Cookie Consent byPrivacyPolicies.comConcepts occlusaux - Eugenol
Darmon - Eugenol
Latin

26/11/2014 à 20h32

La discussion sur les concepts occlusaux et les finitions en ODF peut être intéressante. Je ne suis pas hyper à l'aise avec ça sorti des classes d'Angle, de l'efficacité du guidage antérieur et de la chasse aux interférences en latéralités.

La discussion initiée sur un autre sujet mérite d'être poursuivie je pense.
(Ici : http://www.eugenol.com/sujets/408232-realisation-des-extractions-ortho)

Il y a notamment un truc qui me turlupine. On commence les traitements en nivelant les arcades, technique arc droit et frictionnelle oblige. Par contre en sortie de traitement en général on ne reconstitue pas la courbe de Spee (celle de Wilson elle est donnée par le torque). Je dis en général, parce que dans l'idéal il faudrait peut-être finir les cas avec des arcs aciers avec courbe de Spee...

Ca m'intéresse de savoir s'il y a beaucoup de monde qui fait ça. Il y en a ou c'est utopique?

Et avec les aligneurs (je ne suis pas encore utilisateur), ces courbes sont-elles préservées ou non, vu qu'on s'affranchit de la nécessité de niveler.


Vw campersurfvan bmnk1q - Eugenol
enlaye

26/11/2014 à 20h53

en exagerant a partir du moment ou tu nivelles tous les principes occlusos qui t'ont couvert pour demarrer le cas tombent a l eau . il ne te reste plus qu'a t appliquer a faire un joli sourire ...de face pour la photo de mariage .
effectivement l' alligneur n'a pas ces inconvenients


Ylfwcw979cz1jnx9gfqeaxndiuzk - Eugenol
Algi

26/11/2014 à 21h12

Là pas le temps de developper, faudrait des plombes et je n'ai qu'une hate: rentrer à ma maison après une dure journée.

Un bon début selon moi: se lire Planas, Pedro, de Barcelone, celui qui a inventé les pistes.

Y'a un lien vers quelques pdf et sites sur le forum ortho.

Bonne soirée à toutes et tous.

--
On a toujours le choix mais entre quoi et quoi?
Vas-y boulégue et l'avenir te le dira!


Vw campersurfvan bmnk1q - Eugenol
enlaye

26/11/2014 à 21h15

par contre l'alligneur a un inconvenient majeur a mon avis c est qu'il suprime tout contact occluso pendant tout le ttt. et il est tres difficile de maitriser la vitesse de deplacement simultanneé haut et bas .or la stimulation occlusale est necessaire pour une bonne mise en place ( a mon avis )
du coup quand tu l enleves on dirait qu'il a les dents de son pere en haut et de sa mere en bas :-)

chez l'adulte il a autre avantage ,il ne sert a rien (dans bien des cas ) .donc au moins ,il ne peut pas faire de mal ,et comme tu lui fournis un kit de blanchiment avec ,le patient est tres content .


Darmon - Eugenol
Latin

26/11/2014 à 22h09

Et finir ses cas avec un élastopositionneur fait sur mesure à partir d'un set-up monté sur articulateur avec toutes les corrections idéales qui vont bien? C'est bien?

C'est un peu la même idée qu'avec les techniques qui utilisent des arcs préformés type Incognito ou Win pour le lingual, Suresmile pour le vestibulaire. Tu peux donner à tes arcades une forme que tu définis virtuellement en amont. Comme avec les aligneurs. Bref avec des set-up quoi.

Je dis ça parce que généralement on ne voit pas les courbes de Spee sur les diapos des cas présentés en conf...

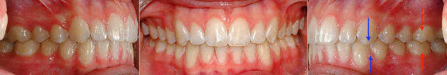
Sur le document ci-joint (qui n'est pas de moi) tout est bien aligné, les classes d'Angle sont nickel, bref c'est beau comme un modèle Frasaco. Mais de courbe de Spee il n'y a point. Est-ce bien fonctionnel du coup?

Bon, si je me prends trop la tête il faut me le dire aussi...

Cl1 uqczk5 - Eugenol

Images 1 qtgoxf - Eugenol
ciwil

26/11/2014 à 22h37

Latin écrivait:
---------------
> Et finir ses cas avec un élastopositionneur fait sur mesure à partir d'un set-up
> monté sur articulateur avec toutes les corrections idéales qui vont bien? C'est
> bien?
>
ben tiens, il est tout chaud, il sort du Biostar (tu verras, si tu fais la partie labo toi-même, les journées sont longues)
l'ado m'en a fait voir de toutes les couleurs, a porté son PUL 1 jour sur 3, ensuite a mis ses elastiques de TIM à peu près à la même fréquence ---> débaguage ---> positionneur (Bioplast 4mm) avec set-up d'egression 36-46 et d'intercuspidation C
s'il ne le met pas, y'aura plus rien à faire pour lui

Dsc09670 gymsdf - Eugenol

Darmon - Eugenol
Latin

26/11/2014 à 22h45

Avec la dédicace... trop la classe!


Vw campersurfvan bmnk1q - Eugenol
enlaye

27/11/2014 à 00h00

Latin écrivait:
---------------
" Mais de courbe de Spee il n'y a point. Est-ce bien fonctionnel du coup?
Bon, si je me prends trop la tête il faut me le dire aussi..."

tu as raison , ce n'est pas vraiment fonctionnel .
dans ce que j entend par fonctionnel il y a une notion de perenité . et là comme il n'y a pas de courbes il n y aura pas de stabilité dans le temps.dès qu'il va y avoir usure molaire ou soin ou coiffe les incisives vont etre en surcontact et là tu vas voir les problemes apparaitre.
mais dans le fonctionnel j entends aussi une fonction d amortissement . ici il ne peut y avoir d amortissement dans le mouvement puisqu'il n y a pas de courbe .


Vw campersurfvan bmnk1q - Eugenol
enlaye

27/11/2014 à 00h20

parce que si ç est par le fait d"avoir une protection canine pour simuler un bon cycle masticatoire , que l'on resume la fonction de l'occlusion , ç est un peu restrictif .
Ma tante a un complet haut et bas ,elle a un bon cycle masticatoire , elle n est pas maigre ,et pourtant elle n a pas de dents ,mais 2 trucs tout usés sans classe 1 canine.


1309531 ours brun n5iukf - Eugenol
seespan

27/11/2014 à 03h15

Latin écrivait:
---------------
> La discussion sur les concepts occlusaux et les finitions en ODF peut être
> intéressante. Je ne suis pas hyper à l'aise avec ça sorti des classes d'Angle,
> de l'efficacité du guidage antérieur et de la chasse aux interférences en
> latéralités.

Retourne sur l'autre file j'y et mit un jolie article sur la fonction canine et son importance en orthodontie
>
> La discussion initiée sur un autre sujet mérite d'être poursuivie je pense.
>
> Il y a notamment un truc qui me turlupine. On commence les traitements en
> nivelant les arcades, technique arc droit et frictionnelle oblige. Par contre en
> sortie de traitement en général on ne reconstitue pas la courbe de Spee (celle
> Wilson elle est donnée par le torque). Je dis en général, parce que dans l'idéal
> il faudrait finir les cas avec des arcs aciers avec courbe de Spee...
Le nivellement de la courbe de spee est un objectif du traitement orthodontique.

La raison ai que sur des sujet sans malocclusion et non traité orthodontiquement elle est souvent très plate. Donc un gourou a décidé qu'il fallait l’aplatir chez tous le monde.
Aucune donné scientifique sérieuse ne valide ce point de vue a ma connaissance.

Le nivellement peut étre plus ou moins stable suivant le type de patient et la technique choisie (car il y en a plusieurs).

A noter bien que le nivellement de la courbe de spee soit pratiqué en masse ce critére ne fait pas partie de l'évaluation d'un cas finie pour l'orthodontic board exam :

http://www.americanboardortho.com/professionals/downloads/Grading%20System%20Casts-Radiographs.pdf

Comme n'en fait pas partie l'occlusion sortie des classe d'angle
>
> Ca m'intéresse de savoir s'il y a beaucoup de monde qui fait ça. Il y en a ou
> c'est utopique?

Si c'est justifier tu le fait mais je n'ais encore jamais entendu parler d'un ortho ou même vue un case report ou la courbe de spee était intentionnellement conservé

>
> Et avec les aligneurs (je ne suis pas encore utilisateur), ces courbes sont
> préservées ou non, vu qu'on s'affranchit de la nécessité de niveler.

C'est quoi exactement qui t'oblige a niveller avec des bague ? Un file ça se plie et sa se courbe même si c'est du Niti.


--
หมอจัดฟัน


1309531 ours brun n5iukf - Eugenol
seespan

27/11/2014 à 03h45

Latin écrivait:
---------------
=
> C'est un peu la même idée qu'avec les techniques qui utilisent des arcs
> préformés type Incognito ou Win pour le lingual, Suresmile pour le vestibulaire.
> Tu peux donner à tes arcades une forme que tu définis virtuellement en amont.
> Comme avec les aligneurs. Bref avec des set-up quoi.

Suresmile fait aussi le lingual.
Sinon quelque soit le système les ortho ne se soucie pas toujours de la forme de l'arcade la raison :

- le setp up est fait directement par un technicien qui n'a AUCUNE formation dentaire préalable et qui a juste appris a se servir du programme 3D.
Quand le cas est renvoyé pour avis le praticien se contente le plus souvent de faire des retouche minime quand il le peut ( le plus souvent il ne peu qu'examiner le modéle 3D sans le modifier.)

Sur une des conf de l'AAO ils avaient parler de se problème avec invisalign. Le conférencier avait envoyé trois fois le même cas (ou trois cas avec des forme arcade très proche) et avait reçut trois set up avec des forme d'arcade très différente.

Les ortho on passer plus d'un siécle a NE PAS controlé la forme de l'arcade (pour différente raisons qu'il serait trop long de dévélopé ici). Donc même quand on leur en donne la possibilité il ne le font
pour la plus part pas.
C'est d'autant plus étonnant que le respect de la forme d'arcade a était démontré etre un facteur important pour la stabilité long terme.

C'est aussi pour ça que je veut bosser avec des set up et bracket individualisé pour chaque cas ça me permet de conserver la forme de l'arcade, ce qui est très compliqué avec du matériel standard
--
หมอจัดฟัน


Vw campersurfvan bmnk1q - Eugenol
enlaye

27/11/2014 à 09h43

seespan je crois comprendre que tu est ok avec moi ?
tu vois que l'on peut s'entendre quand tu veux !!!
les criteres de finitions sont les memes qu' en protheses en fait . une bouche est une bouche.


Picture1111 zburnd - Eugenol
saidkholoki

27/11/2014 à 10h29

Bonjour à tous,
On disait que la fonction change la morphologie, et que la morphologie peut changer la fonction. Je donne un exemple: Un maxillaire en V est le résultat d'une mauvaise fonction, mais tant que le maxillaire reste en V la fonction restera perturbée. Un reformage et/ou expansion sont indispensables pour permettre une bonne rééducation fonctionnelle. Est-ce que ce principe peut s'appliquer à l'occlusion post-orthodontique? Est-ce que l'occlusion peut "s’asseoir" comme on disait après le traitement orthodontique bien mené?
Je me souviens que Le Dr Gugino disait que l'angle interincisif change de 5° à 10° pendant la phase de contention et courant la première année après la fin de celle-ci.
Ma question reste: Est-ce qu'un bonne musculature masticatrice et une bonne enveloppe musculaire fonctionnelle, peuvent ajuster l'occlusion? Courbe de Spee, courbe de wilson et PIM proche de RC?

--
A suivre...
Said


Vw campersurfvan bmnk1q - Eugenol
enlaye

27/11/2014 à 12h07

absolument mais avec beaucoup de dommages collateraux .


1309531 ours brun n5iukf - Eugenol
seespan

27/11/2014 à 12h25

saidkholoki écrivait:
---------------------

> s'appliquer à l'occlusion post-orthodontique? Est-ce que l'occlusion peut
> "s’asseoir" comme on disait après le traitement orthodontique bien mené?

Oui ça ça était démontré, j'ai vue une belle conférence de l'AAO sur le sujet.
En gros préféré les retainer type plaque de hawley ne bloquant pas les dents et permettant un settling occlusal.


> Ma question reste: Est-ce qu'un bonne musculature masticatrice et une bonne
> enveloppe musculaire fonctionnelle, peuvent ajuster l'occlusion? Courbe de Spee,
> courbe de wilson et PIM proche de RC?

Non c'est plus si les dents on était placé proche d'une position phisiologique l'occlusion va devenir plus sérrer lors ce que l'on retire l'appareillage ( le nombre et la surface des point de contact va augmenter )


--
หมอจัดฟัน


Vw campersurfvan bmnk1q - Eugenol
enlaye

27/11/2014 à 13h20

seespan écrivait:
-----------------


> Oui ça ça était démontré, j'ai vue une belle conférence de l'AAO sur le sujet.
> En gros préféré les retainer type plaque de hawley ne bloquant pas les dents et permettant un settling occlusal.


??????? genre une plaque de hawley ? avec abscence de contact posterieur ?
donc si ç est ça , l absence de contact favoriserait l'engrenement dentaire ?
cool.


Vw campersurfvan bmnk1q - Eugenol
enlaye

27/11/2014 à 13h31

seespan écrivait:
-----------------

> Non c'est plus si les dents on était placé proche d'une position phisiologique
> l'occlusion va devenir plus sérrer lors ce que l'on retire l'appareillage ( le nombre et la surface des point de contact va augmenter )

ben il est là le probleme !!!
d' abord il ne peut y avoir de position physiologique puisque qu'il n y a pas de courbes .et il va serrer ,puis serrer,et parfois serrer , ou bien aussi serrer ......au choix


Orezza gazeuse verre litre ocoxey - Eugenol
casa

27/11/2014 à 13h55

Tu les aimes pas les ortho ? hein dit Enlaye , c'est le fait de mettre tout le monde dans le même moule ..je peux comprendre !


Picture1111 zburnd - Eugenol
saidkholoki

27/11/2014 à 13h57

A mon avis, le problème est encore plus grave quand il s'agit des informations dans les brackets ! Rien qu'au niveau des canines le torque varie de -11 à +7!!! Et du même pour les prémolaires et les molaires supérieures de 0 à -10 !!!!
Quand on décide qu'elle occlusion verouillée ou deverouillée? Le reste devient plus simple à maîtriser...

--
A suivre...
Said


Capture ddc6bm - Eugenol
sumble

27/11/2014 à 15h00

Le sujet aurait pu se nommer tout simplement "concepts occlusaux". Il ne devrait pas y avoir de spécificités occlusales propre à l'ODF.

J'ai commencé à élargir le sujet et je propose d'aller un peu plus loin. Ce qui de prime abord paraîtra hors sujet est en fait, amha, au coeur même de la question:

Concepts occlusaux oui, mais pourquoi? Quel est le but du traitement ODF? Ne parlons pas des compromis, mais de l'objectif idéal à atteindre.


isaïe

27/11/2014 à 15h25

Objectif idéal à atteindre et pourquoi.
En d'autres mots : le Graal.


Vw campersurfvan bmnk1q - Eugenol
enlaye

27/11/2014 à 15h32

Huuumml sumble je te sent chaud bouillant


1309531 ours brun n5iukf - Eugenol
seespan

27/11/2014 à 16h10

enlaye écrivait:
----------------

> ??????? genre une plaque de hawley ? avec abscence de contact posterieur ?

Non genre un plaque de hawley sans interference sur l'occlusion


--
หมอจัดฟัน


Picture1111 zburnd - Eugenol
saidkholoki

27/11/2014 à 19h16

sumble écrivait:
----------------
> Le sujet aurait pu se nommer tout simplement "concepts occlusaux". Il ne devrait
> pas y avoir de spécificités occlusales propre à l'ODF.
>
> J'ai commencé à élargir le sujet et je propose d'aller un peu plus loin. Ce qui
> de prime abord paraîtra hors sujet est en fait, amha, au coeur même de la
> question:
>
> Concepts occlusaux oui, mais pourquoi? Quel est le but du traitement ODF? Ne
> parlons pas des compromis, mais de l'objectif idéal à atteindre.

Je suis tout à fait d'accord... Il faut parler de concepts occlusaux, au pluriel car personne ne détient la vérité absolue. Les théories sont multiples et ça change en permanence, heureusement car on apprend tous les jours. En philosophie bioprogressive on est très proche de l'occlusion de Slavicek. Mais certaines individualisations sont nécessaires dans certains cas. Ce i est sur le plan statique. Sur le plan dynamique les principes sont assez connus pour tout le monde. La typologie verticale et sagittale, la morphologie dentaire et les compromis thérapeutiques peuvent modifier beaucoup notre concept occlusaux orthodontique. Il faut alors compléter par une équilibration occlusale. Un orthodontiste occluso-conscient peut rendre un très grand service à ses patients sur tous les plans. On essaye du moins.
--
A suivre...
Said


Vw campersurfvan bmnk1q - Eugenol
enlaye

27/11/2014 à 19h54

saidkholoki écrivait:
---------------------
"En philosophie bioprogressive on est très proche de l'occlusion de Slavicek....... Il faut alors compléter par une équilibration occlusale. "

tres proche tu exageres , mais au moins , cela prouve que tu as du ecouter le Dr Orthlieb . non ?


12...