Cookie Consent byPrivacyPolicies.comsniff périimplantite - Eugenol

sniff périimplantite

Chiot 1.femelle. - Eugenol
alice

23/01/2015 à 15h45

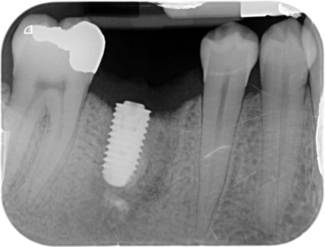
Voilà, c'est horrible mais ça arrive... Patient fumeur (10/15 cigarettes/jour avouées)
Janvier/février 2014 : découverte fortuite de la lésion apicale, j'ai voulu nettoyer avec de l'hydroxyde de calcium (il y avait aussi une perforation du plancher), le patient s'en est tiré avec une belle cellulite, et il en reste un peu dans l'os....
Extraction en avril, cicatrisation difficile au niveau muqueux, j'ai du mal expliquer qu'il faut retirer la prothèse partielle pour se brosser les dents.
Septembre : je pose l'implant, tout se passe bien, serré à 50, j'aurais pu l'enfouir davantage.
Janvier 2015 : oh la mauvaise surprise : une image en cupule en mésial, et une image angulaire en distal. De plus la gencive était légèrement percolée, on voyait la tête de vis de couverture.

Voilà donc mes questions :
- pourquoi ces deux images sont elles différentes ?
- je vais déposer l'implant bien sûr, dois je mettre un matériau de comblement type RTR ou éponge de collagène ?
- combien de temps attendre avant de reposer ?
- et SURTOUT : où ont été mes erreurs, pour que je puisse les éviter ??

Merci !!

1093 x 20131126 174128 x5iucbrxici4 4 rgca8v - Eugenol
1093 x 20140925 150942 xx0cyegsq9og 4 jophhl - Eugenol
1093 x 20150122 180748 xvioawnbrwx 4 jyt608 - Eugenol

Grueavatar nptrc9 - Eugenol
Le Choixpeau magique

23/01/2015 à 16h02

Un échec sur Axiom, est-ce possible ??? ;)


Photo pluton1b h9n4ea - Eugenol
pluton

23/01/2015 à 16h05

dépose, curetage, éponge collagène...point
ré-intervention 6/8 semaine plus tard...

je ne suis pas spécialiste des Axiom Anthogyr, mais c'est un implant à poser en principe en sous crestal...
là tu l'as posé juxta voir supracrestal...
il me semble avoir lu sur nonol que certains utilisateurs de l'axiom avaient quelques problèmes de cratérisation de leurs implant s'ils ne les enfouissaient pas assez, ce qui semble être aussi ton cas ici...


Chiot 1.femelle. - Eugenol
alice

23/01/2015 à 16h09

comprends pas (suis pas en état de comprendre le deuxième degré tellement cette histoire m'attriste)


Chiot 1.femelle. - Eugenol
alice

23/01/2015 à 16h10

ah merci... je vais aussi demander au jeune homme de ne pas fumer pendant les 6 semaines qui suivent


Grueavatar nptrc9 - Eugenol
Le Choixpeau magique

23/01/2015 à 16h15

pluton écrivait:
----------------
> il me semble avoir lu sur nonol que certains utilisateurs de l'axiom avaient
> quelques problèmes de cratérisation de leurs implant s'ils ne les enfouissaient
> pas assez, ce qui semble être aussi ton cas ici...

Non non, je te rassure, les problèmes sont en enfouissant ou pas.
Là ce n'est pas une cratérisation ni une péri-implantite mais un échec primaire, l'implant va être retirable aux doigts.


makalu

23/01/2015 à 16h16

évidemment sans certitude de ma part je te donne 2 éléments:
1) avec une telle lésion infectieuse au départ il est surement préférable d'attendre au moins 6 mois avant d'implanter
2) quel est l'état général de la bouche en particulier sur le plan parodontal? As tu fais un prélèvement bactério avant pour vérifier l'absence d'hôtes indésirables souvent responsables d'échec en implanto
Bon courage et n'oublie pas: il n'y a que ceux qui ne font rien qui n'ont jamais d'échec


Logo vuaztn - Eugenol
mac

23/01/2015 à 16h18

alice écrivait:
---------------

>
> Voilà donc mes questions :
> - pourquoi ces deux images sont elles différentes ?

ta gencive s'est operculisée et un espace biologique s'est recreé plus bas

> - je vais déposer l'implant bien sûr, dois je mettre un matériau de comblement
> type RTR ou éponge de collagène ?

rien

> - combien de temps attendre avant de reposer ?

2 mois

> - et SURTOUT : où ont été mes erreurs, pour que je puisse les éviter ??

fallait pas mettre une PPA sur ton implant


Scan10030 ukikhq - Eugenol
vava

23/01/2015 à 18h40

Comment c’est passé ta séquence de forage et le vissage de l’implant ?


G-P

23/01/2015 à 20h37

Change d'implant, des grosses spires jusqu'en haut c'est emmerdant.


Grueavatar nptrc9 - Eugenol
Le Choixpeau magique

23/01/2015 à 20h42

G-P écrivait:
-------------
> Change d'implant, des grosses spires jusqu'en haut c'est emmerdant.

C'est pire que ça, il y a une spire non synchronisée avec le reste au niveau du col pour augmenter les contraintes à ce niveau ;)


Vw campersurfvan bmnk1q - Eugenol
enlaye

23/01/2015 à 21h23

un probleme de sniff periimplantite ,je l'aurais plutot vu au maxillaire :-)))


moritooth

23/01/2015 à 22h55

Il faut deposer, changer de marque d'implant, mettre plus long ( et plus large ), pas de PAP transitoire ( pour une 46...), et demander au patient de freiner un peu le tabac.

En dehors du tabac, le contexte semble favorable et avec l'implant adapté, il n'y a aucune raison que ça ne marche pas.


S2y2o1v7q53ws4r5wy6ou8czrpom - Eugenol
pxav

24/01/2015 à 11h03

moritooth écrivait:
-------------------
> Il faut déposer, changer de marque d'implant, mettre plus long ( et plus large), pas de PAP transitoire ( pour une 46...), et demander au patient de freiner un peu le tabac.
>
> En dehors du tabac, le contexte semble favorable et avec l'implant adapté, il n'y a aucune raison que ça ne marche pas.

Tu poses depuis longtemps, parce que pour trouver ce contexte favorable, il faut une bonne dose d'optimisme

la longueur de l'implant n'aura aucune influence sur la partie crestale, et le diamètre me semble déjà suffisant, par contre il aurait été peut être intéressant de le poser un peu plus mésial, dans la partie interradiculaire.

ça ne va pas être facile de trouver une marque d'implant qui réussisse à 100% chez un patient fumeur, avec une pap.

Par contre, les Axiom Anthogyr, doivent être posés en sous crestal de 1mm au moins, sans échauffement au forage bien sur.

Néanmoins, comme tout autres type d'implants ils ont leurs limites.

1) avec une telle lésion infectieuse au départ il est surement préférable d'attendre au moins 6 mois avant d'implanter
2) quel est l'état général de la bouche en particulier sur le plan parodontal? As tu fais un prélèvement bactério avant pour vérifier l'absence d'hôtes indésirables souvent responsables d'échec en implanto

fallait pas mettre une PPA sur ton implant

en gros, si tu lis toutes les réponses chacun à une part de possible vérité, ce que j'aimerai savoir c'est si l'implant se retire avec les doigts ou si la partie apicale est intégrée, car sur la radio je ne le vois pas.

Je tiens à préciser que je pose de l'axiom (mais pas que) et que comme tout le monde j'ai aussi de temps en temps des échecs sur la première pose, mais extrêmement rarement sur une reprise, alors analyse bien, arrêt du tabac 1 semaine avant l'implant (je refuse certaine chirurgie si le patient n’arrête pas le tabac, trop d'augmentation de risques), à la dépose, surtout si l'implant vient tout seul (?) curetage soigneux lavage à la betadine, éventuellement éponge de gelatemp (sels d'argent) fermeture soigneuse, pas de pap, et 2 mois d'attente.

Bon courage, et merci de poster.

--
xbk
"Si tous ceux qui croient avoir raison n'avaient pas tort, la vérité ne serait pas loin" Dac Pierre


003 penrd2 - Eugenol
Cingulum

24/01/2015 à 11h17

Le Choixpeau magique écrivait:
------------------------------
> Non non, je te rassure, les problèmes sont en enfouissant ou pas.
> Là ce n'est pas une cratérisation ni une péri-implantite mais un échec primaire,
> l'implant va être retirable aux doigts.

Comment tu peux dire ça a partir de la radio ?
On peut très bien avoir les 70% enfoui de l'implant ostéointégré ...
Je pense que tout les facteurs se sont ajouté, spire non enfoui, tabac, prothèse adjointe
On connait pas la forme de la crête par exemple, ni les conditions de forage qui peuvent expliquer la cratérisation...


--
Dr Cingulum
-----Ancien interné----
----Attaché à l'apex----
http://www.clinic-all.fr/ formation par passion


Grueavatar nptrc9 - Eugenol
Le Choixpeau magique

24/01/2015 à 11h51

Cingulum écrivait:
------------------
> Comment tu peux dire ça a partir de la radio ?
> On peut très bien avoir les 70% enfoui de l'implant ostéointégré ...

Pitêtre, je veux bien prendre les paris :)

> Je pense que tout les facteurs se sont ajouté, spire non enfoui, tabac, prothèse
> adjointe

La consoeur n'a pas précisé si la pap était portée après pose de l'implant.

> On connait pas la forme de la crête par exemple, ni les conditions de forage qui
> peuvent expliquer la cratérisation...

Oui oui, n'empêche que j'ai eu des échecs inexpliqués sur cette marque, peut être pas étrangers aux pollutions, notamment carboniques, retrouvées sur sa surface (Dohan Ehrenfest & coll.)


moritooth

24/01/2015 à 12h09

pxav écrivait:
--------------
> Tu poses depuis longtemps, parce que pour trouver ce contexte favorable, il faut
> une bonne dose d'optimisme
>
Quand je vois une 47 et une 45 saines, une hauteur d'os parfaite, et pas de Pb paro, c'est des points positifs. Quand je pratique moi-même l'extraction et que je maitrise la gestion du délais de cicatrisation, c'est positif. Quand les dents voisines ont des racines bien parallèles, et que j'ai sondé et fait des mesures lors de l'avulsion, c'est encore des points positifs.

> la longueur de l'implant n'aura aucune influence sur la partie crestale, et le
> diamètre me semble déjà suffisant, par contre il aurait été peut être
> intéressant de le poser un peu plus mésial, dans la partie interradiculaire.
>
D'accord concernant le problème crestal, ça ne vient ni de la longueur ni de la largeur. Par contre pourquoi poser un implant qui fait 30% de moins en longueur que les racines naturelles et les dents adjacentes, alors qu'il y a toute la place. Quant au diamètre on dirait du 3,5 ou du 3.7mm, alors quand toute sécurité on peut mettre bien plus large.
Il faut penser à la prothèse qui allez dessus, c'est quand une 6 qu'on remplace !

> 1) avec une telle lésion infectieuse au départ il est surement préférable
> d'attendre au moins 6 mois avant d'implanter
> fallait pas mettre une PPA sur ton implant
>
Entièrement d'accord!

> arrêt du tabac 1
> semaine avant l'implant (je refuse certaine chirurgie si le patient n’arrête pas
> le tabac, trop d'augmentation de risques), à la dépose, surtout si l'implant
> vient tout seul (?) curetage soigneux lavage à la betadine, éventuellement
> éponge de gelatemp (sels d'argent) fermeture soigneuse, pas de pap, et 2 mois
> d'attente.
>
Pas mieux, sauf la bétadine que je suis entrain d'abandonner.


Chiot 1.femelle. - Eugenol
alice

24/01/2015 à 12h24

si si la consoeur a été assez stupide pour autoriser le patient à porter une pap sur l'implant (enfoui, je n'avais mis que l vis de couverture) : la muqueuse s'est operculisée.

La chirurgie s'est bien passée, pas de souci particulier, mais je crois que j'ai encore des défauts à corriger, tant au niveau du positionnement que de l'enfouissement.

Ceci dit, je ne pose que depuis un an et demi, et pas tous les jours non plus, je manque d'expérience. Aussi j'étais enceinte de quasiment neuf mois le jour de la pose, donc gênée par mon énorme ventre....


Chiot 1.femelle. - Eugenol
alice

24/01/2015 à 12h26

je vais essayer de le voir la semaine prochaine, le temps de me procurer un tourne à gauche (au cas où) et je vous dirai s'il est venu aux doigts ou s'il a fallu que j'utilise le tourne à gauche


003 penrd2 - Eugenol
Cingulum

24/01/2015 à 13h45

alice écrivait:
---------------
> je vais essayer de le voir la semaine prochaine, le temps de me procurer un
> tourne à gauche (au cas où) et je vous dirai s'il est venu aux doigts ou s'il a
> fallu que j'utilise le tourne à gauche

:)
On a parié avec Choipeaux

"par contre pourquoi poser un implant qui fait 30% de moins en longueur que les racines naturelles et les dents adjacentes, alors qu'il y a toute la place"

Pourquoi mettre long ?...
les echecs sont plus facile à gérer sur un implant court qu'un implant long
la périimplantite n'est pas lié à la longueur de l'implant, la reconstruction en cas de dépose si ....

--
Dr Cingulum
-----Ancien interné----
----Attaché à l'apex----
http://www.clinic-all.fr/ formation par passion


Photo pluton1b h9n4ea - Eugenol
pluton

24/01/2015 à 14h32

moritooth écrivait:
-------------------
Quant au diamètre on dirait du 3,5 ou du 3.7mm, alors quand toute

perso, j'aurais plutôt dit que c'est un 4/10 (çà me paraît petit pour un 4.6/10)

poser très large, je le fais de moins en moins sauf EII, mais avec un implant vraiment prévu pour comme un legacy2 en 7mm suivant un protocole de forage spécifique entre les racines et en les conservant le temps du forage pour ne pas dévier...mais c'est tellement exceptionnel...que je ne l'ai encore jamais fait...

de toutes façons, on voit maintenant de moins en moins d'implants très larges dans les gammes qui s'arrêtent le plus souvent à 5mm (du moins pour les implants récents...)

+1 pour le port de la prothèse qui doit être évitée...
+1 aussi sur le positionnement idéalement un peu plus mésial
+1 pour le très long...en dehors des EII, au delà de 10/12mm on risque plus d'échauffer qu'autre chose...

je rajouterais que si la stabilité primaire est bonne et pas de gestion osseuse simultanée (comblement/ROG, encore que...), je ne vois aucun intérêt de faire du 2 temps chir...donc vis de cicat direct...


S2y2o1v7q53ws4r5wy6ou8czrpom - Eugenol
pxav

24/01/2015 à 14h52

Je constate avec plaisir que ce post ne tourne pas vinaigre mais réflexion saine.
J'ai aussi des échecs inexpliqués avec l'Axiom, mais j'en ai aussi avec d'autres marques ou types d'implants.

Mais inexpliqué, ça doit en plus de la réflexion sur l'implant, autoriser la réflexion sur la pose, les kits stériles (enfin surtout la préparation de la salle de chir), le patient, etc,etc...

éventuellement dans ce cas, une tentative de gestion de la périimplantite serait peut être plus simple à gérer que la dépose de l'implant, sauf si Choixpeau a raison, bien sur.
L'implant c'est un 46120 (?), il m'arrive de poser du 3.4 pour des molaires (depuis 6 ou 7 ans et je n'ai pas de soucis de tenue mécanique ou autre, par contre les implants courts ne me font pas spécialement rêver.


--
xbk
"Si tous ceux qui croient avoir raison n'avaient pas tort, la vérité ne serait pas loin" Dac Pierre


Chiot 1.femelle. - Eugenol
alice

24/01/2015 à 15h02

L'implant est un 4x10mm
Je ne pense pas pouvoir gérer la périimplantite par autre chose que la dépose, le patient a 34 ans et je voudrais quand même qu'il garde son implant longtemps... pas de bricolage dans ce cas.
Je m'en veux pas mal, mais comme tu dis, il faut réfléchir sur ce cas pour trouver ses erreurs et ne pas les réitérer.
Une dernière question : comment gérez vous la temporisation sans PA ? Parce que si on doit attendre 9 mois (6mois de cicat post extrac + 3 ois de cicat post implant), on a déjà vu des versions et égressions... c'est pour ça que j'avais mis une PA


carident

24/01/2015 à 18h37

La dent aurait certainement pu être sauvée, le canal (ou les canaux) distale n'étant même pas obturé, cette infection était couru d'avance...
Personnellement je ne vois pas de perforation au niveau du plancher.


Smile beach jgh0a1 - Eugenol
Céramik

24/01/2015 à 18h43

Scan pré-op ?


Pose avec lambeau ou flapless ?

Peut-être que l'os en vestibulaire était faible, et avec la pose à 50n/cm, tu as forcé un peu trop.

J'aime pas trop l'image apicale, quand tu vas reposer plus profond, tu va tomber dans cette zone...

Je pose en général des 4.5 X 10 pour une molaire, faut voir la largeur au sommet de la crête. Si mince, 4 X 10 ou ROG

Pas besoin de PAP ou de provisoire pour une molaire.




--
Céramik