Cookie Consent byPrivacyPolicies.comun peu de muco - Eugenol

un peu de muco

Smile beach jgh0a1 - Eugenol
Céramik

18/04/2015 à 22h33

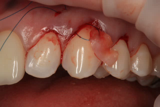
Comme on voit pas bcp de muco sur eugenol

P'tite 23 qui montrait trop de racine

Les 2 dernières photos sont à la dépose des fils (14 jours)

--
Céramik

Img 1723 puokqd - Eugenol
23  14 jours  2 xiwvdc - Eugenol
23   14 jours  bbmxxy - Eugenol
Img 1725 rjfwz0 - Eugenol
Img 1727 vhue8q - Eugenol
Img 1726 ea1ovh - Eugenol

Botticelli birth venus 2 erg9vl - Eugenol
garance

19/04/2015 à 00h01

Très joli!!


Condylalor2

19/04/2015 à 02h37

Beau travail!


6szjws718sv1jksw54v4mpj3a6cu - Eugenol
vulpi

19/04/2015 à 11h45

Une chose que je ne comprends pas. La récession a une éthologie.
En faisant ta muco tu changes le morphotype, mais si la cause n'est pas traitée, n'y a t-il pas un risque de récidive, plus tardif, il y a plus d'épaisseur, mais réel?


Vw campersurfvan bmnk1q - Eugenol
enlaye

19/04/2015 à 12h11

J avoue aussi ne pas comprendre totalement .
Si il y a récession c est que l os c est barré .on fabrique donc une pseudo poche certes de très bonne qualité, certes avec une bonne attache .mais cette attache est elle stable , si on ne traite pas la cause ?
Autrement dit est ce que l on ne fabrique pas des poches a visée esthétique ?
Bien vu le coup du composé pour caler le fil !!!!!


 mg 0207 xwjxcl - Eugenol
Tillc

19/04/2015 à 16h07

Pas mal ,
j'avoue que bloquer la traction juste par un collage j'aurais pas osé trop peur que le patiente le fasse sauter.
Sinon c 'est propre comme d hab.
Le conjonctif c 'est du tuberositaire ?
Poste nous les photos a 6 semaines :) a 14j c'est toujours un peu inflammatoire.
Ca fait longtemps que j'en ai pas balancé aussi. Je tente de transferer des cas rigolos cette semaine.


Smile beach jgh0a1 - Eugenol
Céramik

19/04/2015 à 17h49

Tillc écrivait:
---------------
> Pas mal ,j'avoue que bloquer la traction juste par un collage j'aurais pas osé trop peur que le patiente le fasse sauter.

Pas de danger, c'est super solide !
Il y a une "sling suture" pour la traction, le point collé au compo, est en plus, pour tester ;-)


> Sinon c 'est propre comme d hab.

Merci


> Le conjonctif c 'est du tuberositaire ?

Non, du palais, la tubérosité n'était pas un site accessible dans ce cas


> Poste nous les photos a 6 semaines :) a 14j c'est toujours un peu inflammatoire.

La patients revient dans 6 mois pour le suivi semi-annuel...




--
Céramik


Smile beach jgh0a1 - Eugenol
Céramik

19/04/2015 à 18h02

Voici un cas similaire, encore une 23, perte de tissu plus grande, pas de point suspendu avec compo, seulement 2 "sling-suture".

Greffon tracté sous lambeau en mésial et distal comme le cas précédent avec sutures.

Pas d'incision vertical en mésial, surtout que la 22 est un implant, placé trop apical, donc risque de perdre papille distal de 22 +++. Petite incision vertical en distal de 23, pour tracter le lambeau.

Photo final à 4 mois, belle intégration du tissu je pense.


--
Céramik

Greffe tissu 23 idzs0b - Eugenol

G-P

19/04/2015 à 22h22

Pour tous ceux qui pensent que ca va se barrer vu qu'il n'y a pas d'os : peut-être, et même si ça ne dure que 5 ans où est le problème ?


Vw campersurfvan bmnk1q - Eugenol
enlaye

19/04/2015 à 22h46

G-P écrivait:
-------------
" Pour tous ceux qui pensent que ca va se barrer vu qu'il n'y a pas d'os : peut-être, et même si ça ne dure que 5 ans où est le problème ? "

de pb il n'y en a pas , meme si cela ne tient que 5 ans , ç est largement suffisant pour le faire .
cela n'empeche que je ne comprends pas
+ pourquoi la destructon se fait "naturellement" et qu'elle ne se fait plus ensuite sans pour autant avoir resolu la cause . sauf si la cause se resume à un biotype fin , peut etre ?

+ pourquoi les paro nous font tout un bordel pour une poche et là qu'ils en creent une , ça va bien ?

pour etre clair , je n'ai pas une bonne culture paro ,d'ou ma question , ce n'est pas une critique ,mais une question de blaireau en paro :-))))


Smile beach jgh0a1 - Eugenol
Céramik

20/04/2015 à 00h27

Ça fait plus de 10 ans que je fais du conjonctif enfoui, et ça reste stable.

Si vous regardez le 2e cas, on voir des traces de papier bleu, la fonction canine a été modifié.

Saviez vous que bcp de dents présentes des déhissence osseuse vestibulaire sans pour autant avoir de poche paro ou de perte d'attache ? La présence d'os en vestibulaire n'est pas obligatoire, dans la mesure où l'os interdentaire est présent, pour avoir une gencive adéquate.

Pour les études je vous laisse chercher sur google, pubmed et autres sites, je ne suis qu'un petit
dentiste qui s'amuse avec des fils bleus :-)

(Je vous suggère imuco pour votre ipad)



--
Céramik


6szjws718sv1jksw54v4mpj3a6cu - Eugenol
vulpi

20/04/2015 à 12h10

Merci, tu as traité en plus une probable étiologie, c'était le sens de ma question.


Vw campersurfvan bmnk1q - Eugenol
enlaye

20/04/2015 à 13h01

ok ok ceramik .
si d'aventure , il faut faire une ceram , combien de temps tu conseillerais d'attendre ? je suppose qu'il vaut mieux eviter le fil pour l'empreinte ?


Smile beach jgh0a1 - Eugenol
Céramik

20/04/2015 à 16h56

enlaye écrivait:
----------------

> si d'aventure , il faut faire une ceram , combien de temps tu conseillerais
> d'attendre ? je suppose qu'il vaut mieux eviter le fil pour l'empreinte ?

Si céram à faire : greffe, puis attente de 8 semaines (c'est le temps conseillé dans les études)

Pour le fil, pas besoin pour les céram, tu tailles pas sous gingival ;-)


--
Céramik


Darmon - Eugenol
Latin

20/04/2015 à 18h01

A propos de la création ou non d'une poche dans ce contexte :

Il me semble que sur la dentine il peut y avoir réattache qui est améliorée en empêchant la formation d'un long épithélium de jonction par ré-épithélialisation du versant interne du greffon. En présence d'un composite reconstituant une lésion cervicale très apicale associée à une récession gingivale, il est même conseillé de retirer toute la résine avant la greffe afin de permettre une réattache qui serait impossible sur du composite.

Qu'en est-il?

--
`·.¸¸.·´¯`·.¸¸.·´¯`·.¸¸.·´¯`·.¸ ><((((((º>


Smile beach jgh0a1 - Eugenol
Céramik

20/04/2015 à 18h12

Latin écrivait:
---------------
En présence d'un composite reconstituant une
> lésion cervicale très apicale associée à une récession gingivale, il est même
> conseillé de retirer toute la résine avant la greffe afin de permettre une
> réattache qui serait impossible sur du composite.
>
> Qu'en est-il?


Absolument, faut éviter le compo sur les racines,
mieux vaut faire greffe muco.

Si compo présent, faut le retirer juste avant de faire la greffe de recouvrement


--
Céramik


l adan

20/04/2015 à 19h29

Sympa , je trouve que cela a meme amelioré l'aspect gingival autour de 22 . D'ailleurs y avait il eu une greffe en evstibulaire de 22 ou peut etre du tissu palatin ramené en vestibulaire ?


Céramik écrivait:
-----------------
> Voici un cas similaire, encore une 23, perte de tissu plus grande, pas de point
> suspendu avec compo, seulement 2 "sling-suture".
>
> Greffon tracté sous lambeau en mésial et distal comme le cas précédent avec
> sutures.
>
> Pas d'incision vertical en mésial, surtout que la 22 est un implant, placé trop
> apical, donc risque de perdre papille distal de 22 +++. Petite incision vertical
> en distal de 23, pour tracter le lambeau.
>
> Photo final à 4 mois, belle intégration du tissu je pense.
>
>
> --
> Céramik


Smile beach jgh0a1 - Eugenol
Céramik

20/04/2015 à 19h57

l adan écrivait:
----------------
> Sympa , je trouve que cela a meme amelioré l'aspect gingival autour de 22 .
> D'ailleurs y avait il eu une greffe en evstibulaire de 22 ou peut etre du tissu
> palatin ramené en vestibulaire ?



La 22 est un implant posé il y a qq années (5 environ) (dans un autre cab), et il y a eu greffe de gencive (par le même CD).
Je ne connait pas les détails opératoires



--
Céramik


6szjws718sv1jksw54v4mpj3a6cu - Eugenol
vulpi

21/04/2015 à 11h49

Il a été décrit des cas de résorption radiculaire avec cette technique. Légende urbaine comme pour les IC?


 mg 0207 xwjxcl - Eugenol
Tillc

21/04/2015 à 14h26

Resorptions radiculaires sur des tunnelles ? Jamais entendu .
Premier cas un tunnel justement avec le suivi a 3 ans.

Img 1742 j99nq3 - Eugenol
Img 1809 lmclmq - Eugenol
 mg 0140 ewj2lq - Eugenol
Img 2808 ynakfi - Eugenol

Vw campersurfvan bmnk1q - Eugenol
enlaye

21/04/2015 à 14h37

ça doit etre bonnard de travailler sur des gens qui n'ont rien (ou pas grand chose ) :-))))))))))


 mg 0207 xwjxcl - Eugenol
Tillc

21/04/2015 à 14h41

Et une double greffe gingivale libre avec prelevement bi lateral ( pour vous rassurer j'ai misune plaque palatine).
Et non mes fils ne sont pas en bordel ! Ils sont organisés a ma facon.

Img 2397 ktes4t - Eugenol
Img 2504 u1uavw - Eugenol
Img 2429 esara0 - Eugenol

6szjws718sv1jksw54v4mpj3a6cu - Eugenol
vulpi

21/04/2015 à 17h18

merci pour ces informations, je vais pouvoir adresser mes patients sereinement.


S2y2o1v7q53ws4r5wy6ou8czrpom - Eugenol
pxav

21/04/2015 à 20h26

Ceramic, toujours aussi classe.
bravo

--
xbk
"Si tous ceux qui croient avoir raison n'avaient pas tort, la vérité ne serait pas loin" Dac Pierre


 mg 0207 xwjxcl - Eugenol
Tillc

22/04/2015 à 01h24

enlaye écrivait:
----------------
> ça doit etre bonnard de travailler sur des gens qui n'ont rien (ou pas grand
> chose ) :-))))))))))

C'est tout le probleme. Les gens qui ont des problemes ( des vrais) s'en tape de faire de la mucco.
La muco c'est clairement un probleme de femme, sans problemes, qui aiment bien se regarder le nombril.


12