Cookie Consent byPrivacyPolicies.comsniff périimplantite - Eugenol

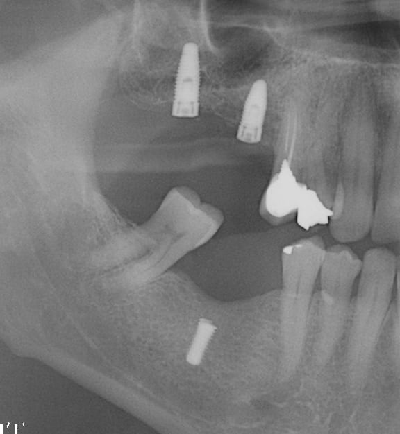
sniff périimplantite

Zorglub

24/01/2015 à 23h11

J'ai quelques d'implants avec la même image et je ne touche à rien si l'implant est immobile. Et certains sont là depuis des années...

La clé du succès s'appelle "vascularisation"

Tabac = vasoconstriction locale et pollution du site et de l'implant.

Implant large ou souvent, au col de l'implant = zone où l'os marginal est fin et donc fragile et mal vascularisé.

Une perte osseuse non infectée n'est pas une périimplantite et elle se stabilise à un certain niveau lorsque le système est en bio-équilibre.

Ici, il est dommage que l'implant soit un peu court, ce qui peut entrainer sa perte par surcharge.

Et, je ne garantis jamais la réussite d'un implant chez un fumeur. D'ailleurs, je refuse d'implanter la plupart des fumeurs.


Photo pluton1b h9n4ea - Eugenol
pluton

24/01/2015 à 23h19

pxav écrivait:
--------------
> Je constate avec plaisir que ce post ne tourne pas vinaigre mais réflexion
> saine.

+10000....çà donne envie de poster à nouveau des cas cliniques...pas toi?...;-)

> J'ai aussi des échecs inexpliqués avec l'Axiom, mais j'en ai aussi avec d'autres
> marques ou types d'implants.
>
> Mais inexpliqué, ça doit en plus de la réflexion sur l'implant, autoriser la
> réflexion sur la pose, les kits stériles (enfin surtout la préparation de la
> salle de chir), le patient, etc,etc...

j'ai eu avec une marque un taux d'échec énorme (pour moi)
c'est une vraie remise en question, on en vient à se demander si on est pas devenu tout simplement mauvais!!!
on revérifie tout ses protocoles, on revérifie derrière l'assistante pour voir si la sté/désinfection /préparation de la salle sont bien dans les clous...
et on repose une autre marque pour voir si....et comme par miracle, plus (ou quasi pas) d'échec...
je ne suis pas près d'oublier cette période...et je porte une attention toute particulière au protocole de forage de l'implant, son design et son état de surface...
les implants que je pose maintenant répondent à ces critères, et je m'en porte plutôt bien, n'en ayant perdu qu'un seul en 2014 sur la centaine posés...

>
> éventuellement dans ce cas, une tentative de gestion de la périimplantite serait
> peut être plus simple à gérer que la dépose de l'implant, sauf si Choixpeau a
> raison, bien sur.

pas sûr que çà ne soit pas une perte de temps d'essayer de le conserver...perso je le dépose et j'en pose un tout beau, tout neuf 8 semaines plus tard mieux positionné...

> L'implant c'est un 46120 (?), il m'arrive de poser du 3.4 pour des molaires
> (depuis 6 ou 7 ans et je n'ai pas de soucis de tenue mécanique ou autre, par
> contre les implants courts ne me font pas spécialement rêver.

implants courts...aujourd'hui on parle d'implants courts pour les moins de 8mm...un 4/10 c'est un implant standard...
les implants courts ne me font pas rêver non plus, mais ils peuvent parfois rendre bien service...


moritooth

25/01/2015 à 12h51

En vous lisant j'ai l'impression d'être de la "vieille ecole". En effet je part toujours de la prothèse pour determiner ce que je vais mettre dessous. Par exemple pour une 46 unitaire ( comme dans ce cas), je recherche un profil d'emergence le plus proche possible de la dent naturelle, donc je pose au minimum du 4,7 de diam. et ensuite je recherche un ancrage d'une longueur aussi proche possible que ce que la nature avait prévu. Et seulement ensuite je reduit selon les conditions anatomiques résiduelles( extractions anciennes...).

C'est vrai que plus on fore profond plus le risque d'echauffement existe, seulement je n'ai jamais abandonné l'irrigation interne, et je me dit que c'est peut-être ça qui m'evite les problèmes. En plus en cas de periimplantite, si on arrive à la stabiliser, il reste encore pas mal d'ancrage. Le côté plus facile à déposer en cas de problème, est certe vrai mais n'ai pas dans ma philosophie, je ne raisone pas en pensant déjà au problème ( comme pour le scellement provisoire s'il faut demonté, ou le pas d'inlay core sur dt nat en cas de repise endo)

Au niveau taux d'echec primaire je suis dans la norme, et après prothèse les fois ou j'ai eu des pépins c'était souvent avec des molaires en forme de "champigon à pied court".

Bon tout ça n'est pas scientifique, j'en conviens mais c'est pour moi un protocole qui fonctionne, donc pas trop envie de changer, mais sur le coup je me sents un peu isolé...sniff!


Photo pluton1b h9n4ea - Eugenol
pluton

25/01/2015 à 14h41

moritooth écrivait:
-------------------
> En vous lisant j'ai l'impression d'être de la "vieille ecole". En effet je part
> toujours de la prothèse pour determiner ce que je vais mettre dessous. Par
> exemple pour une 46 unitaire ( comme dans ce cas), je recherche un profil
> d'emergence le plus proche possible de la dent naturelle, donc je pose au
> minimum du 4,7 de diam. et ensuite je recherche un ancrage d'une longueur aussi
> proche possible que ce que la nature avait prévu. Et seulement ensuite je reduit
> selon les conditions anatomiques résiduelles( extractions anciennes...).

çà c'est toujours quand même d'actualité....sauf que les connexions coniques changent la donne, car d'une plateforme prothétique de l'implant unique ou quasi (1 ou 2 en général) tu peux mettre dessus un pilier plus ou moins large et/ou haut ce qui fait que ton profil d'émergence est identique quel que soit le diamètre de l'implant en dessous...;-)
c'est très sympa et très bon pour "l'économie de santé", çà permet de simplifier les actes et le coût pour le patient...

>
> C'est vrai que plus on fore profond plus le risque d'echauffement existe,
> seulement je n'ai jamais abandonné l'irrigation interne, et je me dit que c'est
> peut-être ça qui m'evite les problèmes. En plus en cas de periimplantite

l'irrigation interne moi je n'en veux plus...c'est un nid à merde in-nettoyable correctement, et quelque part au patient suivant, tu lui ré-injectes toute ce bouillon de culture directement dans l'os....
çà t'évite peut être quelques problèmes d'échauffement...mais pas vraiment les infectieux...

çà me fait penser...irrigation interne...Zimmer??? (il me semble une des dernières marques à proposer ce genre de forets...qui coûtent la peau du cul, donc on les garde jusqu'au bout...pas bon, car un foret qui ne coupe plus, çà chauffe fort...il vaut mieux un foret classique qui coupe bien utilisé à basse vitesse...)


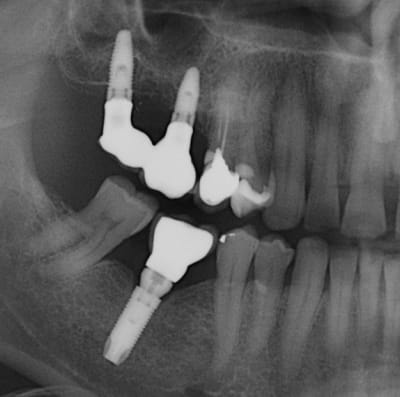
Scan10030 ukikhq - Eugenol
vava

25/01/2015 à 15h07

Je ne pense pas que ce soit une périimplantite et le tabac n’est pas la cause de la perte osseuse mais un facteur aggravant.


Scan10030 ukikhq - Eugenol
vava

25/01/2015 à 15h14

Un implant n’est pas une racine dentaire et à par son emplacement il n’a rien d’une racine.


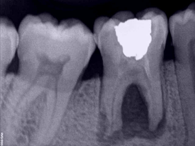
S2y2o1v7q53ws4r5wy6ou8czrpom - Eugenol
pxav

25/01/2015 à 15h30

moritooth écrivait:
-------------------
> En vous lisant j'ai l'impression d'être de la "vieille ecole". En effet je part
> toujours de la prothèse pour determiner ce que je vais mettre dessous. Par exemple pour une 46 unitaire ( comme dans ce cas), je recherche un profil d'emergence le plus proche possible de la dent naturelle, donc je pose au minimum du 4,7 de diam. et ensuite je recherche un ancrage d'une longueur aussi proche possible que ce que la nature avait prévu. Et seulement ensuite je reduit selon les conditions anatomiques résiduelles( extractions anciennes...).
>

Tu raisonnes "dent", et il me semble préférable de raisonner "Implant", tu ne fais pas la pose d'un nouvel organe dentaire, mais d'une prothèse fixée sur une "cheville" en titane, donc il faut un raisonnement plus mécanique, et moins physiologique.

Pour l'irrigation interne, je n'en parlerai même pas tellement le concept me semble dépassé.
Juste pour le plaisir, après stérilisation passe un fil métal dans ton foret et confirme que tu ne trouve que le fil à la sortie...


--
xbk
"Si tous ceux qui croient avoir raison n'avaient pas tort, la vérité ne serait pas loin" Dac Pierre


Scan10030 ukikhq - Eugenol
vava

25/01/2015 à 15h53

Une prothèse remplace une fonction perdu et voir remédie à des critères esthétiques.


moritooth

25/01/2015 à 20h26

pxav écrivait:
--------------
> Pour l'irrigation interne, je n'en parlerai même pas tellement le concept me
> semble dépassé.
> Juste pour le plaisir, après stérilisation passe un fil métal dans ton foret et
> confirme que tu ne trouve que le fil à la sortie...

Bin le fil on le passe systematiquement, avec les loupes, après les US, et avant l'autoclave, donc effectivement je ne suis jamais allez voir après. Mais je vais essayer...Par contre c'est vrai qu'au niveau nettoyage, inspection ça prend plus de temps que des forêt pleins.

Bon, les quelques (rares) problèmes infectieux que j'ai eu, sont difficilement imputables de façon certaine aux forêts, il y avait toujours une cause -malheureusement- beaucoup plus evidente avant.

Par contre les quelques soucis après mise en charge, je les ai quand même quasi toujours eu avec des implants "courts" 8 mm (parfois 10).

Mais comme dit plus haut, sur ma "petite" activité implantaire ( 35 en 2014)j'ai très très peu de Pb, donc c'est vrai que j'hesite à modifier quelques chose...


S2y2o1v7q53ws4r5wy6ou8czrpom - Eugenol
pxav

25/01/2015 à 21h36

ne pas avoir de problème, c'est une bonne chose au début, ça met en confiance, et tu feras des cas de plus en plus compliqués, et tu découvriras le monde des "échecs" ou du moins des problèmes à résoudre.
J'ai connu D57 ou Pluton au début et leurs échecs se situaient de mémoire à moins de 1%, depuis je pense qu'il ont progressé...

--
xbk
"Si tous ceux qui croient avoir raison n'avaient pas tort, la vérité ne serait pas loin" Dac Pierre


Photo pluton1b h9n4ea - Eugenol
pluton

25/01/2015 à 22h41

çà varie entre 1 et 3% par an...donc on peut dire environ 2% d'échec...

sauf quand j'ai posé du Leone....là j'étais à plus de 10% d'échec...
je parle d'échecs primaires, pas prothétiques ni esthétiques...

tu ne m'as pas répondu moritooth, les forets c'est bien des zimmer?


Péach

26/01/2015 à 01h05

bonsoir, ci dessous quelques réflexions personnelles sur cette péri-implantite
Pour limiter les échecs post-op immédiats ou pré-prothétiques, je revois systématiquement le patient 5 à 10 mn à J+3, J+7, j+15 en fonction de la chirurgie (J+7 si flapless), si besoin à j+21, et parfois même j+28, jusqu'à ce que la cicatrisation soit sécurisée et que le contrôle de plaque soit bon. Avec ce protocole, je repère très vite une éventuelle cicatrisation délicate et je peux intervenir immédiatement pour corriger si besoin est. C'est d'autant plus recommandé avec un fumeur, à mon avis.
Par ailleurs, un axiom se pose effectivement en infra osseux d'1/2mm mini, et à priori, il y avait vraiment la place pour le faire. Les conséquences auraient été un peu "moindres" s'il avait été posé de cette manière. Maintenant, ça arrive à tout le monde de ne pas faire la pose parfaite, ça m'est arrivé à moi aussi évidemment.
A part ça, la péri-implantite fait malheureusement partie du jeu et il est parfois très difficile d'expliquer sa venue.
Dans ton cas, si ton implant n'est pas mobile, je le garderai après curetage soigneux sous aide visuelle et décontamination par aeropolissage et bétadine, et ensuite, comblement et membrane avec suture sans tension et couverture AB.
Ce qui me chagrine dans une dépose, s'il est encore fixe bien sûr, c'est que tu risque d'aggraver la perte osseuse existante et de créer un cratère entre la 5 et la 7, ce qui va peut-être compliquer la maintenance paro après la pose de la couronne, ou l'esthétique de la couronne.
Quand une PAP est réalisée sur un implant posé en 1 temps, je fais un contrôle objectif de l'absence totale de contact entre l'implant et la vis de cicatrisation, et un suivi de cette situation à chaque séance de contrôle post-op.
Et je demande au patient de remettre un gel à base de chlorexidine (Elugel) entre la PAP et l'implant après chaque brossage de dents.
Voilà, en espérant avoir pu t'apporter une aide quelconque....


rene

26/01/2015 à 06h05

alice, pas besoin de tourne a gauche

tu prends ton porte implant, tu le mets sur la clé a cliquet et tu devisses

c'est l'inverse de quand tu poses l'implant
il n'y a qu'a retourner la clé a cliquet


rene

26/01/2015 à 06h09

pour la ppa

s'il ne manque que cette dent (molaire non visible) , ne pas mettre une PPA
en 6 mois la dent ne bougera pas , ou si peu que ça ne changera rien


S2y2o1v7q53ws4r5wy6ou8czrpom - Eugenol
pxav

26/01/2015 à 08h29

rene écrivait:
--------------
> alice, pas besoin de tourne a gauche
>
> tu prends ton porte implant, tu le mets sur la clé a cliquet et tu devisses
>
> c'est l'inverse de quand tu poses l'implant
> il n'y a qu'a retourner la clé a cliquet

salut rené
avec précautions car si l'implant est osteoinegré, il y a de gros risques de bloquer le porte implant ou de tordre l'ensemble, il m'est déjà arriver de casser la partie apicale d'implant que je pensais facile à dévisser..
--
xbk
"Si tous ceux qui croient avoir raison n'avaient pas tort, la vérité ne serait pas loin" Dac Pierre


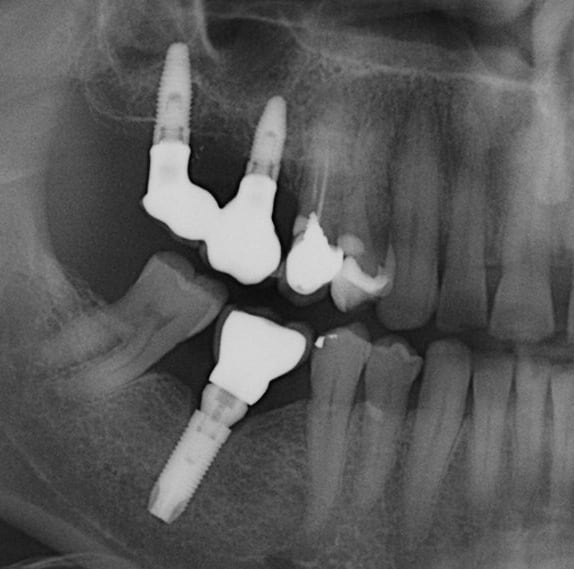
Img 0812 mvp6i0 - Eugenol
jeamba

26/01/2015 à 10h31

Bonjour alice, tu n'y es pour rien dans ce qui t'es arrivé. Voilà le même cas que le tien avec une importante lésion apicale sur une couronne datant de plus de 20 ans. Curetage minutieux et implantation plusieurs mois après. La suite est identique à la tienne. Sur le même patient mais sur la 36, la même lésion, même implantation et exactement la même suite. Pensant comme toi à une erreur de protocole et de toutes les salades dont on t'abreuve sur eugénol, sur la 46, j'ai remis un implant 4 mois après et même suite, j'ai compris et j'ai arrêté. C'est uniquement lié à l'infiltration de ton os par cette très vieille lésion et dont on a beaucoup parlé lors de mes formations en implanto.

R3 xcdmpq - Eugenol
R5 rj6ier - Eugenol
R13 ltqh9f - Eugenol

Smile beach jgh0a1 - Eugenol
Céramik

26/01/2015 à 15h31

jeamba

pourquoi implanter dans un site "douteux" comme celui montré ?

exo, curetage (comblement selon présence ou pas de paroi vestibulaire, autre débat...) puis pose à 2-4-6 mois selon le cas...


--
Céramik


S2y2o1v7q53ws4r5wy6ou8czrpom - Eugenol
pxav

26/01/2015 à 15h45

L'image de l'implant qui a cassé en apical, reprise quelques temps après avec une scie cloche, repose et radio à 5 ans.
Malgré une adaptation prothétique inadéquate, pas de gros problème.
Je précise qu'avant la "fracture" de l'implant, la résorption osseuse allait jusqu'à la partie cassée.

--
xbk
"Si tous ceux qui croient avoir raison n'avaient pas tort, la vérité ne serait pas loin" Dac Pierre

064r gltfyl - Eugenol
071 offez9 - Eugenol
070 vimzuj - Eugenol
072 cwum9a - Eugenol
118r omj1mw - Eugenol

Photo pluton1b h9n4ea - Eugenol
pluton

26/01/2015 à 20h16

pxav écrivait:
--------------

> Malgré une adaptation prothétique inadéquate, pas de gros problème.

bof, tu n'as de toutes façons pas de risque de récidive de carie...;-)
et puis tu as juste fait un deuxième switching plateform...si çà se trouve, la gencive est même plus sympa que vers les autres implants...


Img 0812 mvp6i0 - Eugenol
jeamba

26/01/2015 à 20h43

Céramik écrivait:
-----------------
> jeamba
>
> pourquoi implanter dans un site "douteux" comme celui montré ?
>
> exo, curetage (comblement selon présence ou pas de paroi vestibulaire, autre
> débat...) puis pose à 2-4-6 mois selon le cas...
>
>
> --
> Céramik

Céramik, l'extraction ainsi que le curetage ont été faits un an avant l'implantation. C'était mon premier cas avec une lésion ancienne. Aujourd'hui j'ai compris et si cela m'arrive j'en parlerais des risques avec le patient.
Le but de mon post c'est d'éviter l'autoflagellation à certains de mes confrères en montrant que dans un site "douteux" comme tu dis et très ancien, on a beau prendre toutes les précautions ce n'est pas un gage de réussite et que le risque de péri implantite existe toujours malgré un bon curetage.


S2y2o1v7q53ws4r5wy6ou8czrpom - Eugenol
pxav

26/01/2015 à 21h22

pluton écrivait:
----------------
> pxav écrivait:
> --------------
>
> > Malgré une adaptation prothétique inadéquate, pas de gros problème.
>
> bof, tu n'as de toutes façons pas de risque de récidive de carie...;-)
> et puis tu as juste fait un deuxième switching plateform...si çà se trouve, la
> gencive est même plus sympa que vers les autres implants...

Ce qui est étonnant dans ce cas, c'est que le patient implanté dans les années 96, a perdu ses 3 ou 4 implants (je n'ai pas la fiche) pour cause de peri-implantite (ma première) et ce aussi bien sur du cylindrique que sur du Tatum D4 (20mmx 7 x 4.5)donc avec très gros dégâts à la dépose, et malgré ça le patient voulait du fixe, j'ai ré-implanté ( 6 implants) et plus aucun problème depuis ...
à le patient fumait... 2 à 3 cigarettes / jour et ne fume plus maintenant...
--
xbk
"Si tous ceux qui croient avoir raison n'avaient pas tort, la vérité ne serait pas loin" Dac Pierre


Smile beach jgh0a1 - Eugenol
Céramik

26/01/2015 à 21h33

jeamba écrivait:
----------------

> Céramik, l'extraction ainsi que le curetage ont été faits un an avant
>

Ok, j'avais mal compris, je pensais exo et implantation rapide, voir EII...

1 an d'attente, ça le fait en général ;-)
Comment était la crête le jour de la pose ?


--
Céramik


Img 0812 mvp6i0 - Eugenol
jeamba

27/01/2015 à 12h37

L'extraction a été faite en Février 2010 et la pose en Mai 2011. Quant à la crête j'avais 10mm de large et aucune table lésée. Un cas idéal.


Chiot 1.femelle. - Eugenol
alice

03/02/2015 à 16h14

Hello !
J'ai déposé l'implant hier, sans énorme difficulté (à la clé dynamo avec le porte implant) ; j'ai bien cureté et obtenu des parois osseuses sur tout le long et le fond de l'alvéole.
En revanche, je n'ai pas osé percer le fond de l'alvéole pour chercher le petit morceau de pâte canalaire. j'ai revu le scanner : il y a un peu de tissu de granulation tout autour. Aurais-je dû être plus agressive ?
J'en profite pour vous remercier tous de vos messages !


Chiot 1.femelle. - Eugenol
alice

03/02/2015 à 16h15

Hello !
J'ai déposé l'implant hier, sans énorme difficulté (à la clé dynamo avec le porte implant) ; j'ai bien cureté et obtenu des parois osseuses sur tout le long et le fond de l'alvéole.
En revanche, je n'ai pas osé percer le fond de l'alvéole pour chercher le petit morceau de pâte canalaire. j'ai revu le scanner : il y a un peu de tissu de granulation tout autour. Aurais-je dû être plus agressive ?
J'en profite pour vous remercier tous de vos messages !

1093 x 20150202 175656 xrj2ljzdkn0r 4 n95hq6 - Eugenol