Cookie Consent byPrivacyPolicies.comPourquoi faire simple quand..... - Eugenol
S2y2o1v7q53ws4r5wy6ou8czrpom - Eugenol
pxav

18/04/2015 à 00h34

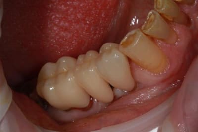
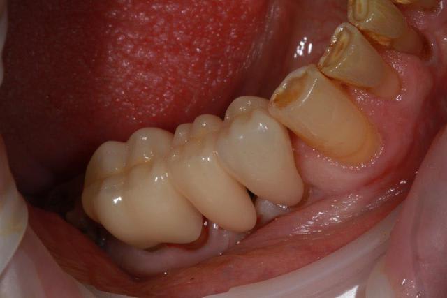
Nouveau patient, pose d'un implant il y a 2 mois....échec sans raisons particulières, douleurs et dépose.

Ce matin repose d'un nouvel implant et comme je ne veux pas prendre de risque, et que les dents adjacentes doivent être couronnées, je pose un bridge en emax press, mais scellé au ciment provisoire...
Si l'implant va bien le bridge sera déposé, coupé, et 44/46 seront collées définitivement après traitement acide et silane.
Si par hasard l'implant pose problème, dépose et bridge collé.
y sont fous chez...

--
xbk
"Si tous ceux qui croient avoir raison n'avaient pas tort, la vérité ne serait pas loin" Dac Pierre

Img 2115 ypx3g5 - Eugenol
Img 2118 ynxns1 - Eugenol
Img 2113 qrpbwu - Eugenol
Img 2111 nvfgu1 - Eugenol
Img 2112 khqflc - Eugenol
Img 2117 kzozk3 - Eugenol
Img 2119 bfhxug - Eugenol
Img 2120 prcrab - Eugenol

G-P

18/04/2015 à 11h47

Le bridge emax scellé au ciment temporaire, t'as pas peur !


Vw campersurfvan bmnk1q - Eugenol
enlaye

18/04/2015 à 12h04

Puisque tu as fais un bridge , pourquoi tu rajoutes un implant ??
Tu bossais chez Balzen ?


paradoxe

18/04/2015 à 12h05

Je ne comprends pas bien l'intérêt de l'implant dans ce cas..
L'abrasion importante et présente mériterait peut être et plutôt une réhab esthétique paro dento faciale (dans laquelle l'implant n'a aucun intérêt).
Je ne dois pas être bien réveillé..


log69

18/04/2015 à 13h16

enlaye écrivait:
----------------
> Puisque tu as fais un bridge , pourquoi tu rajoutes un implant ??
> Tu bossais chez Balzen ?

parce que cela fait un implant de plus et le CA n'est pas le meme !!!
c'est cela la dentisterie de sur-traitement !!! ... qui valorise notre image ...


Img 0812 mvp6i0 - Eugenol
jeamba

18/04/2015 à 14h30

J'ai également du mal à saisir le pourquoi, il y a sûrement une raison. La passion peut être!!!


S2y2o1v7q53ws4r5wy6ou8czrpom - Eugenol
pxav

18/04/2015 à 14h35

log69 écrivait:
---------------
> enlaye écrivait:
> ----------------
> > Puisque tu as fais un bridge , pourquoi tu rajoutes un implant ??
> > Tu bossais chez Balzen ?
>
> parce que cela fait un implant de plus et le CA n'est pas le meme !!!
> c'est cela la dentisterie de sur-traitement !!! ... qui valorise notre image
> ...

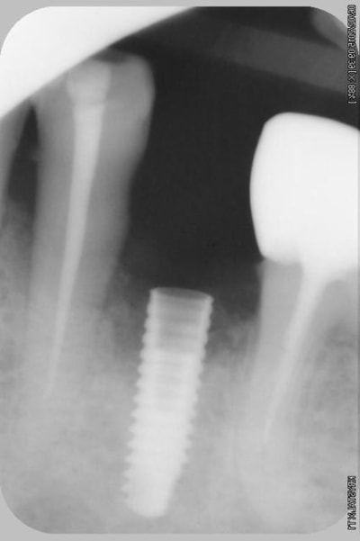
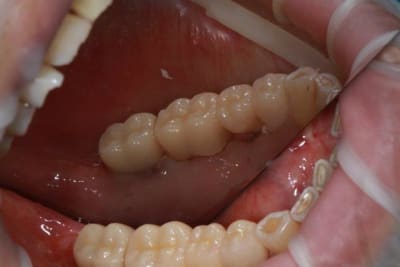
alors là pas du tout, le patient vient me voir pour des implants, donc je fais une étude du cas absence des molaires supérieures, couronnes mandibulaires très ancienne 45 racine cassée, 44 dévitalisée mais passablement déchaussée, donc avulsion de 45 et pose d'un implant avant de refaire les couronnes 46/47 et l'ensemble.
Échec implantaire, et oui ça arrive, même dans un cas paraissant simple.
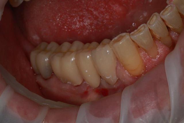
Dépose gratuite bien sur et repose gratuite aussi, le bridge n'est pas facturé non plus, il le sera sous forme de 2 couronnes que cette fois ci l'implant fonctionne ce que j’espère, ou laissé en bridge si l'implant devait être retiré.
Le fait de scellé au ciment temporaire ne pose en principe pas de problème pour 3 à 6 mois.
dans le cas présenté, le but est de redonner confiance au patient, et pas du tout le fric.
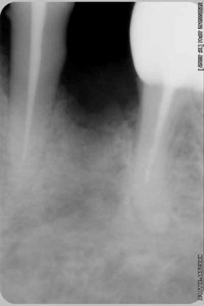
je n'ai pas les radios ici...semaine prochaine.

Merci de vos critiques constructives
--
xbk
"Si tous ceux qui croient avoir raison n'avaient pas tort, la vérité ne serait pas loin" Dac Pierre


Images mg2jvu - Eugenol
zorg

19/04/2015 à 15h13

Indications des implants

- Manque de rétention d'une prothèse adjointe
- Instabilité d'une prothèse adjointe
- Inconfort fonctionnel avec les prothèses adjointes
- Refus psychologique de port d'une prothèse adjointe
- Habitudes parafonctionnelles qui compromettent la stabilité d'une prothèse adjointe
- Localisation et nombre inadéquats de piliers résiduels
- Absence de pilier dentaire pour réaliser une prothèse fixée
- Edentement unitaire avec des dents adjacentes saines
- Agénésies dentaires
- Demande d'une thérapeutique conservatrice (refus de mutilation des dents saines)
- Nécessité d'un ancrage orthodontique pour réaliser des mouvements au niveau d'une même arcade, des mouvements interarcades, des mouvements des bases osseuses.
- Edentement bout libre rendant impossible une restauration fixée.

on a effectivement un peu de mal à le faire entrer dans les indications... Tant qu'il n'y a pas de souci ou de récrimination du patient tout va bien, sinon...
A part çà c'est bien fait, rien à dire.


S2y2o1v7q53ws4r5wy6ou8czrpom - Eugenol
pxav

19/04/2015 à 19h12

zorg écrivait:
--------------

> A part çà c'est bien fait, rien à dire.


Ouf, j'ai évité le pire... :-))

--
xbk
"Si tous ceux qui croient avoir raison n'avaient pas tort, la vérité ne serait pas loin" Dac Pierre


pascal79

20/04/2015 à 12h12

bonne question malgré tout ... qui considère que c'est du sur-traitement de faire un implant entre 2 dents à couronner ( ou couonnées )?


merlin31000

20/04/2015 à 12h18

pascal79 écrivait:
------------------
> bonne question malgré tout ... qui considère que c'est du sur-traitement de
> faire un implant entre 2 dents à couronner ( ou couonnées )?

dents à couronner : surtraitement...
dents déjà couronnées en supposant un travail de qualité : pas de surtraitement...
dents déjà couronnées laissant à désirer : y a débat...
;=)))


S2y2o1v7q53ws4r5wy6ou8czrpom - Eugenol
pxav

20/04/2015 à 15h29

Pour les septiques, toujours certain que c'est du sur-traitement?

--
xbk
"Si tous ceux qui croient avoir raison n'avaient pas tort, la vérité ne serait pas loin" Dac Pierre

Bre ro pano le 27.01 - Eugenol
030copier f6m6mc - Eugenol
005copier qvbpna - Eugenol
015copier g6dw6t - Eugenol
Bre ro le  - Eugenol

Smile beach jgh0a1 - Eugenol
Céramik

20/04/2015 à 16h58


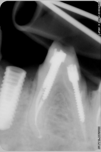
Je suggère de refaire l'endo sur la "4" ;-)

--
Céramik


dent2669

20/04/2015 à 17h38

pxav écrivait:
--------------
> Pour les septiques, toujours certain que c'est du sur-traitement?
>


mettre 3 screw-posts dans les racines de la 6 ce n'est pas du sur-traitement c'est un assassinat dentaire !


Vw campersurfvan bmnk1q - Eugenol
enlaye

20/04/2015 à 18h42

dent2669 écrivait:
------------------

mettre 3 screw-posts dans les racines de la 6 ce n'est pas du sur-traitement c'est un assassinat dentaire !

suis pas sur du tout que ce soit un assassinat , 2669 .
pourtant je ne suis pas fan des screw-post loin de là !
mais la reconstruction est bien gerée , le cd ç est bien battu pour cette 6 .y a pas de quoi appeller hercules poirot .


log69

20/04/2015 à 18h50

pxav écrivait:
--------------
> zorg écrivait:
> --------------
>
> > A part çà c'est bien fait, rien à dire.
>
>
> Ouf, j'ai évité le pire... :-))
>
> --
pourquoi ne pas remplacer la 7 avant tout ?
et la l'implant s'impose ...


Vw campersurfvan bmnk1q - Eugenol
enlaye

20/04/2015 à 20h20

pascal79 écrivait:
------------------
" bonne question malgré tout ... qui considère que c'est du sur-traitement de faire un implant entre 2 dents à couronner ( ou couonnées )? "

il y a 2 questions dans ta question :

+ qui considère que c'est du sur-traitement de faire un implant entre 2 dents à couronner ?
- je te dis moi

+ qui considère que c'est du sur-traitement de faire un sur-traitement de faire un implant entre 2 dents couronnées
- faut voir


Vw campersurfvan bmnk1q - Eugenol
enlaye

20/04/2015 à 20h38

par contre sur- traitement a une connotation pejorative mercantile qui est inappropriée .
je dirais plutot mauvais traitement :-))) croyant bien faire .


zircone

20/04/2015 à 22h06

Bonjour ,
Pour changer un peu de la polémique sur le surtraitement
Concernant l implant , s agit il d un Px d Anthogyr ?


S2y2o1v7q53ws4r5wy6ou8czrpom - Eugenol
pxav

20/04/2015 à 22h37

Céramik écrivait:
-----------------
>
> Je suggère de refaire l'endo sur la "4" ;-)
>
> --
> Céramik

D'accord avec toi ceramic, j'ai essayé, mais sans résultat...désolé;-))
--
xbk
"Si tous ceux qui croient avoir raison n'avaient pas tort, la vérité ne serait pas loin" Dac Pierre


S2y2o1v7q53ws4r5wy6ou8czrpom - Eugenol
pxav

20/04/2015 à 22h42

dent2669 écrivait:
------------------
> pxav écrivait:
> --------------
> > Pour les septiques, toujours certain que c'est du sur-traitement?
> >
>
>
> mettre 3 screw-posts dans les racines de la 6 ce n'est pas du sur-traitement
> c'est un assassinat dentaire !


j'ai choisi la moins mauvaise solution, fonction de ce que je sais faire, 3 screws post scellées, et résine...pas top mais ça ne mérite pas la chaise électrique.

Bien sur j'aurais gagné plus en faisant un IC à clavette, comme à la mutuelle... mais pour avoir passé 1h30 et cassé 8 fraises sur le dernier IC clavette que j'ai déposé, j'évite ce genre de travail.

--
xbk
"Si tous ceux qui croient avoir raison n'avaient pas tort, la vérité ne serait pas loin" Dac Pierre


S2y2o1v7q53ws4r5wy6ou8czrpom - Eugenol
pxav

20/04/2015 à 22h46

log69 écrivait:
---------------
> pxav écrivait:
> --------------
> > zorg écrivait:
> > --------------
> >
> > > A part çà c'est bien fait, rien à dire.
> >
> >
> > Ouf, j'ai évité le pire... :-))
> >
> > --
> pourquoi ne pas remplacer la 7 avant tout ?
> et la l'implant s'impose ...

remplacer la 7 par un implant, je veux bien, surtout que sans antagoniste, je ne risque pas grand chose...
De plus bien que faisant des implants depuis 30 ans je considère que le mieux c'est de sauver ou de prolonger au maximum les dents naturelles.
--
xbk
"Si tous ceux qui croient avoir raison n'avaient pas tort, la vérité ne serait pas loin" Dac Pierre


S2y2o1v7q53ws4r5wy6ou8czrpom - Eugenol
pxav

20/04/2015 à 22h47

enlaye écrivait:
----------------
> dent2669 écrivait:
> ------------------
>
> mettre 3 screw-posts dans les racines de la 6 ce n'est pas du sur-traitement
> c'est un assassinat dentaire !
>
> suis pas sur du tout que ce soit un assassinat , 2669 .
> pourtant je ne suis pas fan des screw-post loin de là !
> mais la reconstruction est bien gerée , le cd ç est bien battu pour cette 6 .y a
> pas de quoi appeller hercules poirot .

Merci, je pense la même chose
--
xbk
"Si tous ceux qui croient avoir raison n'avaient pas tort, la vérité ne serait pas loin" Dac Pierre


S2y2o1v7q53ws4r5wy6ou8czrpom - Eugenol
pxav

20/04/2015 à 22h50

zircone écrivait:
-----------------
> Bonjour ,
> Pour changer un peu de la polémique sur le surtraitement
> Concernant l implant , s agit il d un Px d Anthogyr ?

Oui, un Px, le premier était un Reg.
l'os était tendre, ce qui explique le choix du Px

--
xbk
"Si tous ceux qui croient avoir raison n'avaient pas tort, la vérité ne serait pas loin" Dac Pierre


6szjws718sv1jksw54v4mpj3a6cu - Eugenol
vulpi

20/04/2015 à 23h25

pxav écrivait:
"remplacer la 7 par un implant, je veux bien, surtout que sans antagoniste, je ne risque pas grand chose...
De plus bien que faisant des implants depuis 30 ans je considère que le mieux c'est de sauver ou de prolonger au maximum les dents naturelles. "

Un peu de douceur dans un monde de brutes, je plussois.
Et puis tiens c'est fête!
Les inlay-cores ne fracturent pas les racines (surtout avant 2006), et un bridge bien réalisé ben ça tient à l'aise 20 ans, et je ne vous parle pas de la PAP.
Après,c'est comme tout faut essayer. Aussi, nous les anciens nous n'avions pas les implants, alors fallait ce débrouiller, inventer, comment ils appelaient ça, ah oui le sens clinique, vaut rien le sens clinique à coté de la based evidence, mon prof de PAC il disait des choses, et bien aujourd'hui on lui couperait les deux mains, en plus il était pas politiquement correct, et pourtant...

" Ce n’est pas parce que les choses sont difficiles que nous n’osons pas, c’est parce que nous n’osons pas qu’elles sont difficiles"
Sénèque


12