Cookie Consent byPrivacyPolicies.comQuelle intervention a eut lieu 24h avant ? - Eugenol
youn

16/03/2015 à 19h56

Ou est-ce que je commence à apprendre a faire ça si je n'ai jamais rien fait comme formation? Ça a l'air d'une propreté...Bravo!


Photo pluton1b h9n4ea - Eugenol
pluton

16/03/2015 à 20h23

youn écrivait:
--------------
> Ou est-ce que je commence à apprendre a faire ça si je n'ai jamais rien fait
> comme formation? Ça a l'air d'une propreté...Bravo!

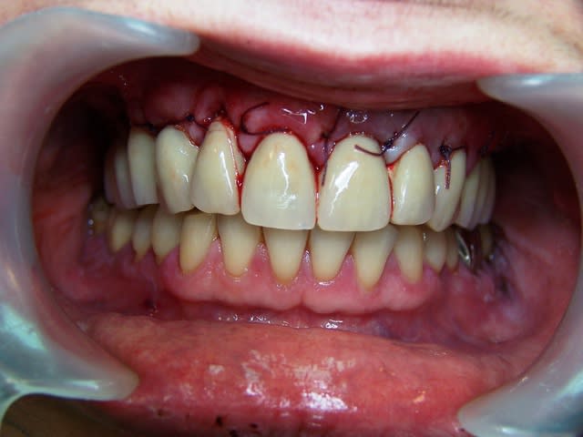
avec Dr Marcus et moi...;-)

l'autre aspect de l'intervention, qui a aussi conditionné ce choix de 1 implant/dent, c'est que je voulais au niveau esthétique être le plus proche du naturel et que le provisoire soit en fait une prothèse de longue durée, esthétique et fonctionnelle
impossible à faire réellement avec du transvissé en MCI, même avec Posit alors que là...

mention spéciale pour Posit...sa maîtrise dans le montage cosmétique (résine pourtant!!!) est proche des céramiques

Pr op onzvot - Eugenol
Prov rrmudu - Eugenol
Fin intervention vdvbon - Eugenol
24heures gwmajl - Eugenol

Condylalor2

16/03/2015 à 20h25

Beau travail! sincèrement autant pour les implants que la prothèse.


Condylalor2

16/03/2015 à 20h25

Beau travail! sincèrement autant pour les implants que la prothèse.


Vw campersurfvan bmnk1q - Eugenol
enlaye

16/03/2015 à 20h41

quand je vois ça , je suis fier d'etre dentiste .
bravo a vous .


Vw campersurfvan bmnk1q - Eugenol
enlaye

16/03/2015 à 20h53

par contre ,si je puis me permettre , les secteurs posterieurs sont un peu trop verouillants . cela manquerait de decalage lateral immediat , vers l'arriere .


Olieve

16/03/2015 à 21h34

pluton écrivait:
----------------
> c'est bien 1 implant/dent....;-) soit donc un all on 12 (interactive)...;-)

Tu as scellé le provisoire sur les piliers d'origine ?
Sans devoir les démonter ou les retoucher ?


Smile beach jgh0a1 - Eugenol
Céramik

16/03/2015 à 21h36

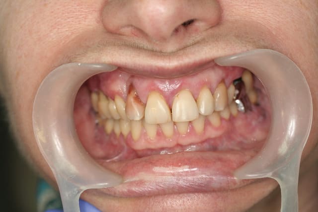
Ça semble propre et bien (même si je pense qu'il y a un peu trop de titane)

Pourquoi laisser le provisoire si longtemps ?
L'entretien sera difficile, risque de perte osseuse...

C'est du compo ? de l’acrylique ?
Dans 6-12 mois la résine aura vieillit...

Céram dans 6-12 mois me semble mieux, non ?




--
Céramik


Capture d  cran 2015 03 12 12.28 - Eugenol
chicot29

16/03/2015 à 22h00

Superbe !
Sinon moi aussi je touche en chir. propre net et sans bavures. Tu m'embauches ? -))))

Capture d e cran 2015 03 16 21.00 - Eugenol

Photo pluton1b h9n4ea - Eugenol
pluton

16/03/2015 à 22h24

Céramik écrivait:
-----------------
> Ça semble propre et bien (même si je pense qu'il y a un peu trop de titane)
>
> Pourquoi laisser le provisoire si longtemps ?
> L'entretien sera difficile, risque de perte osseuse...
>
> C'est du compo ? de l’acrylique ?
> Dans 6-12 mois la résine aura vieillit...
>
> Céram dans 6-12 mois me semble mieux, non ?

dans l'absolu, oui on peut penser qu'il y a un peu trop d'implants...mais tout compte fait je ne regrette pas d'en avoir posé autant, l'os n'étant pas super dense...même si j'ai pu avoir une bonne stabilité primaire, je suis plus serein ainsi...

le fait de laisser pas mal de temps, c'est plutôt favorable car la patiente va pouvoir créer ses pistes d'occlusion toute seule, même si on est proche de l'état initial puisque Posit a recréé les dents en grande partie avec les modèles d'étude (avec toutes les dents présentes...)

rien n'empêche par contre de passer en full céram dans un ou 2 ans (6 mois c'est vraiment, mais vraiment le mini...je préfère attendre un peu plus...) si la résine vieillit comme tu le dis...et cerise sur le gâteau avec remboursement SS, c'est un gros plus pour la patiente...c'est pas primordial, mais c'est très avantageux pour elle...


Photo pluton1b h9n4ea - Eugenol
pluton

16/03/2015 à 22h30

Olieve écrivait:
----------------
> pluton écrivait:
> ----------------
> > c'est bien 1 implant/dent....;-) soit donc un all on 12 (interactive)...;-)
>
> Tu as scellé le provisoire sur les piliers d'origine ?
> Sans devoir les démonter ou les retoucher ?

on pourrait!!!
mais pour optimiser l'esthétique on a utilisé des piliers étroits (narrow) presque sans les retoucher (en fait Posit à uniquement viré le congé cervical)

c'est "scellé"...sans ciment de scellement...tout par fiction...;-)

Img 3356 kszyam - Eugenol

malaire

16/03/2015 à 22h50

Beau travail.
Chapeau l'artiste !


moritooth

17/03/2015 à 00h20

Beau boulot. Je suis admiratif !


Image saznoz - Eugenol
Hodina

17/03/2015 à 01h18

Merci pour toutes ces explications.
Je me sens par contre tres tres petit.......
Qu as tu utilisé comme matériaux de comblement?
A tu gonflé en vestibulaire?
Greffe conjonctive?
Merci


Photo pluton1b h9n4ea - Eugenol
pluton

17/03/2015 à 01h55

Hodina écrivait:
----------------
> Merci pour toutes ces explications.
> Je me sens par contre tres tres petit.......
> Qu as tu utilisé comme matériaux de comblement?
> A tu gonflé en vestibulaire?
> Greffe conjonctive?
> Merci

pour combler le gap en vestibulaire prémo canines incisives kasios TCP hp
dans les alvéoles laissées vacantes des molaires, de simples éponges hélostatiques gelatemp Roeko...comme pour une extraction...
pas de greffe de conjonctif, le biotype gingival d'origine étant déjà très sympa


Image saznoz - Eugenol
Hodina

17/03/2015 à 08h32

Merci.
Et encore bravo.
Moi qui n ai encore jamais posé d implant anterieur.....il me reste du chemin à parcourir.


Utilisateur banni

17/03/2015 à 09h52

Merci aux participants de ce post qui permettent de le faire progresser par leurs réponses et questions. J’ai choisi une forme interrogative au sujet pour ouvrir une conception du champ d’application du protocole de MCI proposé, hors des dogmes.


l adan

17/03/2015 à 10h04

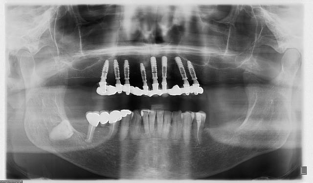
Bravo . Pourrais tu donner les diametres des implants posés ? et beaucoup plus terre à terre une idée du cout d'une telle intervention ?


Photo pluton1b h9n4ea - Eugenol
pluton

17/03/2015 à 11h14

tous les implants sont en diamètre 3.7

certains (j'en fais partie) aiment bien plus large au niveau des secteurs molaire....mais vu que l'on a posé dans les septums, une augmentation de diamètre conduisait obligatoirement à une diminution de la surface de contact os/implant...d'où ce choix...

le coût pour une telle intervention? pour qui? le patient ou pour le praticien? (guide+ implants+ piliers+ prothèse)?


Blason dql7mj - Eugenol
growler

17/03/2015 à 11h16

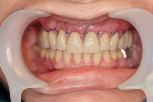
sympa l'aspect gingival sur la dernière photo de la prothèse en place avec les écarteurs

je ne vais pas discuter le nombre d'implants qui n'est pas forcément un problème lorsqu'ils sont précisément posés et de diamètres corrects pour éviter une trop grande proximité entre-eux ce qui est le cas ici.

Ce qui m'intrigue c'est la mise en place sans scellement uniquement par friction ce qui suppose une très grande précision d'emblée. Si cette précision est obtenue régulièrement sur de nombreux cas alors on peut dire qu'il s'agit d'un vrai progrès dans l'implantation-mise en charge immédiate.

As-tu, Pluton, une pano pré-op à nous montrer qu'on se rende mieux compte de la situation initiale et as-tu objectivé la précision d'adaptation par friction en prenant quelques clichés rétroalvéoaires de contrôle ?

cas intéressant à suivre :)





Utilisateur banni

17/03/2015 à 12h09

growler écrivait:
-----------------
> Ce qui m'intrigue c'est la mise en place sans scellement uniquement par friction
> ce qui suppose une très grande précision d'emblée. Si cette précision est
> obtenue régulièrement sur de nombreux cas alors on peut dire qu'il s'agit d'un
> vrai progrès dans l'implantation-mise en charge immédiate.
>
Il y a quelques années que je présente des cas de bridges provisoires fixes sans ciment, juste maintenus par friction. Ci-joint après quelques mois de port du provisoire photo de la cicatrisation gingivale, OTP, biscuit céramique réalisé par le prothésiste de béotien.

(patiente édentée total portant une PCA)

Mise en chage imm diate 116 duimce - Eugenol
Mise en chage imm diate 117 numy1r - Eugenol
Mise en chage imm diate 118 fbti0h - Eugenol

Utilisateur banni

17/03/2015 à 12h40

Une solution mixte, fixe et visée du Drmarcus.

Mise en chage imm diate 167 rf051b - Eugenol

Capture d  cran 2015 03 12 12.28 - Eugenol
chicot29

17/03/2015 à 13h14

Superbe.


Une adresse peut etre pour adresser nos cas"limites" ?-))))

Capture d e cran 2015 03 17 12.10 - Eugenol
Capture d e cran 2015 03 17 12.09 - Eugenol

Photo pluton1b h9n4ea - Eugenol
pluton

17/03/2015 à 17h57

growler écrivait:
-----------------

> Ce qui m'intrigue c'est la mise en place sans scellement uniquement par friction
> ce qui suppose une très grande précision d'emblée. Si cette précision est
> obtenue régulièrement sur de nombreux cas alors on peut dire qu'il s'agit d'un
> vrai progrès dans l'implantation-mise en charge immédiate.
>
> As-tu, Pluton, une pano pré-op à nous montrer qu'on se rende mieux compte de la
> situation initiale et as-tu objectivé la précision d'adaptation par friction en
> prenant quelques clichés rétroalvéoaires de contrôle ?
>
> cas intéressant à suivre :)

voilà Olivier...;-)

désolé pour la réponse tardive, j'ai un boulot monstre en ce moment...

pano initiale et planche 3D montrant qu'en fait les molaires ne tenaient quasi plus que par les racines palatines...

pour la très grande précision d'emblée, Posit a répondu, nous sommes quelques praticiens à poser ainsi...
seules vraies difficultés: avoir parfaitement compris le système du guide Positdental et connaître/maîtriser parfaitement son système implantaire...

pour preuve un autre cas, sans ciment lui non plus (sur du Leone...) depuis presque 2 ans...tout va bien, la patiente est super satisfaite de l'esthétique donc on peut attendre encore...;-)

Planche1 fxfzy9 - Eugenol
Avant mz4w86 - Eugenol
No ciment amvqpc - Eugenol

Logo m4n3gc - Eugenol
drmarcus

18/03/2015 à 12h04

posit écrivait:
---------------
> ptitrobot écrivait:
> -------------------
> > pluton ou Marcus ? ^-^
>
> Pour ce cas c’est Pluton.

Oui c'est Pluton mais technique Marcus (sans vis ni scellement) ;-))))


--
"La seule chose promise d'avance à l'échec, c'est celle que l'on ne tente pas" Paul Emile VICTOR