Cookie Consent byPrivacyPolicies.comun peu de muco - Eugenol

un peu de muco

Smile beach jgh0a1 - Eugenol
Céramik

23/04/2015 à 03h16

Tillc écrivait:
---------------
>
> La muco c'est clairement un probleme de femme, sans problemes, qui aiment bien se regarder le nombril.

Vrai et Faux...
En implanto, j'en fais un paquet !

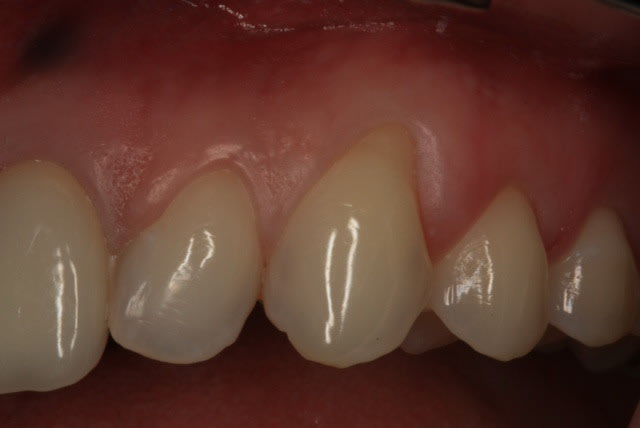
Tient, un suivi de 24 mois post greffe sur 2 implants
Mec de 60 ans



--
Céramik

Untitled wifczo - Eugenol

Smile beach jgh0a1 - Eugenol
Céramik

23/04/2015 à 03h27

---


flicflac

03/10/2015 à 13h57

as-ton besoin d'une largeur de gencive attaché aussi grande?
La technique tunnelle est-elle une mode plus américaine? (Pat Allen)
Y-a-t-il un danger à faire une verticale au niveau d'un implant?
Le lambeau déplacé coronalement donne un accès plus facile pour le surfacage et la mise en place précise du greffon conjonctif?
Bravo céramik pour tes belles photos
Tu aimes toujours le polipropylène? Même avec le 6-0 et la coupure du fil assez loin du noeud, certain patient le trouve irritant, je pense changer.


Smile beach jgh0a1 - Eugenol
Céramik

05/10/2015 à 17h09

flicflac écrivait:
------------------
> as-ton besoin d'une largeur de gencive attaché aussi grande?

Chais pas, mais oui...plus facile de faire une greffe de 5 mm minimum...

> La technique tunnel est-elle une mode plus américaine? (Pat Allen)

L'indication du tunel est pas tjrs possible, et Allen ne fait que de l'alloderme, alors il fais pas autre chose...

> Y-a-t-il un danger à faire une verticale au niveau d'un implant?

Heu ? Incision verticale ? Pas vraiment.

> Le lambeau déplacé coronalement donne un accès plus facile pour le surfacage et
> la mise en place précise du greffon conjonctif?

Oui

> Bravo céramik pour tes belles photos

Si tu parles du cas de greffe avec les implants, photo au iphone 4s ;-) mon canon n'était pas dispo ;-) et pour le suivi à 2 ans, j'ai trouvé cela rigolo de refaire la photo de la même manière .


> Tu aimes toujours le polipropylène? Même avec le 6-0 et la coupure du fil assez
> loin du noeud, certain patient le trouve irritant, je pense changer.

Oui, mais je joue aussi avec le PTFE 5-0, plus souple.
C'est très rare que le poly 6-0 pose problème, je l'utilise plusieurs fois par semaine


--
Céramik


Smile beach jgh0a1 - Eugenol
Céramik

07/10/2015 à 05h01

Un petit hop sur le 1er cas du fil

1- Pré-op
2- J+14
3- J+14
4- J+3 mois


--
Céramik

1 23 pr  op yzjpb4 - Eugenol
2  23   14 jours  tbsili - Eugenol
3  23  14 jours  2 x32els - Eugenol
4  23   3 mois rjyhyi - Eugenol

isabelle73

07/10/2015 à 11h06

Bonjour Ceramik

Débutante dans ce domaine, pourrais-tu me donner les grandes lignes de ton intervention : tracé d'incision, comment tu as fait le prélèvement, comment tu as glissé le greffon?
Merci d'avance


flicflac

08/10/2015 à 10h24

un bon livre à lire
Chirurgie esthétique mucogingivale: Giovanni ZUCCHELLI
lecture facile, beaucoup d'images ( photo, croquis )


Smile beach jgh0a1 - Eugenol
Céramik

09/10/2015 à 05h37

Le livre de zuchelli est bien, celui de Oto zhur aussi

Pour mon cas clinique, au début du fil, il y a des photo sur les incisions et le tracté du greffon.
En fait c'est un cas fait avec la technique tunnel, pas d'incision verticale.

Pour le prélèvement au palais, c'est conjonctif prit sous un lambeau d'accès en 1/2 épaisseur qui est ensuite suturé en place.

Zuchelli utilise un greffon épithélio-conjonctif pleine épaisseur, ensuite il dé-épithélise la surface et utilise le conjonctif.


--
Céramik


isabelle73

09/10/2015 à 11h58

Merci!


Smile beach jgh0a1 - Eugenol
Céramik

10/10/2015 à 02h24

Le p'tit cas du vendredi

Conjonctif placé en tunnel

La suite dans 14 jours

--
Céramik

Greffe 13 14  1  zryqqw - Eugenol
Greffe 13 14  2  d0zjrv - Eugenol

dati

10/10/2015 à 10h54

Je ne peux que conseiller aux personnes interessees par ces techniques la formation de l'academie de paro avec benjamin cortasse.
Je n ai pas d'action chez eux, mais j'en reviens et j'ai ete emballe, tant par l'organisation que par le contenu de cette formation
A faire sans hesiter.


Smile beach jgh0a1 - Eugenol
Céramik

21/11/2015 à 18h28

Un petit up du dernier cas (tunnel de 13 à 15)

Dépose des fil à 14 jours

(Photo dans qq moi si j'y pense )

--
Céramik

Greffe 13 14  2  wmgiwx - Eugenol

Smile beach jgh0a1 - Eugenol
Céramik

29/11/2015 à 18h10

un autre petit cas vu en contrôle vendredi
Photo finale @ 14 jours, à la dépose des fils

--
Céramik

Montage greffe 34 untitled page1 latt7d - Eugenol
Montage greffe 34 untitled page2 m1pmg1 - Eugenol

Blason dql7mj - Eugenol
growler

29/11/2015 à 20h17

c'est vraiment chouette ce que tu fais ceramik. Sur ce dernier cas tu apportes à la fois du conjonctif et juste ce qu'il faut d'épithélium avec un seul greffon...super, bravo.


Smile beach jgh0a1 - Eugenol
Céramik

29/11/2015 à 23h35

growler écrivait:
-----------------
> c'est vraiment chouette ce que tu fais ceramik. Sur ce dernier cas tu apportes à la fois du conjonctif et juste ce qu'il faut d'épithélium avec un seul greffon...super, bravo.

Merci

Tu as l’œil. La portion épithéliale est même "biseautée" en mésial et distal pour que les papilles du lambeau se replacent sur le conjonctif.


--
Céramik


12