Cookie Consent byPrivacyPolicies.comBesoin de conseils - cas implanto - Eugenol

Besoin de conseils - cas implanto

Eldrya

25/03/2015 à 14h26

Bonjour à tous,
J'ai besoin d'avis éclairés pour une patiente dont voici la situation initiale:
- Femme de 83 ans qui consulte pour le rescellement de 44 avec 43 en extension collé au gros composite sur 42.
Je lui ai rescellé en provisoire en expliquant qu'il faudrait revoir ça
A l'examen clinique je constate également des caries sous piliers de bridge au maxillaire
Je l'en avise et elle est ok pour revoir tout ça, par contre elle ne souhaite pas du tout d'amovible et sa demande esthétique est importante.
Voici le compte -rendu de mon bilan:
. Maxillaire: 18 incluse
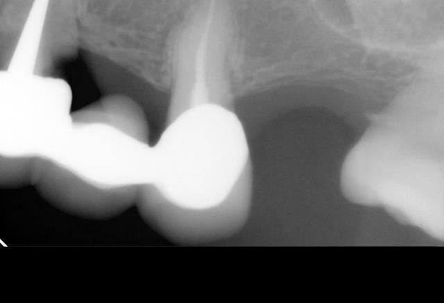
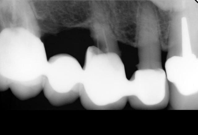
- bridge 16 à 12 (sans 15) avec carie sur 13 et 12 vitale (ou du moins pas d'endo)
- couronne sur 11
- bridge 21 à 25 avec caries sur 21 et 23
- 27 RAS, absence de 17 et 26 non remplacées
.Mandibule: 44/43 à refaire, 35 à 37 non remplacées, crête pas très épaisse derrière 34, problème paro (présence de tartre)
Les bridges du haut sont donc perdus, 13, 21 et 23 à extraire, dents restantes ensuite: 16,12,11,25,27

- Le souhait de ma patiente m'oriente vers un traitement implantaire et c'est là que je j'hésite entre deux solutions au maxillaire:
. Garder toutes les dents conservables au maxillaire et faire des implants en place de 13,14, 21 et 23 (bridge sur implants, piliers à voir)
--- ) comment je gère 26 (à voir)?
---) résultat esthétique bof à moins de refaire au moins les autres couronnes antérieures (11 et 12) mais risque à la dépose
---) durabilité?
. Tout extraire et proposer un bridge complet sur implant
---) esthétique ok mais pas d'économie tissulaire
---) possibilité de mise en charge immédiate?

- pour la mandibule je pensais proposer un bridge 42 à 44 et implants secteur III mais avec un doute sur la faisabilité (possibilité de greffe? a définir avec le chirurgien)
+ doute sur la 47 (extraction à proposer d'emblée pour poser des implants là aussi ou je la préviens et on laisse ce coté tranquille pour le moment?)

Je vous met les radios et j'attend vos avis avec impatience.
Merci par avance à ceux qui auront suivit tout mon pavé

J'ai réalisé des modèles d'étude mais je me bagarre encore pour transférer les photos

11   16 xlyqrd - Eugenol
25 by6rzh - Eugenol
44 azgzx6 - Eugenol
Panoramique xhojpf - Eugenol
23 et 25 dqbeuj - Eugenol

chirdent26

25/03/2015 à 15h25

sur ta radio RA secteur 1 la 16 semble limite en distal.
As-tu une radio plus centrée dessus?


Photo pluton1b h9n4ea - Eugenol
pluton

25/03/2015 à 15h27

bon, pour résumer en haut il ne te reste d’à peu près valable 12/11/21/25/27 (la 16 avec l'image inter-radiculaire est amha à mettre à la benne aussi...)

le problème c'est que si tu veux (enfin que la patiente veux) une solution implantoportée la solution classique en remplaçant les dents manquantes par des implants çà sera plutôt galère pour elle ne serait-ce que pour la temporisation (mettre une PAP sur les implants en attente j'aime pas trop, et dans cette configuration, pas de MCI...)
de plus question budget, çà va être très très proche d'une solution EII MCI globale, avec en plus des difficultés de gestion de l'esthétique lié aux dents toujours présentes...

bref, je vote pour une EII MCI à la sauce Posit pour le haut, çà règle tous les problèmes d'un coup, et avec une esthétique qui peut être vraiment chiadée...regarde en implanto le sujet "quelle intervention à eu lieu 24h avant", ton cas ce prête certainement très bien à cet exercice...

en bas: bridge 42/44 implant en 46 et 47 à la benne (trop fragile elle ne va pas durer longtemps...) et 2 implants secteur 3 (35/36) pour lui rétablir une mastication à peu près normale...de 6 à 6 en bas


209209668 fh2mys - Eugenol
fredo667

25/03/2015 à 16h56

Idem, je vote pour extr implantation immédiate globale avec mise en charge immédiate. après étude fiancière, puis scanner avant toute chose


Eldrya

25/03/2015 à 18h46

EII MCI?
alors j'imagine que MCI = mise en charge immédiate
EII je ne vois pas?

Bref pour le moment vous ètes plutôt d'accord avec ce que je pensais, l'autre option me semblait un peu trop bricolée.

J'ai effectivement vu le post avec l'intervention 24h avant et le résultat fait envie, je vais orienter ma patiente vers un confrère chir pour étude du cas si elle est ok dans l'idée d'un bridge complet en haut.

Je vous remercie pour vos avis


Eldrya

25/03/2015 à 18h46

erreur doublon


Photo pluton1b h9n4ea - Eugenol
pluton

25/03/2015 à 18h51

Eldrya écrivait:
----------------
> EII MCI?
> alors j'imagine que MCI = mise en charge immédiate
> EII je ne vois pas?

EII: Extraction Implantation Immédiate
MCI: Mise en Charge Immédiate

parce que l'on peut faire une EII sans mettre en charge et que l'on peut aussi faire une MCI mais sans avoir fait dans la même séance les extractions...;-)


Utilisateur banni

25/03/2015 à 19h17

83 ans c'est 1 blague ! tu n'oublies pas non plus de la hyaluroniser , de la botoxer ,et de faire remonter tout le tralala qui pend ...Et apres hop , direct dans le bois precieux , mais capitonné hein !


RépondreCiter
Photo pluton1b h9n4ea - Eugenol
pluton

25/03/2015 à 19h32

auroreboreale20mai écrivait:
----------------------------
> 83 ans c'est 1 blague !

il est où le problème?
à 40 ans voir moins, certains sont déjà entre 4 planches en sapin
à 83 ans, on peut être en pleine forme et toujours coquet (te)

le patient le plus âgé que j'ai implanté avait 94ans...pour une centrale sup en EII mise en esthétique immédiate svp, hors de question pour lui de se balader avec un dentier ou d'être sans dent...c'est que Monsieur était en pleine forme et courrait toujours les bals musettes...


Utilisateur banni

25/03/2015 à 19h44

Je ne le ferai pas pour ma mère ; si tu as toujours la ouache a 83 ans , va plutot au soleil , boire 1 coup et fumer 1 oinje et profite de ton dernier coucher de soleil ; Je pense qu 'a 83 ans on est 1 peu cui cui et surtout qu 'on a plus toute la vie devant nous , alors faut parer au plus pressé , éclate totale avec ou sans dents Ou alors tu laisses l 'héritage a tes petits enfants , qui en auront bien besoin ......Punaise , mamie , avec toutes ses ratiches , dans son bois précieux .....


RépondreCiter
Utilisateur banni

25/03/2015 à 19h51

coucou le pluton ! vous voulez qu on vous felicite pour cela ........Alors BRAVO


RépondreCiter
Photo pluton1b h9n4ea - Eugenol
pluton

25/03/2015 à 19h51

auroreboreale20mai écrivait:
----------------------------
> Je ne le ferai pas pour ma mère ; si tu as toujours la ouache a 83 ans , va
> plutot au soleil , boire 1 coup et fumer 1 oinje et profite de ton dernier
> coucher de soleil ; Je pense qu 'a 83 ans on est 1 peu cui cui et surtout qu
> 'on a plus toute la vie devant nous , alors faut parer au plus pressé , éclate
> totale avec ou sans dents Ou alors tu laisses l 'héritage a tes petits enfants
> , qui en auront bien besoin ......Punaise , mamie , avec toutes ses ratiches ,
> dans son bois précieux .....

et si son "éclate" à 83 ans c'est de toujours avoir un beau sourire?
et si son éclate c'est de ne pas avoir de dentier parce que çà lui donne des réflexes nauséeux?
et si son éclate c'est de bien bouffer plutôt que de fumer un joint ou boire un coup?...ah oui, sans dents c'est plus compliqué et les petits pots blédina on s'en lasse quand même vite...
à 83 balais on est peut être un peu "cui-cui" mais ce que tu dis est totalement "con-con"!!!


Utilisateur banni

25/03/2015 à 19h54

Pas concon , pov con , juste HUMAIN !


RépondreCiter
Photo pluton1b h9n4ea - Eugenol
pluton

25/03/2015 à 19h57

auroreboreale20mai écrivait:
----------------------------
> coucou le pluton ! vous voulez qu on vous felicite pour cela ........Alors
> BRAVO

non, c'est absolument pas le propos ni le sujet...
le sujet c'est un avis sur un plan de ttm d'une patiente, certes âgée (mais qui peut être en très bonne santé) mais qui veut une solution fixe sur implants...

le reste de tes propos c'est totalement hors sujet, plus que limite, voir même ridicule (en tout cas, moi, à te lire je suis mdr!!!)


Photo pluton1b h9n4ea - Eugenol
pluton

25/03/2015 à 20h05

auroreboreale20mai écrivait:
----------------------------
> Pas concon , pov con , juste HUMAIN !

t'as raison, laisser édenté quelqu'un pour qui bien bouffer est un plaisir c'est humain...visiblement, on a pas la même notion de l'Humanité...

P.S: si tu crois que mes interventions sur nonol c'est pour me faire de la "pub", jouer les rabatteurs pour avoir des correspondants tu te fous le doigt dans l'oeil, et jusqu'au coude, du taf j'en ai bien plus qu'il ne m'en faut et j'ai même pas besoin pour çà d'avoir des correspondants...


Utilisateur banni

25/03/2015 à 20h06

Enchantée de ne pas vous connaitre !


Photo pluton1b h9n4ea - Eugenol
pluton

25/03/2015 à 20h07

auroreboreale20mai écrivait:
----------------------------
> Enchantée de ne pas vous connaitre !

c'est réciproque!


dexter30

25/03/2015 à 20h11

Teigneuse l'Aurore !!!!!!! La pate de KERR a encore de beaux jours!!!


Utilisateur banni

25/03/2015 à 20h20

pate de kerr , oui , mais uniquement accompagnée de bulles :J'ai 1 standing a tenir tout de meme !


Photo pluton1b h9n4ea - Eugenol
pluton

25/03/2015 à 20h24

dexter30 écrivait:
------------------
> Teigneuse l'Aurore !!!!!!! La pate de KERR a encore de beaux jours!!!

c'est clair!
et son plan de ttm? hein? un brise nouilles dont la patiente ne veux absolument pas?
"allez au revoir Dr..."...et après certains se plaignent de ne pas avoir de travail...
vous avez plus de 80 balais...mais ma petite dame, vous êtes tout juste bonne pour sucer les pissenlits par la racine, à quoi çà sert d'avoir des dents???hein???
si çà se trouve, cette petite dame a une santé de fer et elle vivra aussi longtemps que Jeanne Calment...mais non, pour elle, elle est foutue, alors...

et après elle m'accuse de ne pas être "humain" de réfléchir au peut être 40 prochaines années de sa vie...


Utilisateur banni

25/03/2015 à 20h42

94 ans ! honte a vous ! Bon comme il me reste encore qq dents , direct apéro ; bonne soirée DOCTEUR PLUTON


RépondreCiter
Eldrya

25/03/2015 à 21h11

Oui elle est agée mais en forme et coquette, si je le sentais pas je ne lui proposerais pas. C'est à elle de voir si ça vaut le coup, elle peut encore vivre 20ans (ou plus) avec ses implants. Quand au budget, ce n'est pas à moi de décider pour elle.
Si je ne lui fais rien sous pretexte de son âge et que son bridge lâche dans 2 ans on fait quoi?
Si j'avais à choisir pour moi je choisirais comme elle, une solution fixe.
On propose bien des stellites à de jeunes patients.. et puis si elle part en maison de retraite on lui perdra pas ses dents.

Bref si vous avez des avis constructifs sur le plan de traitement


Photo pluton1b h9n4ea - Eugenol
pluton

25/03/2015 à 22h41

auroreboreale20mai écrivait:
----------------------------
> 94 ans ! honte a vous ! Bon comme il me reste encore qq dents , direct apéro ;
> bonne soirée DOCTEUR PLUTON

mon patient serait peut être encore de ce monde s'il n'avait pas été fauché dans sa 98 ème année d'un banal accident de la voie publique...
sincèrement, les personnes âgées qui veulent prendre soin d'elles sont aujourd'hui assez nombreuses et je peux comprendre leur envie de ne pas avoir un truc qui leur encombre la bouche.
les centenaires on en croise de plus en plus

quand à la honte, je n'ose imaginer celle de votre mère si elle vous lisait! votre vision de ce qui est humain est dans la grande ligne de pensée de l'endoctrinement des troupes d'Auschwitz...

désolé du hors sujet Eldrya...retournons au sujet si tu veux bien et donne nous tes impressions sur nos avis pour ton plan de ttm...


Eldrya

25/03/2015 à 23h00

Les remarques (constructives) me confortent dans l'idée d'un bridge total sur implant avec EII et MCI (j'ai bien suivit hein?).
Je vais donc le proposer à ma patiente (en plus de l'ext 47 avec implants à la mandibule) et si cela lui convient je l'envoie vers mon correspondant chir pour évaluer la faisabilité.
Par contre dans ce genre de cas, je ne peux faire mon devis qu'après l'avis chir (nombre et positions des implants), donneriez-vous une estimation à la patiente histoire qu'elle sache quand même où elle va?
est-il utile que j'envoie déjà la pano à ma consoeur de chir pour avoir une petite idée ou doit-on attendre le résultat du cone beam?


Eldrya

25/03/2015 à 23h08

D'ailleurs tous les chir n'utilisent peut être pas cette technique? Je vais me mettre en contact avec elle pour avoir son avis sur la question.


12