Cookie Consent byPrivacyPolicies.comA quoi ca sert un inlay-core? - Eugenol

A quoi ca sert un inlay-core?

003 penrd2 - Eugenol
Cingulum

14/05/2015 à 15h14

Je prends mes photos avec...un appareil photo ! :p (Canon 650D, 100mm macro, classique quoi... ;) )


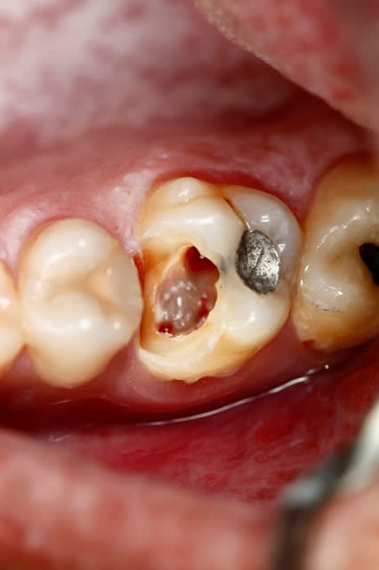
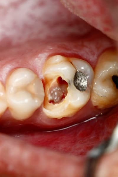
Pour ce cas que j'avais déjà exposé, c'est très intéressant...

Si dés le départ on décide de faire l'endo et couronne, on taille, on ouvre, et a la fin on se dit qu'on a bien fait de faire la couronne, vu qu'il reste pas grand chose. Au passage on perd beaucoup de résistance mécanique de la dent, et on descend toute les limites au niveau gingival ce qui dans le temps expose la limite à une contamination biologique, reprise de carie ...etc...



Ici, je fais l'endo en essayant de garder ce que je peux de la dent...
Ensuite a la fin de l'endo, c'est propre, j'ai un accès étanche, j'en profite pour coller et remonter la limite. C'est le meilleur moment pour le faire, non ? ... Et surement le meilleur moyen d'avoir une étanchéité sur la zone faible de cette dent, sa limite proximale infra gingival.

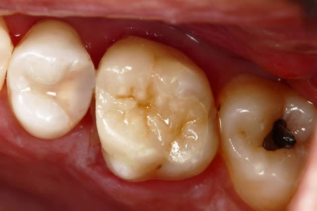
Ensuite le cas parait plus simple bien sur Marc ;) mais en fait tout découle de la prise de décision initiale de préserver et coller...

Onlay Emax. Tout est dans l'émail a part la limite mesiale, le risque de carie est plus faible, le risque de contamination de l'endodonte plus faible aussi...

Mécaniquement ça me parait un meilleur choix que la couronne avec inlay core...
mais après tout c'est surement dans ma tête ;)

--
Dr Cingulum
-----Ancien interné----
----Attaché à l'apex----
http://www.clinic-all.fr/ formation par passion

Image1 d21dzq - Eugenol
Image2 cvbcme - Eugenol
Image3 ixfirb - Eugenol
Image4 kpalco - Eugenol
Image5 eog7yc - Eugenol
Image6 jjcoqu - Eugenol
Image7 dh3gsy - Eugenol

Vw campersurfvan bmnk1q - Eugenol
enlaye

14/05/2015 à 16h36

Et ton flash c est quoi ? Pcq je trouve les reliefs jolis.


6szjws718sv1jksw54v4mpj3a6cu - Eugenol
vulpi

14/05/2015 à 19h32

au sujet des appareils photo, à savoir la baïonnette Nikon qui permet le verrouillage objectif/boitier est la même depuis la nuit des temps (modèle breveté), l’intérêt est évident. Je ne sais pas si c'est le cas pour Canon.


Le Rosbif

30/05/2015 à 18h32

@Cingulum, super photos et jaime bien ton façon de travailler, très propre!

@Tous, je vous invite de lire cette excellent article (English, sorry) fait par le American Association of Endodontists au sujet de comment traiter une dent après l'endo. Il y a des très bon citations/references classifié a la fin.


https://www.aae.org/uploadedfiles/publications_and_research/endodontics_colleagues_for_excellence_newsletter/ss04ecfeforweb.pdf


Quelque conclusions/résumés:

1) Preventing contamination of the root canal between the root treatment (l'endo) and placement of restoration is extremely important. Contamination is considered a major cause of failure of root treated teeth (endo). Therefore the tooth should be restored immediately after endo i.e. dans la meme sceance.

2) Un des problem avec the pose d'un inlay-core est de protéger la canal entre RVs. Un couronne provisoire ne protege pas du tout la dent contre contamination bactérienne et pas plus que si la dent est laissé ouvert.

3) La raison d'être d'un tenon est de retenir un core a cause d'un gross perde de matière dentaire.

CA NE RENFORCE PAS LA DENT et peut meme la rendre plus fragile. Les dentistes devrait éviter d'utiliser un tenon/inlay-core quand il existe des traits anatomique pour retenir un core de matière.

4) Les inlay-cores coulé ne fonction pas aussi bien que d'autre tenons et il y a la problem de temporisation de la dent. Pour ces raisons il ne sont que très peu utilisé (dans la monde entier!).






--
"Si chaque confrère envoi une brosse à dent, crois moi ca les fera réfléchir."


carident

30/05/2015 à 23h37

I've already read this article...

You forgot to talk about the positive side of cast metal post... It is written that several long-term clinical studies report high success rates with cast gold post. What's more cast metal post can be easly removed when needed for retraitment.

I like this : "although they are still used in some circles"
Do you think they heard about me? :-)


carident

30/05/2015 à 23h43

What else?

Ic mtg8ar - Eugenol

Le Rosbif

31/05/2015 à 02h43

carident écrivait:
------------------
> I've already read this article...
>
> You forgot to talk about the positive side of cast metal post... It is written
> that several long-term clinical studies report high success rates with cast gold
> post. What's more cast metal post can be easly removed when needed for
> retraitment.
>


Hello :-)

Well there are so many negatives to the cast posts and so few indications for them that I didn't bother to add the single advantage that they can be "easily" removed and I've got to say, in my experience they can be a real bitch to get out and often involves tooth massacre.

As for the success of cast gold posts, how many of your inlay-cores are made from gold? ;-)

> I like this : "although they are still used in some circles"
> Do you think they heard about me? :-)
>

Heh, heh, you are single handedly keeping the statistics up for the placement if cast posts! :-D


--
"Si chaque confrère envoi une brosse à dent, crois moi ca les fera réfléchir."


Capture d  cran 2015 03 12 12.28 - Eugenol
chicot29

31/05/2015 à 12h30

Le Rosbif écrivait:
-------------------

> Well there are so many negatives to the cast posts and so few indications for
> them that I didn't bother to add the single advantage that they can be "easily"
> removed and I've got to say, in my experience they can be a real bitch to get
> out and often involves tooth massacre.
>

That's why SS pay off pretty well these cast posts. Onlays whose indications are far away more important are not paid off !

This country is fucked ! -)))))


carident

31/05/2015 à 13h30

Le Rosbif écrivait:
-------------------
> carident écrivait:
> ------------------
> > I've already read this article...
> >
> > You forgot to talk about the positive side of cast metal post... It is written
> > that several long-term clinical studies report high success rates with cast
> gold
> > post. What's more cast metal post can be easly removed when needed for
> > retraitment.
> >
>
>
> Hello :-)
>
> Well there are so many negatives to the cast posts and so few indications for
> them that I didn't bother to add the single advantage that they can be "easily"
> removed and I've got to say, in my experience they can be a real bitch to get
> out and often involves tooth massacre.


Hello ;-)

i can say the same about this article... I've seen it before while looking for cast post on google, but i didn't bother to post it here as there is finally so few real arguments about the supposed superiority of other types of posts over cast metel posts :

- first, they say that cast post metal require more chair time than other post.

=> Excuse me, but i do not subscribe to this point of view. In my experience, it's almost the same, if it's not the contrary...

- second argument they add is the fact that cast post metal involve laboratory procedures while other types of posts not.

=> Well, it's true ; but as you do a crown over the post, where is the problem if sending the impression to the labratory and asking for both at the same time?

- third and main argument they give is that in comparision studies cast metal posts do not perform as well as other types of posts.

=> I haven't find the same results in the studies i've read the summary, and posted here... So, i'm sorry but i can't agree with this argument.



>
> As for the success of cast gold posts, how many of your inlay-cores are made
> from gold? ;-)

None of course, even if i sell them at the price of gold, cause they are the perfect restoration of my endodontically treated teeth for which i spent a lot of time, and a bunch of money... :-)

But, didn't you find it strange that long-term clinical studies report high success rates with cast gold posts, although they require the same need of temporization as other cast metal posts, increasing by the same way (from the author point of view) the possibility of contamination of the root canal system?

Do cast gold posts have got any antiseptic power over the other types of cast metal posts that i ignore?

I think they contradict themselves cause all cast metal post, and not only gold ones, have very high success rates in long-term clinical studies...

In my own experience, i have no failure cause of cast metal posts.


>
> > I like this : "although they are still used in some circles"
> > Do you think they heard about me? :-)
> >
>
> Heh, heh, you are single handedly keeping the statistics up for the placement
> if cast posts! :-D

At least, i'm trying... ;-)

>
>
> --
> "Si chaque confrère envoi une brosse à dent, crois moi ca les fera réfléchir."


Le Rosbif

31/05/2015 à 14h51

carident écrivait:
------------------
> Le Rosbif écrivait:
> -------------------
> > carident écrivait:
> > ------------------
> > > I've already read this article...
> > >
> > > You forgot to talk about the positive side of cast metal post... It is
> written
> > > that several long-term clinical studies report high success rates with cast
> > gold
> > > post. What's more cast metal post can be easly removed when needed for
> > > retraitment.
> > >
> >
> >
> > Hello :-)
> >
> > Well there are so many negatives to the cast posts and so few indications for
> > them that I didn't bother to add the single advantage that they can be
> "easily"
> > removed and I've got to say, in my experience they can be a real bitch to get
> > out and often involves tooth massacre.
>
>
> Hello ;-)
>
> i can say the same about this article... I've seen it before while looking for
> cast post on google, but i didn't bother to post it here as there is finally so
> few real arguments about the supposed superiority of other types of posts over
> cast metel posts :
>
> - first, they say that cast post metal require more chair time than other post.
>
> => Excuse me, but i do not subscribe to this point of view. In my experience,
> it's almost the same, if it's not the contrary...

The thing is the question you have to ask is "do I need a post at all?". In the vast majority of cases all you need is an amalgam or composite restoration with immediately seals the access cavity after endo and prevents any future coronal leakage. This takes, what, 2 minutes? Remember, the post is there to hold the core, if the core can stay in by itself, you don't need a post.

And in addition to which you don't have to remove sound, precious dentine to remove undercuts and lower the height of the thin walls around the access cavity which you absolutely have to do to adapt the tooth to receiving a cast post and core.
>
> - second argument they add is the fact that cast post metal involve laboratory
> procedures while other types of posts not.
>
> => Well, it's true ; but as you do a crown over the post, where is the problem
> if sending the impression to the labratory and asking for both at the same time?

Well you're supposed to place your post and core and take another impression for the crown afterwards but we won't go into that. Otherwise an extra lab procedure=time (1 week of lab time) and money so normaly this would be an extra complication and inconvenience.


>
> - third and main argument they give is that in comparision studies cast metal
> posts do not perform as well as other types of posts.
>
> => I haven't find the same results in the studies i've read the summary, and
> posted here... So, i'm sorry but i can't agree with this argument.
>
>
>
> >
> > As for the success of cast gold posts, how many of your inlay-cores are made
> > from gold? ;-)
>
> None of course, even if i sell them at the price of gold, cause they are the
> perfect restoration of my endodontically treated teeth for which i spent a lot
> of time, and a bunch of money... :-)
>
> But, didn't you find it strange that long-term clinical studies report high
> success rates with cast gold posts, although they require the same need of
> temporization as other cast metal posts, increasing by the same way (from the
> author point of view) the possibility of contamination of the root canal system?
>
> Do cast gold posts have got any antiseptic power over the other types of cast
> metal posts that i ignore?
>
> I think they contradict themselves cause all cast metal post, and not only gold
> ones, have very high success rates in long-term clinical studies...

Well I can't answer that without looking at the criteria they used for the study (were they just looking at mechanical failure, root fracture etc rather than tooth contamination?) but you cannot deny that all indications are that you should immediately close the canal space after endo to prevent coronal leakage and that there is no systematic indication for a post and core on an endodontically treated tooth.

Also you showed only 3 studies (which I need to go back and look at). I haven't counted but presumably there are way more studies showing that cast posts are inferior than those showing they are superior.

And again, you're talking about cast posts vs other posts and I'm saying all evidence shows you don't need to use any kind of post at all in most cases as not only is it not indicated but it's destructive, weakens the tooth and leaves it open to contamination whilst adding an unnecessary clinical step in the restoration of the tooth.

As Chicot29 says in his inimitable fashion ;-), it is an aberration that these cast posts hold so much value here.


> In my own experience, i have no failure cause of cast metal posts.

Perhaps but you must know that this is empirical evidence and cannot at all be presented as statistically significant. You need a controlled study with no sample error to show this.

How do you know that if you had simply restored the tooth with a composite or amalgam and placed a crown over this the would not have lasted just as long or even longer? (assuming that all these patients are not dead yet!)

> > "Si chaque confrère envoi une brosse à dent, crois moi ca les fera réfléchir."
>


--
"Si chaque confrère envoi une brosse à dent, crois moi ca les fera réfléchir."


Capture d  cran 2015 03 12 12.28 - Eugenol
chicot29

31/05/2015 à 18h11

The HAS recommends to use thrifty techniques in dental tissues. The Social Security pays off exactly the opposite. That is not a coincidence, it is to stick the practitioners who let go themselves in the opportunities repayment. The purpose of this insurer in monopoly position is to pay off the least possible and to charge both patients and dentists.


carident

31/05/2015 à 22h07

@Le Rosbif

I think this reading is more complete and more accurate than the one you posted above.

http://www.endoexperience.com/documents/prosthodonticmanagementofendodonticallytreatedteeth.pdf

I don't agree with this :
"Remember, the post is there to hold the core, if the core can stay in by itself, you don't need a post."

=> I'll try to answer when i have more time...

For understanding stress distribution...

http://www.hindawi.com/journals/isrn/2011/102329/


Marque a3 orange fyvhyq - Eugenol
Marc Apap

31/05/2015 à 22h33

Ce n'est pas parce qu'il y a du rosbif au menu qu'il faut se croire obligé d'écrire tout en anglais. Perso, je préfère le poisson, et pas forcément du haddock.
Blague à part, c'est un peu gonflant ce nouveau snobisme anti inlay-core. Quand j'étais assistant à la fac, c'était exactement le contraire : snobisme anti restauration coronoradiculaire directe.
En gros, l'inlay-core est la solution qui peut prolonger la vie d'une dent lorsque aucune des autres n'est raisonnablement envisageable.
En faire dans d'autres circonstances peut être criminel, excessif, ou tout ce qu'on voudra, nous avons tous compris ici que ce n'est pas le propos.
Nous savons par ailleurs qu'il n'est pas une panacée, mais que la vraie vie nous impose parfois des choix qui ne sont pas idéaux : une restauration en composite lorsque la dent est délabrée jusqu'au voisinage de la gencive sera probablement moins étanche qu'une restauration métallique scellée avec un bon CVIMAR (RMGI pour les anglophones).
Par ailleurs, beaucoup de patients ne peuvent ou ne veulent pas se payer un implant à la place d'une dent au pronostic réservé.
Si les choses étaient aussi simples, tout le monde roulerait dans une voiture neuve haut de gamme et ne rechignerait pas à remplacer son véhicule au bout de deux ou trois ans.


Capture d  cran 2015 03 12 12.28 - Eugenol
chicot29

31/05/2015 à 23h49

Les autres solutions de restauration d'une dent ( onlays, reconstitutions corono radiculaires directe) étant nettement moins remboursées j'en conclus que l'inlay core est plébiscité par la sécu et les mutuelles.
Je ne peux pas croire que ces assurances santé soient vicieuses au point de laisser leurs assurés payer de leur poche les solutions les plus indiquées mais les moins remboursées. -)))))))


6szjws718sv1jksw54v4mpj3a6cu - Eugenol
vulpi

13/06/2015 à 17h23

à faire tenir la prothèse.

Dscf0823  2  pq4ssc - Eugenol

1...56