Cookie Consent byPrivacyPolicies.comCas clinique abrasions/usure++/ LA SUITE - Eugenol

Cas clinique abrasions/usure++/ LA SUITE

Orezza gazeuse verre litre ocoxey - Eugenol
casa

30/01/2015 à 22h33

bégaiement ......


David B

31/01/2015 à 02h03

Une fois que l'étiologie sera identifiée et réglée. Le traitement le plus conservateur est la technique 3 step de Vailati.
après c'est vrai que des vomissements répétés ( ex anorexique) seraient à écarter car cela touche davantage les faces palatines du secteur antérieur maxillaire.


titecarie

31/01/2015 à 02h47

Si les finances ne sont pas un problème et que tu gère le collage alors oui la technique de francesca vailati est adapté à ton cas. C'est des cas compliqué mais surtout c'est des cas super intéressant.


Vw campersurfvan bmnk1q - Eugenol
enlaye

31/01/2015 à 09h15

Mais je rêve !!
Depuis le début , je vous dis que c est l ortho qui l a niqué !!
Tu ne vois pas qu' elle est en bout à bout ?
Tu peux coller tout ce que tu veux , elle sera tjs en bout à bout..
Tant que tu y es profites en pour lui coller un saphir de l autre côté.
Ps : avec la digue bien sur .....:=)=)=)=)

Expansion du haut et avancer le bloc ant , il faut commencer par là,
Je dis ça , je dis rien .....


dolcel82

31/01/2015 à 10h59

merci à tous! bon odf sur oui a l'adolescence d'où les extraction de PM ; elle eu un petit trt invasilign ya 7/8ans pour aligner le bloc ant max car les 12/22 etaient derrière
je crois pas qu il y ai eu d'anorexie/vomissements ;
alimentation elle est plutôt du genre plats picard vite fait micro onde;
je vais regarder cette histoire des 3steps.....


David B

31/01/2015 à 15h06

exact enlaye, j'avais pas fait gaffe hier soir mais oui elle a dû bouffer toutes les prématuritées et contraintes occlusales.
donc expansion maxillaire avant restaurations


Utilisateur banni

31/01/2015 à 21h14

TTT : psychothérapie comportementale + vérification générale de l'occlusion + reconstitution au compo de toutes les faces abrasées, si atm ok et perte bruxisme envisager couple de prothèse molaires > < pour stabiliser. Et au milieu une gouttière de bruxisme pour temporiser la perte de matière.


youn

22/02/2015 à 16h05

J'ai le même cas mais sans ortho et pas mal de dents postérieures perdues. Il est en bout à bout, lors de cales comment déterminez vous précisément la DVO idéale pour le patient? Comme en totale et vous les laissez un ou deux mois pour tester et s'il faut vous modifiez?

Je vais lire les article proposés.

Grand phobique mais se laisse soigner maintenant.


dolcel82

22/02/2015 à 19h04

je viens de lire les articles 3 step c hyper interessant!
par contre qd voius parlez d'xpansion max , à l age adulte tu fais ca comment?


Darmon - Eugenol
Latin

23/02/2015 à 00h06

Tu appelles un chir maxillo, il dépose le maxillaire, le coupe dans la longueur en passant par au-dessus pour corriger la dimension transversale et il referme.
Bon,bien-sûr, il faut que ta patiente soit partante pour faire son troisième ttt ortho.


dolcel82

25/02/2015 à 10h26

Je viens de retrouver un modèle de l'année dernière , avant que je fasse les compo, à priori les faces palatines etaient attaquées....

Kathy jxn4ix - Eugenol

dolcel82

19/03/2015 à 00h15

alors je reviens pour ce cas pour ceux qui ont suivi ;
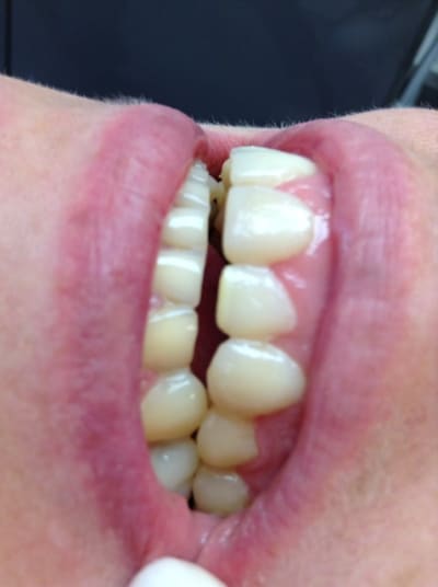
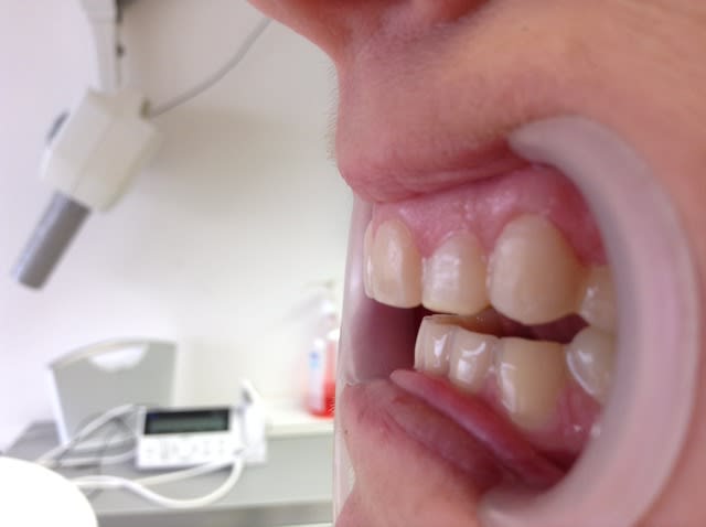
pour ce qui est du diag je pense 2 étio (occlusale et acidité (voir photo emp message précédent)

donc je me suis lancée en suivant les 3 steps de vialiatti ( c'est top car réversible jusuq'à la fin!!)
par contre je cale un peu après l'étape 2 par rapport à la reconstruction du guide antérieur car elle occluse dans 2 positions différentes (d'après vialiatti faut se mettre en OIM ) mais du coup elle a 2 "positions" , le pb c'est que si je prends la plus postérieure des 2 y a un décalage antéro posterieur tel que je saurais pas quoi faire ; je suis tentée de prendre l'autre position mais j'ai l'impression que c pas sa position naturelle ...

des avis??

cijoint les photos car c difficile à expliquer!!

Img 0884 zpwkpa - Eugenol
Img 0882 v6z8eh - Eugenol
Img 0878 y00nbj - Eugenol
Img 0877 znkg9z - Eugenol
Img 0876 a3dkxl - Eugenol
Img 0891 e5clyp - Eugenol
Img 0879 y4pqth - Eugenol
Img 0875 vw7a7w - Eugenol
Img 0880 bmiacu - Eugenol

Vw campersurfvan bmnk1q - Eugenol
enlaye

19/03/2015 à 01h25

Je ne sais pas ce que tu comptes faire mais la 1ere chose a faire est un montage sur articulateur en centrée bien sur .
On dirait qui elle a une spee inverse qui provoquerait une énorme interférence post .tant que l on a pas les modèles en occlusion on peut parler dans le vide .
Mais je confirme comme depuis le début , l ortho , la déglingué , seul l ortho peut faire quelque chose ..


dolcel82

19/03/2015 à 08h30

enlaye écrivait:
----------------
> Je ne sais pas ce que tu comptes faire mais la 1ere chose a faire est un
> montage sur articulateur en centrée bien sur .
> On dirait qui elle a une spee inverse qui provoquerait une énorme interférence
> post .tant que l on a pas les modèles en occlusion on peut parler dans le vide .
> Mais je confirme comme depuis le début , l ortho , la déglingué , seul l ortho
> peut faire quelque chose ..


merci de ta réponse ; pour l'ortho pas possible pour elle ; tu sais comme moi que notre métier est fait de compromis!!

pour ce qui est du plan de traitemement, j'en suis à la fin de step 2 de Vailati (plandent.lt/assets/Uploads/3steppart1final.pdf) ,

c'est à dire que : (c'est la situtation sur les photos de mon précendant post )

- j'ai fait une maquette provisoire du bloc antérieur pour l'esthétique (meme si je pense qu'il faudra encore rallonger un peu les incisives pour que le plan d'occlusion "esthétique" de face suive la courbure de la lèvre inférieure ) ;
- j'ai remonté la DVO avec des compo sur les secteurs post (sauf les 7 pour controler l'augmentation)

l'étape 3 (avant de passer à la reconstitution définitive) c'est le guide antérieur et c'est la que je cale!

ps : dans ce protocole elle préconise de reconstituer en OIM (à moins que j'zi mal compris, tout est en anglais! )

voila!


Vw campersurfvan bmnk1q - Eugenol
enlaye

19/03/2015 à 09h10

dolcel82 écrivait:
------------------

>
> ps : dans ce protocole elle préconise de reconstituer en OIM (à moins que j'zi mal compris, tout est en anglais! )


c est cette phrase que je ne comprend pas !
oim çà veut dire : occlusion en intercuspidie mamimum
ç est une consequence et pas un objectif puiqu'il ny a pas de contacts stables .
c est pour ca que l'on se sert de la centrée puiqu'au moins elle est reproductible.
apres que tu crées un decalage oim / centrée c est ce qu'il faudrait faire , mais avec un bout a bout dans le sens transversal + dent sur dent au niveau pm ce n est pas possible .
normalement c est la 4 du haut qui fait la butée anti retrusive .dans les cas de classe 2 avec beance ce n est pas possible et encore moins quand il n y en a plus .
donc OIM doit etre la CENTREE .
enfin je le vois comme ça .
ps : elle me parait un peu haute ta dvo .


Darmon - Eugenol
Latin

19/03/2015 à 11h26

Tes composites antérieurs lui font un bien plus joli sourire. Ce serait simple s'il n'y avait eu que ça à refaire.

Comment est-ce que tu vas gérer sans ortho la béance antérieure créée par l'augmentation de la hauteur coronaire postérieure? Tu vas augmenter la hauteur des incisives mandibulaires? Parce que pour l'instant elle ne peux plus manger d'artichauts.

Sur ta photo de profil (prise en position allongée... ce qui n'est pas top) on a l'impression qu'elle force un peu pour obtenir un contact bilabial. C'est juste une impression?

Tes photos endobucales latérales montrent qu'il y a en plus un décalage sagittal. Elle est en classe 2 canine bilatérale (on ne voit pas les molaires). Cette position de la mandibule est sans doute accentuée par le repositionnement en relation centrée. Comment vas-tu gérer ce surplomb? En ortho soit tu modifies l'axe des dents soit tu fais un traitement orthochir. Avec des composites je ne sais pas. Mais il y a plein de gens qui vivent avec ça. Tant que ça ne les gêne pas.

Dans ton cas j'ai quand-même l'impression que c'est un ttt ortho qui a foiré étant donné la récidive de palatoversion des centrales maxillaires retraitée par Invisalign® et l'absence de classe 1 en relation centrée. Une céphalométrie est assez utile pour en discuter.

J'ai regardé les photos de départ : elle semblait avoir une occlusion qui ne serait pas pour déplaire à Planas.

Au fait, quel était le motif de consultation?
Si c'était d'avoir des incisives avec une forme normale l'objectif est déjà atteint.
Si c'était plus global, ça va être plus compliqué. Heureusement qu'elle a exclue l'orthodontie d'elle-même, tu pourras le lui dire si un jour elle te reproche de ne pas avoir réglé le problème sagittal.


Avatar transparent iqadnc - Eugenol
adhoc

19/03/2015 à 11h54

Je serais a sa place, je serais content(e) de mes dents :-))
Si elle bruxe, pourquoi pas une gouttiére neutre la nuit?
Elle a en effet une endognatie maxillaire avec relation cuspides cuspides qu'elle a abrasées et a moins d'un quad helix , ca va être techniquement très difficile avec des résultats qui risquent d'être décevants.


RépondreCiter
dolcel82

19/03/2015 à 18h43

mon probleme actuel est la recosntruction du guide antérieur ; dans le protocole de vailati on fait des facettes palatines au maxillaire et on reconstitue en bas avec compo ou facette selon le volume à reconstituer ;

ce qui me gene ici c'est l'overjet (en RC photos 3+8)

l'autre position (photo 7) permet de faire qqch de mieux mais c'est oim (enfin une de ses oim... en fait naturellement elle ferme soit comme photo 7 soit quasi en rc comme photo 3...)
que faire!!

sur la photo bouche fermée de profil elle est dans la position la plus avancée (celle de photo 7) , j'ai pris ca pour voir si le profil etait harmoieux ou si le menton etait trop en avant


Darmon - Eugenol
Latin

19/03/2015 à 19h06

Si tu la reconstitues en RC (photo 8), le surplomb est trop important pour pouvoir réaliser un guidage antérieur. Donc :
1) soit tu la laisses avec sa classe 2 et tu oublies le guidage antérieur
2) soit tu la mets en propulsion.

L'idéal étant toujours d'avoir une OIM la plus proche possible de la RC. Mais pour ça il faut faire de l'ortho ou de l'orthochir selon le décalage. Avec une téléradiographie sagittale tu verrais s'il y a ou non un décalage squelettique.

J'ai regardé le document dont tu as donné le lien, en particulier l'étape des onlays palatins pour réaliser le guidage antérieur. Dans ton cas ça ne sera pas possible si tu conserves la RC (position photos 3 et 8).

Je me demande (tout comme Enlaye) si tu n'as pas un peu trop augmenté la DV. Sur quoi t'es-tu basé pour la déterminer?


Vw campersurfvan bmnk1q - Eugenol
enlaye

19/03/2015 à 21h16

suis allé voir tes 3 etapes ....

c est tres leger comme explication du schema occlusal.
d'ailleur il n'y en a aucune ,aucune photo d'articulateur ou meme d occluseur .ç est bien une stratègie de gonzesse .on dirait du seespan ( question occlusion ).

alors il y a que 3 etapes pcq il ne peut y en avoir 4 , la 3 eme estant au petit bonheur la chance il n y a ni validation ni essayage possible , et la 3 eme est interdependante des 2 precedentes , en RC ou en OIM ( poum-ploum je te mettrais en oim ....a la folie ou pas du tout ...et mistal gagnant )
en fait la 3 eme depend uniquement du wax up du labo :-)))))))

partir sur un boulot de grande etendue sans connaitre la centrée , ç est comme un navigateur qui part sans carte ni compas.tant qu'il fait beau en navigant à vue tout va bien . mais des qu'il fait nuit il est perdu...


dolcel82

20/03/2015 à 21h09

C vrai que pour ce qui est de l augmentation de dvo dans les articles c un peu au feeling...

Dans ce cas on a choisi la nouvelle dvo en reconstituant la partie manquante des dents ( inotialement les faces vestibulaires sont verticales la partie au-dessus du bombé a disparu, c ca qu'on a reconstruit 1/3 au haut 1/5 en bas si je me souviens s bien de les cours d anat dentaire), ce qui ne tient pas compte d une éventuelle égression.... Mais en tous cas elle ne se plaint pas de sa dvo...
Donc d après vous je reconstruis en rc ( donc classe2) et tant pis pour la hier ant...


Vw campersurfvan bmnk1q - Eugenol
enlaye

20/03/2015 à 21h18

oui oui en rc bien sur .
prend lui la main et retourne lui les doigts doucement , si elle est laxe , fait gaffe a ne pas lui enregitrer une position trop retruse quand meme .
prend 3 cires de centréé et monte le haut sur split cast pour comparer les 3 positions .
tu nous remercieras , ce n'est pas du temps perdu ;-))
ps : baisse un poil sa dvo pour avoir un profil de levres plus pulpeuses


Image saznoz - Eugenol
Hodina

21/03/2015 à 11h03

dolcel82 écrivait:
------------------
> alors je reviens pour ce cas pour ceux qui ont suivi ;
> pour ce qui est du diag je pense 2 étio (occlusale et acidité (voir photo emp
> message précédent)
>
> donc je me suis lancée en suivant les 3 steps de vialiatti ( c'est top car
> réversible jusuq'à la fin!!)
> par contre je cale un peu après l'étape 2 par rapport à la reconstruction du
> guide antérieur car elle occluse dans 2 positions différentes (d'après vialiatti
> faut se mettre en OIM ) mais du coup elle a 2 "positions" , le pb c'est que si
> je prends la plus postérieure des 2 y a un décalage antéro posterieur tel que je
> saurais pas quoi faire ; je suis tentée de prendre l'autre position mais j'ai
> l'impression que c pas sa position naturelle ...
>
> des avis??
>
> cijoint les photos car c difficile à expliquer!!

Utilise un déprogrammeur.
Une sorte de JIG qu elle garde en bouche plusieurs jours, mais qui est invisible.
En palatin des incisives il y a un petit plateau.
Quand tu le revois, avec du papier articulé, quand elle ferme, elle doit toujours fermer dans 1 seule position: tu as donc sur ce plateau un seul point bleu.
Si elle ferme encore dans plusieurs positions, elle reste encore quelques jours avec le déprogrammeur.
Quand c est ok, montage en articulateur dans SA position.
Et la, t es sur pour commencer d etre dans LA bonne position.


Vw campersurfvan bmnk1q - Eugenol
enlaye

21/03/2015 à 13h58

Hodina , je pense que quand dolcel enregistre plusieurs positions , c est qu' elle joue avec les interférences qu' elle a créé avec les compos.
Le fait d enregistrer la centrée , les dents ne se touchent pas . ( c est l intérêt de la chose )
Donc avec la cire d enregistrement ça devrait suffire je pense .
Ce que tu dis est bien quand il y à déplacement discal , ou des contractures a supprimer ce qui n est pas le cas ici , enfin pas encore :)


Darmon - Eugenol
Latin

25/04/2015 à 23h25

Alors? Où en es-tu?

--
`·.¸¸.·´¯`·.¸¸.·´¯`·.¸¸.·´¯`·.¸ ><((((((º>


12