Cookie Consent byPrivacyPolicies.comconduite à tenir? - Eugenol
Utilisateur banni

23/06/2015 à 01h30

Perte du volume osseux 2,5 mm. Aurait-il conservé son capital osseux avec une MCI ? C’est exactement ce qui aurait évité des dents trop longues et le cortège d’artifice à gérer.
En espérant te donner des informations pour ta réflexion.


Utilisateur banni

23/06/2015 à 01h40

pxav écrivait:
--------------
> posit écrivait:
> ---------------
>
> >
> > Le maxillaire inférieur est prévu pour septembre, il le voulait pour le mois
> de
> > juillet mais impossible de le rentrer dans le planning.
>
> ça n’empêche pas un détartrage avant la chir.
> --
> xbk
> "Si tous ceux qui croient avoir raison n'avaient pas tort, la vérité ne
> serait pas loin" Dac Pierre

Et le patient aurait pu se raser aussi.


Photo pluton1b h9n4ea - Eugenol
pluton

23/06/2015 à 01h50

pxav écrivait:
--------------

> Pour le moment, j'ai ouvert ce post, pour m'aider dans les différents choix
> possible.

c'est justement un avis de ce qui est possible de faire...c'est une solution, pas forcément LA solution

> J'ai trouvé ton cas de 12 implants intéressant Pluton et j'entends bien ce que
> tu me dis, néanmoins je manque de données pour décider comme ça que je vais
> virer toutes les dents et poser un complet en MCI.

c'est ce que posit et moi essayons de compléter...et te montrer les résultats qui sont possibles avec une telle intervention

reste à voir:
- les doléances de ta patiente, bien en discuter avec elle, bien cerner ses désirs/exigences esthétiques
- lui proposer différentes options de ttm avec leurs avantages/inconvénients
- identifier cet implant pour savoir si on peut compter dessus et l'inclure ou non dans le plan de ttm

la question que je me pose: quelle autre option de ttm envisages-tu? ttm paro et bridge complet?

perso je ne m'y risquerais pas, mais peut être que je me trompe...(encore une fois, c'est toi qui as les éléments...pas nous...)


S2y2o1v7q53ws4r5wy6ou8czrpom - Eugenol
pxav

26/06/2015 à 13h56

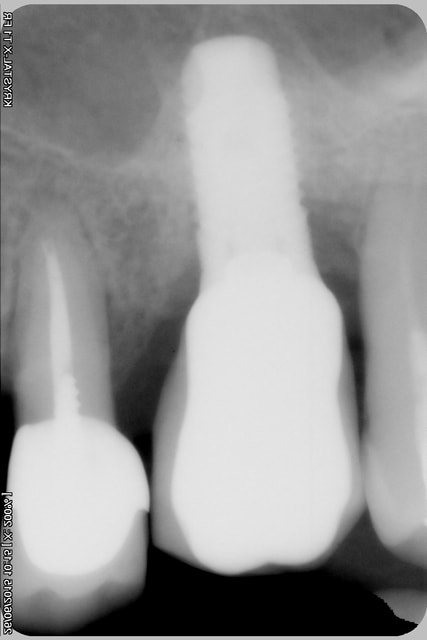
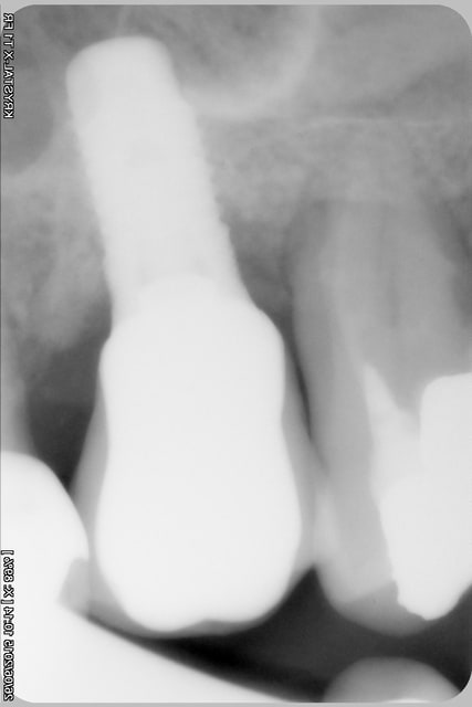
une radio d'implant, pas terrible mais peut être suffisante pour toi Pluton?
Pour le reste, pas génial, j'attends le scanner pour décider de la suite.
--
xbk
"Si tous ceux qui croient avoir raison n'avaient pas tort, la vérité ne serait pas loin" Dac Pierre

006 alda8r - Eugenol
007 bbvcen - Eugenol
Img 2272 uughgg - Eugenol
Img 2273 jg3xcr - Eugenol
Img 2274 hi31nz - Eugenol
Img 2275 rorfm4 - Eugenol

Image r6habu - Eugenol
Thomas Crown

26/06/2015 à 18h56

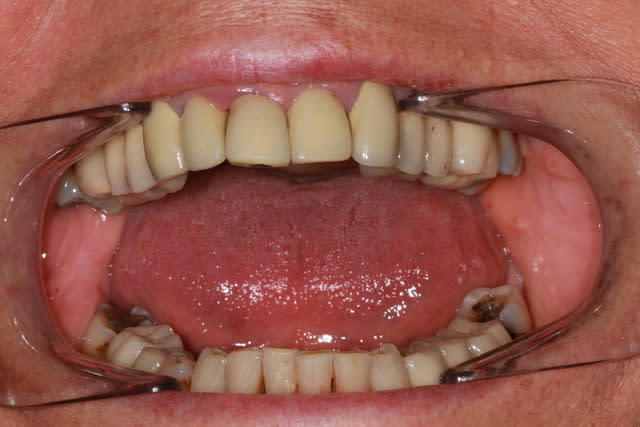
Pourquoi des facettes d'usures si importantes sur les 7? et bord libre 11?
Ttt fixe initial a modifié la DV ? hyper activité masseterine?
Sérieux Pluton, un complet sur 6/8 implants?
Inflammation paro chronique, sites actifs? qu'est ce qui bouge?
perso, ttt paro d assainissement, non chir d abord, gouttière de protection, accord éventuel sinus lift bilatérale, si implants courts impossible, puis 12 mois avec bridge prov renforcé, greffe conjonctif canines ( ou pas si elle s en fout et qu il y a de la GA), puis on voit.
Mais gouttière à long terme.
Ne pas oublier de braquer et remplacer 46, qui est de profundis mal barré..


S2y2o1v7q53ws4r5wy6ou8czrpom - Eugenol
pxav

26/06/2015 à 22h41

raisonnement qui fait parti de mes réflexions, car il me semble bon d'assainir d'abord, mais ce n'est pas simple, car il y a de multiple facteurs interfèrent.
des facettes d'usure, mais pas de signes net de bruxisme, patiente élégante mais solidement bâtie, alors peut être une action des masséters par à coups?
je n'arrive pas trop à définir, DV, RC????
en tout cas, merci de vos diverses participations, je vais bien trouver une solution.
46 c'est prévu, même si il n'est pas simple d'expliquer, "tiens vous avez un pivot qui est dans l'os...en restant confraternel, ce qui est indispensable car nul n'est à l'abri d'une gaffe.

--
xbk
"Si tous ceux qui croient avoir raison n'avaient pas tort, la vérité ne serait pas loin" Dac Pierre


Photo pluton1b h9n4ea - Eugenol
pluton

27/06/2015 à 02h35

pxav écrivait:
--------------
> une radio d'implant, pas terrible mais peut être suffisante pour toi Pluton?

pas terrible en effet....

mais bon, il a quand même une bonne tête de SERF EVL N....

heu...les pièces prothétiques c'est chez Global D maintenant...;-)


Aiguille cyboyt - Eugenol
fatboy

27/06/2015 à 08h10

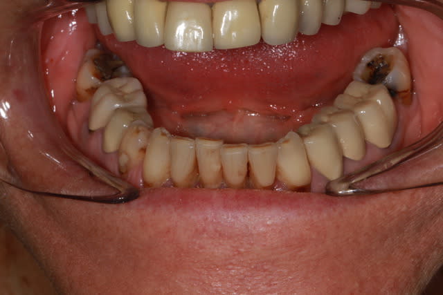
26,27,17,24 m'ont l'air foutues, 11 peut-etre aussi. Mobilites?
Ca en laisse quand meme pas mal qui tiendront plus de 5 ans!
Encore une fois un bilan radio avec les mobilites m'en dirait plus, mais je pencherai plutot pour tt paro ext implant et nouvelles couronnes.
Un petit blanchiement avant la rehabilitation serait pas de trop.
Ah, et 46...


Vw campersurfvan bmnk1q - Eugenol
enlaye

27/06/2015 à 11h18

Hahaha , vous parlez de greffes , d implants , de rog , de patin et de coufin , et vous vous montez la seigue , avec des résultats prophétiques à mourir de rire . Hahaha trop bon .
Un cas comme celui du départ , une restauration totale , ne serait-ce qu' en provisoire bien équilibrée , et on en parle plus . Hahaha .


S2y2o1v7q53ws4r5wy6ou8czrpom - Eugenol
pxav

27/06/2015 à 11h27

enlaye écrivait:
----------------
> Hahaha , vous parlez de greffes , d implants , de rog , de patin et de coufin ,
> et vous vous montez la seigue , avec des résultats prophétiques à mourir de rire
> . Hahaha trop bon .
> Un cas comme celui du départ , une restauration totale , ne serait-ce qu' en
> provisoire bien équilibrée , et on en parle plus . Hahaha .

si c'était aussi simple, je ne me poserai pas de question, pour le moment, je fais le bilan, doucement, mais sans à priori, exemple pour 46, j’essaierai bien de déposer le pivot "mal venu" et de tenter un sauvetage avec biodentine, en étant conscient que l'avulsion est bien sur probable.

--
xbk
"Si tous ceux qui croient avoir raison n'avaient pas tort, la vérité ne serait pas loin" Dac Pierre


Vw campersurfvan bmnk1q - Eugenol
enlaye

27/06/2015 à 11h32

C est un cas facile :
Ambivalence occlusale entre 17 16 et bloc ant. Sup trop serré .
Rien que de déverrouiller l avant , limer l angle proximal mesial de 17 et on en parle plus .
Garanti


S2y2o1v7q53ws4r5wy6ou8czrpom - Eugenol
pxav

27/06/2015 à 11h40

je n'ai pas tes compétences, apparemment, car je ne vois rien de simple.
j'ai mis en rouge toutes les zones très malades, voir suceptibles d’être en fin de vie...

--
xbk
"Si tous ceux qui croient avoir raison n'avaient pas tort, la vérité ne serait pas loin" Dac Pierre

Se si crvhw5 - Eugenol

Vw campersurfvan bmnk1q - Eugenol
enlaye

27/06/2015 à 11h52

Vive l euthanasie :-)))))))))))
J ai eu fait des bridge de restauration totale , il fallait tenir les dents pendant la taille pour ne pas qu' elles partent avec la fraise tellement elles étaient mobiles.
+ de 10 ans apres ils sont tjs là .


S2y2o1v7q53ws4r5wy6ou8czrpom - Eugenol
pxav

27/06/2015 à 11h59

je le fait aussi, mais avant de démonter 10 ceramometal, je m'autorise un temps de réflexion, car ça représente un certain budget pour la patiente, et la moindre des choses est de ne pas trop se tromper.
néanmoins merci de ton avis.
--
xbk
"Si tous ceux qui croient avoir raison n'avaient pas tort, la vérité ne serait pas loin" Dac Pierre


Vw campersurfvan bmnk1q - Eugenol
enlaye

27/06/2015 à 11h59

Tu reconstruits tout en prov ( surtout le haut ) ça te laissera 5 ans pour faire ton bilan :-)))


S2y2o1v7q53ws4r5wy6ou8czrpom - Eugenol
pxav

27/06/2015 à 12h06

je ne pense pas que des provisoires résine, soient sympa pour le parodonte, donc ce serait plutôt provisoires en Emax, avec le problème que l'emax permet de relier les dents par 3, pas plus.

--
xbk
"Si tous ceux qui croient avoir raison n'avaient pas tort, la vérité ne serait pas loin" Dac Pierre


Vw campersurfvan bmnk1q - Eugenol
enlaye

27/06/2015 à 12h13

Y a pas d embrouille , prov résine cuite au labo .
À moins que tu sois vraiment très long à faire ton bilan ........


Utilisateur banni

28/06/2015 à 09h48

Ce que tu proposes enlaye, c’est une contention par un bridge résine. Quel impact auras cette solution sur le volume osseux ?


Photo pluton1b h9n4ea - Eugenol
pluton

28/06/2015 à 11h29

pxav écrivait:
--------------
> je n'ai pas tes compétences, apparemment, car je ne vois rien de simple.
> j'ai mis en rouge toutes les zones très malades, voir suceptibles d’être en fin
> de vie...

il te reste donc 1 canine et 3 incisives, plus l'implant...

à ce stade je ne me pose plus de question...


S2y2o1v7q53ws4r5wy6ou8czrpom - Eugenol
pxav

28/06/2015 à 12h16

pluton écrivait:
----------------

>
> à ce stade je ne me pose plus de question...

Moi si... car je connais les galères de gérer des implants de 20 ou 25 ans en fin de vie...
Mon premier cas "impressionnant", c’était en 89,à Lille, la dépose d'un juxta osseux complet de 30 ans... bonjour les suites.


--
xbk
"Si tous ceux qui croient avoir raison n'avaient pas tort, la vérité ne serait pas loin" Dac Pierre


Vw campersurfvan bmnk1q - Eugenol
enlaye

28/06/2015 à 18h50

posit écrivait:
------------se use. Ce que tu proposes enlaye, c’est une contention par un bridge résine. Quel
> impact auras cette solution sur le volume osseux ?

Je te vois arriver posit :-)))
Tu te dis :
Mekilekon il fait un bridge prov et après quand l os sera fondu , niqué y pourra plus mettre d implant...
Je pourrais meme rajouter , meme si on ne fait pas d implant, le pb est le meme pour une prothese totale :)))
Toute fois dans un cas comme ca , ou l etiologie parait fortement iatrogene , le fait de deposer l eriologie , donc les protheses , ne peut pas faire de mal .
L os etant correctement stimule par un schema occlusal coherent , te sera très reconnaissant .
Il n y aura plus de fonte osseuse voir meme une reconstruction .....


Utilisateur banni

28/06/2015 à 21h35

Pour toi le facteur de dégradation est d’origine occlusal ?

Ps : 25, 26, 27 c’est déjà compliqué de placer des implants, je voudrais juste comprendre ton plan de traitement.


S2y2o1v7q53ws4r5wy6ou8czrpom - Eugenol
pxav

28/06/2015 à 22h15

posit écrivait:
---------------
> Pour toi le facteur de dégradation est d’origine occlusal ?
>
> Ps : 25, 26, 27 c’est déjà compliqué de placer des implants, je voudrais juste comprendre ton plan de traitement.

Pour lui je ne sais pas mais pour moi ça fait partie des pistes évidentes, facettes d'usures, éclats de céramique etc..
pour 25/26/27, pas de quoi se prendre la tête, il est possible de placer des implants, même si il faut se bouger un peu pour ça.
par contre je manque encore de données pour établir le plan de traitement qui sera peut être EII, mais peut être dépose de toutes les prothèses et "provisoire" résine dans un premier temps.

--
xbk
"Si tous ceux qui croient avoir raison n'avaient pas tort, la vérité ne serait pas loin" Dac Pierre


carident

28/06/2015 à 22h17

C'est sûre que quand on voit la différence qu'il y a au niveau du parodonte entre la maxillaire sup. et le maxillaire inf., l'usure de certaines dents, et la mauvaise adaptation de certaines couronnes, on est fortement incité à penser à une cause iatrogène...
Maintenant, est-ce trop tard pour bien faire?


S2y2o1v7q53ws4r5wy6ou8czrpom - Eugenol
pxav

28/06/2015 à 22h30

that is the question...

--
xbk
"Si tous ceux qui croient avoir raison n'avaient pas tort, la vérité ne serait pas loin" Dac Pierre


123...