Cookie Consent byPrivacyPolicies.comA quoi ca sert un inlay-core? - Eugenol

A quoi ca sert un inlay-core?

carident

13/05/2015 à 20h15

Cingulum écrivait:
------------------
> carident écrivait:
> ------------------
>
> > http://www.ncbi.nlm.nih.gov/pubmed/25831715
> >
> > "In the presence of remaining coronal structure, the fracture strength was
> > higher in specimens with cast cores and posts."
> >
>
> moi je lis ça:
> In the absence of coronal structure, the fracture strength did not differ among
> the post types evaluated.
>


Ce qui veut dire que quand il n'y a plus de structure coronaire, les carottes sont cuites, que tu mettes ou pas de tenon...

Par contre, lorsqu'il subsiste des parois résiduelles, la présence d'un IC renforce la résistance à la fracture de la dent... :-)


003 penrd2 - Eugenol
Cingulum

13/05/2015 à 20h22

Enfin je constate que nos échecs sont plus souvent biologique (reprise de carie, percolation endodontique...) que mécanique

Le fait de sceller une couronne (ou coller) avec une limite proche de l'espace biologique, place l'étanchéité à un niveau bien moins contrôlable que lorsqu'on colle ... tout sous digue si possible...

Et je m'arrêterai là ;)

si si promis...







--
Dr Cingulum
-----Ancien interné----
----Attaché à l'apex----
http://www.clinic-all.fr/ formation par passion

 mg 7467 jlfi1m - Eugenol
 mg 7792 lvdtl4 - Eugenol
 mg 7872 kvc1nw - Eugenol
 mg 7876 dtrlui - Eugenol

carident

13/05/2015 à 20h32

Cingulum écrivait:
------------------
> Pour aller plus loin dans la réflexion,
> de nombreuses études montre que quand on compare des dents au délabrement
> semblable, la différence entre les techniques n'est pas significatif...
>
> C'est ça qu'il faut comprendre !
>
> Quand la dent est abimée, qu'on mette de la fibre ou du métal c'est mal engagé,
> et le pronostic est pas bon!

D'accord


>
> Le challenge c'est d'économiser les tissus car sur le long terme c'est cela qui
> fait la différence. Et c'est par le collage qu'on économise les tissus sains...

D'accord. Mais...

Parfois, ce "challenge" ou cette "illusion" d'économie tissulaire peut avoir des effets perverses...

Par exemple, une dent délabré adjacente à un édentement, et pas de possibilité de poser un implant. La mauvaise solution de l'économie tissulaire consistera à ne pas toucher l'autre dent adjacente, ce qui provoquera la perte de la dent délabré à plus ou moins longue échéance...

second exemple, avec les progrès du collage et en pensant que le fait de coller permet de garder des parois plus fine, au bout du compte quelques années après la parois fini par casser avec le composite... Alors que si cette paroi avait été d'emblée diminuée pour ne conserver que la partie la plus solide...


> A chaque fois qu'on taille pour avoir un moignon... et bien on ampute le
> pronostic !
>
>

Pas sûe, si les choses sont bien faite, elles peuvent durer des décennies y compris avec les méthodes tout à fait conventionnelles...


> De même que quand on garde une pulpe vivante, l'endodonte est étanche... quand
> on fait une endo elle sera jamais étanche "a vie"... (sauf si mère nature dépose
> du cément à l'apex...)

N'as tu pas déjà vu chez tes patients les plus âgés des endo de plus de 30 ans, des couronnes avec ou sans ic de plus de 30 ans encore bel et bien sur l'arcade...?


>
> Bref la question n'est pas de savoir si un faux moignon est plus performant
> qu'une reconstruction fibrée... La question c'est comment arriver à ne pas faire
> d'inlay core, de moignon, d'endo sur pulpe asymptomatique....
>
> Ces dents en pièce jointe, quel est le meilleur choix ?...
>

Beaucoup de dents se nécrosent de manière asymptomatique, en se calicifiant, et là y a intérêt à ce que mère nature ait déposé du cément à l'apex, car sinon le jour où il faut intervenir aussi tardivement, l'endo devient réellement aléatoire, et l'implant la seule solution...

Ne me dis pas que tu ne t'ai jamais retrouvé face à une dent nécrosé, symptomatique, mais dont les canaux complètement calcifiés étaient impossible à traiter? Et là qu'as tu fait?


carident

13/05/2015 à 20h36

Cingulum écrivait:
------------------
> Enfin je constate que nos échecs sont plus souvent biologique (reprise de carie,
> percolation endodontique...) que mécanique
>
> Le fait de sceller une couronne (ou coller) avec une limite proche de l'espace
> biologique, place l'étanchéité à un niveau bien moins contrôlable que lorsqu'on
> colle ... tout sous digue si possible...
>
> Et je m'arrêterai là ;)
>
> si si promis...
>

Très bel onlay, même si la limite est légèrement infra en lingual...
Mais la les parois résiduelles sont épaisses, solides et hautes. ;-)


003 penrd2 - Eugenol
Cingulum

13/05/2015 à 20h37

"Ne me dis pas que tu ne t'ai jamais retrouvé face à une dent nécrosé, symptomatique, mais dont les canaux complètement calcifiés étaient impossible à traiter? Et là qu'as tu fait?"


ça c'est un Dahut !!!


une fois, sur incisive mandibulaire et j'ai fini par trouver le canal a la fraise touati sous loupe...
mais de la a en faire un risque de complication



--
Dr Cingulum
-----Ancien interné----
----Attaché à l'apex----
http://www.clinic-all.fr/ formation par passion


Vw campersurfvan bmnk1q - Eugenol
enlaye

13/05/2015 à 20h47

Cingulum , ne l'enerves pas le carident, il ne lâchera rien et il risque de nous faire un nervus prectum :))))))
Que penses tu de ce que je t ai dit ?


ny162

13/05/2015 à 21h49

Cingulum écrivait:
------------------
> Enfin je constate que nos échecs sont plus souvent biologique (reprise de carie,
> percolation endodontique...) que mécanique
>
> Le fait de sceller une couronne (ou coller) avec une limite proche de l'espace
> biologique, place l'étanchéité à un niveau bien moins contrôlable que lorsqu'on
> colle ... tout sous digue si possible...
>
> Et je m'arrêterai là ;)
>
> si si promis...
>
>
>
>
>
>
>
> --
> Dr Cingulum
> -----Ancien interné----
> ----Attaché à l'apex----
> http://www.clinic-all.fr/ formation par passion

Sur la 2ème photo, le "scotch" blanc le long de la limite proximale, ça se trouve où? Tu t'en sers pour faire descendre la digue dans le sulcus?


Nouveau image bitmap fz77zh - Eugenol
Sethef

13/05/2015 à 21h56

Teflon, casto


carident

13/05/2015 à 22h55

Cingulum écrivait:
------------------
> carident écrivait:
> ------------------
> >
> > http://www.ncbi.nlm.nih.gov/pubmed/16750593
> >
> > "Post and cores custom-fabricated using a standardised fabrication technique
> > have a good long-term prognosis. The most common cause of failure is loss of
> > retention. The durability of posts with low friction at the try-in stage
> cannot
> > be compensated for by using glass ionomer cement as the luting material."
>
>
> Tu lis pas les articles carident!!!
> The average survival time of the post and cores was 7.3 years. The cumulative
> failure rate was 11.2%. The most common complication was loss of retention of
> the post and cores. High-gold-content posts had a lower risk of failure than
> posts made from semi-precious alloy. The type of restoration fitted had a
> significant influence on the survival probability.
>
> Taux survie moyen de RCR 7,3 ans....

Si si je lis les résumés! C'est toi qui a fait des déductions trop hâtives... :-)

"over a period of up to 10 years based on a large patient collective"

C'est une étude menée sur une période de 10 ans, avec un taux d'échec de 11,2%... Pour peu que les 11,2% d'échecs soient survenus dans les 2 premières années, la durée de vie moyenne (sur la période de 10 ans) est évaluée à 7,3 ans : cette durée de vie moyenne n'a aucune signification dans la mesure où il y a encore environ 89% de taux de survie à la fin de l'étude...


Orezza gazeuse verre litre ocoxey - Eugenol
casa

13/05/2015 à 23h03

Qu'est ce que ça me barbe ce genre de discussion , Enlaye t'en as pas une bonne ? et pas en Anglais please !


RépondreCiter
carident

13/05/2015 à 23h09

Cingulum écrivait:
------------------
> carident écrivait:
> ------------------
> > Néanmoins, les RCR avec tenons en fibre de verre aboutissent souvent à plus de
> > fractures radiculaires...
>
>
> moi je lis ça en conclusion
> The results of this study did not show significant differences for root fracture
> incidence between metal- and fiber posts. However, the studies included in this
> review presented a high risk of bias, and further well-designed clinical studies
> are required to confirm these findings
>
>
>
> >
> > http://www.ncbi.nlm.nih.gov/pubmed/22414824
> >
> > => "The relatively high annual failure rate of Glass-fiber-reinforced
> endodontic
> > posts highlights that the treatment decision should take into account the most
> > relevant factors as tooth type and the number of remaining cavity walls."
>
>
> Within 10 years, 55 failures could be observed (annual failure rate = 4.6%)
>

Tu as mal compris... 4,6% est le taux moyen d'échec ANNUEL! C'est tout simplement énorme...

Dans cette étude qui s'est étalée sur 10 ans : sur 149 RCR avec tenon en fibre de verre, 55 échecs ont pu être observé, sachant que 34 RCR n'ont pu être suivi jusqu'au bout puisque les patients ont été perdus de vue...

Donc, le taux minimum d'échec est de 55/149 % => 37%
et le taux maximum d'échec est de 59,7% si toutes les RCR avec tenon en fibre de verre perdues de vue ont échouées également... Ce qui est lamentable comme résultat!


Marque a3 orange fyvhyq - Eugenol
Marc Apap

13/05/2015 à 23h48

Dans ce pseudo débat, tout le monde ne parle pas de la même chose :
on peut être bien d'accord sur le fait de ne pas aggraver un cas en proposant un IC après une endo lorsqu'une solution plus conservatrice peut être envisagée.
La question est de savoir quoi proposer lorsque l'on a une dent extrêmement délabrée et que de toute manière, la solution de l'onlay est inenvisageable.
Faut il extraire et poser un implant, ce qui de facto entraine un nombre de reconstitutions coronoradiculaires extrêmement bas, ou au contraire, tenter de sauver avec un reconstitution suivie d'une couronne ?
Est-il irresponsable de proposer cette deuxième solution, ou bien au contraire, poser un implant, est-ce du sur traitement ?
D'après mon expérience (ce qui n'a rien de scientifique), il y a des dents plus fragiles que d'autres : les molaires inférieures et les prémolaires supérieures, avec ou sans tenon. Les autres s'en sortent plutôt bien en général.
L'autre grande cause de fracture, c'est, après une dizaine d'année, lorsque la dent subit une alvéolyse et que le tenon arrive au niveau de la crête alvéolaire. La dent n'est pas suffisamment retenue dans son alvéole et sous l'effet de forces de cisaillement, le tenon se descelle et la dent se casse. Je le vois avec des tenons en métal, mais aussi des tenons fibrés collés (car le collage des tenons fibrés est assez imparfait). J'ai aussi vu assez souvent des fractures de tenons fibrés (ce qui n'est pas grave mais assez chiant)


Nouveau image bitmap fz77zh - Eugenol
Sethef

13/05/2015 à 23h49

Là encore, chacun voit midi à sa porte...
Je colle entre 2 et 300 tenons fibrés par an, pour l'instant je n'ai observé que 2 échecs: un probablement dû à une erreur de collage, et un autre sur une fêlure radiculaire probablement pré existante. Les stats, hein...

Dans l'idée, en admettant que les taux d'échecs soient similaires entre rcr et ic, le gradient thérapeutique nous pousse largement vers la conservation de toute la substance dentaire possible, avec ou sans collage.


De la même manière, les endos suite à des couronnes sur dents pulpées sont rarissimes. J'ai bien dû en faire quelques unes, mais franchement c'est pas lourd. Jamais vu de calcifications intra canalaires plus marquées...
Et puis au pire, si ça foire sur dent vivante, tu peux dépulper. Si ça foire sur une endo, ben...


Nouveau image bitmap fz77zh - Eugenol
Sethef

13/05/2015 à 23h54

Marc Apap écrivait:
-------------------
J'ai aussi vu assez souvent des
> fractures de tenons fibrés (ce qui n'est pas grave mais assez chiant)


Je n'en a pas encore vu, mais c'est ma principale appréhension effectivement, en particulier sur de petites incisives latérales, ou prémolaires sup. On verra bien.


youn

14/05/2015 à 02h11

Deux choses : Cingulum : tu cites une étude anglaise sur de nombreux cas pour ton taux de survie à 10 ans, mais fais un tour dans un cabinet NHS et tu auras vite compris pourquoi ils ont 30% d'échecs (je trouve ça très peu d'ailleurs vu la façon dont c'est fait la plupart du temps, ils ne doivent compter que les extracs et pas les pêches/reprises)...

Deuxième, pour virer un tenon fibré rien de plus simple, un coup d'ultrasons sans spray, il fond.

Pour le reste de mon côté, j'ai dû faire 3 inlays cores en 1 an, systématiquement sur dent sans paroie sans férule, en réservant fortement le pronostic. Dans la plupart des cas pas de tenon et très je monte très peu mon compo, ce n'est pas sur la rétention que je compte principalement quand je colle et ça évite les descellements de tenons fibrés/compos dans la chambre, au pire j'ai une couronne à mieux coller si elle se décolle (je croise les doigts mais pour le moment rien à déplorer).


003 penrd2 - Eugenol
Cingulum

14/05/2015 à 12h29

Typiquement sur ce genre de situation, le pronostic est pas bon.

Je fais un collage sur maxi 5mm avec un tenon fibré plutôt large, mais qui "flotte" dans le compo. Il sert de tuteur mécanique, la rétention c'est le collage...

Je tire les conclusions de cette étude fort intéressante...
Effect of fibre post length and adhesive strategy on fracture resistance of endodontically treated teeth after fatigue loading F. Zicari journal of dentistry 40 (2012) 312 – 321



--
Dr Cingulum
-----Ancien interné----
----Attaché à l'apex----
http://www.clinic-all.fr/ formation par passion

 mg 8478 jlpqo8 - Eugenol

carident

14/05/2015 à 12h37

Cingulum écrivait:
------------------
> Typiquement sur ce genre de situation, le pronostic est pas bon.
>
> Je fais un collage sur maxi 5mm avec un tenon fibré plutôt large, mais qui
> "flotte" dans le compo. Il sert de tuteur mécanique, la rétention c'est le
> collage...

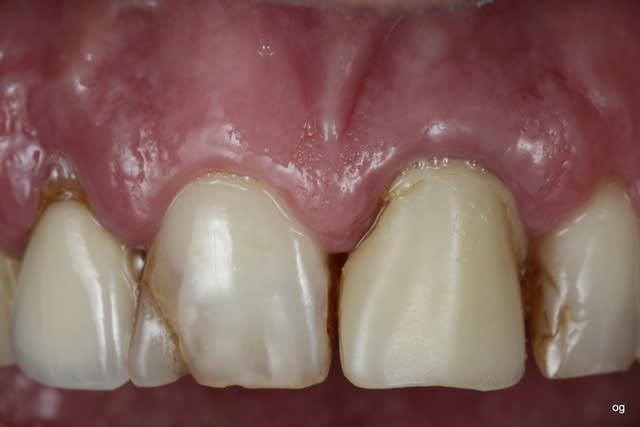
Tu aurais par hasard, une radio et une photo post op?


Marque a3 orange fyvhyq - Eugenol
Marc Apap

14/05/2015 à 12h57

Cingulum, tu nous montres toujours des photos qui viennent exactement à propos de tes dires et illustrent parfaitement la pertinence de tes choix thérapeutiques.
Le pb, c'est qu'il y a mille autres situations où les choses sont beaucoup moins claires.
Même avec la digue qui rétracte la gencive, on voit très bien que cette incisive n'est pas délabrée jusqu'au collet mais présente une collerette très exploitable.


carident

14/05/2015 à 13h08

Marc Apap écrivait:
-------------------
> Cingulum, tu nous montres toujours des photos qui viennent exactement à propos
> de tes dires et illustrent parfaitement la pertinence de tes choix
> thérapeutiques.
> Le pb, c'est qu'il y a mille autres situations où les choses sont beaucoup moins
> claires.
> Même avec la digue qui rétracte la gencive, on voit très bien que cette incisive
> n'est pas délabrée jusqu'au collet mais présente une collerette très
> exploitable.

Justement, c'est contradictoire car Cingulum juge le cas comme étant défavorable...
"Typiquement sur ce genre de situation, le pronostic est pas bon."

C'est pourquoi j'aimerais bien voir une radio...

Or, cette "collerette" de dent résiduelle "très exploitable" augure d'un pronostic plutôt bon à mon sens, avec un bel IC et une couronne cerclant la collerette cervicale...

Le collage d'une RCR avec ou sans tenon, dans cette situation, n'est pas du tout le meilleur traitement à proposer au patient... AMHA
D'autant plus que l'IC ne mutilera rien de plus...

En tout état de cause, ne pas exploiter la collerette de cette dent (et donc les parois externe de la dent) en faisant une préparation périphérique, serait une grossière erreur...


003 penrd2 - Eugenol
Cingulum

14/05/2015 à 14h00

carident écrivait:
------------------
> Cingulum écrivait:
> ------------------
> > Typiquement sur ce genre de situation, le pronostic est pas bon.
> >
> > Je fais un collage sur maxi 5mm avec un tenon fibré plutôt large, mais qui
> > "flotte" dans le compo. Il sert de tuteur mécanique, la rétention c'est le
> > collage...
>
> Tu aurais par hasard, une radio et une photo post op?

c'est un cas de Lundi.... en cours. je posterai la suite...

Les photos sont toujours à propos !! ben je montre ce que je fais, et je fais en rapport avec mes connaissances, donc heureusement que mon discours est en rapport avec mes photos...

Une fois la décision prise, et le protocole mis en place ça parait évident...
La difficulté c'est la prise de décision ! et ensuite mettre en oeuvre. Une fois la digue en place que tout est propre ça parait évident ;)

montre moi des cas Marc de situation différente, on pourra en discuter ...


--
Dr Cingulum
-----Ancien interné----
----Attaché à l'apex----
http://www.clinic-all.fr/ formation par passion


003 penrd2 - Eugenol
Cingulum

14/05/2015 à 14h07

Tu as raison Marc j'arrive à mettre la digue sur cette dent et cela à un impact sur la façon de pouvoir traiter cette dent...

Si je peux pas mettre la digue, comment je peux retraiter l'endo de manière fiable, et si je peux pas coller de manière fiable, est ce que le pronostic de la dent est le même ?...
Autant de question qu'il faut se poser,
mais pour arriver à mettre la digue faut essayer ;)

situation de départ, et sous digue... c'est tout de suite pas le même traitement....

--
Dr Cingulum
-----Ancien interné----
----Attaché à l'apex----
http://www.clinic-all.fr/ formation par passion

 mg 8474 opkpzm - Eugenol
 mg 8479 mlgz2c - Eugenol

003 penrd2 - Eugenol
Cingulum

14/05/2015 à 14h13

Encore une fois sur ce genre de situtation où l'incisive est détruite à 90% de sa couronne clinique, faux moignon metal ou tenon fibré on s'en fou Carident ça changera rien ;)


par contre là tu fais quoi ?


--
Dr Cingulum
-----Ancien interné----
----Attaché à l'apex----
http://www.clinic-all.fr/ formation par passion

Image1 t6kzvz - Eugenol

carident

14/05/2015 à 14h31

Cingulum écrivait:
------------------
> Encore une fois sur ce genre de situtation où l'incisive est détruite à 90% de
> sa couronne clinique, faux moignon metal ou tenon fibré on s'en fou Carident ça
> changera rien ;)

Il trouve que le pronostic est pas si défavorable que ça en ce qui concerne l'incisive... Mais pas facile d'avoir des certitudes sans radio et seulement à partir d'une photo.

>
>
> par contre là tu fais quoi ?
>

D'abord éviction de la dentine cariée...
J'ai aussi besoin d'une Rx pour me prononcer mais je dirais que ça sent la couronne...

Mais toi tu vas encore lui coller un onlay ;-)

ps : avec quoi tu prends tes photos?


Orezza gazeuse verre litre ocoxey - Eugenol
casa

14/05/2015 à 14h36

Le problème n'est pas ce que l'on fait mais ce qu'il en restera dans 10 ans .... et là c'est pas la même chanson .. tra la la la lère !


carident

14/05/2015 à 14h42

casa écrivait:
--------------
> Le problème n'est pas ce que l'on fait mais ce qu'il en restera dans 10 ans ....
> et là c'est pas la même chanson .. tra la la la lère !

Si ces deux dents sont bien restaurées, il n'y a aucune raison qu'elle ne reste pas sur l'arcade encore 10, 20 ou même 30 ans... Où est le problème?

10 ans c'est plus ou moins court, non?


1...456