Cookie Consent byPrivacyPolicies.commeilleur moteur endo+localisateur - Eugenol

meilleur moteur endo+localisateur

Marque a3 orange fyvhyq - Eugenol
Marc Apap

01/02/2015 à 23h32

@chicot :
1/ je n'utilise pas un bague bleue mais un CA endo dédié
2/ La vitesse d'exécution ne dépend pas de ça mais du praticien et de la manière dont l'assistante collabore. Avec 6 contre angles dédiés, ce que tu gagnes en temps au fauteuil elle le perd en sté. C'est une bonne façon de faire dans un contexte de forte fréquentation du cabinet par une patientèle nombreuse, mais ce n'est pas nécessaire dans tous les cabinets.


Capture d  cran 2015 03 12 12.28 - Eugenol
chicot29

02/02/2015 à 00h29

Je suis tout seul au fauteuil. Je ne suis pas persuadé si tous les instruments nécessaires à l'endo sont chacun sur leur propre moteur que ca fasse gagner énormément de temps de travailler à 4 mains.
Ce qui fait perdre du temps c'est de changer d'instrument sur un moteur unique.
C'est d'ailleurs la meme chose avec les fraises. J'ai 3 bagues rouges et un bague bleue sur 4 moteurs pour les soins.


Capture d  cran 2015 03 12 12.28 - Eugenol
chicot29

02/02/2015 à 13h04

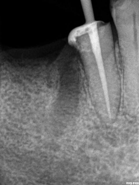
Exemple endo 45 taille empreinte. ( mac spaden) 35 mn.

Radio cone en place, cone scellé, mac spaden, logement tenon.

Manque de la place sur les trays zirc, ca serait bien d'en avoir des plus grands-)))))

1 h8rv3e - Eugenol
2 rqkzgg - Eugenol
3 ndxw4u - Eugenol
4 jj5gfc - Eugenol
5 lwmffj - Eugenol
6 ncguua - Eugenol
7 nvrr8o - Eugenol

CoCr

02/02/2015 à 15h16

Ou trouve t-on ces éléctrodes à fourches ? Je n'ai que celles fournies avec mon mini root zx.
merci d'avance


Toriko ucqp9i - Eugenol
Giantcoco

02/02/2015 à 15h55

CoCr écrivait:
--------------
> Ou trouve t-on ces éléctrodes à fourches ? Je n'ai que celles fournies avec mon
> mini root zx.
> merci d'avance

+1
la pince sur les limes c'est chiant et empêche de mesurer convenablement la LT


Marque a3 orange fyvhyq - Eugenol
Marc Apap

02/02/2015 à 16h59

Adressez vous à l'importateur Morita : Générique International
Je suppose qu'ils vous renseigneront


CoCr

02/02/2015 à 20h09

Marc Apap écrivait:
-------------------
> Adressez vous à l'importateur Morita : Générique International
> Je suppose qu'ils vous renseigneront

De prime abord, cela ne fait pas partie des pièces détachées Morita ?

Et les tiens, ils viennent d'où ?


Marque a3 orange fyvhyq - Eugenol
Marc Apap

02/02/2015 à 20h47

Et bien voilà : j'ai un root z x pas mini car il a plusieurs années, et ce sont les mêmes électrodes (j'en ai acheté 3)


CoCr

02/02/2015 à 23h59

Marc Apap écrivait:
-------------------
> Et bien voilà : j'ai un root z x pas mini car il a plusieurs années, et ce sont
> les mêmes électrodes (j'en ai acheté 3)

merci Marc


gtdent

16/05/2015 à 17h19

Bonjour Marc,

Voilà bientôt 3 ans que j'ai un mini Root ZX et je trouve que le plastique au niveau de la tête travaille beaucoup et j'ai bien l'impression que ça ne va pas tarder a casser.
Avez vous rencontrer des problèmes similaires ?
L'avez vou fait réparer ou entretien quelconque ?

Merci d'avance


12