient et à la société. 80 euros pour niquer une dent c'est cher payé.


doagui

15/10/2014 à 11h47

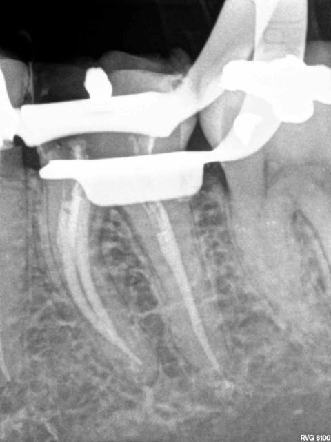
J'aimerais bien qu'on me dise où est l'image péri apicale.

Je me répète, je ne vois qu'un épaississement du desmodonte, autrement dit rien de si alarmant.

De même, on parle de faux canal mais là non plus rien de bien certain avec cette radio. Le trajet de l'obturation en mésial ne semble pas correspondre au trajet de la racine mésiovestibulaire, mais mais la mésiolinguale pourrait bien correspondre par contre. Rien de certain donc, et il faudrait au minimum une radio sous une autre angulation ou alors une imagerie 3D pour être fixé.


Utilisateur banni

15/10/2014 à 11h58

C'est clair qu'il'est difficile de voir une image péri apicale sur une radio où on ne voit pas le péri apex. D'un autre côté notre jeune débutant victime nous parle quand même de parodontite apicale et qui plus est aigue. On parlera donc ici de parodontite sans atteinte parodontale. Je pense que le gros orteil est touché.
On n'oubliera pas que seules les deux tiers des images apicales radioclaires seraient visibles sur une rétro alvéolaire DE BONNE QUALITE. La moitié sur une pano.

L'angulateur c'est le doigt du patient chez Pessoa ?

Par contre il existe clairement une amorce de faux canal et création de butée. Sinon notre jeune victime aurait trouvé le conduit béant plus après. Faut être miro ou politique ou syndicaliste pour affirmer le contraire.


lai

15/10/2014 à 12h08

neb écrivait:
-------------


>... il est rendu difficile par la/les butées mésiales,

Votre certitude me laisse perplexe et dubitatif

> Lai va chez Afflelou !

Dois-je y aller avec Doagui !!!


Utilisateur banni

15/10/2014 à 12h13

Avec les lunettes tu t'achèteras une foi et la choisiras bonne cette fois.


Capture d  cran 2015 03 12 12.28 - Eugenol
chicot29

15/10/2014 à 12h22

C'est le chat qui se mord la queue. Comment veux tu t'acheter une paire de lunettes avec des endos à un tarif de merde ?-))))
Meme des endos de merde sont déficitaires.
Ici on a affaire a un aléa thérapeutique, la bonne volonté du praticien de bien faire le prouve.
Je pense que j'aurais été à l'apex néanmoins, mais je ne peux l'affirmer à 100 % comme toi.
Neb tu nous fais chier avec tes remarques à la con.


Utilisateur banni

15/10/2014 à 12h43

Pour la paire de lunettes il n'avait qu'à facturer une reconstruction pré endo avec la ccam de merde gros malin.
Va falloir trouver d'autres excuses maintenant que les tarifs endodontiques ne sont plus opposables.....

Je ne vois pas où est l'aléa thérapeutique dans ce grand n'importe quoi ! Pulpo pour parodontite apicale aigue, pas de digue, pas d'angulateur, butée......
Il nique la dent de ce pauvre patient par manque de compétence et vient jouer les victimes, il n'aura pas mon soutien.

Le summum c'est l'épisode où notre débutant reproche à la titulaire de ne "même pas avoir tenté de refaire le traitement". On croit rêver. Y'en a qui ne manquent vraiment pas d'air.....

Sur ce, je vous souhaite une bonne journée.


Index vf7ggk - Eugenol
dentisfuturis

15/10/2014 à 12h54

Au vue de la radio j'ai l'impression qu'il ne s'agissait pas d'une calcification mais d'une fausse route due à une probable utilisation d'un HeroShaper. Après je pense qu'il aurait du t'adresser la patiente à toi si il a un doute afin que tu prennes ta décision d'assumer ou pas pour la suite du travail

--
http://www.dentisfuturis.com


Vw campersurfvan bmnk1q - Eugenol
enlaye

15/10/2014 à 12h59

Lai tu peux aller te prendre des lunettes .....mais de soleil.
Je suis OK avec toi .on dirait que c est obturé nickel mais qui il manque juste un canal a faire ou a finir.
Pas de quoi en faire toute une histoire


jurassik doc

15/10/2014 à 13h01

J'ai sans doute du mal comprendre : ce que notre (sans doute jeune) confrère souhaitait avant tout, ce n'était pas un jugement lapidaire sur la qualité de son travail mais un conseil pratique face à une indiscutable tentative d'escroquerie.
Et encore je trouve qu'il s'en sort bien : elle pourrait tant qu'elle y est lui réclamé aussi un dédommagement supplémentaire visant à couvrir les transports les temps de travail perdus, un préjudice d'agrément, un préjudice sexuel et j'en passe !!!
Je me fous de savoir si l'endo est correcte ou pas.
Il a droit à l'intégralité de sa rétrocession et ne doit pas hésiter à poursuivre s'il le faut : son assurance fera ce boulot.
point barre.


Utilisateur banni

15/10/2014 à 13h01

On fait tous des merdes. On a certainement tous déjà fait des tout droit. Tant qu'on assume y'a pas de problème.
1) la nature est bonne mère.
2) on est assuré pour ça.


Capture d  cran 2015 03 12 12.28 - Eugenol
chicot29

15/10/2014 à 13h14

neb écrivait:
-------------

> Je ne vois pas où est l'aléa thérapeutique dans ce grand n'importe quoi ! Pulpo
> pour parodontite apicale aigue, pas de digue, pas d'angulateur, butée......
> Il nique la dent de ce pauvre patient par manque de compétence et vient jouer
> les victimes, il n'aura pas mon soutien.
>
Tout frais, pas d'angulateur ?-))))

1 mootpx - Eugenol

Utilisateur banni

15/10/2014 à 13h17

Et puis avec ton dakin, c'est ceinture et bretelles.


Capture d  cran 2015 03 12 12.28 - Eugenol
chicot29

15/10/2014 à 13h19

dentisfuturis écrivait:
-----------------------
> Au vue de la radio j'ai l'impression qu'il ne s'agissait pas d'une calcification
> mais d'une fausse route due à une probable utilisation d'un HeroShaper.

C'est ca. Il y a des instruments de merde en vente libre. -)))


Capture d  cran 2015 03 12 12.28 - Eugenol
chicot29

15/10/2014 à 13h21

neb écrivait:
-------------
> Et puis avec ton dakin, c'est ceinture et bretelles.

Pas de dakin. D'ailleurs je me demande quel est le con, responsable de morts par milliers, qui a avoir inventé un produit pareil ! -))))
C'est un peu comme les angulateurs invisibles à la radio, hein ? un scandale !-))))


Utilisateur banni

15/10/2014 à 13h26

Ca va, je te charrie, je sais bien que t'as arrêté. Vaut mieux tard que jamais.;)))


dentistry

15/10/2014 à 13h48

J'ai fait 3 retro avec ortho mesio et disto centré , mais elle ne m'envoit pas toutes les radio que j'ai prise quand je lui demande. Sinom je les aurai posté...
on voyait très bien l'anatomie avec les autres incidences.


fgui

15/10/2014 à 14h06

chicot29 écrivait:
------------------
> neb écrivait:
> -------------
> > Et puis avec ton dakin, c'est ceinture et bretelles.
>
> Pas de dakin. D'ailleurs je me demande quel est le con, responsable de morts par
> milliers, qui a avoir inventé un produit pareil ! -))))
> C'est un peu comme les angulateurs invisibles à la radio, hein ? un scandale
> !-)))

La solution a été élaboré par Dakin et Carel. Carel A. chirurgien français qui en 1914 a déjà fuit au Etats-Unis (il y a cent ans certains savaient déjà que ce pays était foutu! il est pourtant revenu pour la grande guerre) en instillant les plaies de cette solution sur de longues périodes ils ont sauvés de l'amputation systématique des millier de poilus. C'est une très grande avancée médicale de la grande guerre utilisée jusqu'à l'usage des ATB.
Carel ou Carrel est le premier chirurgien à avoir expérimenté la transplantation cardiaque sur l'animal.

Voila tu as la réponse


Tozzi

15/10/2014 à 14h15

Allez chicot, montre nous 1 ou 2 radios d'endos que tu as foirées toi aussi.


chirdent26

15/10/2014 à 14h41

chicot29 écrivait:
------------------
> neb écrivait:
> -------------
>
> > Je ne vois pas où est l'aléa thérapeutique dans ce grand n'importe quoi !
> Pulpo
> > pour parodontite apicale aigue, pas de digue, pas d'angulateur, butée......
> > Il nique la dent de ce pauvre patient par manque de compétence et vient jouer
> > les victimes, il n'aura pas mon soutien.
> >
> Tout frais, pas d'angulateur ?-))))

ton obturation en mésial ne va pas à l'apex!


chirdent26

15/10/2014 à 14h42

...mais peut-être ne faut-il pas se fier à la radio!


1234...