Tous les forums
Cas complexe
02/12/2014 à 23h49
Je suis assez d'accord concernant la déglutition..une déglutition primaire "dite infantile" entraine une béance antérieure, pas latérale...
03/12/2014 à 00h27
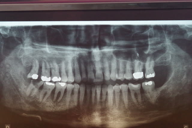
Sur la pano, on voit bien le condyle gauche. Il n'est pas en dehors de la cavité glénoide. Il n'y a pas de luxation de l'ATM gauche. Le problème est très probablement d'origine fonctionnelle (je dirai même que la bouche ne semble n'avoir jamais été fonctionnelle).
Etant donné l'étonnement généralisé face à ce cas, il serait intéressant de pousser l'interrogatoire (événements psychologiques?) pour avoir une idée de ce qui a pu aggraver/provoquer une telle situation.
Concernant une solution de traitement. Ortho oui. Chir pas sûr. Ma sensibilité m'oriente vers l'orthodontie fonctionnelle.
03/12/2014 à 01h13
scala écrivait:
---------------
> Je suis assez d'accord concernant la déglutition..une déglutition primaire "dite
> infantile" entraine une béance antérieure, pas latérale...
Des béances unilatérales consécutives à une dysfonction linguale ça existe aussi. J'ai vu passer un cas comme ça pas mal il y a quelques temps : Plus de 10 mm d'innocclusion latérale à cause d'un tic d'interposition de la langue. La nana pouvait tirer la langue sur un côté en gardant les dents serrées!
03/12/2014 à 01h48
je serais plus de l'avis de sumble ( pas de luxation )
+ il n'y a pas de decalage du point inter-incisif
+ sur la pano la mand n'est pas decalée vers le bas
+ le haut est bien tordu
fiction
il avait une gene du coté gauche ,
la 28 qui descendait ,
il a une occlusion trop resserrée en ant comme en lateral probalement due a une mega langue basse (le palait est creux ?)
il a besoin de reculer mais il bute sur la 28
tu lui fais une ccm qui le gene un peu.
tu lui dis de repasser pour regler (l'occluson ) mais il ne vient pas (pour ne pas payer lol )
marre il s'adapte en mettant la langue pour se soulager
grosse galere perso sa langue est son amie
et va la vie avec cette nouvelle manie
et si on lui faisait une petite cale pour combler l'espace style sur goutierre pour voir si il continurait a faire le chien qui a soif ?
03/12/2014 à 08h38
scala écrivait:
---------------
> Je suis assez d'accord concernant la déglutition..une déglutition primaire "dite
> infantile" entraine une béance antérieure, pas latérale...
Pas d'accord. N'avez vous jamais vu une déglutition infantile avec interposition linguale antérieure ET postérieure? Moi j'en vois plein. Par contre avec interposition latérale UNILATERALE c pas fréquent!!
03/12/2014 à 08h43
Ce qui est curieux c'est quand même l'historique : pourquoi "d'un coup" sa langue s'est mise à partir latéralement? Je m'interroge surtout par rapport à l'âge du patient. Evénement psychologique ayant accentué une déglutition déjà atypique?
Il faudrait creuser...
Pour moi il faut attaquer rééducation fonctionnelle et voir si amélioration.
03/12/2014 à 08h48
Personne est allé sur idweblogs pour voir le cas clinique de François unger???
C est pourtant assez similaire.
03/12/2014 à 09h59
Dr. François UNGERDoctorat de chirurgie dentaire 1973
CES de biologie buccale
CES de prothèse Fixée, de prothèse amovible partielle, de prothèse totale, de prothèse maxillo-faciale
CES d’odontologie chirurgicale
CES d’odontologie conservatrice
Doctorat de sciences Odontologiques 1982
Doctorat d’Université 1988
Ancien Assistant des universités
Maître de conférences des Universités, praticien hospitalier
Ancien responsable du département de Prothèses à la faculté de Nantes
Exercice libéral depuis 1973
Pratique de l’occlusodontologie exclusive
Plusieurs dizaines de conférences sur invitation des sociétés scientifiques ou de formation continue, en France ou à l’étranger
Plusieurs dizaines de publications nationales ou internationales
Président du CNO centre
CNO: College National d'Occlusodontologie.
Un bon, quoi!!!!
03/12/2014 à 10h16
Tiens, des fiches cliniques réalisees par le CNO qui peuvent aider des confrères en occlusodontologie.
Fiche d examen clinique (EACD)
http://www.occluso.com/offres/file_inline_src/670/670_P_29103_1.pdf
Gymnotherapie (Pianello, président CNO Auvergne)
http://www.occluso.com/offres/file_inline_src/670/670_P_29103_2.pdf
Montage en articulateur
http://www.occluso.com/diapo_670_709.html
03/12/2014 à 10h22
OUUUFFF merci hodina
il manquait plus que ça ......pour plus dormir....de site en site
03/12/2014 à 10h34
bien les pdf je les mets en attaché dès fois que ça disparaisse
--
http://www.dentisfuturis.com
03/12/2014 à 15h50
Comme ça je sais d'où sort la fiche d'examen qui nous a été remise en cours d'occluso quand j'étais à la fac!!
03/12/2014 à 17h02
Læticia???
Connais pas.
Certes, en occlusodontologie, on a en général 90 % de patientes, mais je ne me rappelle d aucune Laetitia.
Tu es allé voir idweblogs?
Ça devrait te plaire, c est plein de cas clinique.
03/12/2014 à 18h39
Idewblogs c est magnifique en plus c est en relation avec le cno ou il y a des potes .
Laeticia c etait une blague avec latin.
Tu vois j'pensais a un truc , un gars sort la langue etde la france entiere on réfléchi a son cas et pendant ce temps on se fait tirer dessus par les médias .
Il y a un tel décalage de reconnaissance !!
03/12/2014 à 18h47
Je crois malgré tout que les patients n sont pas dupes.
Je ne parle pas du chieur que de toute façon ti ne veux pas.
Je parle de TES patients.
ILS savent très bien que tu t occupes bien d eux et te recommandent à leurs amis, collègues, familles.
Les médias, eux ne veulent faire que du buz avec les vieilles recettes.
Mais nombreux sont ceux qui n ont plus confiance en eux.
Idem pour les politiques.
Je ne sais pas pour toi, mais moi dans mon cabinet, mes patients me ressemblent.les autres, ils ne restent pas.
Je n aime pas la neutralité.
03/12/2014 à 19h45
enlaye écrivait:
----------------
> Idewblogs c est magnifique en plus c est en relation avec le cno ou il y a des
> potes .
> Laeticia c etait une blague avec latin.
> Tu vois j'pensais a un truc , un gars sort la langue etde la france entiere on
> réfléchi a son cas et pendant ce temps on se fait tirer dessus par les médias .
> Il y a un tel décalage de reconnaissance !!
Laeticia ....la hardeuse amatrice ?
03/12/2014 à 20h15
Sethef écrivait:
----------------
> As-tu un moyen de savoir si le plan d'occlusion était déjà aussi décalé à
> l'époque?
Non je n'ai pas de moyen de savoir si le plan d'occlusion était déjà décalé.
Je peux juste affirmer un élément c'est qu'il n'avait pas de décalage occlusale en 2005 quand j'ai refait la couronne sur 26.
J'ai retrouvé une pano ( pas très nette: depuis la clinique radio s'est améliorée) d'il y a presque 2 ans et on voit deux choses:
1°) le problème occlusal existait mais sans doute moins prononcé. J'avoue m'être polarisé sur la paro et suis passé à côté du problème occlusal.
2°) Le condyle mandibulaire gauche me semble bien à sa place.
je ferai passer ces jours ci une pano bouche fermée centrée sur les condyles.
Ensuite je souhaite l'adresser dans un premier temps pour diagnostic à une consultation d'occlusodontie à l'hôpital. Une fois le diagnostic posé et l'étiologie découverte nous pourrons orienter le traitement. Actuellement le patient ne se plaint d'aucune douleur et ... se demande pourquoi je m'agite avec des photos et des panos!!
Pour Hodina: j'ai bien lu l'article sur IDwebs avec F. UNGER. la différence avec ce cas c'est que mon patient ne se plaint d'aucune douleur.
Pour terminer sur mon hypothèse de pulsion linguale qui déforme les procès alvéolaires, le patient a une langue et une lèvre puissante et les détartrages surfaçages se font obligatoirement à 4 mains car beaucoup trop de tension musculaire.
03/12/2014 à 20h24
DAM = Dysfonctionnement de l appareil manducation
Il n y a donc pas forcément de Douleur (SADAM= Syndroma Algorithme Dysfonctionnel de l appareil manducateur)
Ne te polarise pas sur la douleur pour le diagnostic.
Je suis impatient de connaître le résultat de la consultation occlusodontologie
Qu en est t il de l OIM et de l ORC????