Cookie Consent byPrivacyPolicies.comMerveilleuse nomenclature - Eugenol
moritooth

05/02/2015 à 11h06

Cingulum écrivait:
------------------
> Je sais pas, je fais pas le devis avant de savoir ce qui va être pris en charge.

Genre tu demandes au patient le tableau des prestations de sa mutuelle et tu adaptes ton devis? si c'est ça c'est limite !après faut pas se plaindre que les mutuelles nous tirent dessus.

Normalement le plan de traitement et le devis qui va avec ne doivent pas dépendre des remboursements de la mutuelle.

En plus certains ont des mutuelles minables mais des possibilités financières, d'autres sont au SMIC mais des mutuelles de gandes boite à 600%, et enfin si tu te plantes dans les calculs( parfois alambiqués) de la complémentaires le patient te tiens pour responsable.

Perso, ça fait longtemps que je ne veux plus voir les papiers des mutuelles.


RépondreCiter
cocoladent

05/02/2015 à 11h14

moritooth écrivait:
-------------------
> Cingulum écrivait:
> ------------------
> > Je sais pas, je fais pas le devis avant de savoir ce qui va être pris en
> charge.
>
> Genre tu demandes au patient le tableau des prestations de sa mutuelle et tu
> adaptes ton devis? si c'est ça c'est limite !après faut pas se plaindre que les
> mutuelles nous tirent dessus.
>
> Normalement le plan de traitement et le devis qui va avec ne doivent pas
> dépendre des remboursements de la mutuelle.
>
> En plus certains ont des mutuelles minables mais des possibilités financières,
> d'autres sont au SMIC mais des mutuelles de gandes boite à 600%, et enfin si tu
> te plantes dans les calculs( parfois alambiqués) de la complémentaires le
> patient te tiens pour responsable.
>
> Perso, ça fait longtemps que je ne veux plus voir les papiers des mutuelles.

+1 , merci je me sens moins seul ...


RépondreCiter
Capture d  cran 2015 03 12 12.28 - Eugenol
chicot29

05/02/2015 à 11h17

roger chicot écrivait:
----------------------
> Réponse anticonfraternelle, désolé...
>
> C'est de la mutilation si tu fais l'endo !
>
> Et c'est inadmissible, revois ta copie...
>
> Et j'espère que les cdc ne nous lisent pas ce matin et que ton sujet passe vite
> aux oubliettes.
>
> IC + CCM sur cette 6, et on nous traite de voleur... Cherchez l'erreur.

Dis donc. Je propose les solutions j'éclaire fortement dans le sens de l'onlay et malgré tout le patient choisit la solution la plus délabrante car la mieux remboursée par ce système de merde et c'est à moi de revoir ma copie ?


cocoladent

05/02/2015 à 11h18

Cingulum écrivait:
------------------
> "Le patient éclairé choisit."
>
> Eclairé sur quoi ?? sur ce que ça va lui coûter ou ce que ça va lui rapporter...
>
> Tu l'éclaires :
> - sur les risques endo ? .. casse, dépassement, infection à moyen long terme,
> perfo...
> Sur le pronostic moins bon des restaurations sur dent dépulpée que sur dent
> pulpée ?
> Sur les conséquences esthétiques, biologiques et mécanique d'une dent
> dépulpée...
>
> Tu éclaires personnes... Tu mets le patient devant un choix financier...
> Alors que ton métier est de choisir le meilleur traitement pour l'avenir des
> dents de ton patient ....
>
>
> --
> Dr Cingulum
> -----Ancien interné----
> ----Attaché à l'apex----
> http://www.clinic-all.fr/ formation par passion

Exact , l'éclairage dépend de la torche que tu utilises . Entre un compo bien fait et une dévitalisation toujours aléatoire , un IC mal adapté et une céram au joint incertain ... On se retrouve dans 20 ans et on compte les points ? Je suis certain que le compo sera toujours là .


Capture d  cran 2015 03 12 12.28 - Eugenol
chicot29

05/02/2015 à 11h22

cocoladent écrivait:
--------------------

>
> Exact , l'éclairage dépend de la torche que tu utilises . Entre un compo bien
> fait et une dévitalisation toujours aléatoire , un IC mal adapté et une céram au
> joint incertain ... On se retrouve dans 20 ans et on compte les points ? Je suis
> certain que le compo sera toujours là .

C'est sur en passant 1 H sous digue on peut faire un compo qui tient la route. Pour 40,97 par contre je ne me donne pas 20 ans pour changer de boulot.
Question torche avoir investi dans un cerec ca te suffit comme éclairage ? tu crois que j'avais investi dans 80 000 euros pour finir par faire des ic coiffe ?


moritooth

05/02/2015 à 11h26

chicot29 écrivait:
------------------
> Dis donc. Je propose les solutions j'éclaire fortement dans le sens de l'onlay
> et malgré tout le patient choisit la solution la plus délabrante car la mieux
> remboursée par ce système de merde et c'est à moi de revoir ma copie ?

C'est toi l'"homme de l'art", pas le patient.

En tout cas sujet et débat très interessant sur le fond.


003 penrd2 - Eugenol
Cingulum

05/02/2015 à 11h28

moritooth écrivait:
-------------------
> Cingulum écrivait:
> ------------------
> > Je sais pas, je fais pas le devis avant de savoir ce qui va être pris en
> charge.
>
> Genre tu demandes au patient le tableau des prestations de sa mutuelle et tu
> adaptes ton devis? si c'est ça c'est limite !après faut pas se plaindre que les
> mutuelles nous tirent dessus.
>
> Normalement le plan de traitement et le devis qui va avec ne doivent pas
> dépendre des remboursements de la mutuelle.
>
> En plus certains ont des mutuelles minables mais des possibilités financières,
> d'autres sont au SMIC mais des mutuelles de gandes boite à 600%, et enfin si tu
> te plantes dans les calculs( parfois alambiqués) de la complémentaires le
> patient te tiens pour responsable.
>
> Perso, ça fait longtemps que je ne veux plus voir les papiers des mutuelles.

Fautes de réthorique bien sur, je voulais dire, que je fais un devis, sans me demander ce qui va être rembourser... Je considère que la prise en charge c'est le problème du patient... Je ne propose plusieurs devis, que quand deux solutions me paraissent équivalente, ce qui est rare... (bridge sur deux dans abimées, versus un implant avec soulèvement de sinus par exemple)
Le patient me demande souvent s'il doit envoyer le devis à sa mutuelle, je lui dit que c'est pour lui, s'il veut connaitre la prise en charge que de toute façon la mutuelle rembourse sur présentation de facture, et que cela ne change rien de l'envoyer ou non...

Le patient paye mes soins, et se fait rembourser par les organismes de prise en charge. Je suis pas là pour qu'il soit bien remboursé, ou que ça lui coûte rien... je suis là pour le soigner au mieux...
Si financièrement ce que j'ai décidé comme thérapeutique n'est pas faisable, je propose une solution alternative, et qui ne lui fait pas perdre de chance... mais qui est forcément moins bien

Je refuse d'extraire une dent que je peux conserver, je refuse de retirer une pulpe que je peux garder...


--
Dr Cingulum
-----Ancien interné----
----Attaché à l'apex----
http://www.clinic-all.fr/ formation par passion


moritooth

05/02/2015 à 11h34

Cingulum écrivait:
------------------
> Fautes de réthorique bien sur, je voulais dire, que je fais un devis, sans me
> demander ce qui va être rembourser... Je considère que la prise en charge c'est
> le problème du patient...
.....

OK, alors on est exactement sur la même longueur d'ondes !


003 penrd2 - Eugenol
Cingulum

05/02/2015 à 11h38

Chicot, il y a des indications pour les compo, pour les onlay et pour les couronnes...
Là c'est une indication parfaire d'onlay.. on peut pas être plus dedans...
Pourquoi faire un devis de couronne + Inlay core (avec des tarifs alambiqués pour que cela coute rien au patient...)

Ensuite, compare le NB de RDV, temps passé, à faire IC et couronne avec les autres solutions.
Tu verras que le plus rentable serait de faire la couronne sur dent vivante.
Le faible rémunération du traitement endo, n'est pas compensé par ton IC, si tu intégres les séances supplémentaire, et les frais de labo...
;=)

Tu as pas répondu à ma question, si il reste 300€ à charge sur IC+couronne, tu fais quoi tu extraies ?.....



--
Dr Cingulum
-----Ancien interné----
----Attaché à l'apex----
http://www.clinic-all.fr/ formation par passion


Capture d  cran 2015 03 12 12.28 - Eugenol
chicot29

05/02/2015 à 12h02

Ca n'arrive que rarement. temporisation ic provisoire si reste à charge trop lourd.


003 penrd2 - Eugenol
Cingulum

05/02/2015 à 12h10

chicot29 écrivait:
------------------
> Ca n'arrive jamais.

Et sur un bridge, ou sur un implant ...

--
Dr Cingulum
-----Ancien interné----
----Attaché à l'apex----
http://www.clinic-all.fr/ formation par passion


Capture d  cran 2015 03 12 12.28 - Eugenol
chicot29

05/02/2015 à 12h19

Claquos résine ou rien si postérieur. On fait avec les moyens du bord.
Je ne fritte JAMAIS des dents saines pour un bridge ( je n'en fait quasiment jamais).
Si le patient n'est pas remboursé et n'a pas un kopec devant lui ( cas de plus en plus fréquent par les temps qui courent) tu fais quoi toi ? Tu travailles gratuitement ?


003 penrd2 - Eugenol
Cingulum

05/02/2015 à 12h37

je pourrais te répondre comme toi, cela n'arrive jamais ;)

Mais je n'ai pas de refus sur des onlays....
Quand on peut pas faire on peut pas faire...
Soit on gagne du temps (gros compo), soit on étale les règlements,
mais le patient sait qu'il n'a pas été "soigné", "guerri", que c'est paliatif.
Et encore une fois je lui dit que j'extrait pas une dent que je peux sauver et je dépulpe pas sans symptome pulpaire irréversible...


Tu fais en sorte que ça coute rien au patient d'être mal soigné (mode provocateur ON), et ils viennent pour ça

Je fais en sorte que mes patients repartent avec un traitement qui leur donne les meilleurs chances de garder ses dents le plus longtemps possible, et ils viennent pour ça... ;)


--
Dr Cingulum
-----Ancien interné----
----Attaché à l'apex----
http://www.clinic-all.fr/ formation par passion


Capture d  cran 2015 03 12 12.28 - Eugenol
chicot29

05/02/2015 à 13h27

Bien sur tu temporises avec des gros composite......
Comme ca ? Et moi je continue comme ca ! -)))))
Le patient finit par etre bien soigné comme ca ! -))))
En fait on est complémentaires lol ! ( mode provocation on)
Envoies les moi direct, on gagnera du temps.-))))

1 kwav6h - Eugenol
2 hmzzjx - Eugenol
3 hqw0co - Eugenol
4 ruuozr - Eugenol
5 ivtvyc - Eugenol
6 xezjyh - Eugenol
7 fiegu2 - Eugenol
8 xdy7c5 - Eugenol

Jack 2 wm3tqs - Eugenol
trepo

05/02/2015 à 13h30

Je dois pas être bon communiquant et/ou commerçant parce que avec un discours comme celui là, les gros pâtés de compos sont légion chez moi ... même si je m'emmerde à les sculpter sous digue.


Capture d  cran 2015 03 12 12.28 - Eugenol
chicot29

05/02/2015 à 13h48

trepo écrivait:
---------------
> Je dois pas être bon communiquant et/ou commerçant parce que avec un discours
> comme celui là, les gros pâtés de compos sont légion chez moi ... même si je
> m'emmerde à les sculpter sous digue.

C'est bien les gens désintéressés. Faire des compos sous digue pour 40,97 euros prix maximum tout en ayant de bons rapports avec son banquier je sais pas faire.
Mais peut etre ai je raté un épisode dans ma Bretagne profonde. Une adresse de formation continue peut etre ?-))))


Azerty06

05/02/2015 à 14h09

bonjour,
chicot s'est adapté à sa patientèle, il n'y a pas d'autres choix. Les patients ne peuvent pas toujours faire les traitements indiqués, faute de moyens.


Orezza gazeuse verre litre ocoxey - Eugenol
casa

05/02/2015 à 14h40

chicot29 écrivait:

> C'est bien les gens désintéressés. Faire des compos sous digue pour 40,97 euros
> prix maximum tout en ayant de bons rapports avec son banquier je sais pas
> faire.
> Mais peut etre ai je raté un épisode dans ma Bretagne profonde. Une adresse de
> formation continue peut etre ?-))))

Tout dépend de son train de vie .... en tous cas je suis aussi scotchée que tu puisses proposer de tels choix à tes patients .. c'est toi le "médecin" il me semble . Soit elle a les moyens de s'offrir l'onlay et tant mieux pour elle , soit elle ne les a pas et là c'est 40,97 et à surveiller puisque bien sur en bonne cliente et en bon praticien tu vas la revoir une fois pas an ..il sera alors toujours temps de voir ce qu'il en est . De toute façon même son onlay il est pas garanti à vie ...

Autre petite remarque plaçons nous,maintenant du coté du payeur , c'est à dire la sécu , la mutuelle .. et en fait, derrière, "nous" ..oh ben mince chicot , tu nous coûtes cher:presque autant qu'un cmu en fait , mode provoc on ... tu connais ?


RépondreCiter
Toothache

05/02/2015 à 14h51

Il y en a qui vive d'Amour et d'Eau Fraiche.
Je les admire.

Chicot n'a fait que son devoir, présenter plusieurs devis a son patient, Devoir d'info respecté.

Un seul devis est insuffisant devant les tribunaux....

Après le choix du patient, c'est son choix.....


4a338550 6a5b 47ea b2a7 d3cb675c5076 oni5gh - Eugenol
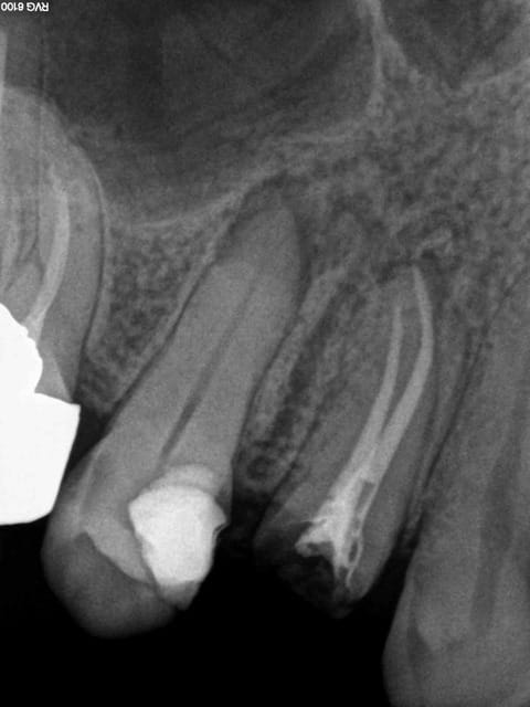
fistule69

05/02/2015 à 14h56

Post de depart !
Honnêtement, la dent est quand même bien niquée !
Fêlure mesiale et distale, le curetage n'est pas complet sur l'arrête restante.
Une couronne, c'est pas une connerie, patient 25-35 on tente l'onlay, patient 45-55, je couronne directement !
C'est une 6 ! 150 kg pression au cm2 !

J'aime bien les Zorros dentistes, moi, moi, moi, moi !

Chacun monte sa sauce à sa façon et vive le libéral !

Chicot, faut bien remplir le réservoir du 6 cylindres !
😷😇


003 penrd2 - Eugenol
Cingulum

05/02/2015 à 15h01

adhésion 30 mPA = 300Kg au Cm² ...
Tenon dans une racine avec les KG ?
Combien de temps tu garanties l'étanchéité sous la couronne ?....
La meilleure endo c'est la pulpe

La couronne sur une dent vivante dans ce cas précis, ne me semble pas un mauvais choix.... Vaut mieux une couronne bien adaptée sur dent vivante, qu'un onlay mal collé...

Par contre quel intérêt de dépulper ? Si c'est pour que ça coûte rien au patient parce qu'on fait un IC à 350€ ... je comprends vraiment pas !

--
Dr Cingulum
-----Ancien interné----
----Attaché à l'apex----
http://www.clinic-all.fr/ formation par passion


4a338550 6a5b 47ea b2a7 d3cb675c5076 oni5gh - Eugenol
fistule69

05/02/2015 à 15h06

Cingulum, je pense comme toi en fonction de l'indication et de la motivation du patient !
D'ailleurs, j'ai un problème similaire à evaluer avec toi.
Je passe te voir prochainement à ton cabinet
A bientôt
Cedric


Orezza gazeuse verre litre ocoxey - Eugenol
casa

05/02/2015 à 15h14

heureusement que la médecine ..la vraie ! ne tient pas ce genre de raisonnement ...parce que visiblement ne pas "vivre d'amour et d'eau fraiche" fait parti du choix thérapeutique ....Soyons sérieux combien parmi nous, n'avons nous pas "soigner" de telle dent avec un SC 15 ... pour ma part j'en ai plein les "cartons " ... et au pire ça finit comment .. en couronne ..j'ai bien dit "pire" !!! Mais au fait l'amputation et la prothèse de jambe est elle mieux prise en charge que la prothèse de hanche ?

Ce métier est foutu .....!


Jack 2 wm3tqs - Eugenol
trepo

05/02/2015 à 15h36

chicot29 écrivait:
------------------
> trepo écrivait:
> ---------------
> > Je dois pas être bon communiquant et/ou commerçant parce que avec un discours
> > comme celui là, les gros pâtés de compos sont légion chez moi ... même si je
> > m'emmerde à les sculpter sous digue.
>
> C'est bien les gens désintéressés. Faire des compos sous digue pour 40,97 euros
> prix maximum tout en ayant de bons rapports avec son banquier je sais pas
> faire.
> Mais peut etre ai je raté un épisode dans ma Bretagne profonde. Une adresse de
> formation continue peut etre ?-))))

Nonon, perso je suis d'accord avec toi, je pense qu'on a à peu de chose près la même patientèle.
Mes propos étaient plutôt destinés à Cingulum.
J'aimerais faire des onlays sur chaque indications d'onlays, mais c'est bizarre, les gens préfèrent les gros pâtés de compo. Déjà pour une couronne sur dent dévitalisée, c'est souvent la croix ...


youn

05/02/2015 à 15h41

Vous semblez un petit peu craquer ici. Ce que fait chicot combien le font?

Je suis d'accord je ne fais pas cela et je ne demande pas les contrat mutuelles, mais soyons francs pour m'installer je sais que je cherche dans des secteurs particulièrement aisés. Pour le quidam moyen le remboursement est LE critère de choix.

Pour ce qui est de la couronne avec et sans IC, bien sûr que sans c'est plus cher, c'est déjà beaucoup plus chiant à faire (cureter la carie en étant conservateur au max, hybridation, séance de collage sous digue), ça prend en gros deux fois plus de temps.

Ceux qui mettraient un compo là dessus, c'est une blague ou quoi? Vous pensez sincèrement que votre patient avec un compo reviendra pour la suite (si y'en a 1/20 qui revient dans 6 mois ou 1 an avec des sous pour la suite...), et entre un compo aussi volumineux sur molaire qui commence à se fissurer et une IC-CCM bien faite, le choix est très vite fait. Pour moi c'est le traitement proposé qui a la durée de vie la plus courte.

Je suis sûr que le patient a été averti du risque de la pulpo, on lui a proposé avec et sans, c'est lui qui voit.

A quand l'IC déremboursé, et la Couronne au remboursement augmenté d'autant, et l'assimilation de l'inlay/onlay/overlay à une couronne?

Et pour finir l'IC plus cher que la Couronne, c'est visiblement d'après la Sécu ce qui devrait être le standard, on ne peut pas nous reprocher d'appliquer la politique de la Sécu, nous ne faisons pas les remboursements et ça se voit.


123...