Cookie Consent byPrivacyPolicies.comMerveilleuse nomenclature - Eugenol
youn

06/02/2015 à 21h19

enlaye écrivait:
----------------
> ha ,celles qui qui ne sont pas garanties 3 ans :_)))))

Effectivement non, celles là elles sont garanties rien du tout. On est même prévenu que si elles durent 6 mois c'est bien. Mais je constate que même ça ça dure plus longtemps...Y'en a une j'aurais vraiment dû prendre des photos. Mais ça concerne des amputations, hémisections, et dents très très délabrées...

Désolé photos de portable... Mais des cas comme ça.

Radicular amputation 1  1  iro045 - Eugenol
Radicular amputation 1  2  ukugxv - Eugenol
Radicular amputation 1  3  if5b7t - Eugenol

Vw campersurfvan bmnk1q - Eugenol
enlaye

06/02/2015 à 21h28

moritooth écrivait:
-------------------
> Je vois pas ou est le transfert, je vois pas ou est le cuivre. quand on veut pas comprendre...

tu prends une bague de cuivre , tu mets de la resine auto dedans et tu l enfonce sur le moignon en faisant un chapeau sur le haut . environ 30s + 1mn pour durcir la resine

tu retires et tu coupe aux ciseaux le cuivre qui depasse d 1 mm de la limite .environ 30s

tu evides la resine auto de l'epaisseur de lite que tu mettras.. eniron 60s le temps de trouver la fraise , pas celle ou la resine a deja fondu dessus et que tu t etais dit je le ferais plus tard et qe t'yas pas fait....

voila c est fini . le jour de l empreinte tout est pret:
tu met du light dedans , tu l'enfiles sur le moignon et tu prends la sur empreinte au silicone .

ps pour les reconstitutions totales on prend la sur empreinte au platre ....


Orezza gazeuse verre litre ocoxey - Eugenol
casa

06/02/2015 à 21h36

"Garantie 3 ans" mais tu te barres au bout d'un an ... c'est facile .. et ton dernier cas: ben oui t'as fait une CCM .... mais c'est un de 3 cas qui s'est descellé ? Youn t'as sans doute été un excellent étudiant , t'as plein d'idées , t'es loin d'être idiot mais pour ce qui est du boulot , ton recul me parait vraiment limite .. cela fait combien de temps que tu es chez nos amis grands bretons : 6 mois , 8 mois ...tu nous parles de ta centaine d'onlay posés là bas et aucun n'est tombé ... c'est formidable ! mais tu vois pas où est le problème dans ton témoignage et ton recul ? autant de certitude dans une si jeune tête !


Vw campersurfvan bmnk1q - Eugenol
enlaye

06/02/2015 à 21h49

en tout cas ,on est hors sujet avec ces empreintes profondes :
le propos de chicot etant :
" a cause de la nomenclature on fait une couronne a la place d un onlay "

si la limite est profonde , on ne colle plus ,donc pas d'onlay


Vw campersurfvan bmnk1q - Eugenol
enlaye

06/02/2015 à 21h50

.


Vw campersurfvan bmnk1q - Eugenol
enlaye

06/02/2015 à 21h50

.


Vw campersurfvan bmnk1q - Eugenol
enlaye

06/02/2015 à 21h51

.


Vw campersurfvan bmnk1q - Eugenol
enlaye

06/02/2015 à 21h51

.


Vw campersurfvan bmnk1q - Eugenol
enlaye

06/02/2015 à 21h52

en tout cas ,on est hors sujet avec ces empreintes profondes :
le propos de chicot etant :
" a cause de la nomenclature on fait une couronne a la place d un onlay "

si la limite est profonde , on ne colle plus ,donc pas d'onlay


Capture d  cran 2015 03 12 12.28 - Eugenol
chicot29

06/02/2015 à 22h10

En fait pour etre soigné selon les standarts actuels il ne faut pas faire des actes bien remboursés par la sécu et les mutuelles.
Et hop pour enfoncer le clou. UNEO 250 % % base ss en prothèse et 30 % de 40 euros max pour des onlays.
Vous noterez que je n'ai pas poussé au max la stupidité de ce système, facturation 300% et non pas 320 %. -)))
Empreintes sous gingivales aussi. -)))

Capture d e cran 2015 02 06 20.59 - Eugenol
Capture d e cran 2015 02 06 21.09 - Eugenol

Capture d  cran 2015 03 12 12.28 - Eugenol
chicot29

06/02/2015 à 22h41

Meme si on peut douter d'une conservation pulpaire dans ce cas (et pourquoi pas des onlays sur dents dépulpées ?) il n'y a aucun doute vu les remboursements ridicules de la sécu et de la mutuelle en matière d'onlay quand au choix du patient versus inlay core ceramo metal. -))))

Capture d e cran 2015 02 06 21.38 - Eugenol

youn

06/02/2015 à 22h48

casa écrivait:
--------------
> "Garantie 3 ans" mais tu te barres au bout d'un an ... c'est facile .. et ton
> dernier cas: ben oui t'as fait une CCM .... mais c'est un de 3 cas qui s'est
> descellé ? Youn t'as sans doute été un excellent étudiant , t'as plein d'idées ,
> t'es loin d'être idiot mais pour ce qui est du boulot , ton recul me parait
> vraiment limite .. cela fait combien de temps que tu es chez nos amis grands
> bretons : 6 mois , 8 mois ...tu nous parles de ta centaine d'onlay posés là bas
> et aucun n'est tombé ... c'est formidable ! mais tu vois pas où est le problème
> dans ton témoignage et ton recul ? autant de certitude dans une si jeune tête !

Je répondais juste à ta stat de 2% annuels. Et ça fait plus d'un an que j'en pose (3 pour être précis) et toujours pas de soucis... Donc non ce n'est pas à côté de la plaque. Sur le long terme je ne sais pas plus que ça mais les principes me semblent meilleurs dans la logique, je peux me gourer et l'avenir me le dira.
Mais si je dois attendre d'avoir 30 ans d'expérience pour changer mes protocoles je ne vais pas évoluer très vite. Il n'y a pas de certitudes, encore une fois c'est ta statistique qui m'a fait réagir, soit j'ai de la chance soit c'est autre chose. A moins d'avoir raté une fracture sous-jacente, ou une occlusion vraiment pourrie, je ne vois pas ce qui peut faire échouer un Onlay en moins d'un an.

Et non ça ne fait pas partie des 3 cas, mes cas que je ne pensais pas voir durer 6 mois sont toujours en bouche et se portent pour le mieux même si je pense toujours qu'ils dureront moins longtemps que les autres.

Oui je fais encore très rarement des CCM ou des zircones, justement dans ces cas très limites où je ne pense pas pouvoir coller dans de bonnes conditions.

Je n'ai aucune certitude, c'est pour ça que je fais des stats, je n'ai absolument aucune certitude, si ce n'est que faire un énorme composite sur une dent fissuré est une moins bonne idée que de faire IC+CCM qui est déjà en soit une idée très moyenne.

Et je ne me base pas sur mes stats, je me base sur mes lectures, en cherchant toujours la solution la meilleure et la moins praticien-dépendante, j'applique les protocoles strictement, si il faut une digue je la mets, si il faut laisser un produit s'évaporer doucement je le fais etc... Et ensuite j'essaie de critiquer ce que j'ai pu mal faire. Exemple : en passant du Glyde à L'EDTA liquide en endo j'ai vu une nette augmentation des desmodontites, sans les stats dur à localiser, et je me suis rendu compte que sans chronométrer 1 minute de temps d'action, je le laissais trop longtemps. Ma pratique à changé du tout au tout depuis que je suis sorti, et pas vers le plus rentable, mais c'est en grande partie parceque je note tous mes échecs et que j'essaie d'en trouver l'origine.

Sur le long terme on verra, mais s'il faut rester toute sa carrière au même endroit pour avoir un droit de parole...

J'ai récemment, en visitant des cabinets, rencontré une nana qui me disait qu'elle avait de supers résultats stables sur 20ans+, et bien je suis certain qu'elle ne faisait aucune statistiques, elle était toute fière de me montrer une dent qu'elle avait "sauvée" la semaine précédente : endo molaire sur dent à extraire ou nécessitant une élongation coronaire de 5 mm, deux perfos dans les canaux mésiaux au tiers apical et fière de me dire qu'elle obturait au ciment sans gutta car elle avait fait sa thèse dessus (il y a 28 ans) et que c'était le meilleur ciment du marché... Inutile de dire qu'elle allait couronner sans attendre.
Je me méfie des gens qui disent de se méfier de ce qui est écrit dans les bouquins reconnus et qui te disent ça du haut de leur "bouteille" de X décennies.


Capture d  cran 2015 03 12 12.28 - Eugenol
chicot29

06/02/2015 à 22h52

chicot29 écrivait:
------------------
> Meme si on peut douter d'une conservation pulpaire dans ce cas (et pourquoi pas
> des onlays sur dents dépulpées ?) il n'y a aucun doute vu les remboursements
> ridicules de la sécu et de la mutuelle en matière d'onlay quand au choix du
> patient versus inlay core ceramo metal. -))))

Il va de soit qu'en cas d'acceptation du devis d'onlays les cavités d'accès pour les endos ne ressembleraient pas à ca ! -)))

Capture d e cran 2015 02 06 21.48 - Eugenol

John gp55mb - Eugenol
Faivre-rampant

06/02/2015 à 22h56

@moritooth
j'ai jamais entendu parlé de cette technique. j'ai un peu de mal à visualiser. tu aurais des photos ?
ou un article à lire sur cette façon de faire ?


Orezza gazeuse verre litre ocoxey - Eugenol
casa

06/02/2015 à 23h18

Tu vois Youn , tu me fais penser à ma fille , elle est polytechnicienne mais quand elle fait la cuisine elle suis la recette à la lettre près : balance, chrono .. et tout le toutim ... tu as remarqué que nous travaillons sur une matière vivante ... avec des réactions bizarre .... Ben la cuisine c'est un peu pareil .. mais effectivement pour les grands chefs , la cuisine est au gramme près ..mais pour nous , les cuisinières du dimanche , y'a aussi pas mal de feeling ! c'est toute la différence .


chipoundine

06/02/2015 à 23h27

Dans un cas comme celui ci , il est certain qu'en partant du principe que le certissage périphérique est la seule solution, il ne reste plus qu'à dépulper la dent et mettre un IC, avec 0 parois résiduelles, bref, le top pour une 25.

En prenant le problème à l'envers , en gardant ce qui est conservable (la pulpe et les 2 mm des parois cervicales vestibulaires et linguales) , il est possible aujourd'hui , avec les techniques de collage , de restaurer des dents, sans avoir à réaliser d'endos à visée prothétique.

Dans une dizaine d'année, il sera toujours possible de refaire un onlay et peut être un IC et une CCM dans 20 ans et un implant dans 30...

Par contre cette prémo à 0 parois résiduelles reconstituée par IC + CCM , je ne me risquerai pas à pronostiquer 20 ans....

Nos traitements ne sont pas éternels , mais en étant plus conservateur , et en suivant le gradient thérapeutique , nous pouvons repousser les limites plus loin, et faire gagner des années aux dents den nos patients.

Enfin dans ce cas bien précis nous sommes tout d'accord pour dire que l'endo est parfaite ! La pulpe étant la meilleure obturation canalaire.

Suz zxvxlj - Eugenol
Img 0177 y1ehmv - Eugenol
Img 0179 btcjgq - Eugenol
Img 0176 2 svkz7d - Eugenol
Img 0177 2 ixwthv - Eugenol
Img 0181 2 dhyrd1 - Eugenol
Img 0183 2 kpvugk - Eugenol

Capture d  cran 2015 03 12 12.28 - Eugenol
chicot29

06/02/2015 à 23h34

chipoundine écrivait:
---------------------
>
> Dans une dizaine d'année, il sera toujours possible de refaire un onlay et peut
> être un IC et une CCM dans 20 ans et un implant dans 30...
>

Magnifique ! Mais pour l'endo dans 20 ans achètes toi un microscope et un bon ! -))))

C'est quoi que tu utilises comme fond de cavité ? Et si pas de cerec qu'en est il de la phase de temporisation ?


Orezza gazeuse verre litre ocoxey - Eugenol
casa

06/02/2015 à 23h39

Alors là bravo ! parfait !la démonstration va s'arrêter là ! non ? Chicot t'as quelque chose à rajouter ? des photos d'ouverture de chambre à la turbine Black et Decker ?
T'as quoi comme montre chipoudine ? naaan je plaisante ; une Rolex ? tant mieux !


youn

06/02/2015 à 23h43

casa écrivait:
--------------
> Tu vois Youn , tu me fais penser à ma fille , elle est polytechnicienne mais
> quand elle fait la cuisine elle suis la recette à la lettre près : balance,
> chrono .. et tout le toutim ... tu as remarqué que nous travaillons sur une
> matière vivante ... avec des réactions bizarre .... Ben la cuisine c'est un peu
> pareil .. mais effectivement pour les grands chefs , la cuisine est au gramme
> près ..mais pour nous , les cuisinières du dimanche , y'a aussi pas mal de
> feeling ! c'est toute la différence .


Je te rassures, quand je cuisine je suis la recette au gramme près aussi.

Après je conçois que l'on puisse se laisser au feeling, mais comme tu le dis je n'ai pas l'expérience pour me le permettre...


chipoundine

06/02/2015 à 23h45

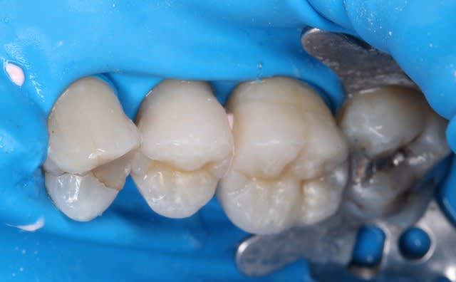
ben 2 onlays à 380 euros soit 760... la patiente a économisé un peu plus de 1000 euros par rapport à 2CCM .

Tu vois casa c'est pas avec ça que je vais m'acheter une rolex. Par contre j'ai le soir en rentrant , j'ai le sentiment d'avoir rendu service à mes patients.

Je gagane mieux ma vie en faisant de la prothèse classique.


youn

06/02/2015 à 23h47

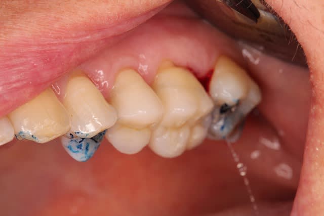
Tiens d'ailleurs chicot ça me fait penser pour le lasso et la matrice sur clamp :

Désolé je n'ai pas sorti l'appareil pour ça. La radio est au cab je la rajouterai si j'y pense.

Dsc 0051 cxsp5e - Eugenol
Dsc 0053 zgs50t - Eugenol
Dsc 0054 ufdawh - Eugenol
Dsc 0057 nxyve6 - Eugenol
Dsc 0058 eh0ldo - Eugenol

chipoundine

06/02/2015 à 23h49

Fond de cavité : dentine réactionnelle(dans ce cas )+IDS à l'optibond FL.

En cas d'effraction de corne pulpaire , une pointe de dycal + optibond FL.

Temporisation : grosse patate de TELIO isolée de la prépa à la glycerine, qui tient dans les espaces interdentaires. Le proto me sort les onlays compo sous trois jours.


Orezza gazeuse verre litre ocoxey - Eugenol
casa

06/02/2015 à 23h51

ha mince chipoudine ! pas de Rolex ? demande à chicot , il va te prêter sa montre qui vaut 10 , 20 , 30 onlays ? ...

Et merci d'avoir fait économiser à ta patiente , mais aussi à la société quelques centaines d'euros !


youn

06/02/2015 à 23h51


Vu que je rentre en France : chipoudine sur un cas comme ça tu ne cotes pas une couronne vu que ça intéresse toutes les faces?

Comment se cote un overlay?


moritooth

06/02/2015 à 23h53

Faivre-rampant écrivait:
------------------------
> @moritooth
> j'ai jamais entendu parlé de cette technique. j'ai un peu de mal à visualiser.
> tu aurais des photos ?
> ou un article à lire sur cette façon de faire ?

J'ai appris ça auprès de confrères qui font que de la fixe, je ne pense pas que ce soit tellement documenté car c'est un "tour de mains" ou plutôt une adaptation à la pratique quotidienne d'une technique plus lourde que tu peux voir ici dans sa version originale:
http://foc38.com/images/potins/Chape%20de%20%20LEPERS.pdf

désolé mais pour moi c'est tellemnt banal que je fais pas de photos de mes "coques".

Bon, j'arrête avec ça car effectivement on devient hors sujet!


1...789...