Cookie Consent byPrivacyPolicies.comUn petit cas : Nayyar core ou tenon fibré? - Eugenol

Un petit cas : Nayyar core ou tenon fibré?

youn

15/10/2014 à 20h17

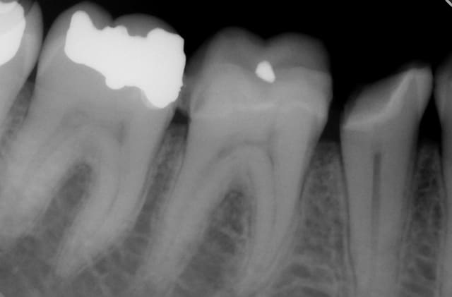
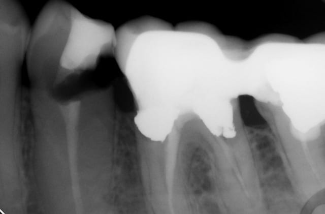
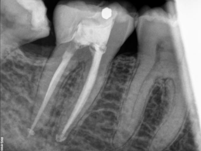
Voilà ce patient a consulté en Juillet pour une douleur à la mastication. Je regarde la radio, belle pêche sous les racines, en bouche, une fêlure traversant la dent dans le sens MD. A votre avis que faire dans ces cas et comment évaluez vous la réussite ou non de l'endo - CCC dans ces cas? Il n'avait aucune douleur quand j'appuyais transversalement de sur la moitié linguale ni sur la moitié vestibulaire (vers l'extérieur de la dent, pour "séparer" les dent).

J'ai émis de grosses réserves sur la pérennité du traitement et il a tout de même voulu procéder (j'avais même recommandé l'extraction, je ne travaille pas en France et quand le patient paie tout de sa poche c'est dur de "tenter", si ça merde y'a de grandes chances qu'il se retourne contre vous).

Bref je fais l'endo, et lisant de plus en plus de choses sur le sans-tenon (surtout le risque de fracture supérieur qu'il engendrait par perte de substance dentinaire) je me suis lancé dans un "Nayyar" core, compo descendant dans les entrées canalaires et par dessus une CCC.

Ci-joint les radios.

J'aimerais que ceux qui pratiquent ce genre de choses me donnent avis et retours (voir article si vous en avez de pertinents en tête).
Merci.

Endo x 1 preop dtfesf - Eugenol
Endo x 2 - Eugenol
Endo x 2 - Eugenol
Endo x 3 postop h4oh16 - Eugenol
Endo x 4 core wftkxo - Eugenol
Endo x 5 crown fit gp4ms6 - Eugenol

chipoundine

16/10/2014 à 01h28

joli !

mais il faut aller au fond de ton raisonnement , No post ok mais si possible No Crown !

pourquoi tailler la paroi distale ? le faite de réaliser un préparation périphérique te fait perdre encore de la substance, il suffite de l'abaisser de 2mm et de garder justement un paroi bien solide , pour le reste , pas besoin de nayyar core tu peux très bien coller à plat ou dans la chambre pulpaire. On obtient un mix entre l'onlay et l'endocouronne , je sais même pas comment cela s'appelle d'ailleurs !

je fais cela que depuis 3 ans, donc très peu de recul , pour l'instant j'ai un échec , sur une fracture justement ! la dent s'est littéralement fracturée en 2, a mon avis la fracture était déjà dans la racine.

qui ne tente rien n'a rien !


youn

16/10/2014 à 03h09

chipoundine écrivait:
---------------------
> joli !
>
> mais il faut aller au fond de ton raisonnement , No post ok mais si possible No
> Crown !
>
> pourquoi tailler la paroi distale ? le faite de réaliser un préparation
> périphérique te fait perdre encore de la substance, il suffite de l'abaisser de
> 2mm et de garder justement un paroi bien solide , pour le reste , pas besoin de
> nayyar core tu peux très bien coller à plat ou dans la chambre pulpaire. On
> obtient un mix entre l'onlay et l'endocouronne , je sais même pas comment cela
> s'appelle d'ailleurs !
>
> je fais cela que depuis 3 ans, donc très peu de recul , pour l'instant j'ai un
> échec , sur une fracture justement ! la dent s'est littéralement fracturée en 2,
> a mon avis la fracture était déjà dans la racine.
>
> qui ne tente rien n'a rien !

J'ai préparé cette face distale parce que justement la face est fêlée au milieu, et je me suis dit qu'un "cerclage" valait probablement mieux pour éviter la carie... J'ai peut-être tort, mais ça me parait plus résistant. En l'absence de fêlure j'aurais juste abaissé à plat pour overlay.

Donc tu tailles a plat les cuspides touchées et tu ne mets rien dans la chambre puis empreinte et collage du tout?

T'as un exemple?


chipoundine

16/10/2014 à 10h11

Dans le genre cas extrême j'ai ça , avec remontée de marche en compo

Img 0082 i5zgqc - Eugenol
Img 0078 u6yk0k - Eugenol
 1 sga84i - Eugenol
Coiffi2 wntbbp - Eugenol

Marque a3 orange fyvhyq - Eugenol
Marc Apap

16/10/2014 à 11h08

Recul clinique sur tout ça ?


Capture ddc6bm - Eugenol
sumble

16/10/2014 à 14h29

Marc Apap écrivait:
-------------------
> Recul clinique sur tout ça ?


chipoundine écrivait:
---------------------
>(...)
> je fais cela que depuis 3 ans, donc très peu de recul (...)
>
> qui ne tente rien n'a rien !


Marque a3 orange fyvhyq - Eugenol
Marc Apap

16/10/2014 à 14h38

sumble écrivait:
----------------

> > qui ne tente rien n'a rien !

Ou qui tente ainsi
Se retrouve un matin
Avec mais si, mais si
Sa belle dent dans la main


Avatar eugenol pe0ymx - Eugenol
nicklebenou

16/10/2014 à 15h18

youn écrivait:
--------------
> Voilà ce patient a consulté en Juillet pour une douleur à la mastication. Je
> regarde la radio, belle pêche sous les racines, en bouche, une fêlure traversant
> la dent dans le sens MD. A votre avis que faire dans ces cas et comment évaluez
> vous la réussite ou non de l'endo - CCC dans ces cas? Il n'avait aucune douleur
> quand j'appuyais transversalement de sur la moitié linguale ni sur la moitié
> vestibulaire (vers l'extérieur de la dent, pour "séparer" les dent).
>
> J'ai émis de grosses réserves sur la pérennité du traitement et il a tout de
> même voulu procéder (j'avais même recommandé l'extraction, je ne travaille pas
> en France et quand le patient paie tout de sa poche c'est dur de "tenter", si ça
> merde y'a de grandes chances qu'il se retourne contre vous).
>
> Bref je fais l'endo, et lisant de plus en plus de choses sur le sans-tenon
> (surtout le risque de fracture supérieur qu'il engendrait par perte de substance
> dentinaire) je me suis lancé dans un "Nayyar" core, compo descendant dans les
> entrées canalaires et par dessus une CCC.
>
> Ci-joint les radios.
>
> J'aimerais que ceux qui pratiquent ce genre de choses me donnent avis et retours
> (voir article si vous en avez de pertinents en tête).
> Merci.

Moi j'aurai fait un RCR foulée. je gère comme ça ce genre de cas. Pour ma part aucune expérience sur le nayyar core.


youn

16/10/2014 à 17h36


Par RCR foulée tu entends screw post + amalgame ou tenon fibré + compo?


chipoundine

16/10/2014 à 23h11

Mon recul clinique est de 3 ans donc très faible !

Je fais confiance à mes mentors qui ont un recul de + de 15 ans ( Pascal Magne entre autre pour ne pas le citer )

mais là c'est vraiment un cas extrême ! Ce qui m'a motivé à faire cette technique chez ce patient , c'est quand j'ai su que les 2 cérams derrière on été réalisée l'année dernière ...


Marque a3 orange fyvhyq - Eugenol
Marc Apap

16/10/2014 à 23h19

Croire à ce point au collage relève plus de la religion que du savoir scientifique.
Ceci étant, on peut toujours discuter. Le contexte de la bouche, l'occlusion ne sont pas sans incidence sur le résultat à long terme.


youn

17/10/2014 à 16h15

Un cas comme chipoudine le recommande (posé ce matin) : Pas de fêlure donc overlay, avec un petit tenon fibré... Des trucs qu'on ne peut pas faire en France...ou en ayant une certaine patientèle peut-être... C'est triste.

PS: Légère extrusion de pâte en distal, j'ai un peu forcé sur le Mac Spadden, faut que je m'équipe du système B...

M - Eugenol

Android jyzura - Eugenol
Tavéca

17/10/2014 à 16h57

youn écrivait:
--------------
> Un cas comme chipoudine le recommande (posé ce matin) : Pas de fêlure donc
> overlay, avec un petit tenon fibré... Des trucs qu'on ne peut pas faire en
> France...ou en ayant une certaine patientèle peut-être... C'est triste.
>
> PS: Légère extrusion de pâte en distal, j'ai un peu forcé sur le Mac Spadden,
> faut que je m'équipe du système B...

Pourquoi un tenon ici, et pas directement ton onlay?
Tu vires pas la 8?


Android jyzura - Eugenol
Tavéca

17/10/2014 à 17h01

youn écrivait:
--------------
> Voilà ce patient a consulté en Juillet pour une douleur à la mastication. Je
> regarde la radio, belle pêche sous les racines, en bouche, une fêlure traversant
> la dent dans le sens MD. A votre avis que faire dans ces cas et comment évaluez
> vous la réussite ou non de l'endo - CCC dans ces cas? Il n'avait aucune douleur
> quand j'appuyais transversalement de sur la moitié linguale ni sur la moitié
> vestibulaire (vers l'extérieur de la dent, pour "séparer" les dent).
>
> J'ai émis de grosses réserves sur la pérennité du traitement et il a tout de
> même voulu procéder (j'avais même recommandé l'extraction, je ne travaille pas
> en France et quand le patient paie tout de sa poche c'est dur de "tenter", si ça
> merde y'a de grandes chances qu'il se retourne contre vous).
>
> Bref je fais l'endo, et lisant de plus en plus de choses sur le sans-tenon
> (surtout le risque de fracture supérieur qu'il engendrait par perte de substance
> dentinaire) je me suis lancé dans un "Nayyar" core, compo descendant dans les
> entrées canalaires et par dessus une CCC.
>
> Ci-joint les radios.
>
> J'aimerais que ceux qui pratiquent ce genre de choses me donnent avis et retours
> (voir article si vous en avez de pertinents en tête).
> Merci.


Pourquoi pas une couronne provisoire en attendant la guérison éventuelle de ta lésion?


Capture ddc6bm - Eugenol
sumble

17/10/2014 à 17h51

Marc Apap écrivait:
-------------------
> Croire à ce point au collage relève plus de la religion que du savoir
> scientifique.
> (...)

LOL, elle est pas mal celle-là...


youn écrivait:
--------------
> (...) Des trucs qu'on ne peut pas faire en
> France...ou en ayant une certaine patientèle peut-être... (...)

Faux. Des trucs qu'on ne veut pas faire en France, nuance...


Tavéca écrivait:
----------------
>(...)
> Pourquoi un tenon ici, et pas directement ton onlay?
> (...)

Je pense aussi que non seulement le tenon est inutile ici, et l'onlay (ou "couronne à joint périphérique très supra gingival" ;) ), est biomécaniquement plus intéressant.


youn

17/10/2014 à 18h45

Donc sur le premier cas, malgré la fêlure tu ne "cercles" pas et fais juste un overlay?


chipoundine

17/10/2014 à 19h31

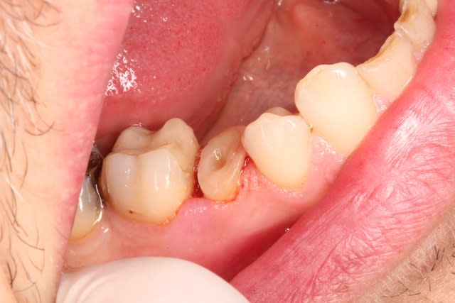
ça marche aussi sur dents vivantes ! patient venu pour me voir un inlay sur 45 qui s'est décollé une dizaine de fois , cas tout frais de ce matin

Img 0173 gswau9 - Eugenol
Fer 2 v7qwad - Eugenol
Img 0174 bcuoq5 - Eugenol
Img 0172 mb2gps - Eugenol
Fer 1 lhzayu - Eugenol

Grueavatar nptrc9 - Eugenol
Le Choixpeau magique

17/10/2014 à 19h48

chipoundine écrivait:
---------------------
> je fais cela que depuis 3 ans, donc très peu de recul , pour l'instant j'ai un
> échec , sur une fracture justement ! la dent s'est littéralement fracturée en 2,
> a mon avis la fracture était déjà dans la racine.

Si tu fais des endocouronnes, pas étonnant que tu ais des fractures.
Pas de cerclage périphérique + un gros machin bien dur au centre de la dent -> crac

CQFD


youn

17/10/2014 à 20h17

Quelqu'un connaît le prix du DU des frères Magne à LA et ce qu'il faut pour être admis? S'ils en font un en Suisse je suis preneur aussi... Si quelqu'un a des infos?


Capture ddc6bm - Eugenol
sumble

17/10/2014 à 23h56

youn écrivait:
--------------
> Quelqu'un connaît le prix du DU des frères Magne à LA et ce qu'il faut pour être
> admis? S'ils en font un en Suisse je suis preneur aussi... Si quelqu'un a des
> infos?
>

En Europe je sais pas. Un début de réponse:

http://www.ideausa.net/default.asp


chipoundine

18/10/2014 à 00h01

Le Choixpeau magique écrivait:
------------------------------
> chipoundine écrivait:
> ---------------------
> > je fais cela que depuis 3 ans, donc très peu de recul , pour l'instant j'ai un
> > échec , sur une fracture justement ! la dent s'est littéralement fracturée en
> 2,
> > a mon avis la fracture était déjà dans la racine.
>
> Si tu fais des endocouronnes, pas étonnant que tu ais des fractures.
> Pas de cerclage périphérique + un gros machin bien dur au centre de la dent ->
> crac
>
> CQFD

Sauf que dans ce cas bien précis le patient présentait déjà une fracture qui avait induit une nécrose sur une dents saine , et a réussi à fracturer l'endocouronne en 2 , net ! 6mm de céram cassé en 2 comme à la hache,Jeune de 25 ans , 100kg rugbymen , des biceps à la place des masséters ...

Qui dit que la dent serait encore là avec un cerclage périph ? personne ! Un patient de 25 ans qui pète en 2 une 6 du bas jamais soignée....ça n'arrive pas tous les jours!

Si tu as un échec implantaire tu dis que les implants ne marchent pas ?

Cette semaine j'ai extrait 2 prémos fracurées avec des inlays cores et coiffe périphérique , annoncé à 1 patient qu'il fallait extraire la 7 , taillée vivante , d'un bridge 45 46 47, qui a 5 ans parceque le précédent dentiste pense que les implants c'est de la merde. résultat elle n'a plus de molaires malgré 2 coiffess périphérique. Ne parlons pas des pêches que l'on peut trouver sur 50% des patients qui ont de la fixe en bouche.

Et c'est toute l'année comme ça !

Donc si j'ai bien compris un onaly est un machin bien dur au centre de la dent, mais un inlay core et une CCM c'est quoi ? Un truc mou au centre de la dent et de la racine cerclé par un truc dur ? comment peut on parler de cerclage à partir du moment ou il y a eu une cavité d'accès ? quand on taille il reste plus rien...donc le cerclage il sert surtout à faire rentrer du pognon... le cerclage n'a d'utilité que pour les dents vivantes felées mais pour le reste il faut m'expliquer.

De tout façon les inlays cores à 480 euros avec les mutuelles à 400% , c'est déjà du passé , car avec ce qui nous attend dans les mois qui viennent , la fête est belle est bien terminée...


chipoundine

18/10/2014 à 00h06

10000 dollars pour 3 jours...https://www.etouches.com/ereg/index.php?eventid=88759&


Avatar eugenol pe0ymx - Eugenol
nicklebenou

18/10/2014 à 00h06

youn écrivait:
--------------
>
> Par RCR foulée tu entends screw post + amalgame ou tenon fibré + compo?
slt youn désolé de répondre que maintenant beaucoup de taff en cette fin de semaine.
Pour moi clair et net tenon fibré + compo (meilleure répartition des forces de cisaillement avec du fibré).


chipoundine

18/10/2014 à 00h27

sinon ça à 49 dollars : http://www.gidedental.com/ShopItem.aspx?idProduto=152

c'est vachement bien , très axé sur les facettes


youn

18/10/2014 à 00h51

sumble écrivait:
----------------
> youn écrivait:
> --------------
> > Quelqu'un connaît le prix du DU des frères Magne à LA et ce qu'il faut pour
> être
> > admis? S'ils en font un en Suisse je suis preneur aussi... Si quelqu'un a des
> > infos?
> >
>
> En Europe je sais pas. Un début de réponse:
>
> http://www.ideausa.net/default.asp

8000€ les 3 jours... plus le vol...9000€ les 3 jours... Ca pique un peu.