Cookie Consent byPrivacyPolicies.comGREFFE AUTOGENE SECTEUR ANTERIEUR - Eugenol

GREFFE AUTOGENE SECTEUR ANTERIEUR

3f3boxni50k58rq7e9ce9ddqrxgk - Eugenol
dentiste57

20/01/2015 à 18h48

Salut à tous, ça fait un moment que j'ai rien mis sur nonol, alors je mis colle.

(d'autant plus que j'ai pas envie de faire le bricolage dans la maison que ma femme voudrait que je fasse...)

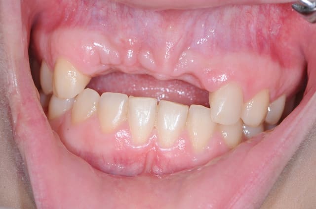
jeune fille de 23 ans qui s'est fait renverser il y a 3 mois par une voiture.
perte de 12-11-21 avec un peu d'os vestibulaire dans la foulée.


3f3boxni50k58rq7e9ce9ddqrxgk - Eugenol
dentiste57

20/01/2015 à 19h01

images du cas
et
zone de prélèvement rétro molaire envisagée

Felicia 3d vefk5e - Eugenol
Felicia 3d1 ey7fj0 - Eugenol
Felicia 3d2 dcgs9y - Eugenol
Felicia 3d3 fb1qme - Eugenol
Felicia 3d4 eikcb8 - Eugenol
Felicia 3d5 jezvry - Eugenol
Felicia 3d7 awsjsa - Eugenol
Felicia 3d8 ixnxtl - Eugenol
Felicia 3d9 dusdmo - Eugenol

3f3boxni50k58rq7e9ce9ddqrxgk - Eugenol
dentiste57

20/01/2015 à 19h06

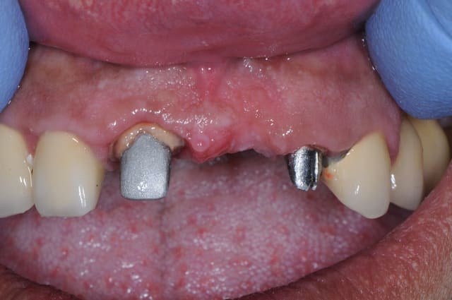
1-2-3 secteur antérieur...
4-5-6-7-8 prélèvement avec piezo
j'ai pas le courage de faire ça avec la scie circulaire
8 comblement métrocol
10-11-12 greffon clivé en 2
13 sutures... ah ben non! j'ai oublié de faire des photos ;)

Dsc 0033 qypwqc - Eugenol
Dsc 0035 hzsgnb - Eugenol
Dsc 0208 kd8m5o - Eugenol
Dsc 0209 ryg6k6 - Eugenol
Dsc 0211 h3w5an - Eugenol
Dsc 0212 i9nrkj - Eugenol
Dsc 0213 ednpms - Eugenol
Dsc 0215 nxwfzv - Eugenol
Dsc 0216 ehrq86 - Eugenol
Dsc 0218 srjhd8 - Eugenol
Dsc 0219 tnsqpk - Eugenol
Dsc 0220 ikgvnf - Eugenol

3f3boxni50k58rq7e9ce9ddqrxgk - Eugenol
dentiste57

20/01/2015 à 19h11

juste une petite adaptation nécessaire sur la cr^te au niveau de 22
vous l'avez vu ?


3f3boxni50k58rq7e9ce9ddqrxgk - Eugenol
dentiste57

20/01/2015 à 19h11

juste une petite adaptation nécessaire sur la cr^te au niveau de 22
vous l'avez vu ?

Dsc 0221 qvhpfu - Eugenol
Dsc 0222 ltkbxx - Eugenol
Dsc 0224 mhjqii - Eugenol
Dsc 0236 vkk0t5 - Eugenol
Dsc 0225 yrwjoj - Eugenol
Dsc 0226 owyipn - Eugenol
Dsc 0227 gw6jjq - Eugenol
Dsc 0228 rdzszi - Eugenol
Dsc 0238 yhrjke - Eugenol

Img 0812 mvp6i0 - Eugenol
jeamba

20/01/2015 à 19h21

Bravo, c'est du propre.


damienB

20/01/2015 à 20h19

joli !
avec quoi tu combles ?


3f3boxni50k58rq7e9ce9ddqrxgk - Eugenol
dentiste57

20/01/2015 à 21h17

Biooss et ce qu'il me restait du greffon que j'ai broyé en copeaux


dentiste68

20/01/2015 à 22h41

La même 100% autogène.
Quel est l’intérêt du Bio-oss pour toi dans ce cas précis?

Eugen myh4hk - Eugenol
Euge gkj7ij - Eugenol

S2y2o1v7q53ws4r5wy6ou8czrpom - Eugenol
pxav

20/01/2015 à 23h14

bravo, dis donc tu as drôlement progressé bravo!

--
xbk
"Si tous ceux qui croient avoir raison n'avaient pas tort, la vérité ne serait pas loin" Dac Pierre


3f3boxni50k58rq7e9ce9ddqrxgk - Eugenol
dentiste57

21/01/2015 à 02h09

pas assez d'os, mais dans ton cas tu as comblé uniquement avec l'os prélevé ? tu as fais un parietal ou quoi ?


Darmon - Eugenol
Latin

21/01/2015 à 04h25

On ne fait pas le même métier!
C'est beau!


dentiste68

21/01/2015 à 23h31

dentiste57 écrivait:
--------------------
> pas assez d'os, mais dans ton cas tu as comblé uniquement avec l'os prélevé ? tu
> as fais un parietal ou quoi ?

Oui, comblement uniquement autogène. Le site de prélèvement (rétro-molaire) et le bloc ont été safescrapés ce qui donne beaucoup de copeaux.



dentiste68

21/01/2015 à 23h32

pxav écrivait:
--------------
> bravo, dis donc tu as drôlement progressé bravo!
>
> --
> xbk
> "Si tous ceux qui croient avoir raison n'avaient pas tort, la vérité ne
> serait pas loin" Dac Pierre

Merci ;-)
J'essaye d'avancer.


S2y2o1v7q53ws4r5wy6ou8czrpom - Eugenol
pxav

21/01/2015 à 23h39

c'est propre et c'est bien!
tu as revu ta patiente (4 implants)?
Et l'expansion, ça te sert?

--
xbk
"Si tous ceux qui croient avoir raison n'avaient pas tort, la vérité ne serait pas loin" Dac Pierre


3f3boxni50k58rq7e9ce9ddqrxgk - Eugenol
dentiste57

21/01/2015 à 23h50

non di diou! !!!

le safescraper !!! c'est une faute impardonnable de ne pas l'avoir utilisé! ne serait ce que pour adoucir les bords du site de prélèvement...


S2y2o1v7q53ws4r5wy6ou8czrpom - Eugenol
pxav

22/01/2015 à 08h20

je me demandais pourquoi tu ne l'avais pas fait, un oubli... et pourtant tu te fais un planning bien ordonné écrit et suivi à la lettre...hihihi je me moque gentillement car ton intervention est très bien.
Suites opératoires au niveau douleur?


--
xbk
"Si tous ceux qui croient avoir raison n'avaient pas tort, la vérité ne serait pas loin" Dac Pierre


HDent

22/01/2015 à 13h48

superbe boulot les mecs, motivant pour ne pas dire stimulant.


dentiste68

23/01/2015 à 01h05

pxav écrivait:
--------------
> c'est propre et c'est bien!
> tu as revu ta patiente (4 implants)?
> Et l'expansion, ça te sert?
>
> --
> xbk
> "Si tous ceux qui croient avoir raison n'avaient pas tort, la vérité ne
> serait pas loin" Dac Pierre

Merci :-)
C'est valorisant, surtout venant de vous.
La patiente va très bien, les implants sont nickels.
Je n'ai pas encore eu l'occasion de faire beaucoup d'expansion... mais ça viendra ;-)


dentiste68

23/01/2015 à 01h07

dentiste57 écrivait:
--------------------
> non di diou! !!!
>
> le safescraper !!! c'est une faute impardonnable de ne pas l'avoir utilisé! ne
> serait ce que pour adoucir les bords du site de prélèvement...

Réflexe d'Olsberg ;-)
Rdv dans 4 mois pour les photos des ré-ouvertures ;-)


dentiste68

23/01/2015 à 01h11

HDent écrivait:
---------------
> superbe boulot les mecs, motivant pour ne pas dire stimulant.

Et surtout bien plus simple et accessible que ne peuvent le laisser penser les photos... et avec des résultats vraiment impressionnants même pour des débutants, comme moi.


Smile beach jgh0a1 - Eugenol
Céramik

23/01/2015 à 02h39



Very Nice , très joli ;-)


--
Céramik


3f3boxni50k58rq7e9ce9ddqrxgk - Eugenol
dentiste57

25/01/2015 à 20h08

suite ... en attendant la réouverture dans 4 mois

Felicia 3d vuhp3w - Eugenol

3f3boxni50k58rq7e9ce9ddqrxgk - Eugenol
dentiste57

27/07/2015 à 18h28

un autre cas..

Dsc 0925 equokt - Eugenol
Dsc 0928 gb7dfi - Eugenol
Dsc 0929 sxmcev - Eugenol
Dsc 0930 soojqd - Eugenol
Dsc 0936 htu6rq - Eugenol
Dsc 0924 usdf6n - Eugenol
Dsc 0934 zyyvc3 - Eugenol
Dsc 0937 ohtrse - Eugenol

S2y2o1v7q53ws4r5wy6ou8czrpom - Eugenol
pxav

27/07/2015 à 19h35

joli

--
xbk
"Si tous ceux qui croient avoir raison n'avaient pas tort, la vérité ne serait pas loin" Dac Pierre


12