Cookie Consent byPrivacyPolicies.comCa c'est la meilleure ! - Eugenol

Ca c'est la meilleure !

Vw campersurfvan bmnk1q - Eugenol
enlaye

03/12/2014 à 01h57

oui oui une petite saignée a la limite ic dent et hop un coup de tournevis ou une piece de 1 centime ou mieux un wam .tranquille


Image saznoz - Eugenol
Hodina

03/12/2014 à 08h50

Je viens de commander le WAM'X
Vu le prix, j espere qu il est bien......
Très satisfait du wamkey......depuis ma des aventures de l arrache couronne....;))))


Capture d  cran 2015 03 12 12.28 - Eugenol
chicot29

03/12/2014 à 10h43

Je vire tout au coronaflex KAVO l2 encoches sont faites 1 en vestibulaire et en 1 lingual .
1 ou 2 cas récalcitrants à ce jour 0 racines cassées.
Ceci dit le WAMX a l'air moins bourrin et 3 ou 4 fois moins cher.


Orezza gazeuse verre litre ocoxey - Eugenol
casa

03/12/2014 à 11h27

chicot t'es toujours dans la surenchère , suis les conseils d'enlaye , une pièce de 1 cm , un tournevis , au pire un Wam key , ça marche du tonnerre ! aucun échec (avec les wam !). bon j'en ai pas fait des masses non plus .


Capture d  cran 2015 03 12 12.28 - Eugenol
chicot29

03/12/2014 à 11h32

Ce qui est sur c'est que le bon vieil arrache couronne aussi obsolète que notre nomenclature ca ne marche pas. -))))


Image saznoz - Eugenol
Hodina

03/12/2014 à 12h59

chicot29 écrivait:
------------------
> Ce qui est sur c'est que le bon vieil arrache couronne aussi obsolète que notre
> nomenclature ca ne marche pas. -))))

Si si, super bien pour les avulsions.....😃😃😃


Ylfwcw979cz1jnx9gfqeaxndiuzk - Eugenol
Algi

03/12/2014 à 15h49

Si ça merde je te déconseille de poser un implant titane juste a côté du Tchernobyl voisin a moins que tu ne veuilles te transformer en pile wonder.

--
On a toujours le choix mais entre quoi et quoi?
Vas-y boulégue et l'avenir te le dira!


Capture d  cran 2015 03 12 12.28 - Eugenol
chicot29

03/12/2014 à 20h38

Plus vieux que Tchernobyl !
Et pourquoi pas écouter la radio pendant que tu y est ?


Vw campersurfvan bmnk1q - Eugenol
enlaye

03/12/2014 à 21h17

ç est arrivé a un gars qui habitait en bas de la tour eiffel !
ils lui ont deposé les pb...ce salaupar ne payait pas la sacem..


Capture d  cran 2015 03 12 12.28 - Eugenol
chicot29

12/12/2014 à 23h59

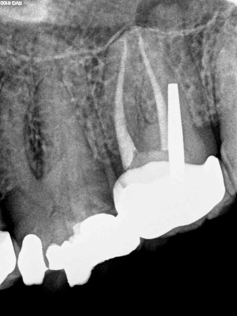
Ayé, l'onlay céramique a été retiré......... en 1 d'heure !

Pas possible d'utiliser le coronaflex because ca pétait en morceaux. Il a fallu 3 fraises black and white pour virer la ceram et l'aide du microscope et d'un kit endo ultra sons pour virer le pivot. De plus le mv2 non traité a été perméabilisé. Obturation dans une semaine.
Je viens néanmoins de prendre 2 G d'antibio en traitement d'attaque car je sens que ca va chauffer.-))))

Merci, David car ce n'était pas gagné d'avance.


Vw campersurfvan bmnk1q - Eugenol
enlaye

13/12/2014 à 00h52

Onlay a jacta est


Capture d  cran 2015 03 12 12.28 - Eugenol
chicot29

13/12/2014 à 13h33

Costaud la "merde" chinoise ! quasiment indémontable à réserver aux ceintures noires en endo.-))))


Smile beach jgh0a1 - Eugenol
Céramik

13/12/2014 à 21h58

tenon ou IC zircone, non sens...

Ceci dit, même les IC métal, j'en fais pas... autre pays, autre traitement.



--
Céramik


Capture d  cran 2015 03 12 12.28 - Eugenol
chicot29

14/12/2014 à 16h01

Autre pays autre système de santé. Le notre est un non sens. C'est ce qui arrive quand un assureur (en situation de monopole c'est pire) se mêle d'imposer les ptt.
Ici c'est : plus tu bousilles les dents, plus il y a de remboursements.


Capture d  cran 2015 03 12 12.28 - Eugenol
chicot29

14/12/2014 à 16h06

Céramik écrivait:
-----------------
> tenon ou IC zircone, non sens...
>
> Ceci dit, même les IC métal, j'en fais pas... autre pays, autre traitement.
>
>
Tout à fait RCR collée en composite avec tenon fibré ou titane ( plus facile à démonter).

Mais des centaines d'euros de remboursements perdus. Sécu + Mutuelle à 300 % Inlay core remboursé 366 euros, RCR collée 79 euros.

Vive la france !


Capture d  cran 2015 03 12 12.28 - Eugenol
chicot29

19/12/2014 à 16h43

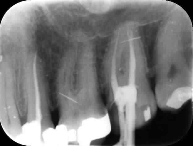
Voici toutes les radios du début à la fin :
On touche au but après 2H 30 de dépose-retraitement. Mv2 en Y heureusement pour moi. Obturation gutta chaude le tout pour 2 balles.
Le mystère reste entier concernant le canal palatin, la gutta ayant disparue probablement lors de la réalisation du tenon.
Le réchauffement de la pèche palatine a eu lieu 8 ans après.

Merci à mon dentiste désintéressé et honte à la sécu donneur d'ordre irresponsable avec ses tarifs opposables de merde.-)))))

1 o7zjma - Eugenol
2 kyqxds - Eugenol
3 pzuz56 - Eugenol
4 h1obea - Eugenol

Orezza gazeuse verre litre ocoxey - Eugenol
casa

19/12/2014 à 17h00

Chicot , dis moi pas que toi aussi t'as une prémolaire dévitalisée et pas couronnée et en plus en MOD ? malheureux !


Capture d  cran 2015 03 12 12.28 - Eugenol
chicot29

19/12/2014 à 18h08

C'est la radio d'il y a 8 ans , je te rassure elle est couronnée.


Orezza gazeuse verre litre ocoxey - Eugenol
casa

19/12/2014 à 18h37

haa , je suis allée trop vite, je me disais: c'est quoi cette radio argentique au milieu des numériques ..t'es donc allé récupérer la radio chez celui qui t'avait fait le travail .... le cone est donc parti au moment du logement de tenon ... il a du faire cela dans la même séance que l'endo .. trop pressé .....


La mule ynmlik - Eugenol
la mule

19/12/2014 à 18h47

Et la radio où on ne voit pas l'apex ? ?? Bon sang, quel travail de sagoin !!!


La mule ynmlik - Eugenol
la mule

19/12/2014 à 18h48

sagouin plutot


Capture d  cran 2015 03 12 12.28 - Eugenol
chicot29

19/12/2014 à 20h32

C'est du digora, envoyé par mail. Et non le logement n'a pas été fait lors de la séance de l'endo. Pour les autres si il manque un apex, mea culpa c'est pas évident de s'auto radiographier surtout pour une 7.


uɹöɾq

21/12/2014 à 15h25

casa écrivait:
--------------
le cone est donc parti au moment du logement de
> tenon ... il a du faire cela dans la même séance que l'endo .. trop pressé .....


Non pas trop pressé, simplement pas assez bon pour respecter le continuuum endo-prothétique.
Comme ceux qui attendent une semaine après l'endo pour faire l'empreinte de l'inlay core ou faire leur reconstitution collée.


Orezza gazeuse verre litre ocoxey - Eugenol
casa

21/12/2014 à 17h10

Mais oui bjorn ..on sait , mais moi j'ai appris comme ça et je t'assure ça marche bien aussi .... et puis dans 5 ou 10 ans on fera tout d'un coup... mais ça ne voudra pas dire que ce que tu fais actuellement c'est de la merde ... c'est comme ça .... suffit de bien bosser quelques soient les "saisons" ! et là le mec il avait pas bien bossé ....c'est tout . Mais Bjorn tu es le maître étalon , le mec parfait qui connait tout sur le bout des doigts ... Moi je suis comme tout le monde , j'ai des échecs , et des succès , j'ai appris des techniques , je les applique et j'ai pioché par ci par là tout ce qui me paraissait utile, intéressant et qui m'accroche intellectuellement . J'ai nettement progresse depuis mes débuts, je te rassure !!! mais ce qui marche , je le conserve bien précieusement .... et on pourra me pondre toutes les théories du monde , ben je garde .. Et oui je ne fais pas l'empreinte de l'inlay core dans la séance .... tu m'envoies la police ?


blaise2583

21/12/2014 à 17h28

uɹöɾq écrivait:
---------------
> casa écrivait:
> --------------
> le cone est donc parti au moment du logement de
> > tenon ... il a du faire cela dans la même séance que l'endo .. trop pressé
> .....
>
>
> Non pas trop pressé, simplement pas assez bon pour respecter le continuuum
> endo-prothétique.
> Comme ceux qui attendent une semaine après l'endo pour faire l'empreinte de
> l'inlay core ou faire leur reconstitution collée.
T as l air tres tres tres tres fort
Je me sens tout petit...
Restez humble les gars on est pas des machines je vous rapelle on est perfectible bon la c est con pour chico qui a du repasser sur le fauteuil et voyant ce qu il fait en endo ca doit le le faire ch... mais c est repare now
Juste une rq on est pas des chir cardiaques faut se detendre un peu et chacun j espere fait du mieux qu il peut avec ses competences et ses moyens