Cookie Consent byPrivacyPolicies.comCa c'est la meilleure ! - Eugenol

Ca c'est la meilleure !

Capture d  cran 2015 03 12 12.28 - Eugenol
chicot29

17/11/2014 à 22h16

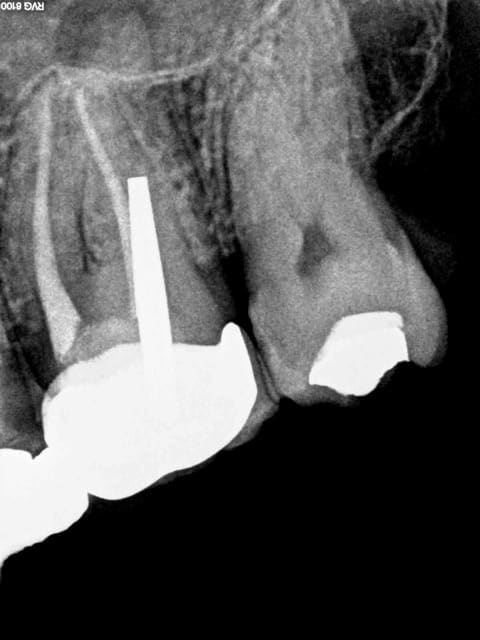
La semaine dernière légère douleur à la percussion sur 27. Et pourtant j'avais vu la radio après endo ! qui était nickel ( ou alors pas les yeux en face des trous ).
Admirez le chef d'oeuvre ! Pas évident de s'auto radiographier !
Quand je dis qu'il faut faire des radios à TOUTES les étapes merde !
Les cordonniers........

1 grhw2z - Eugenol
2 pt7i80 - Eugenol

Images jm2g2g - Eugenol
dr_0le

17/11/2014 à 22h38

l'arroseur arrosé?


chipoundine

17/11/2014 à 23h52

n'oublie pas la carie sur la 8 !


Capture d  cran 2015 03 12 12.28 - Eugenol
chicot29

17/11/2014 à 23h58

??? en distal sur la 6 plutôt. Je vais tirer ca au clair avec un cone beam.-))))
merde, alors sur la 7 il faut le faire exprès non ? C'est alésé en boulevard en plus !
Ca s'enlève bien les tenons zircone ? C'est plutôt rare d'en trouver. Ca m'arrive d'en poser mais je n'en ai enlevé aucun.


Pouetmaster

18/11/2014 à 06h21

Si tu veux je te fais ça sans radio,sans digue, sans gutta.. Merde c'est déjà fait !
Au moins le tenon semble être dans le canal. Tu est vraiment médisant, il n'était pas si mauvais que ça en prothèse. Et il a fait le plus dur en endo ou presque


chirdent26

18/11/2014 à 08h51

c'est le forage pour le pivot qui a retiré tout le traitement de la racine .Il faut aussi une radio pivot en place avant empreinte pour vérifier l'axe . C'est en tout cas ce que je fais car ça m'est déjà arrivé.


Capture d  cran 2015 03 12 12.28 - Eugenol
chicot29

18/11/2014 à 09h17

Non non non, l'empreinte n'a pas été faite dans la séance de l'endo, c'est pas possible de faire une merde pareille dans ce cas là. Je pige pas. la seule solution c'est qu'il n'a pas obturé le canal volontairement,( palatin en plus) c'est du sabotage. Soit j'ai eu de la merde dans les yeux en voyant la radio post op ( et lui aussi) soit il n'a pas scellé le cone en palatin.


Capture d  cran 2015 03 12 12.28 - Eugenol
chicot29

18/11/2014 à 09h30

Pouetmaster écrivait:
---------------------
> Si tu veux je te fais ça sans radio,sans digue, sans gutta.. Merde c'est déjà
> fait !
> Au moins le tenon semble être dans le canal. Tu est vraiment médisant, il
> n'était pas si mauvais que ça en prothèse. Et il a fait le plus dur en endo ou
> presque

Sans digue, c'est sur mais j'étais consentant. ( amené un optragate, quand meme !) . Le plus dur ? attends qu'on voie si le MV 2 a été traité, j'ai comme un doute.


Android jyzura - Eugenol
Tavéca

18/11/2014 à 11h54

chicot29 écrivait:
------------------
> ??? en distal sur la 6 plutôt.


Non, non la dame te dit la 8 mésiale!


RépondreCiter
S8ysxdzhdqgw00w4q6m07a5d47q2 - Eugenol
Gai-Luron

18/11/2014 à 12h07

t'as des amalgames en bouche??? rhooooooo


Orezza gazeuse verre litre ocoxey - Eugenol
casa

18/11/2014 à 12h33

Ben mince , il a pas été sympa avec toi chicot ! pourtant au niveau matériau c'était la classe !


Capture d  cran 2015 03 12 12.28 - Eugenol
chicot29

18/11/2014 à 12h40

Gai-Luron écrivait:
-------------------
> t'as des amalgames en bouche??? rhooooooo

Farci, ils sont tous au minimum trentenaires (posés avant la fac), mais tu sais bien qu'il est interdit de les déposer et de les faire rembourser par la sécu pour faire joli. Cependant si cingulum veut bien s'y coller en NR, pourquoi pas ?-)))))
1ere dent dévitalisée à 44 ans cette 27 justement. Cool hein ?


Vw campersurfvan bmnk1q - Eugenol
enlaye

18/11/2014 à 14h07

ha ha on est jamais mieux servi que par soit meme :
tu viens , j'tarach la dent , tu'tfais toi meme l 'endo par derriere ,(a rétro ) et s'la rmet !!!lol


Ylfwcw979cz1jnx9gfqeaxndiuzk - Eugenol
Algi

18/11/2014 à 19h37

"L'endo par derriere..." ça me rappelle quand j'étais à la fac.

Moi du haut de ma superbe car en 5eme année et ayant validé tous mes points de chirurgie genre fin janvier, le chef de service, un vieux de la vieille qui opérait sans gants gitane papier maïs au bec et un jeunot de 4eme année quivient nous soumettre un cas similaire, voulant savoir si on pouvait traiter à rétro....

Le vieux, pince sans rire, lui explique doctement que non, la voie d'abord est trop délicate en endobuccal pour un tel cas de figure mais que, si ses souvenirs sont bons, y'a bien eu le Pofesseur Dimitri Tourgueneiev, de la faculté de Leningrad, ex et actuelle saint petersbourg, qui proposait dans les années 30 une voie d'abord rectale mais que vu que nous ne n'avions pas, nous pauvres dentistes, le droit de passer par là on avait laissé tomber....

On a bien du en parler un bon quart d'heure et je ne sais toujours pas si il y a cru ou pas ;0))

Chicot, si tu veux on tente et on fait une publication.

ps: je peux pas mettre d'illustration trop explicite, les modos vont pas aimer, mais si vous voulez je peux vous donner des liens en MP où on voit des messieurs ou des dames qui tentent la voie d'abord....

--
On a toujours le choix mais entre quoi et quoi?
Vas-y boulégue et l'avenir te le dira!

Images zff9ti - Eugenol

Vw campersurfvan bmnk1q - Eugenol
enlaye

18/11/2014 à 19h43

tu as oublié barbu si ç est a celui que je pense ;


Capture d  cran 2015 03 12 12.28 - Eugenol
chicot29

18/11/2014 à 20h01

Algi écrivait:
--------------
explicite, les modos vont pas aimer,
> mais si vous voulez je peux vous donner des liens en MP où on voit des messieurs
> ou des dames qui tentent la voie d'abord....
> Chicot, si tu veux on tente et on fait une publication.


C'est une idée, certains avec de l'entrainement y mettent les 2 mains, c'est plus pratique !
Mais il y a urgence dans mon cas, je n'aurais pas le temps d'atteindre ce niveau. -))))
Peut être après les futures négociations conventionnelles rondement menées comme d'habitude par la CNSD. -)))


Capture d  cran 2015 03 12 12.28 - Eugenol
chicot29

18/11/2014 à 20h12

casa écrivait:
--------------
> Ben mince , il a pas été sympa avec toi chicot ! pourtant au niveau matériau
> c'était la classe !

La classe oui. C'est du protilab, mais c'était une demande personnelle, juste pour tester !. Bizarrement, c'est pas la prothèse qui a merdé, ca remet les choses à leur place-)))))
Ca c'est pour santé pas clair avec leurs prothèses garanties 10 ans. Eh ben, non c'est l'endo à 2 balles, hors réseau, qui merde dans 99,99 % des cas.
Valable aussi pour les politocards qui perdent de vue l'essentiel dans leur course effrénée aux voix.
A 23 mn la cruche UMP qui parle de sécurité sanitaire concernant les prothèses. Dans mon cas comme beaucoup d'autres la tracabilité me fait une belle jambe : Si j'ai une pèche c'est parce que c'est de la prothèse chinoise, hein ? Abrutis !
Et on est des vendeurs de prothèse ? On fait une "marge" ? connards !


http://www.dailymotion.com/video/xwjtzq_etat-de-sante-le-magazine-des-enjeux-de-sante_news


olivier

18/11/2014 à 20h20

Tss...je crois qu'on l'appelait Désiré.....me semble t il ...avec sa blouse à manche longue. C'est lui qui m a appris ma première extraction la technique du "noyau de cerise" sur un gamin pour extraire une premo à visée ortho . Tu mets les mors du davier sur table int/table ext tu serre et hop la dent elle saute!!!Excellent souvenir pour moi ...moins pour le petit....


Capture d  cran 2015 03 12 12.28 - Eugenol
chicot29

28/11/2014 à 19h55

bon premier essai, l'ic en ceram scellé au fuji fait de la résistance à l'arrache couronne. J'amène mon coronaflex kavo la prochaine fois et des fraises black and white komet. -)))


Loic2

02/12/2014 à 12h31

il a oublié de faire le palatin c'est clair sinon tu aurais des traces de ciment. Pour désobturer je te conseille ultrason start X de maillefer sans eau pointe numero 3 si c'est de la fibre de verre, pointe 4 si c est du métal.
mettre des tenons en Zircone dans des racines tient de la stupidité la plus totale au vu du manque d'élasticité du matériau qui en fatigue cyclique est mauvais pour ce genre de chose.

Je rappelle qu'a l'heure actuelle, le collage dans un canal a une très faible valeur et qu'il vaut mieux faire un collage périphérique sur l'émail. Je ne pose quasi plus de tenon et mes quelques couronnes ne se décollent pas mais tous mes collages sont fait sous digue.

LV


Vw campersurfvan bmnk1q - Eugenol
enlaye

02/12/2014 à 12h52

enfin tout ça ç est bien bo mais il a mal le chicot . faut y trouver une soluce ......


Nouveau image bitmap fz77zh - Eugenol
Sethef

02/12/2014 à 12h58

Malheureux, à l'arrache couronne tu vas exploser la racine, ou le tenon dans la racine.... Fais la découper bien propre, un coup de wam key et roule.


Gaudi parc guell lezard  ntokms - Eugenol
lezard

02/12/2014 à 13h36

Et si le canal est obturé au ciment de scellement, c'est pas radio opaque, et t'auras fait tout ça pour rien.
En même temps tu le sauras que quand t'auras fait enlever le tenon.




RépondreCiter
Capture d  cran 2015 03 12 12.28 - Eugenol
chicot29

02/12/2014 à 23h06

Sethef écrivait:
----------------
> Malheureux, à l'arrache couronne tu vas exploser la racine, ou le tenon dans la
> racine.... Fais la découper bien propre, un coup de wam key et roule.

La couronne est virée. Reste l'inlay core en full zircone dur comme du béton.

1 gfs9pg - Eugenol

Nouveau image bitmap fz77zh - Eugenol
Sethef

02/12/2014 à 23h16

Avec un seul tenon, au wam key ça marche la plupart du temps, surtout quand il reste des parois comme ici. Il paraît que le wam x est encore mieux, jamais testé.