Cookie Consent byPrivacyPolicies.comconduite à tenir? - Eugenol
S2y2o1v7q53ws4r5wy6ou8czrpom - Eugenol
pxav

16/02/2016 à 10h02

vous êtes vraiment torturés de l’esprit, j'ai dis simple, donc c'est simple.
réponse : "bientôt peut être"....si ça marche.

--
xbk
"Si tous ceux qui croient avoir raison n'avaient pas tort, la vérité ne serait pas loin" Dac Pierre


Orezza gazeuse verre litre ocoxey - Eugenol
casa

16/02/2016 à 10h08

Je rebondis sur les solutions en mousse ; une patiente , hier , à qui je dois poser une couronne me sort : le dentiste d'une copine avait dit , après la pose d'une couronne , qu'il ne fallait pas manger ni trop chaud , ni trop froid !! Elle s'interrogeait donc sur le caractère "volatile" de l'objet :ça fond , docteur ?
C'est toi le fameux dentiste pxav ?


Orezza gazeuse verre litre ocoxey - Eugenol
casa

16/02/2016 à 10h12

Sinon , je pense que tu as laissé une sacrée marge entre la couronne et l'implant .... c'est tout comme dessous c'est inerte ... .


S2y2o1v7q53ws4r5wy6ou8czrpom - Eugenol
pxav

16/02/2016 à 10h24


alors là, pas du tout tout le monde est scellé pareil, pas de mousse ou d’espace...

--
xbk
"Si tous ceux qui croient avoir raison n'avaient pas tort, la vérité ne serait pas loin" Dac Pierre


Generique fraisage r2rxmm - Eugenol
lardonbis

16/02/2016 à 11h08

tu as inventé une nouvelle fibro-intégration ?
la patiente est tellement ostéoporosée que l'os amorti et ses jambes gondolent?
photoshop!! l'implant n'est pas solidaire du reste ?


Photo pluton1b h9n4ea - Eugenol
pluton

16/02/2016 à 11h08

pxav écrivait:
--------------
>
> tu veux dire un truc genre IMZ dans les années 90?
> Ben non, il faut vivre avec son temps pluton, du 2.0...:-))

non, pas un truc des années 90...et oui du 2.0 pourquoi pas...
scan du pilier titane, armature semi-rigide intermédiaire (voilà pourquoi je parlais de peek) collée sur le pilier titane un peu comme les chapes or montrées il y a quelques années par Noah...mais en peek ou similaire...non?


Vw campersurfvan bmnk1q - Eugenol
enlaye

16/02/2016 à 11h24

j'ai trouvé ,
tu n'as rien fait :-)))))juste un bridge , point barre :-))
quoi , ç est pas le plus simple ça ?


S2y2o1v7q53ws4r5wy6ou8czrpom - Eugenol
pxav

16/02/2016 à 11h44

yes!!!! et bien non pas vraiment...

mdr

--
xbk
"Si tous ceux qui croient avoir raison n'avaient pas tort, la vérité ne serait pas loin" Dac Pierre


Vw campersurfvan bmnk1q - Eugenol
enlaye

16/02/2016 à 13h50

locator ? à ce point tu serais jobard ? non !
ou pas de scellement dans la couronne de l'implant ? et un flacon de febreze dans la poche :-)) non plus !


Photo pluton1b h9n4ea - Eugenol
pluton

16/02/2016 à 15h41

veut pas me répondre pxav...c'est que je dois être proche de la solution...
ti base avec pilier anatomique peek ou similaire collé?


Vw campersurfvan bmnk1q - Eugenol
enlaye

16/02/2016 à 15h45

pluton écrivait:
----------------
" veut pas me répondre pxav...c'est que je dois être proche de la solution...
ti base avec pilier anatomique peek ou similaire collé?"

ça ressemble à quoi ,ton truc ,pluton ? un silentbloc ?


Photo pluton1b h9n4ea - Eugenol
pluton

16/02/2016 à 16h51

çà ressemble à çà

http://www.generation-implant.com/uploads/actualites/documents/93_FicheThematique_V2.pdf

sauf qu'au lieu de faire un pilier anatomique en zircone collé tu peux aussi faire avec un matériau composite comme le peek qui a une certaine souplesse...pas inutile dans ce cas de figure...non?

le top aurait été d'avoir un pilier comme celui là...;-)

http://www.megagenids.com/sw/swchannel/CustomerCenter/documents/10957/28023/04FuseAbutment-singlepageformat.pdf

là au moins, si problème le pilier se déclipse de la base titane sans risque de casse dans l'implant...;-)


S2y2o1v7q53ws4r5wy6ou8czrpom - Eugenol
pxav

16/02/2016 à 17h30


absolument pas , tout faux pluton


--
xbk
"Si tous ceux qui croient avoir raison n'avaient pas tort, la vérité ne serait pas loin" Dac Pierre


Generique fraisage r2rxmm - Eugenol
lardonbis

22/02/2016 à 17h19

Crache le morcif bordel!! j'y ai encore pensé sous la douche ce matin, j'ai mieux a faire quand même !
j'en peux plus de ton teasing interminable!!


Vw campersurfvan bmnk1q - Eugenol
enlaye

22/02/2016 à 17h36

ahhrggg , tu peux te faire des bains de pieds et des cafés au lait le matin , qu'il te diras rien le lascar :-))))


S2y2o1v7q53ws4r5wy6ou8czrpom - Eugenol
pxav

22/02/2016 à 21h26

si je dirais tout mais quand je saurais si ça marche.....dans 10 ans :-))

--
xbk
"Si tous ceux qui croient avoir raison n'avaient pas tort, la vérité ne serait pas loin" Dac Pierre


Vw campersurfvan bmnk1q - Eugenol
enlaye

22/02/2016 à 21h45

Tu attends que Patrick Bruel t appelle ?


S2y2o1v7q53ws4r5wy6ou8czrpom - Eugenol
pxav

25/02/2016 à 12h24

Enlaye, j'ai fait un contrôle avec papier rouge (épais)
ton avis?
Photo 1 dents serrées occlusion sans glissement
Photo 2 le bas après papier rouge
Photo 3 le haut après papier rouge
Photo 4 le bas après retouche et papier rouge
Photo 5 le haut après retouche et papier rouge

Photo 6 latéralité gauche
Photo 7 latéralité droite

La sensation de "rigidité" pour le maxillaire sup s’estompe, la patiente s'approprie ses nouvelles prothèses.

le petit "truc" concernant l'implant semble fonctionner...à merveille.
--
xbk
"Si tous ceux qui croient avoir raison n'avaient pas tort, la vérité ne serait pas loin" Dac Pierre

Img 3597 yncskw - Eugenol
Img 3598 gudmoe - Eugenol
Img 3599 bygatb - Eugenol
Img 3603 qrpygh - Eugenol
Img 3611 dap2un - Eugenol
Img 3612 sgvlzi - Eugenol

Vw campersurfvan bmnk1q - Eugenol
enlaye

25/02/2016 à 13h24

je n'arrive pas bien à tout voir ,pcq ç est assez noir .:-)
mais rien que la photo 1 de l'exterieur , cela semble plus doux comme fermeture .
et aussi , les levres me semblent plus détendues , et si ç est ça ç est tres bon signe .

quand tu dis que sa sensation s'estompe ç est bon signe aussi mais , j'aurais ete plus content si tu me disais qu'elle te dise instantanement apres l'equilibration :
" tiens ,ç est drole ! ,je ne sens plus rien ! "


S2y2o1v7q53ws4r5wy6ou8czrpom - Eugenol
pxav

25/02/2016 à 13h44

je te parle de ce qu'elle ressent chez elle, au cabinet elle trouve que c'est nickel.
je la revoie dans 1 mois, c'est que je pense que ça va.

--
xbk
"Si tous ceux qui croient avoir raison n'avaient pas tort, la vérité ne serait pas loin" Dac Pierre


S2y2o1v7q53ws4r5wy6ou8czrpom - Eugenol
pxav

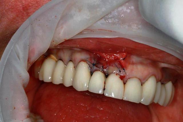
08/04/2016 à 15h05

zut, zut, zut...petit soucis ce matin abcès sur 12, j'ouvre et la racine est fendue, donc résection, curetage soigneux éponges de gelatemp et sutures.
Prévision de greffe future, à suivre...


--
xbk
"Si tous ceux qui croient avoir raison n'avaient pas tort, la vérité ne serait pas loin" Dac Pierre

Img 3855 wpsmpq - Eugenol
Img 3856 bdrcjd - Eugenol
Img 3857 zgbcyd - Eugenol

Vw campersurfvan bmnk1q - Eugenol
enlaye

08/04/2016 à 16h46

ha ,merde !
la fente ne va pas jusqu'au collet ?


l adan

08/04/2016 à 17h03

Merci de nous faire partager ce cas avec ses hauts et ses bas ...
Penses tu que la fracture préexistait et sinon qu'est ce qui a pu la provoquer selon toi ?


Vw campersurfvan bmnk1q - Eugenol
enlaye

08/04/2016 à 21h29

l adan écrivait:
----------------
" qui a pu la provoquer selon toi ? "


ç est Enlaystradamus qui lui a porté le noir .


S2y2o1v7q53ws4r5wy6ou8czrpom - Eugenol
pxav

08/04/2016 à 21h38

enlaye écrivait:
----------------
> ha ,merde !
> la fente ne va pas jusqu'au collet ?

si fendue de haut en bas...
--
xbk
"Si tous ceux qui croient avoir raison n'avaient pas tort, la vérité ne serait pas loin" Dac Pierre


1...111213