Tous les forums
Un avis SVP
14/04/2015 à 21h03
Bonjour,
J'ai besoin de votre avis car j'ai le problème suivant.
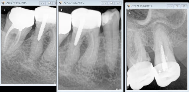
J'ai réalisé une endo sur la 36 début 2015 afin de réaliser un tfm et une coiffe ccm.
J'ai posé cette dernière il y a environ 3 mois et aujourd'hui j'ai revu la patiente qui se plaint d'une gêne à la gencive sans vraiment parler de douleur;
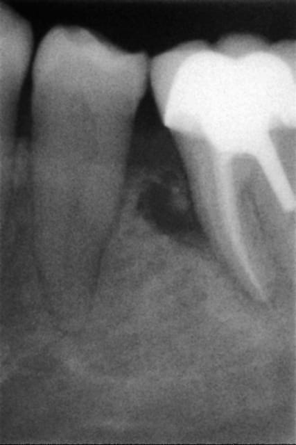
Je vous fais passer la radio qui montre une image au niveau du septum 35 36 et je suis vraiment étonné qu'en l'espace de si peu de temps je puisse avoir une telle lésion.
D'après vous est-ce un problème endo, paro (j'ai bien nettoyé l'espace aujourd'hui sous AL afin de vérifier l'absence d'un fragment de ciment de scellement mais rien de particulier).
Je suis un peu dérouté d'un tel problème.
Je vous remercie par avance de bien vouloir me donner vos avis.
14/04/2015 à 22h50
Au niveau anesthésie j'ai dû faire ( je ne m'en souviens pas très bien) une para-apicale avec injection très lente complétée éventuellement par une intraligamentaire ( ce qui est loin d'être systématique pour les molaires du bas).
J'ai pensé au problème d'anesthésie mais les suites de l'endo ont été sans soucis et entre le traitement radiculaire et la pose de la couronne il s'est passé presque un mois, tout était normal le jour de la pose, un problème d'anesthésie aurait provoqué une nécrose gingivale il me semble.
Concernant un canal latéral, pensez-vous qu'on puisse en si peu de temps avoir une telle image?
Si vous avez d'autres idées ?
Merci
14/04/2015 à 23h03
une félure sur les racines mésiales ? as tu fais de la condensation latérale ?
Peut etre déposer la couronne et lever un lambeau pour y voir plus clair ? + curetage au plus vite
14/04/2015 à 23h08
non pas de condensation latérale, aujourd'hui je n'ai pas fait de lambeau mais un curetage soigneux sous AL, je dois la revoir dans 15 jours à 3 semaines pour voir ce que ça donne mais bon je ne le sens pas très bien tout ça!!!
15/04/2015 à 00h44
Mitch-62 écrivait:
------------------
> La fracture parait s'imposer comme une évidence.
Peut-être, mais typiquement les fractures( et fêlures) donnent des lésions en "doigt de gant" : elargissement au niveau desmodontal remontant jusqu'à la surface, et ce n'est pas le cas ici. En plus le délais semble court, pour une telle lésion consécutive à fracture, et pas de douleur à la pression(?).
J'ai parfois vu des lésions bizarres avec de la plaque bacterienne poussée par l'aiguille de l'intraligamentaire dans le desmodonte.
15/04/2015 à 01h13
Je veux pas dire mais le dépassement en mésial a pourvu l'os en germe et on a une infection qui remontre depuis l'apex vers le haut, après un autre élément se surajoute, à voir du côté de ce qui a été écrit plus haut.
15/04/2015 à 13h20
Merci pour vos avis,en grossissant la radio on peut effectivement penser à une fracture de la racine.Ce n'est pourtant pas la racine qui supporte le tenon.
D'après vous qu'elle en est la cause:réglage de l'occlusion (pourtant la couronne ne semble pas la gêner ni en lateralités) ou autre raison?
Si c'est le cas,comment gérez-vous la suite d'un point de vue responsabilité puisque davier et implant sont inéluctables:rcp? En 30 ans je ne m'en suis jamais servi, tout pour ma pomme?
Merci
15/04/2015 à 13h34
tu lui explique le problème et tu ne factures pas la future couronne sur implant
15/04/2015 à 14h08
Je ferais aussi un geste sur la future couronne sur implant pour être sympa, en lui expliquant bien que la fracture est liée à une fragilité de sa dent plutôt qu'au traitement. Gratuite par contre, surement pas.
Edit : au moins une autre radio et pourquoi pas un cbct pour confirmer la fracture quand même hein, avant de se jeter sur le davier.
15/04/2015 à 14h18
Faire un geste sur la couronne me semble tout à fait normal mais pour l'implant ?
15/04/2015 à 14h22
Évidemment je vais recontroler avant d'extraire je la revoie dans quelques temps.
Je suis quand même un peu dérouté par cet incident que je rencontre pour la première fois en 32 ans de cabinet,j'ai eu des fractures de racines sur des dents couronnées mais souvent après plusieurs années et en général sur les racines qui supportaient le tenon.
Merci pour votre aide
15/04/2015 à 14h33
Certainement le traitement radiculaire a aggravé une fissure existante de la racine.
A mon avis c'est un impondérable dont tu n'es pas responsable si ce n'est d'avoir avancé l'inéluctable.
Le problème est surtout la difficulté d'explication du phénomène auprès du patient.
Peut-être faudrait il un consentement éclairé pour chaque acte que nous réalisons.
15/04/2015 à 20h11
Concernant l'implant (s'il faut en venir à cette solution) vous le prendriez en charge ou vous le laisseriez à la charge de la patiente ?
15/04/2015 à 20h36
Shadow écrivait:
----------------
> Je veux pas dire mais le dépassement en mésial a pourvu l'os en germe et on a
> une infection qui remontre depuis l'apex vers le haut, après un autre élément se
> surajoute, à voir du côté de ce qui a été écrit plus haut.
Mouahahaha ! tu as raison mieux vaut s'arrêter à 4 mm de l'apex. -)))
Par exemple, pas d'emmerdes pas de digue tt express en rapport avec sa rémunération-)))))
15/04/2015 à 20h45
clarafon écrivait:
------------------
> Concernant l'implant (s'il faut en venir à cette solution) vous le prendriez en
> charge ou vous le laisseriez à la charge de la patiente ?
Pas de raison, alea thérapeutique. Travail sous digue, tu as la tracabilité de sté et des matériaux employés ?
16/04/2015 à 01h19
pourquoi pas faire un cone beam?
en plus dans ce cas c'est pris en charge et vous aurez tres probablement une idee plus precise de l'orgine de la chose
16/04/2015 à 09h24
Pour répondre à chicot29 oui j'ai toute la traçabilité, je suis très serein là dessus.
Concernant le cone beam, n'ayant pas le matériel au cabinet, vers qui l'adresser? tous les radiologues peuvent-ils le faire?
16/04/2015 à 09h48
lol @ prendre en charge l'implant. Le seul cas de figure où je ferais ça, c'est si j'avais arraché la mauvaise dent.