Cookie Consent byPrivacyPolicies.comQuelle intervention a eut lieu 24h avant ? - Eugenol
Logo m4n3gc - Eugenol
drmarcus

18/03/2015 à 12h15

growler écrivait:
-----------------
> sympa l'aspect gingival sur la dernière photo de la prothèse en place avec les
> écarteurs
>
> je ne vais pas discuter le nombre d'implants qui n'est pas forcément un problème
> lorsqu'ils sont précisément posés et de diamètres corrects pour éviter une trop
> grande proximité entre-eux ce qui est le cas ici.
>
> Ce qui m'intrigue c'est la mise en place sans scellement uniquement par friction
> ce qui suppose une très grande précision d'emblée. Si cette précision est
> obtenue régulièrement sur de nombreux cas alors on peut dire qu'il s'agit d'un
> vrai progrès dans l'implantation-mise en charge immédiate.
>
> As-tu, Pluton, une pano pré-op à nous montrer qu'on se rende mieux compte de la
> situation initiale et as-tu objectivé la précision d'adaptation par friction en
> prenant quelques clichés rétroalvéoaires de contrôle ?
>
> cas intéressant à suivre :)
>
>
>
>

Si je peux dialoguer aujourd'hui c'est que justement que j'ai un peu de temps à cause d'une méprise de date de conf.
Je fais justement un cours demain au DU de Saint Antoine sur cette technique.
Ce sera aussi mon exposé au Symposium de Majorque fin Octobre.
C'est effectivement une révolution de l'implanto des MCI.
J'ai 4 ans de recul par rapport aux premiers cas avec cette technique. Sur 97 implants posés (je viens de faire le compte) je n'en ai perdu que 2 et encore sans conséquence grâce au nombre posé à chaque fois.
Actuellement j'ai un an de recul sur un cas mixte maxillaire (2 ptérygoidiens et 8 non scellés ni transvissés)je croise les doigts je dirai que c'est ma plus belle réalisation. Il apporte la preuve de la non mobilité du bridge sinon j'aurai perdu depuis longtemps les implants pterygoidiens c'est sûr.
Les contrôles que j'apporte sont fait avec des cônes beam pour vérifier la différence entre la planification et la réalisation.


--
"La seule chose promise d'avance à l'échec, c'est celle que l'on ne tente pas" Paul Emile VICTOR


Casque beotien a3jo39 - Eugenol
beotien

18/03/2015 à 18h42

C'est vrai que je ne viens plus souvent sur eugenol, et que je ne mets plus de cas

Alors sympa Alain de mettre un de mes cas mais sur la photo du milieu ce n'est pas mon cas! je n'utilise que des léones pour ces cas!

Growler pour la précision j'ai 2 cas qui depuis plus de 2 ans ont toujours leur bridge d'origine sans scellement.
Je me souviens comme si c'était hier des insultes proférées par certains confrères à l'époque.Depuis mon fils est mort de son cancer et les 3 cas présentés à l'époque vont très bien.
En relisant le sujet je ne leur en veux même pas

http://www.eugenol.com/sujets/400658-video-extraction-mise-en-charge-immediate-bridge-provisoire-a-armature-metal-sur-implant-cone-morse?page=1

Depuis nous avons fait d'autres cas avec Alain, alors même si c'est du case report cette technique n'est pas à négliger


Utilisateur banni

18/03/2015 à 19h10

beotien écrivait:
-----------------
> Alors sympa Alain de mettre un de mes cas mais sur la photo du milieu ce n'est
> pas mon cas! je n'utilise que des léones pour ces cas!
>
Oups, c’était pour voir si tu lisais, je la laisse pour voir si d’autres regardent les images.


Utilisateur banni

19/03/2015 à 10h13

beotien écrivait:
-----------------
> Alors sympa Alain de mettre un de mes cas mais sur la photo du milieu ce n'est
> pas mon cas! je n'utilise que des léones pour ces cas!

Pour ceux qui veulent voir l’OTP du cas de béotien.

Ha10jours elcbcj - Eugenol

olivier

19/03/2015 à 10h47

merci Pluton pour le detail de ton intervention ...je suis encore admiratif ....


Utilisateur banni

19/03/2015 à 17h37

beotien écrivait:
-----------------
> Depuis nous avons fait d'autres cas avec Alain, alors même si c'est du case
> report cette technique n'est pas à négliger

Même si ce genre de chirurgie et de plan de traitement sont aujourd’hui anecdotique, depuis le premier cas que j’ai préparé en 2009 il me semble que nous avons avec les différents utilisateurs de la matière à publier une étude multicentrique sur les résultats obtenus.


l adan

20/03/2015 à 13h04

Je pensais au cout pour le praticien ; en gros ...

pluton écrivait:
----------------
> tous les implants sont en diamètre 3.7
>
> certains (j'en fais partie) aiment bien plus large au niveau des secteurs
> molaire....mais vu que l'on a posé dans les septums, une augmentation de
> diamètre conduisait obligatoirement à une diminution de la surface de contact
> os/implant...d'où ce choix...
>
> le coût pour une telle intervention? pour qui? le patient ou pour le praticien?
> (guide+ implants+ piliers+ prothèse)?


Utilisateur banni

20/03/2015 à 13h35

Je dirais environ 11000€, implants, chirurgie guidée, provisoire, bridge ceram.


Smile beach jgh0a1 - Eugenol
Céramik

23/03/2015 à 14h44

posit écrivait:
---------------
> Je dirais environ 11000€, implants, chirurgie guidée, provisoire, bridge ceram.

Donc 33k euro pour le patient ?


Une question (déjà posée) est-ce qu'un cone beam est assez précis
pour fabriquer un guide Posit ?

Merci

--
Céramik


Capture d  cran 2015 03 12 12.28 - Eugenol
chicot29

24/03/2015 à 20h21

Céramik écrivait:
-----------------

> Donc 33k euro pour le patient ?
>

Autant de chance de placer ce genre de travail que de voir un patient se garer devant le cabinet avec une lambo aventador. -)))
( j'ai un patient qui roule avec cette bagnole, mais c'est con il a toutes ses dents !)


ladendur

25/03/2015 à 09h13

chicot29 écrivait:
------------------
> Autant de chance de placer ce genre de travail que de voir un patient se garer
> devant le cabinet avec une lambo aventador. -)))
> ( j'ai un patient qui roule avec cette bagnole, mais c'est con il a toutes ses
> dents !)

En même temps, c’est en faisant ce travail que ce genre de patient vient se faire soigner à ton cabinet.


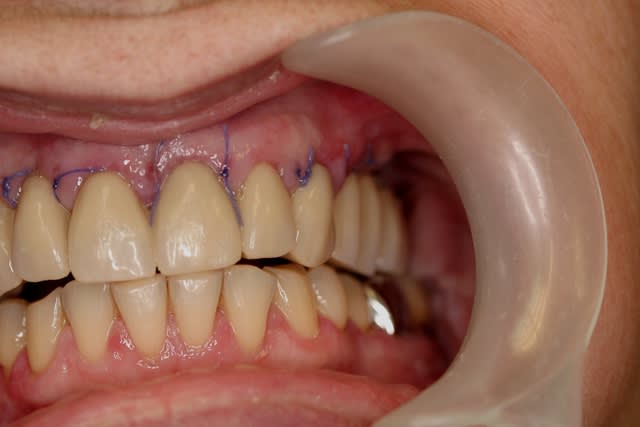
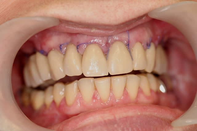
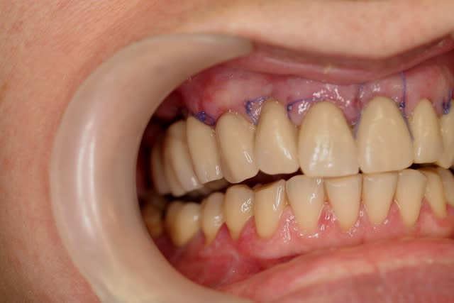
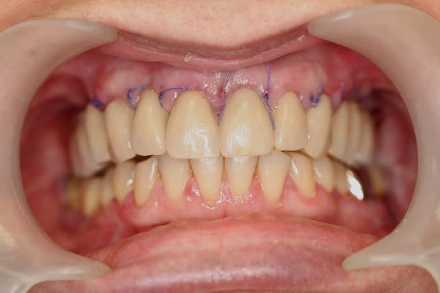
Photo pluton1b h9n4ea - Eugenol
pluton

26/03/2015 à 15h25

petit contrôle à l'instant à 15j
la patiente n'a pris en tout et pour tout que 6 codoloprane...

toujours aussi sympa pour la cicat, non?...;-)

en tout cas la patiente est ravie, et moi bien content que tout ce passe bien pour le moment...

15j 1 yedawk - Eugenol
15j 3 oumgzi - Eugenol
15j 2 l1n5zg - Eugenol
15j 4 tcmsvs - Eugenol

Capture d  cran 2015 03 12 12.28 - Eugenol
chicot29

26/03/2015 à 16h05

ladendur écrivait:
------------------
> chicot29 écrivait:
> ------------------
> > Autant de chance de placer ce genre de travail que de voir un patient se garer
> > devant le cabinet avec une lambo aventador. -)))
> > ( j'ai un patient qui roule avec cette bagnole, mais c'est con il a toutes ses
> > dents !)
>
> En même temps, c’est en faisant ce travail que ce genre de patient vient se
> faire soigner à ton cabinet.

En général ils sont adressés. faut organiser des séminaires pour les confrères, des formations etc..... et ca, ca me gonflerait. Pluton je me trompe ? -)))
Autant se réorienter en gestion de patrimoine et promotion immobilière, activité du monsieur ( qui au passage a raté médecine, heureusement pour lui, lol !)


Olieve

26/03/2015 à 18h06

pluton écrivait:
----------------
> petit contrôle à l'instant à 15j
> la patiente n'a pris en tout et pour tout que 6 codoloprane...
>
> toujours aussi sympa pour la cicat, non?...;-)
>
> en tout cas la patiente est ravie, et moi bien content que tout ce passe bien
> pour le moment...

Va falloir assurer pour contenter la patiente avec le bridge définitif parce que tu as déjà placé la barre haut avec le provisoire :-)


Photo pluton1b h9n4ea - Eugenol
pluton

26/03/2015 à 18h30

le définitif? comme je l'ai dit, ce "provisoire" est une prothèse d'usage de longue durée...amha je n'y reviendrai pas avant au moins un an et j'espère même bien d'avantage!
c'est aussi pourquoi j'avais demandé à ce que l'esthétique soit particulièrement soignée!

si définitif il y a, alors çà sera certainement du full zircone/céram en 4 petits "bridges" (3 couronnes solidarisées) de 3 éléments


S2y2o1v7q53ws4r5wy6ou8czrpom - Eugenol
pxav

26/03/2015 à 19h00

pluton écrivait:
----------------
> si définitif il y a, alors çà sera certainement du full zircone/céram en 4
> petits "bridges" (3 couronnes solidarisées) de 3 éléments

Tu ne sera plus dans la case remboursement SS....

Très joli cas, bien réalisé, et perso, comme tu le sais les 12 implants ne me gène pas, au contraire...
Marrant de voir qu'avec le temps, les options changent,nombre d'implants, gelatemp etc...et très gros progrès de Posit sur les provisoires.
bravo
--
xbk
"Si tous ceux qui croient avoir raison n'avaient pas tort, la vérité ne serait pas loin" Dac Pierre


Photo pluton1b h9n4ea - Eugenol
pluton

26/03/2015 à 19h33

pxav écrivait:
--------------
> pluton écrivait:
> ----------------
> > si définitif il y a, alors çà sera certainement du full zircone/céram en 4
> > petits "bridges" (3 couronnes solidarisées) de 3 éléments
>
> Tu ne sera plus dans la case remboursement SS....
>
> Très joli cas, bien réalisé, et perso, comme tu le sais les 12 implants ne me
> gène pas, au contraire...
> Marrant de voir qu'avec le temps, les options changent,nombre d'implants,
> gelatemp etc...et très gros progrès de Posit sur les provisoires.
> bravo
> --
> xbk

si, je serai toujours dans la case remboursement SS, il y a 1 implant/dent que les couronnes soient solidarisées ou non ne change rien...;-)

pour le nombre des implants, les temps (modes?) changent aussi il y a quelques années il fallait mettre les implants les plus gros et les plus longs possibles quitte à en mettre moins...on en vient maintenant plus à en poser de petits diamètres (mais encore assez long...) et le plus possible...
les modes/dogmes changent...les implants aussi qui deviennent plus fiables (une raison certainement aux gros diamètres d'avant...)

merci pour ton commentaire...;-)


S2y2o1v7q53ws4r5wy6ou8czrpom - Eugenol
pxav

27/03/2015 à 17h14

.


Utilisateur banni

31/03/2015 à 13h57

pxav écrivait:
--------------
> Très joli cas, bien réalisé, et perso, comme tu le sais les 12 implants ne me
> gène pas, au contraire...
> Marrant de voir qu'avec le temps, les options changent,nombre d'implants,
> gelatemp etc...et très gros progrès de Posit sur les provisoires.
> bravo
> --
> xbk
> "Si tous ceux qui croient avoir raison n'avaient pas tort, la vérité ne
> serait pas loin" Dac Pierre

Merci, je pense que ce cas clinique est surtout un long suivis conservateur et préparatoire, puis l’option d’une réhabilitation globale actuelle.


masterbibop

31/03/2015 à 16h53

C'est magnifique :-)

- Juste par curiosité, s'il seulement si implant avait été posés, ca aurait obligé à faire du piloti. Par manque de connaissance peut être, je pensais qu'un bridge tout ceram se posait sur 8 mini ?

- Peut on avoir une photo du guide et de sa fabrication, ainsi qu'une explication sur son utilisation ?

- La prothèse est fabriqué avant la chir ou une empreinte est faite per op !

-Qui nous dit qu'un implant ne va pas fibro-intégré et mettre tout le travail en l'air ? c'est possible ?



Photo pluton1b h9n4ea - Eugenol
pluton

31/03/2015 à 17h55

masterbibop écrivait:
---------------------
> C'est magnifique :-)
>
> - Juste par curiosité, s'il seulement si implant avait été posés, ca aurait
> obligé à faire du piloti. Par manque de connaissance peut être, je pensais qu'un
> bridge tout ceram se posait sur 8 mini ?
>
> - Peut on avoir une photo du guide et de sa fabrication, ainsi qu'une
> explication sur son utilisation ?
>
> - La prothèse est fabriqué avant la chir ou une empreinte est faite per op !
>
> -Qui nous dit qu'un implant ne va pas fibro-intégré et mettre tout le travail en
> l'air ? c'est possible ?
>
>

six implants tu veux dire? non on aurait pu faire la même chose...mais...là la stabilité primaire n'aurait pas été suffisante amha pour envisager une MCI compte tenu du nombre d'extraction et de la densité osseuse...
heu, ici c'est de la résine...;-) prothèse fabriquée avant la chir
si un implant foire, 2 solutions:
- tu le retires, un coup de foret et tu en revisses direct un plus gros que tu connectes à la prothèse
- tu le retires et tu bouches le trou dans l'intrados avec de la résine...même si ce all in 12 se transformait en all in 11, voir 10, voir moins...il y a quand même vraiment peu de chances que l'on arrive pas à gérer çà...;-)

petite photo guide en place...;-)

Img 3353 g8sqcu - Eugenol

masterbibop

31/03/2015 à 19h16

six implants tu veux dire? non on aurait pu faire la même chose...mais...là la
stabilité primaire n'aurait pas été suffisante amha pour envisager une MCI
compte tenu du nombre d'extraction et de la densité osseuse...
heu, ici c'est de la résine...;-) prothèse fabriquée avant la chir
si un implant foire, 2 solutions:
> - tu le retires, un coup de foret et tu en revisses direct un plus gros que tu
> connectes à la prothèse
> - tu le retires et tu bouches le trou dans l'intrados avec de la résine...même
> si ce all in 12 se transformait en all in 11, voir 10, voir moins...il y a quand
> même vraiment peu de chances que l'on arrive pas à gérer çà...;-)
>
> petite photo guide en place...;-)


Merci pour ta réponse :-)
Mais pour retirer l'implant, tu es obligé de tout démonté ? Même si tiens par friction, ca ne doit pas être simple... et tu mets des à-coups au autres implants? si l'infection intervient tôt après la pose des implants, tu ne risque pas de perdre les autres en retirant le bridge ?


Je ne comprends pas la conception de ce guide... comment peut il te donner un axe assez précis pour poser ta prothèse dessus sans aucune passivité, surtout si elle tient par friction, ca ne se joue à rien ! ?

Tu as beaucoup de recul sur ton matériaux de comblement ? Pourquoi choisir cette marque ?


Photo pluton1b h9n4ea - Eugenol
pluton

31/03/2015 à 19h37

c'est tellement simple de démonter...mais tellement compliqué à expliquer...

et pour le guide, c'est la même chose, il faut le voir en vrai, manipuler les forets pour comprendre tout son sens...mais çà, le TP de chir guidée, c'est avec ID à Majorque...;-)

http://www.mailingmarket.com/implantdirect/2015/mars/

pour le biomat de comblement? Kasios TCP hp, je dois avoir...6/8 ans de recul clinique avec...
et pour les gelatemp Roeko, à peu près pareil...


Utilisateur banni

31/03/2015 à 19h57

masterbibop écrivait:
---------------------
> Je ne comprends pas la conception de ce guide... comment peut il te donner un
> axe assez précis pour poser ta prothèse dessus sans aucune passivité, surtout si
> elle tient par friction, ca ne se joue à rien ! ?


Si tu veux voir la pose d'un bridge provisoire à armature métal mise en charge immédiatement en 1 seul temps chirurgical, tu peux regarder sur http://www.positdental.com/cariboost1/crbst_26.html


S2y2o1v7q53ws4r5wy6ou8czrpom - Eugenol
pxav

01/04/2015 à 10h50

pluton écrivait:
----------------
>
> pour le biomat de comblement? Kasios TCP hp, je dois avoir...6/8 ans de recul
> clinique avec...
> et pour les gelatemp Roeko, à peu près pareil...

Même avis pour le kasios et pour le Gelatemp...je crois bien avoir été dans les premiers, et je l'utilise très souvent (membrane (du pauvre)... summers..etc...)
--
xbk
"Si tous ceux qui croient avoir raison n'avaient pas tort, la vérité ne serait pas loin" Dac Pierre