Tous les forums
meilleur moteur endo+localisateur
01/02/2015 à 23h32
@chicot :
1/ je n'utilise pas un bague bleue mais un CA endo dédié
2/ La vitesse d'exécution ne dépend pas de ça mais du praticien et de la manière dont l'assistante collabore. Avec 6 contre angles dédiés, ce que tu gagnes en temps au fauteuil elle le perd en sté. C'est une bonne façon de faire dans un contexte de forte fréquentation du cabinet par une patientèle nombreuse, mais ce n'est pas nécessaire dans tous les cabinets.
02/02/2015 à 00h29
Je suis tout seul au fauteuil. Je ne suis pas persuadé si tous les instruments nécessaires à l'endo sont chacun sur leur propre moteur que ca fasse gagner énormément de temps de travailler à 4 mains.
Ce qui fait perdre du temps c'est de changer d'instrument sur un moteur unique.
C'est d'ailleurs la meme chose avec les fraises. J'ai 3 bagues rouges et un bague bleue sur 4 moteurs pour les soins.
02/02/2015 à 13h04
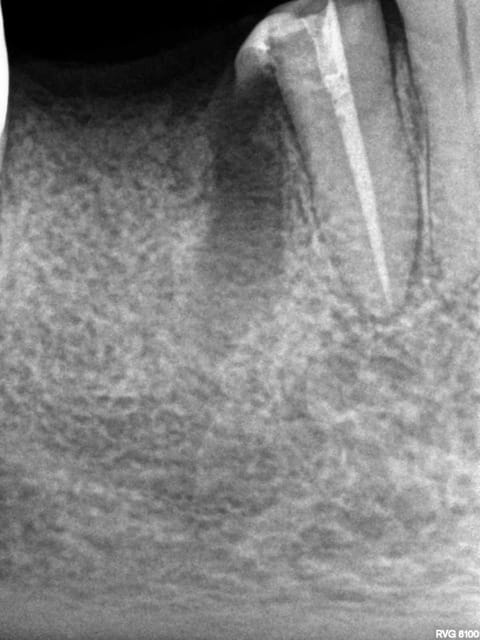
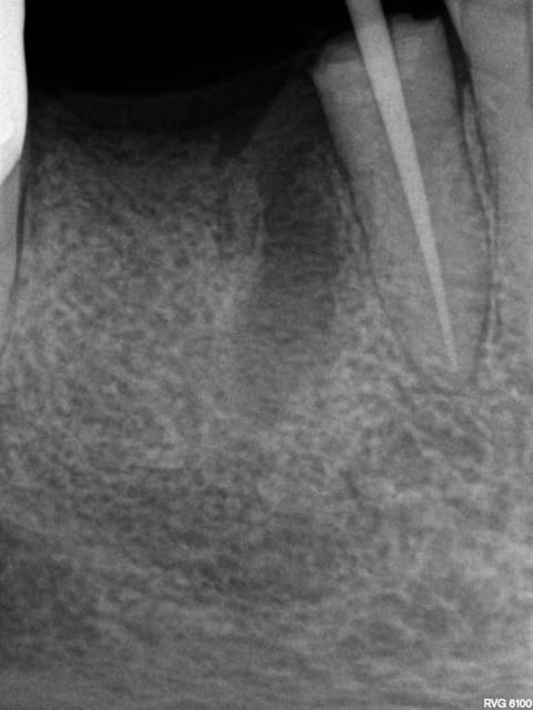
Exemple endo 45 taille empreinte. ( mac spaden) 35 mn.
Radio cone en place, cone scellé, mac spaden, logement tenon.
Manque de la place sur les trays zirc, ca serait bien d'en avoir des plus grands-)))))
02/02/2015 à 15h16
Ou trouve t-on ces éléctrodes à fourches ? Je n'ai que celles fournies avec mon mini root zx.
merci d'avance
02/02/2015 à 15h55
CoCr écrivait:
--------------
> Ou trouve t-on ces éléctrodes à fourches ? Je n'ai que celles fournies avec mon
> mini root zx.
> merci d'avance
+1
la pince sur les limes c'est chiant et empêche de mesurer convenablement la LT
02/02/2015 à 16h59
Adressez vous à l'importateur Morita : Générique International
Je suppose qu'ils vous renseigneront
02/02/2015 à 20h09
Marc Apap écrivait:
-------------------
> Adressez vous à l'importateur Morita : Générique International
> Je suppose qu'ils vous renseigneront
De prime abord, cela ne fait pas partie des pièces détachées Morita ?
Et les tiens, ils viennent d'où ?
02/02/2015 à 20h47
Et bien voilà : j'ai un root z x pas mini car il a plusieurs années, et ce sont les mêmes électrodes (j'en ai acheté 3)
02/02/2015 à 23h59
Marc Apap écrivait:
-------------------
> Et bien voilà : j'ai un root z x pas mini car il a plusieurs années, et ce sont
> les mêmes électrodes (j'en ai acheté 3)
merci Marc
16/05/2015 à 17h19
Bonjour Marc,
Voilà bientôt 3 ans que j'ai un mini Root ZX et je trouve que le plastique au niveau de la tête travaille beaucoup et j'ai bien l'impression que ça ne va pas tarder a casser.
Avez vous rencontrer des problèmes similaires ?
L'avez vou fait réparer ou entretien quelconque ?
Merci d'avance