Cookie Consent byPrivacyPolicies.comRetraitement ou pas? - Eugenol

Retraitement ou pas?

dentos2

09/06/2015 à 14h41

Bonjour,

FAites-vous systématiquement un RTE avant une couronne ou pas?
Mon exemple, patiente qui a une CIV depuis trente ans et dont la céramique a sauté. Le traitement ne va pas au bout et n'est pas très dense mais pas de symptomatologie ni d'image apicale. Alors, RTE ou pas?


Bagheera tudzjy - Eugenol
bagheerra

09/06/2015 à 14h51

Tu auras un peu tous les avis, entre ceux qui ne touchent pas quand tout va bien et ceux qui refont systématiquement.
Dans tous les cas, il faut évaluer le rapport bénéfice/risque d'un retraitement et obtenir le consentement éclairé du patient.
Dans le cas dont tu parles, oui, je reprendrai le traitement, à moins d'un obstacle du genre inlay-core conservable bien étanche avec tenon très long, dont la dépose est risquée.


voorzitterst

09/06/2015 à 14h57

Si:
-pas de douleur,
-pas d'image apicale,
-gutta dure,
-traitement à moins de 2 mm de l'apex radiologique et
-les entrées canalaires n'ont pas trainées dans la salive pendant des semaines,
je n'y touche pas.


G-P

10/06/2015 à 00h10

Si la couronne a vraiment trente ans, un RTE dans de la pate canalaire toute molle ca va pas te prendre 150 ans non plus et tu dormiras sur tes deux oreilles.


dentos2

10/06/2015 à 00h16

C'est fait!


Capture d  cran 2015 03 12 12.28 - Eugenol
chicot29

10/06/2015 à 18h14

RTE ! -))) Et IC coiffes dans la foulée non mais ! On peut meme se payer le luxe d' etre pulpo conscient et résister à dégainer le R25 en faisant un petit compo offert dans la foulée ! ( 24)
Ca manque un peu d'illustration ce post ! Investissez dans une caméra bordel ! et montrez votre savoir faire-))))

Endo de merde rime avec SC 33 de merde, endo de qualité rime avec inlay core, ca vous étonne ? Dur dur de gagner sa vie avec des soins opposables en les faisant correctement, hein ?-))))

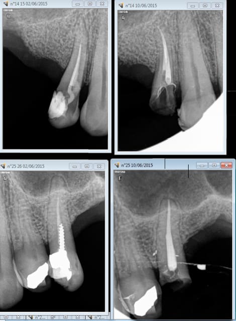
14 était fracturée initialement,, motif de la consult.

Capture d e cran 2015 06 10 16.05 - Eugenol
Capture d e cran 2015 06 10 16.12 - Eugenol
Capture d e cran 2015 06 10 16.34 - Eugenol

Capture d  cran 2015 03 12 12.28 - Eugenol
chicot29

10/06/2015 à 18h28

Alors RTE ou pas RTE ( meme patient) ? Pas trop mal cette endo, on est jamais à l'abri d'un coup de bol ! -))))

Capture d e cran 2015 06 10 16.25 - Eugenol

G-P

10/06/2015 à 19h51

extraction


jeff13

10/06/2015 à 21h31

"Si la couronne a vraiment trente ans, un RTE dans de la pate canalaire toute molle"

les rte les plus merdiques, ce sont justement les plus vieux. Je sais pas avec quoi il obturait à l'epoque, mais c'est du beton impenetrable.


levm

10/06/2015 à 22h02

Chicot29 , tu utilises un bistouri electrique pour faire le méchoui de gencive ?


Img 9301 q0yyqn - Eugenol
Art-dent

10/06/2015 à 23h40

Dans des cas comme le tiens, tout dépend de ce que tu vas trouver sous l'ancienne couronne en la déposant :
Si IC avec une dent saine, pas d'infiltration, tu peux te contenter de refaire la couronne sans tout déposer ni retraiter.
Si tu rentres à nouveau au niveau radiculaire, il faut reprendre car tu perturbes l'équilibre bactérien et comme le traitement endodontique n'est certainement pas étanche vu son âge, il y a de grande chance que ça se passe mal

--


Capture d  cran 2015 03 12 12.28 - Eugenol
chicot29

11/06/2015 à 02h19

levm écrivait:
--------------
> Chicot29 , tu utilises un bistouri electrique pour faire le méchoui de gencive ?

La prothèse c'est pas mon truc. Mais dans le temps imparti pour faire le tt de A à Z l'expérience montre qu'il faut en consacrer le plus pour l'endo. -))))


Jack 2 wm3tqs - Eugenol
trepo

11/06/2015 à 13h38

G-P écrivait:
-------------
> extraction

Pour le dernier cas ?
Tu as des actions chez Casto ? :)


G-P

11/06/2015 à 14h44

trepo écrivait:
---------------
> G-P écrivait:
> -------------
> > extraction
>
> Pour le dernier cas ?
> Tu as des actions chez Casto ? :)

Non mais c'est pas bête je vais en prendre. Les français veulent tout faire eux même pour rien payer.