Cookie Consent byPrivacyPolicies.comAIDE ENDO molaire abus? - Eugenol

AIDE ENDO molaire abus?

Nouveau image bitmap fz77zh - Eugenol
Sethef

16/10/2014 à 22h31

Par contre, la vidéo en 15 min m'avait mis la chauffe, mais même pour une endo super simple comme celle-là, entre bonjour et au revoir, l'anesthésie, et la RCR collée, j'arrive pas à descendre en dessous de 30min. Déçu.

Apr s gx6gfn - Eugenol
Avant ygus3i - Eugenol

dentistry

17/10/2014 à 00h58

Même si certains n'ont pas lu tout les post et répondu à moitié ou à côté de la plaque, j'ai finalement eu mes réponses

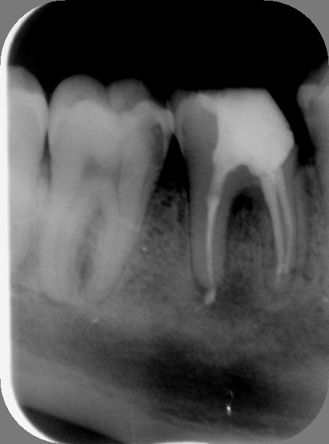
Finalement cliniquement la faute ici est d'avoir mit de la gutta dans les canaux mésiaux.
Si javais laissé vide en l'état quand ça progressait pas en mésial, il y aurai pas eu faute et on aurai eu rien à me reprocher (et perdu du temps et de l'argent mais bon c'est la vie)

Administrativenent une rcp est pas la pr payer les endo exclusif si j'ai compris.

On va pousser le questionnement + loin, ça progresse pas le patient consulte l'endo, son amc couvre rien et lui n a pas largent pr payer 1000e l'endo ou que sais je comme montant, on doit faire quoi dans ces cas là hein?
- Pas d'obturation incomplète et pas de temporisation pas d'inlay core pr etancheifier selon certain tant que on va pas à lapex et obturer complètement
- certain dise obturation incomplète + amalgame screw post ou compo screw post, ceux la dite moi t'est gratuit tt ca vu que c'est tjr une faute (même cas que moi) vous faite l'endo et l'amalgame screw post gratuit ? Et vous prendrez le risque de mettre un inlay core couronne ensuite + tard avec l'obturation incomplète ?
-D'autre vont me dire extraction? Mais c'est pas une faute ça aussi si dans les 10 années à venir le patient avait eu de l'argent on aurai sauvé sa dent chez l'endo exclusif ?
-Laisser la dent vide on risque pas de litige on fait l'autruche et on attend que ça se reinfecte et repasse en phase aiguë (après une phase sans symptôme comme le patient à plus de douleur après le 1er rdv)
-Amputation radiculaire de la racine qui pose pb ? Ça coûte combien ça si c'est d'actualité c'est remboursé ?
-Chirurgie endodontique (pas ici j'imagine)

Donc j'aimerais des réponses pr les cas où le patient à pas l'amc quil faudrait pr payer ou à pas un rond ? Cad la plupart des patients en france.
A vous croire il faut adresser tout les patients chez l'endo quand ça devient un peu compliqué, alors je sais pas où vous exercez mais essayer de me donner des réponses dans les cas où le critère financier pose pb (et pas comme si tt le monde peut se payer un endodontiste exclusif la blague)

Merci


Capture d  cran 2015 03 12 12.28 - Eugenol
chicot29

17/10/2014 à 01h06

Déjà il n'y a quasiment pas d'endo exclusif. ( je n'en connais aucun).
Ensuite la solution ne serait elle pas de trouver un endo exclusif conventionné ? -))))
Je me dévoue, mais j'ai une fâcheuse tendance à faire la taille l'empreinte dans la séance et là ta titulaire de mes 2 va se la mettre bien profond la conjointe, demandes à ton patient d'apporter son contrat mutuelle ! -)))


Nouveau image bitmap fz77zh - Eugenol
Sethef

17/10/2014 à 01h11

Y'a pas de bonne réponse, la clé est dans le consentement éclairé.

Première consult, tu gères l'urgence, et c'est tout. Ici, prescription d'antibios et mise en ss occ. Ensuite, devis et explication. On va tenter de reprendre le traitement. Si on y arrive, il faudra faire une couronne. Si ce n'est pas possible, il faudra aller voir l'exclusif ou extraire.

Par ailleurs, et ça a déjà été dit, ta titulaire n'a rien à voir dans l'affaire: elle te verse ta rétro, et tu gères directement avec le patient si tu décides de lui payer l'exclusif, ce que personnellement je ne ferais pas.

Mais dans tous les cas, les seuls actes qui devraient à mon sens être réalisés lors d'une première consult sont radios, détartrage ou gestion de l'urgence.


(dans le cas présent, l'amputation radiculaire impliquerait de couronner également une 5 en bon état, pas la meilleure idée du monde.)


Nouveau image bitmap fz77zh - Eugenol
Sethef

17/10/2014 à 01h11

chicot29 écrivait:
------------------
> Déjà il n'y a quasiment pas d'endo exclusif. ( je n'en connais aucun).


Ca c'est parce que tu es dans un pays de sauvages.


Capture d  cran 2015 03 12 12.28 - Eugenol
chicot29

17/10/2014 à 01h18

Ah non, il y a une fac à 25 KM. Ca m'arrive de leur envoyer (rarement) des cas spéciaux, pas forcément techniques mais spéciaux. -)))))


Nouveau image bitmap fz77zh - Eugenol
Sethef

17/10/2014 à 01h28

Oui oui, une fac. Voilà. Juste pour savoir, ça se passe comment pour les rebouteux, c'est une discipline à part entière ou ils donnent juste quelques cours dans le cadre de "l'ouverture aux données médicales actuelles"?


youn

17/10/2014 à 05h22

Pour répondre à dentistry, tu fais ce que tu peux en expliquant les risques au patients, le pour le contre et les différentes solutions thérapeutiques.

Ici clairement tu tentes, en lui exposant les risques et en expliquant les conséquences des ratés possibles (avant l'endo, ce que tu as fait il me semble?), dans bien des cas il voudra bien que tu tentes. Tu n'y arrives pas dans la séance? Ca bloque? Tu temporises à l'OHCa et tu lui proposes de retenter ultérieurement (on ne sait jamais, en sachant de quoi il retourne, et en en ayant pas plein les bottes après une heure de concentration, peut-être que ça ira mieux) ou tu lui propose d'aller voir l'endo "exclusif", toujours en lui exposant les risques (surtout extraction si il ne va pas voir l'endo) et les coûts de ses différentes options. Si après avoir retenté ça ne marche toujours pas, tu proposes de temporiser pendant plusieurs mois (6 en gros) en consultations régulières de pour remettre de l'hydroxyde de Calcium (facturé HN bien entendu, avec tact et mesure...) en prévenant qu'au moindre signe d'infection ce sera l'extraction (ou l'endo "exclusif"), ou alors extraction de suite s'il ne le veut pas. Tu n'as pas d'obligation de résultat en endo, mais de moyens,t'es pas mère Thérésa, la solvabilisation des soins c'est pas tes oignons, par contre le consentement éclairé si! Si après les 6 mois pas de signes d'infection et percussion négative tu obtures et tu passe à la prothèse en émettant toutefois une réserve quant au pronostic à long terme.

Le mec veut rien payer-> extraction, le mec veut payer ce qu'il faut -> endo "exclusif", le mec veut tenter en payant un peu pour voir ce que ça va donner -> OHCa. Après c'est son choix.

Tu expliques bien entendu les conséquences de l'extraction.

Et ne te sens pas agressé par les posts sur ce fil, on sais tous que tu démarres et la relation patient c'est loin d'être le plus simple (enfin quand tout marche c'est assez simple, c'est quand ça merde qu'il faut savoir gérer).

Ne te laisse pas bouffer par la titulaire.

Une des phrases clés : "Comme on ne construit pas une maison sur des fondations instables, je ne fais pas de prothèse, c'est cher, si je ne suis pas sûr de ce qu'il y a en-dessous, je vise le long terme."


Capture d  cran 2015 03 12 12.28 - Eugenol
chicot29

17/10/2014 à 09h24

D'ailleurs je vais te dire comment ca va se passer une fois le patient éclairé sur les tarifs non remboursés of course par notre sécu de merde : dans 95 % des cas tu vas faire une extraction gratuite. -))))
Mais là franchement ta titulaire de merde a opté pour l'endo exclusif gratuit ( qui n'est pas dans la merde d'ailleurs si il n'arrive pas à reprendre le tt il va être bon pour financer l'implanto gratuit en ayant passé du temps gratuitement à essayer de reprendre le tt )


Utilisateur banni

17/10/2014 à 09h55

Si les choses sont faites dans les règles comme dit Seteph avec devis, consentement éclairé et l'obligation de moyens, y'a rien à faire de gratuit. Le patient prend sa décision en toute connaissance de cause.
Les canaux mésiaux sont obturés, c'est dommage, mais ça ne change pas grand chose dans le cas présent. Le pire à reprendre c'est le distal car obturé à l'apex, mais c'est pas un drame non plus.
On me demande souvent quel est le pourcentage de chance pour que ça guérisse. Il y aurait environ vingt pour cent d'échecs sur les repises de traitements avec foyers infectieux, quand réalisés dans les règles de l'art.
Mais dans le cas présent je dirais à la vue de la rétro que le pronostic d'un retraitement devrait être bon.
Pour les 1000 euros lancés sans savoir, notre jeune peut diviser par deux il sera plus proche de la réalité.


pointG

17/10/2014 à 10h15

Pour répondre à "dentisterie"
Les conseils sont faciles mais l'art difficile(surtout en endo.)Je pense que tu as trouvé des explications auprès de
secrétaires de ton syndicat,ta RCP ou le conseil de l'ordre départemental.
Donc dans ton cas le problème se situe surtout au niveau mésial,et ta cavité d'accès est insuffisante pour cathétèriser
et retrouver cette perméabilité capillaire pour désinfecter à l'apex avec de l'hypo(oublie le Dakin=aucun endo exclusif
ne l'utilise;nb:l'histoire du laser endo un plus inutile
puisque de toute façon l'hypo est utilisé à fond avant!)
Si tu étais parvenu à désinfecter et obturer effectivement à 1mm de l'apex radio il est conseillé une obturation étanche
pour ne pas prendre de risque d'essaimage bactérien.Si tu le faisais après ton traitement,les risques de reprises infectieuses sont très grand,puisqu'une image de LA au départ.
Tu es un jeune confrère donc tu sais qu'il est indispensable de poser la digue;la digue c'est automatique et d'utiliser de l'hypo(tu peux faire ton hypo berlingot de 250ml pour 1 litre d'eau ,voir plus titré mets une blouse sur le patient pour ne pas le tacher=expérience)
Si dent trop délabrée on peut clamper partiellement sur la gencive dans certain cas ou reconstitution endo comme dit neb
on peut faire un devis avec la CCAM)
Seul un endo exclusif sous micro peut reprendre ton endo qui s'est transformé en RTE.
Rapproche toi de ta SFE départementale;ils font des soirées
plus peut etre une formation complémentaire genre 2 jours de perfectionnement bio et 2 jours RTE
Autrement tout le monde a des échecs ;il met arrivé de payer un implanto quand je ne savais pas mettre les implants
dans le cas d'une endo oû je pensais ma responsabilité engagée!


Capture d  cran 2015 03 12 12.28 - Eugenol
chicot29

17/10/2014 à 10h34

pointG écrivait:
----------------

> Tu es un jeune confrère donc tu sais qu'il est indispensable de poser la
> digue;la digue c'est automatique et d'utiliser de l'hypo(tu peux faire ton hypo
> berlingot de 250ml pour 1 litre d'eau ,voir plus titré mets une blouse sur le
> patient pour ne pas le tacher=expérience)

Et avec un peu de malchance si tu utilises un berlingot à 4 % de naocl tu vas te rapprocher de la concentration du Dakin, la couleur en moins et les taches en plus !-))))


azerty

17/10/2014 à 14h59

lui payer un implant.... pff et 100 balles et un mars aussi pendant qu'on y est?
on a jamais vu un praticien condamé pour la digue non posée.
on fait du mieux que l'on peut en soin. on a une obligation de moyens, pas de résultat.
concernant la titulaire, elle va se faire foutre (et profond) tu touches ton endo. point. le reste ne te regardes pas.


pointG

17/10/2014 à 21h39

Pour l'hypochlorite c'était une manière pour se faire un litre
à 1.5 euros pour le confrère "dentistery"
un berlingot javel sans colorant 9.6 degré chloré
de 250ml plus 750ml eau on arrive à 2.4degré chloré
Le docteur Stéphane Simon ;dans un de ses ouvrages d'endodontiste mentionne bien que le Dakin ne dépasse pas 0.5%;il situe la concentration entre 1 à 6 % tout en disant que c'est le renouvellement abondant et régulier qui prévaut
Et je pensais d'après un de ses posts que "chicot29" avait abandonné le "dakin".....


youn

17/10/2014 à 21h50

Ce qu'il a fait, d'où sa blague sur ta concentration. T'avais écrit 250mL à 4% dilué dans un litre d'eau. Ce qui te fait en gros du 0.75%pas loin du Dakin.


Capture d  cran 2015 03 12 12.28 - Eugenol
chicot29

17/10/2014 à 22h23

pointG écrivait:
----------------
> Pour l'hypochlorite c'était une manière pour se faire un litre
> à 1.5 euros pour le confrère "dentistery"
> un berlingot javel sans colorant 9.6 degré chloré
> de 250ml plus 750ml eau on arrive à 2.4degré chloré
> Le docteur Stéphane Simon ;dans un de ses ouvrages d'endodontiste mentionne
> bien que le Dakin ne dépasse pas 0.5%;il situe la concentration entre 1 à 6 %
> tout en disant que c'est le renouvellement abondant et régulier qui prévaut
> Et je pensais d'après un de ses posts que "chicot29" avait abandonné le
> "dakin".....

Ben oui, mais pas dans 1 litre ! -)))
J'utilise du 6 %.


Prehome gif anime lfnqnl - Eugenol
fredledragon

18/10/2014 à 00h39


------------------
> pointG écrivait:
> ----------------
> mets une blouse sur le
> > patient pour ne pas le tacher=expérience)


Surtout que les patients adorent venir pour une endo avec des vétements foncés :)
Moije suis passé en blanc à cause de ça!


1...56