Cookie Consent byPrivacyPolicies.comLA TRES GROSSE SURPRISE DU JOUR - Eugenol

LA TRES GROSSE SURPRISE DU JOUR

zazamouk

08/12/2014 à 16h54

barbabapat écrivait:
--------------------
> Le gros probléme avec mon polycarieux façon herroinomane, c'est que tu as plus
> de caries et moins de cavitées qui sont codifiables.
>


C'est le principe de notre nomenclature de Merde... au plus la cavité est grande (donc le boulot pour la soigner aussi), au plus le tarif est bas!

Comme ce matin, un 26, carie distale et le sillon mes.
Si le pont d’émail reste après le curetage c'est 33+19 et j'me fais pas chier à le refaire.
S'il saute parce que la carie est plus volumineuse c'est juste 33, pour plus de boulot...

Complètement dingue (et loiiiiin de la réalité d'un cabinet moderne!) les créateurs/signataires de telles bêtises...mais heureusement on peut avoir 14€ de plus sur les det...

Pour les utilisateurs de visiodent : avez vous eu des retours des équipes "technique" ou commercial? vont ils mettre cette possibilité de façon pratique (sans passer par le module "banque" !!!)


Nouveau image bitmap fz77zh - Eugenol
Sethef

08/12/2014 à 17h23

A nouveau, double détartrage, suite à consult/ gingivite brossage il y a 2 semaines. Conseils suivis, problème réglé, contrôle dans 6 mois parce que la patiente est mignonne.
Je crois qu'on est à 8.
Je vais prendre le dernier et je reviens.


Nouveau image bitmap fz77zh - Eugenol
Sethef

08/12/2014 à 17h37

Et consult vite fait pour une jeune qui vient de se faire enlever un gros kyste de la branche montante sous AG, elle voulait faire le bilan.


Nouveau image bitmap fz77zh - Eugenol
Sethef

08/12/2014 à 17h40

Résultat des courses, 8 doubles détartrages que je n'aurai pas côté 2 fois à taux plein*14.46*160 jours donne 18000 de CA à la fin de l'année.

La journée a sûrement été un peu particulière, normalement je finis plus tôt et je fais moins de contrôle. Je verrais dans un an les stats julie. Si vous ne voulez pas les coter, c'est votre problème.


Nouveau image bitmap fz77zh - Eugenol
Sethef

08/12/2014 à 17h43

uɹöɾq écrivait:
---------------
> J'ai oublié de te demander la durée de la première séance et de la seconde (je
> suis chiant je sais).

30min la première, 1h la seconde.
Même dans un cas comme celui-là, plutôt facile, on n'arrive pas à 200 de taux horaire global. Mais on a gagné 14 euros de plus, c'est toujours ça de pris.


Tiens, d'ailleurs, aujourd'hui, je n'ai pas fait mon chiffre. Les détartrages, ça ne paye toujours pas.


uɹöɾq

08/12/2014 à 17h58

Sethef écrivait:
-------------------
>Pour ce patient:
> Première séance, pano, ouverture de chambre et IRM sur une 48 à extraire, > je l'ai envoyé chez le stomato. Enseignement de l'hygiène. C.
> Deuxième séance, aujourd'hui, le brossage est ok.
> Double détartrage SC18
>16 SC8+SC14 (occlusal+occluso palatin)
>17 SC8+SC17 (occlusal+occlusal vestibulo palatin)
>27 SC8+SC14 (occlusal+occluso palatin)
> 46 SC17 (occluso lingual+tunnel mésial)

Tu me confirmes bien que tu n'as coté qu'une C pour ta première séance?


Nouveau image bitmap fz77zh - Eugenol
Sethef

08/12/2014 à 18h06

Ben oui.


uɹöɾq

08/12/2014 à 18h20

Si l'objectif est d'optimiser le CA par rapport à la nomenclature, pourquoi ne pas coter un premier SC12 (en restant très "superficiel", eu égard à la "gingivite") et un Z16 à la première séance?


Nouveau image bitmap fz77zh - Eugenol
Sethef

08/12/2014 à 18h26

At home.
Il a été suggéré que je bossais à la zob. J'ai donc pris des photos des quelques boulots de l'aprem.

Rien de très intéressant, mais je crois avoir déjà posté un certain nombre de cas ici, tous critiquables mais aucun bâclé.
Pour ceux qui n'ont que ça à foutre, vous pouvez les relier aux posts précédents.

Img 3604 oslbdz - Eugenol
Img 3607 b4rqbg - Eugenol
Img 3609 dc2isn - Eugenol
Img 3611 ucmzqn - Eugenol

Nouveau image bitmap fz77zh - Eugenol
Sethef

08/12/2014 à 18h30

uɹöɾq écrivait:
---------------
> Si l'objectif est d'optimiser le CA par rapport à la nomenclature, pourquoi ne
> pas coter un premier SC12 (en restant très "superficiel", eu égard à la
> "gingivite") et un Z16 à la première séance?


Ca se défend. Mais ça oblige à sortir un insert. Et à coter quelque chose que je n'aurais pas fait hors nomenclature. Ca m'ennuie.
Mais effectivement, la plupart de mes premières consult comportent pano et détartrage, j'imagine que là ça ne s'y prêtait pas. Patient anxieux, gingivite trop sensible, charrette sur le planning? Je ne m'en rappelle pas.


dolcel82

08/12/2014 à 18h34

Comment tu fais pour calculer ton objectif de chiffre par jour?


Nouveau image bitmap fz77zh - Eugenol
Sethef

08/12/2014 à 18h42

CA annuel/ nbre de jours travaillés.

M'enfin, je ne me focalise pas dessus: je fais ce qu'il y à faire, et à la fin en général ça roule.


uɹöɾq

08/12/2014 à 18h45

Sethef écrivait:
----------------
>
> Ca se défend. Mais ça oblige à sortir un insert. Et à coter quelque chose que je
> n'aurais pas fait hors nomenclature. Ca m'ennuie.

Ah, parce qu'en plus, faut pas coter des trucs qui t'ennuient? :-)))

En se plaçant strictement dans la recherche d'optimisation de nomenclature sans autres considérations (ce qui me semble être le cas de l'application du second détartrage à 50% dans la même séance), tu perds de l'argent sur ce cas.

Mais il est vrai que tu en aurais perdu encore plus avant la technique du second détartrage à 50%, d'où le gain de CA que tu dis faire.

J'ai tendance à penser que ceux qui optimisaient déjà à fond seront TRES loin de faire 10000€ de CA annuel en plus, comme tu l'annonces, à moins d'avoir un cabinet avec énormément de contrôles de patients avec une hygiène parfaite, donc n'ayant jamais de caries (donc sans nécessité de revenir), mais ayant un détartrage à faire à chaque fois, ce qui me paraît bizarre dans l'absolu (après on n'a peut-être pas les mêmes patients).




dolcel82

08/12/2014 à 18h58

Sethef écrivait:
----------------
> CA annuel/ nbre de jours travaillés.
>
> M'enfin, je ne me focalise pas dessus: je fais ce qu'il y à faire, et à la fin
> en général ça roule.


Merci! Oui moi aussi ça me soule de calculer 1/3 du devis pour séance 1, etc pour la prothèse et si finalement,t t'as besoin d une séance de plus ça fout tout en l air , mais c vrai que .c est bien d avoir une notion approximative du taux horaire pour optimiser !


Avatar transparent iqadnc - Eugenol
adhoc

08/12/2014 à 19h28

C'est bientot noel; une petite eclaircie de photo pour sethef!

Sethef btuo28 - Eugenol
Sethef4 pcoeqt - Eugenol

P2eqdh3csim6s7nb09ktdq3e7ev8 - Eugenol
barbabapat

08/12/2014 à 21h00

Je t'ai déjà répondus, on a pas la même définition des termes polycarieux et gingivite. Surtout quand tu dit que tu aurait fait les actes en 30 minutes au lieu d'une heure a cause des composites.

Si j'avais été obligé en une heure de faire 5 trois faces ( avec une face occlusale et un point de contact a réaliser en composite ) et un détartrage haut et bas complet chez un de mes polycarieux, je ne m'en serait pas venté car ça serait un jours noir pour mois au niveau de la baisse de qualité imposé aux praticiens.


Nouveau image bitmap fz77zh - Eugenol
Sethef

08/12/2014 à 22h20

Ben, j'en sais rien. Je l'ai sûrement déjà dit par ailleurs, je traite la maladie carieuse dans sa globalité. Quand je vois 5 dents cariées profondément, avec des pertuis occlusaux juxta pulpaires et une pulpite (la 48), j'estime qu'il y a rupture de l'équilibre, donc on revoit alimentation, brossage, et on soigne le tout quelques semaines plus tard. J'appelle ça une polycarie.

Quant à la gingivite, 90% de mes nouveaux patients ont un problème paro, et 90% de ces problèmes se règlent avec un bon brossage, un détartrage en 1 ou 2 fois, et quelques semaines de cicatrisation.

Par contre, effectivement, ce sont plutôt des gens sympas et réceptifs, et en général, je les revois tous les ans pour rien. C'est la vie. Je suis par ailleurs navré qu'à 30 ans, personne ne leur aie prodigué des conseils basiques d'hygiène, parce que faire des détartrages simple ou double et un peu de prévention n'intéresse personne.
Ce qui est d'ailleurs bien plus low cost que tous les centres auto-proclamés.


Nouveau image bitmap fz77zh - Eugenol
Sethef

09/12/2014 à 13h34

Bon, comme d'hab, je trolle et je fais dévier les sujets. Je trouve que ça reste dans le thème, mais j'aurais pu le mettre à 10 endroits différents.

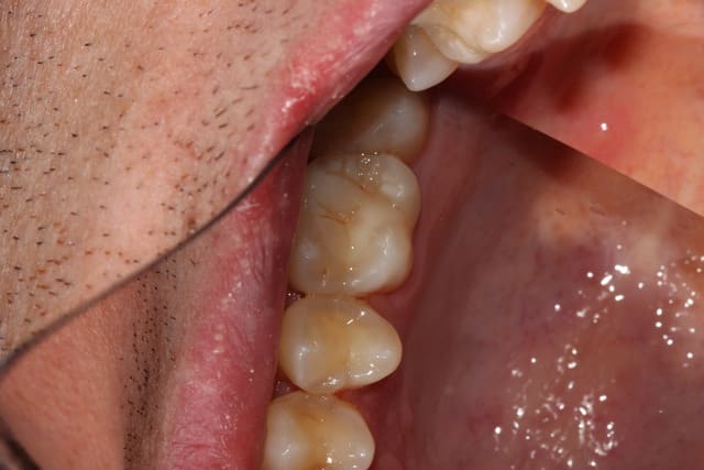
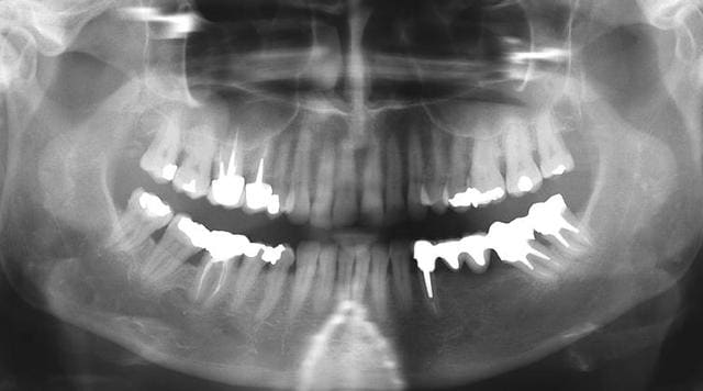
Le bridge sect3, posé il y a 10 ans, est descellé au niveau de 34. La racine n'est ni cariée ni fracturée.
Quel aurait été le plan de traitement dans un centre low cost? Pour quel prix? En combien de temps?
Quel aurait été votre plan de traitement? Pour quel prix? En combien de temps?

Nouveau image bitmap ics1pu - Eugenol

colza2

09/12/2014 à 14h15

A/

38: ccm 390
37 :ccm 390
36 implant pilier couronne 970
35 implant pilier couronne 970
34: i core + couronne 512,55

total 3232,55
crédit à 0% accordé par un organisme du (13), formulaire à signer dans le tiroir, avec bonus financier pour les conseillères cliniques en fonction du nombre de dossiers de crédit montés et signés.
rv proposés après réglement total en fonction des places disponibles pour le vivier de patient.

B/

pano , dépose, nettoyage , rescellement

total 75


Nouveau image bitmap fz77zh - Eugenol
Sethef

09/12/2014 à 14h52

Voilà, l'idée générale est là. Comme je ne suis pas low cost, j'ai pris 200 roros pour faire 2 perfos à la transmétal, mettre un coup de Wamkey, nettoyer le bordel, irriguer le logement de tenon 34 à l’hypochlorite et resceller le tout au fuji. 30min.

Cabinet libéral: 200 euros, coût 0 pour la sécu.
Low cost: 3000 euros, 600 euros pour la sécu, et encore une partie pour les mutuelles (haffi bun dem).


Lecteurs attentifs, il y a un message subliminal à l'endroit de nos gouvernants. Saurez-vous le détecter?


uɹöɾq

09/12/2014 à 15h14

T'aurais des radios?


Image r6habu - Eugenol
Thomas Crown

09/12/2014 à 15h21

Ok Sethef, donc c'est fini quoi.. on donne aux patients ce qu'ils sont venus chercher?
Attention, je dis pas que tu as tort;
si il y a eu descellement 34..pas de recidive inf?
combien de temps ton fuji va tenir? y'a pas d espace biologique ici, pourquoi prends tu le risque de le revoir ds 18 mois avec la 34 démolie??
Aprés ,on voit pas bien le joint, mais bon, ça pue ..


Kon nx3ojp - Eugenol
Kon

09/12/2014 à 15h29

Se dire qu'un bridge de cette conception se descelle au bout de 10 ans sans aucun souci dessous, c'est faire preuve de peu de réflexion...

La vérité c'est que tu a rendu ponctuellement service à ton patient et que tu l'a fidélisé pour revenir refaire le secteur 3 dans 1 ou 2 ans quand tout se cassera la gueule.


Nouveau image bitmap fz77zh - Eugenol
Sethef

09/12/2014 à 16h04

Ok, tu as 2 inters, pas très épais, et une 34 sans férule, sans box anti rotationnel, la racine à plat quoi. Tu appuies sur les inters, les piliers périphériques se soulèvent, le plus faible lâche. Là, il s'est descellé, dans quelques temps, la racine explosera. Dans 1 an, dans 20 ans? J'en sais rien, là ça fait 10 ans que ça dure. Et puis quoi?
La patiente a 62 ans. Quand ça pètera, on mettra 2 implants. Peut-être qu'on conservera 37 38, oo qu'on les refera, le profil d'émergence est franchement pas top. On reviendra au plan de traitement initial à ce moment là. Dans 1 an, dans 20 ans. Quel est le risque?


Nouveau image bitmap fz77zh - Eugenol
Sethef

09/12/2014 à 16h06

Sinon, y'a aussi des gros IC clavettes sur 37 38, on pourrait aussi y coller des implants de suite, pourquoi pas? Après tout, ça va péter. Dans 1 an, dans 20 ans.


1...789