Cookie Consent byPrivacyPolicies.comCas esthetique anterieur suite bruxisme: Facettes ou - Eugenol

Cas esthetique anterieur suite bruxisme: Facettes ou couronnes?

Gonzo k0qhwz - Eugenol
matten

05/05/2015 à 16h51

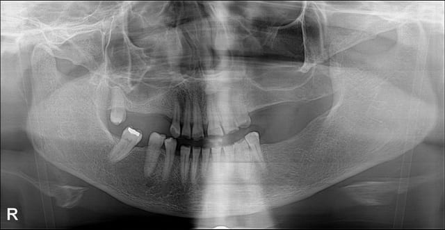
Je compte d'abord poser les implants en posterieur pour remonter la DV.

Sur les anterieures, est il possible de faire des facettes ou bien est ce couronne obligatoirement?
Pour les centrales maxillaire, il faudra faire une elongation coronaire de 21. Je en pense pas qu'on puisse allonger beaucoup 11 et 21 car il semble qu'il y ait eu egression compensatrice.

Si je fais des facettes, ce sera une preparation "butt joint" je pense car il faudra une insertion vestibulaire vu que les dents sont fluocalciques.

Les diastemes ne genent pas la patiente.

Merci a vous!

P9231149 nz7kk2 - Eugenol
Avant yixbtl - Eugenol
Apres 2 essgrx - Eugenol
C px0 0 zizob1 - Eugenol

el diablo

05/05/2015 à 17h15

Personnellement, je ne propose pas d’esthétique sans réhabilitation globale, et la y a du boulot !


Capture d  cran 2015 05 13   10.37 - Eugenol
magrou

05/05/2015 à 17h41

je commencerai par monter en articulateur, faire le projet protéique post sous forme d'une maquette cire+ dents pour évaluer la hausse de DVO et le faire valider par la patiente
puis implants et lors des provisoires sur implants (je laisse tj 6mois les hausses de DV), mise en place de "facettes" minima en compo faites par le labo , afin de recréer le guidage ant.
a ce stade je prends le temps de revoir le patient tous les mois pour verif et réglage de occlusion.
Apres , tu as le chois entre couronner ou facettes antérieures(souvent les cour sont +jolies)
et je termine par gouttiere de protection rigide obligatoire


Dents t2cri9 - Eugenol
FGR

05/05/2015 à 17h47

une fois relevée et validée la DV c'est ton projet esthétique qui te guidera. mis que ce soit facette ou couronne ce sera collé et pas scellé.
je sais que ce n'est pas la question mais prevois plusieurs jeux de provisoires ou mockup des le debut.


Gonzo k0qhwz - Eugenol
matten

05/05/2015 à 19h55

magrou écrivait:
----------------
> je commencerai par monter en articulateur, faire le projet protéique post sous
> forme d'une maquette cire+ dents pour évaluer la hausse de DVO et le faire
> valider par la patiente
> puis implants et lors des provisoires sur implants (je laisse tj 6mois les
> hausses de DV), mise en place de "facettes" minima en compo faites par le labo ,
> afin de recréer le guidage ant.
> a ce stade je prends le temps de revoir le patient tous les mois pour verif et
> réglage de occlusion.
> Apres , tu as le chois entre couronner ou facettes antérieures(souvent les cour
> sont +jolies)
> et je termine par gouttiere de protection rigide obligatoire

J'ai deja monte en articulateur et fait des wax up.
Cependant c'est en bouche qu'on voit la position des dents par rapport aux levres...
Ce qu'on fait en cire n'est pas forcement transposable avec des facettes car la cire j'en mets aussi en ligual et avec une facette c'est pas possible.
Et si je fais des prepas peripheriques il reste pas grand chose pour que ca tienne a ce moment je dois devitaliser et faire inlay cores etc...

C'est pour ca que je suis un peu dans l'expectative.


Logo vuaztn - Eugenol
mac

06/05/2015 à 20h37

matten écrivait:
----------------
> Je compte d'abord poser les implants en posterieur pour remonter la DV.
>
> Sur les anterieures, est il possible de faire des facettes ou bien est ce
> couronne obligatoirement?

> Pour les centrales maxillaire, il faudra faire une elongation coronaire de 21.
> Je en pense pas qu'on puisse allonger beaucoup 11 et 21 car il semble qu'il y
> ait eu egression compensatrice.
>
> Si je fais des facettes, ce sera une preparation "butt joint" je pense car il
> faudra une insertion vestibulaire vu que les dents sont fluocalciques.
>
> Les diastemes ne genent pas la patiente.
>
> Merci a vous!


tu peux faire des facettes sauf si en faisant ton élongation coronaire tu te retrouves avec un limite dans la racine, mais pour savoir de combien rallonger les inscisives il faudrait une photo lèvres au repos


Bebe 038 nf8eum - Eugenol
danteyeah

07/05/2015 à 04h19

L'utilisation d'un outil d'analyse virtuelle comme le V.E.P. (Virtual Esthtic Project) pourrait être capable de t'éclairer sur la thérapeutique la plus adaptée à la réhabilitation esthétique désirée.
Un détail (important) m'interpelle: comment comptes tu ménager suffisamment de place en postérieur pour restaurer un calage? Et comment quantifies tu la perte de DV (si tant est qu'il y en ait)?


Gonzo k0qhwz - Eugenol
matten

07/05/2015 à 11h46

L'espace prothetique existe deja en posterieur a l'etat initial.
J'augmente la dv en posterieur de 2 mm environ c'est tout. Ca me permettra d'avoir la place pour faire couronnes ou facettes sur les incisives / canines mandibulaires.

Concernant le haut, sur les photos suivantes on voit bien que les bords libres sont situes a une hauteur a peu pres correcte.
Il faudra donc gagner de la hauteur en rognant sur le parodonte.

Simulation sans allonger le bord libre des dents maxillaires a63wko - Eugenol
P9231149 vnn5vz - Eugenol

le figou

07/05/2015 à 12h04

el diablo écrivait:
-------------------
> Personnellement, je ne propose pas d’esthétique sans réhabilitation globale, et
> la y a du boulot !

la sagesse et le bon sens!
validation de la tenue des artifices pour relever la dvo et collages basiques en antérieur pour tester.
j'avoue que le cas est à risques avec l'occluso gauche, la musculature , la ligne des collets.

mais c'est un beau cas d'école type congrés "mimésis"

photos du résultat dans x mois ?


Bebe 038 nf8eum - Eugenol
danteyeah

07/05/2015 à 16h45

matten écrivait:
----------------
> L'espace prothetique existe deja en posterieur a l'etat initial.

Tant mieux, les photos 2 et 3 semblaient montrer le contraire.

> J'augmente la dv en posterieur de 2 mm environ c'est tout.

2mm en postérieur ? A quel endroit et par rapport à quel référentiel ( il n'y a pas de dents en occlusion, voir de dents tout court en postérieur )?

Ca me permettra
> d'avoir la place pour faire couronnes ou facettes sur les incisives / canines
> mandibulaires.

As tu une photo occlusale pour quantifier la perte palatine des antérieures sup?

As tu une photo de face au repos, à l'esquisse du sourire et au sourire pour quantifier le préjudice esthetique des abrasions antérieures?
>

> Concernant le haut, sur les photos suivantes on voit bien que les bords libres
> sont situes a une hauteur a peu pres correcte.

La patiente fait la grimace, nous n'avons que des photos tronquées (manque le haut du visage et ligne bi pupillaire et médiane, qu'on aura pas sur un site public, pour des raisons évidentes de confidentialité), manque photo profil et analyse du plan frontal..... Donc non je ne vois pas "bien" sur tes images si le bord libre est correct; tu es le seul à avoir vu la patiente, et pour l'instant tu es le seul à détenir les informations pouvant valider cet état.
Si tu veux qu'on t'aide va falloir nous fournir beaucoup plus d'infos.
Es tu allé voir le site des HD sur leur V.E.P. c'est vraiment intéressant de voir le type et la qualité des images qu'ils préconisent (photos des moulages incluses) pour permettre une analyse pertinente pour en déduire un plan de traitement à visé esthetique.

> Il faudra donc gagner de la hauteur en rognant sur le parodonte.

C'est probable, et ici une photo du sourire "forcée", nous indiquera si la patiente de couvre la gencive et de combien.


Gonzo k0qhwz - Eugenol
matten

18/05/2015 à 13h15

Voici des photos complementaires des modeles d'etudes.
Il me semble que certaines dents devront etre couronnees plutot que "veneerisees" non?

Img 20150518 103243 2 dgdxbe - Eugenol
Img 20150518 103304 sqi3e5 - Eugenol
Img 20150518 103304 2 gexxsw - Eugenol
Img 20150518 103338 u6sk0u - Eugenol
Img 20150518 103503 am0cr3 - Eugenol
Img 20150518 103517 zyr56c - Eugenol

paradoxe

18/05/2015 à 13h45

matten écrivait:
----------------
> Voici des photos complementaires des modeles d'etudes.
> Il me semble que certaines dents devront etre couronnees plutot que
> "veneerisees" non?

MDR
PS: ces cas sont géniaux, on peut tout recréer, sourire parfait, harmonie visage, etc...
Tu vas te régaler.


Gonzo k0qhwz - Eugenol
matten

18/05/2015 à 14h09

Je suis d'accord, mais ca ne me dit pas avec quoi, facettes ou couronnes et sur quelles dents?


Vw campersurfvan bmnk1q - Eugenol
enlaye

18/05/2015 à 14h13

implants ( derriere bien sur et avant toute chose )


Gonzo k0qhwz - Eugenol
matten

18/05/2015 à 14h21

C'est deja programme.

Ensuite je sais qu'avec du compo sans rien fraiser je peux faire de jolies anterieures.
Mais avec les tailles necessaires pour des facettes ou couronnes,il ne restera plus du tout autant de matiere et c'est plus du tout la meme donne!
Ca risque de se finir en ccm solidarisees avec plusieurs dents a devitaliser (22-23)
Je me demande meme si ca vaut pas le coup de laisser en compo.


paradoxe

18/05/2015 à 16h07

matten écrivait:
----------------
> Je suis d'accord, mais ca ne me dit pas avec quoi, facettes ou couronnes et sur
> quelles dents?

Couronnes évidemment, sur tout ce qui est rongé et impossible à reconstituer durablement avec un composite.
Dévitaliser n'est pas obligatoire.
Une fois la DVO remontée, tu verra avec la patiente ce qu'il faut couronner.
Comme tous mes confrères, je pense que c'est un cas de rehab totale,avec remontée de DVO, à étudier et tester finement avec des reconstitutions provisoires (et esthétiques).
Empreintes et mise en place des prothèse ne sont que des formalités.


Images jm2g2g - Eugenol
dr_0le

18/05/2015 à 16h23

paradoxe écrivait:
------------------
> matten écrivait:
> ----------------
> > Je suis d'accord, mais ca ne me dit pas avec quoi, facettes ou couronnes et
> sur
> > quelles dents?
>
> Couronnes évidemment, sur tout ce qui est rongé et impossible à reconstituer
> durablement avec un composite.
> Dévitaliser n'est pas obligatoire.
> Une fois la DVO remontée, tu verra avec la patiente ce qu'il faut couronner.
> Comme tous mes confrères, je pense que c'est un cas de rehab totale,avec
> remontée de DVO, à étudier et tester finement avec des reconstitutions
> provisoires (et esthétiques).
> Empreintes et mise en place des prothèse ne sont que des formalités.

+1, le plus long et le plus difficile ici va être de valider une nouvelle position d'occlusion.. après, taille et préparation estéthiques seront évidentes..

--
You can't always get what you want..


Gonzo k0qhwz - Eugenol
matten

18/05/2015 à 17h33

Et comment savez vous que l'occlusion obtenue est la bonne?
Quand les protheses n'eclatent plus moins de 10 ans apres leur pose? :))


Vw campersurfvan bmnk1q - Eugenol
enlaye

18/05/2015 à 17h51

parceque quand tu vas mettre les prov sur les implants ( d ou l'interet de la prothese vissée )l'efficacité musculaire va augmenter considerablement d'un coup ( environ 80% à ce qu'on dit) . et du coup la mand va se recenter . il te suffira de la suivre par des adaptations progressives des prov .
tout ça se passe les 15 premiers jours .


dolcel82

18/05/2015 à 18h47

augmentation DVO , support posterieur , facettes palatines+/- facettes vestibulaires + bien sur gouttiere (ou activteur)

la clé c'est les facettes palatines

http://www.researchgate.net/profile/Francesca_Vailati/publication/26717744_Full-mouth_adhesive_rehabilitation_of_a_severely_eroded_dentition_the_three-step_technique._Part_3/links/0deec5227905f29eba000000.pdf

cette nana est hallucinate !
y a aussi un classement des perte de substance :
http://www.osteocom.net/osteocom/modules/Friend/images/ace_finalissima_62058.pdf

dans ton cas les facettes vest ne sont pas forcement indiquées.
bon courage !


Gonzo k0qhwz - Eugenol
matten

18/05/2015 à 21h10

Ah top donc il est envisageable de faire mes mocks ups composite directement sur ce qui reste et ensuite de tailler dedans pour les facettes ou couronnes. C'est bien cela?


Vw campersurfvan bmnk1q - Eugenol
enlaye

18/05/2015 à 22h00

matten écrivait:
----------------
Ah top donc il est envisageable de faire mes mocks ups composite directement sur ce qui reste et ensuite de tailler dedans pour les facettes ou couronnes. C'est bien cela?

mocks up si tu veux , mais comme tu dois commencer par derriere ......
ton probleme sur ce cas n est pas esthetique mais occlusal.
l'esthetique qui en decoulera se fera toute seule ,t'inquietes.


Bebe 038 nf8eum - Eugenol
danteyeah

19/05/2015 à 02h59

matten écrivait:
----------------
> Et comment savez vous que l'occlusion obtenue est la bonne?
> Quand les protheses n'eclatent plus moins de 10 ans apres leur pose? :))

Moi, contrairement à Enlay j'en sais rien, et bien qu'il faille évidemment caler l'arrière avant d'envisager une réhabilitation antérieur je pense qu'avant de réaliser le calage postérieur il faille d'abord simuler l'esthétique antérieur (pas sur que cela se fasse tout seul, comme le pense Enlay).
J'aurais donc tendance à estimer la futur DV suite à l'analyse du visage et des moulages en occlusion ( la main comme articulateur, ca l'fait pas ;-)).
Donc retour case départ:
- photos face (pas d'expression, esquisse du sourire, sourire, sourire forcée), attention aux axes de tes images ( les patients ont tendance à ce mettre en extention...."au garde à vous", c'est pas bon; fais gaffe aussi à l'horizontalité de la ligne bi pupillaire: et les yeux ouvert c'est mieux ;-))
- Mock-up et cire d'occlusion (ou maquette cire, soyons fous), pour valider ton projet esthétique et éventuellement la position idéale des futurs piliers implantaires.
Et c'est seulement une fois calé que tu saura si tu peux te la jouer "à la Vailati" ou non pour les antérieures ( attention à être bien sur des capacités technique de ton protho avant de te lancer dans de la restauration facettes bi-laminaires, ainsi que des capacités financières du patient: 2 facettes par dent...ouille!).

Et merci à Dolcel pour le PDF


Vw campersurfvan bmnk1q - Eugenol
enlaye

19/05/2015 à 04h27

danteyeah écrivait:
-------------------
> matten écrivait:
> ----------------
" Et comment savez vous que l'occlusion obtenue est la bonne?
Quand les protheses n'eclatent plus moins de 10 ans apres leur pose? :))

" Moi, contrairement à Enlay j'en sais rien, et bien qu'il faille évidemment caler l'arrière avant d'envisager une réhabilitation antérieur je pense qu'avant de réaliser le calage postérieur il faille d'abord simuler l'esthétique
antérieur (pas sur que cela se fasse tout seul, comme le pense Enlay).
J'aurais donc tendance à estimer la futur DV suite à l'analyse du visage..."







A mon avis ,tu confonds 2 choses:la dv et la recherche de l'occlusion la mieux tolérée afin que les prothèses n’éclatent pas comme le dit matten.
La dv ç est facile , tu regardes la longueur des oreilles ( l’étage moyen de la face ) et ce dont tu as besoin pour les incisives grosso modo.
La dv n'est qu'1 déterminant de l'occlusion ( qui en compte 8 : octa du Dr orthlieb ).
A ce stade je n'en sais rien moi non plus ( enfin pas en totalité ), et ç est les prov qui me servent de gouttière en quelque sorte .
A ce stade ,j'ai enregistré la centrée «  du jour «  et cette centrée va évoluer.
A ce stade ,il n'y a pas encore de calage puisque je cherche a défaut d'avoir la centrée la plus physiologique possible , le décalage latéral immédiat . Ç est ce dessalage latéral immédiat qui m'imposera la forme de la courbe de spee et de monson et donc du recouvrement incisif et canin .
Alors après si tu as besoin de réajuster la dvo pour avoir un beau sourire , bien sur , il n'y a pas de problème , cela n'est pas pour autant une nouvelle occlusion : ç est la même mais + ouverte ou – fermée !
Le problème du Mock-up , ç est qu'il est fait par le labo , qui n' a aucune connaissance des déterminants biologiques de l'occlusion de ton patient.
Et en admettant que tu ne le connaisses pas toi même , ç est là qu’intervient la magie du provisoire vissé :
tu peux le dévisser , le revisser sur les plâtres , et paramétrer la tige incisives ,les pentes et ,,sur articulateur en fonction des traces d'usures du provisoire qui s est mis en place par rodage . Après tu peux dire au labo : vas y fait moi un truc dont l'enveloppe des mouvements s'inscrit dans cet enregistrement .
Ça ç est vachement important ,et si il y a un truc qui ne t'est pas clair ,n’hésites pas a poser des questions même celles qui te paraissent con.


S2y2o1v7q53ws4r5wy6ou8czrpom - Eugenol
pxav

19/05/2015 à 10h16

sujet super intéressant, c'est un plaisir de le prendre en route, et de lire les analyses de chacun.
ce qui m'étonne, c'est que je l'ortho n'est pas citée...:-)
Perso, implants postérieur, provisoires trans-vissés (résine)et couronnes antérieures sur dents vivantes.
Pourquoi pas de facettes? parce que vu ce que la patiente a fait de ses dents je ne risque pas de facettes qui ne tiendront pas 10 ans.
Pourquoi dents vivantes? parce que si ça casse, tu pourras faire des IC alors que si tu commence par dévitaliser tu perds une étape.
ou adjointe résine pour visualiser la DV et l'occlusion


--
xbk
"Si tous ceux qui croient avoir raison n'avaient pas tort, la vérité ne serait pas loin" Dac Pierre