Cookie Consent byPrivacyPolicies.comCouronne enfant 16 ans - Eugenol

Couronne enfant 16 ans

Shey

31/03/2015 à 16h21

Bonjour a tous,

j'ai un ado en consultation dernièrement pour faire des couronnes sur 75 et 85 après un traitement ortho.
En effet les 2 temporaires sont ankylosées et ne sont plus dans le plan d'occlusion et on a une agénésie de 35 et 45.
La maman est prévenue que dans un temps plus ou moins proche il faudra faire 2 implants.

Je posterai les radios demain, mais que me conseillez vous comme traitement ?
En sachant que les dents temporaires sont intactes de tout traitement/carie, mais biens enfouies. Pour 75 de mémoire, seulement env 2mm de la face mésiale est supra gingivale.


1309531 ours brun n5iukf - Eugenol
seespan

31/03/2015 à 17h09

Shey écrivait:
--------------
> Bonjour a tous,
>
> j'ai un ado en consultation dernièrement pour faire des couronnes sur 75 et 85
> après un traitement ortho.
> En effet les 2 temporaires sont ankylosées et ne sont plus dans le plan
> d'occlusion et on a une agénésie de 35 et 45.
> La maman est prévenue que dans un temps plus ou moins proche il faudra faire 2
> implants.
>
> Je posterai les radios demain, mais que me conseillez vous comme traitement ?
> En sachant que les dents temporaires sont intactes de tout traitement/carie,
> mais biens enfouies. Pour 75 de mémoire, seulement env 2mm de la face mésiale
> est supra gingivale.

Dans tout les cas il faut les remettre dans le plan d'occlusion sinon les antagoniste vont égresser.
La voir avec les pédo mais tu peut soit faire endo couronne soit monté la hauteur avec du composite.

Le problème étant que si elles sont ankylosé tu vas avoir un problème de dimension verticale pour poser tes implant + une perte d'os plus ou moins importante l'ors de l'extraction.

Pour les cas d'agénésie il est conseiller de faire le traitement ortho en consultation avec le dentiste qui va réaliser les futures porthèse si possible.
>


--
หมอจัดฟัน


Zorba le grec 1373406512 108 lfk5ey - Eugenol
zorbalegrec

31/03/2015 à 17h17

Coiffes pedos pour rétablir l'occlusion ou même couronnes provisoire faites labos et scellées au verre ionomère


Mosquitogif zt3c7k - Eugenol
mosquito

31/03/2015 à 21h28


j'ai déjà vu des ccm sur molaires de lait d' un enfant de 10 ans.


Shey

01/04/2015 à 16h14

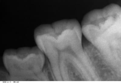
Voici les radios...
vous pouvez remarquer qu'il y a aussi un diasystème entre 34 et 75 ...
je récupère la gamine après 2 ans d'ortho (1ère fois consultation, elle n'était pas suivie chez moi, et du coup la collaboration avec l'ortho, ben y en a pas ...)

Le coup des provisoires de labo me parlent pas mal. Concrètement après pour la taille on ferait comme une couronné préformée? taille de la face mésiale + distale et scellement ?

75 ghrdn4 - Eugenol
85 ss2eyj - Eugenol
75 2 cyjmtv - Eugenol
85 2 ogqlho - Eugenol

Blocperso talon jer3sl - Eugenol
mrquentin

03/04/2015 à 12h38

bon,
pour moi, sans avoir vu les radios, je t'aurais dis les yeux fermés: overlays collés avec préparation de la table occlusale à minima juste pour ouvrir les sillons.
Mais au vu de tes radios, on voit bien que la face distale est clairement en dessous du point de contact de tes 6.
si tu fais une couronne provisoire, tu n'aura pas de place, tes profils d'émergence vont etre pourris, tu va avoir une inflammation constante, des reprises de caries etc...
pour moi, je pense que tu mets un gros compo juste pour maintenir la distance md et l'antagoniste, et à 18 20 ans, tu extrais d'emblée et tu mets 2 implants. l'objectif pour moi, ici, c'est de ne pas avoir de caries sur les 6. Après, si l'ortho accepte de distaler un peu les 6, alors mets des overlays céramique.