Cookie Consent byPrivacyPolicies.comconduite à tenir? - Eugenol
S2y2o1v7q53ws4r5wy6ou8czrpom - Eugenol
pxav

11/01/2016 à 21h26

c'est bien possible, oui...:-))

--
xbk
"Si tous ceux qui croient avoir raison n'avaient pas tort, la vérité ne serait pas loin" Dac Pierre


Vw campersurfvan bmnk1q - Eugenol
enlaye

12/01/2016 à 09h33

pxav écrivait:
--------------
" qui n'avance pas recule..."


ben oui , on a bien vu ,depuis le début tu l'as reculée la mamie :-))
certes elle l'etait deja ,mais tu n'as rien recréé ,comme tu le prétends ,dommage .
son oim est tjs en arrière (et à droite ) de sa centrée .


Vw campersurfvan bmnk1q - Eugenol
enlaye

12/01/2016 à 09h53

tu l'as posé quand ?, ce bridge , avoues :-)))


S2y2o1v7q53ws4r5wy6ou8czrpom - Eugenol
pxav

12/01/2016 à 10h48

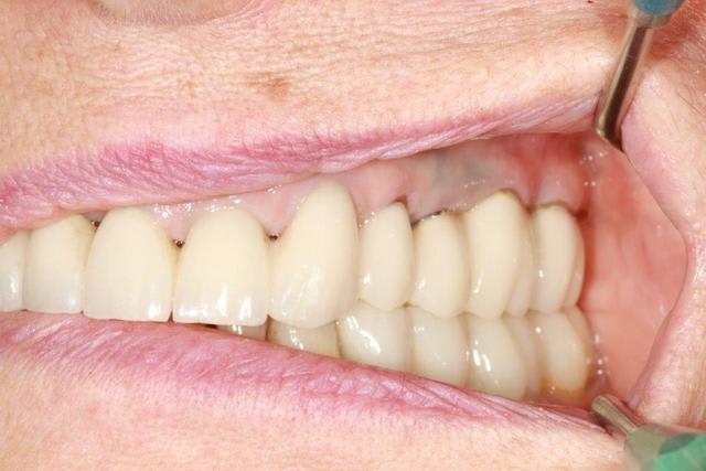
ça vient d’être fait, (semaine dernière), mais ce n'est pas un bridge ceramo métal,mais une attelle métallique recouverte par des Emax.
quand tu dis que je n'ai rien fait bouger, je te laisse libre de ton jugement, car visiblement nous n'avons pas la même opinion des rapports occlusaux et de la cinématique.
Je me base surtout sur mon expérience, qui n'est pas forcement en accord avec les données actuelles, mais en principe les résultats sont correcte. (j'ai eu une grosse gamelle il y a une dizaine d'années, avec une prothèse sur implant, mais sinon pas de gros soucis.
Qui vivra verra...
--
xbk
"Si tous ceux qui croient avoir raison n'avaient pas tort, la vérité ne serait pas loin" Dac Pierre


Vw campersurfvan bmnk1q - Eugenol
enlaye

12/01/2016 à 12h35

pxav écrivait:
--------------
" Qui vivra verra..."

:-))) ben ,on a pas besoin de vivre bien longtemps :-))
dans les 3 semaines , on va perdre l'angle distal de 23 et ou mesial de 24
dans les 15 jours qui vont suivre cette petite fracture , on va perdre un gros pan palatin de 16 ou 17

et ce avec une precision de 70 % pour la date
et de 90 % pour la fracture .
à t'a lheure .


Scan10030 ukikhq - Eugenol
vava

12/01/2016 à 13h00

à 100% dans 10 ans il serra à la retraite...


S2y2o1v7q53ws4r5wy6ou8czrpom - Eugenol
pxav

12/01/2016 à 13h06

enlaye écrivait:
----------------
> pxav écrivait:
> --------------
> " Qui vivra verra..."
>
> :-))) ben ,on a pas besoin de vivre bien longtemps :-))
> dans les 3 semaines , on va perdre l'angle distal de 23 et ou mesial de 24
> dans les 15 jours qui vont suivre cette petite fracture , on va perdre un gros
> pan palatin de 16 ou 17
>
> et ce avec une precision de 70 % pour la date
> et de 90 % pour la fracture .
> à t'a lheure .

tu offres quoi si tu as tord?

--
xbk
"Si tous ceux qui croient avoir raison n'avaient pas tort, la vérité ne serait pas loin" Dac Pierre


Vw campersurfvan bmnk1q - Eugenol
enlaye

12/01/2016 à 14h04

pxav écrivait:
--------------
" tu offres quoi si tu as tord? "

si j'ai tord , je te devrais beaucoup , vu le bond que tu me ferais faire en occluso :-))

explication ;
à la page 11 , il y a 3 panos .
soit dit en passant chapeau bas pour la qualité de tes ttt ,bravo !!
donc il y a 3 panos et à des dates différentes .
si on en avait qu'une , on aurait pu dire :" tiens , il a mordu le bitonio de travers et les 2 atm ne sont pas centrées"
Mais sur les 3 on voit le meme decalage .
en fait , elles sont parfaitement centrées .
ç est simplement le condyle gauche qui est raboté en interne et mesial . d'où cet espace plus important entre la tete condylienne et l'eminence temporale .
Ce qui veut dire qu'en fonctionnel l'ATM gauche frottait trop donc que la mand etait trop deviée vers la droite .
On aurait pu s'en douter vu qu'il manque la 22 et qu'il n'y a pas d'espace .

Or , les protheses , etaient unitaires de souvenir , enfin pas un bridge complet ,en tout cas .
la femme cherchait de l'espace , elle en a trouvé en mobilisant ses dents .
avec le meme schema , mais tout solidarisé ,elle va te monter tres vite comment aurait du etre son confort .
tu t'entendais bien avec Brigitte ?


S2y2o1v7q53ws4r5wy6ou8czrpom - Eugenol
pxav

12/01/2016 à 14h13

enlaye écrivait:
----------------

> tu t'entendais bien avec Brigitte ?

pas de soucis, de toutes façons, je suis le poseur donc j'assume entièrement la responsabilité d'un échec éventuel, par contre je partage les succès, si il y en a.

quel que soit le résultat, nous aurons tous appris quelque chose, car les échanges sont intéressants et sympatriques dans l'ensemble, même si les opinions divergent.


--
xbk
"Si tous ceux qui croient avoir raison n'avaient pas tort, la vérité ne serait pas loin" Dac Pierre


levm

13/01/2016 à 17h52

pxav écrivait:
--------------
> qui n'avance pas recule...
>
> --
> xbk
> "Si tous ceux qui croient avoir raison n'avaient pas tort, la vérité ne
> serait pas loin" Dac Pierre

Hello, pour ton cas , j'aurais fait une gingivectomie sur 12,11,21.
J aurais racourci légerement la 12 et pour la 23 ,j'aurais atténue sa morpho.
Beau boulot sinon.


S2y2o1v7q53ws4r5wy6ou8czrpom - Eugenol
pxav

13/01/2016 à 21h57

ouf , un qui trouve ça bien...
c'est posé, mais pas forcément fini, à suivre...

--
xbk
"Si tous ceux qui croient avoir raison n'avaient pas tort, la vérité ne serait pas loin" Dac Pierre


levm

14/01/2016 à 00h57

C est ce que j'aurais fait .
La critique est facile , l'art est difficile.
Dslé , je suis pas un pro des retouches photos , je n'aurais pu pas faire conférencier ;)

Capture d  cran 2016 01 13   23.41 - Eugenol

S2y2o1v7q53ws4r5wy6ou8czrpom - Eugenol
pxav

14/01/2016 à 09h12

en général, je suis d'accord pour le maquillage de la canine en latérale, mais dans ce cas, l'addition des problèmes (latéro-déviation, perte du "milieu", condyle etc...)et l'absence de demande de la patiente,m'ont conduit à ne rien changer pour la latérale.
Par contre je le redis cas non terminé, donc à suivre.
Surtout que comme il va y avoir de la casse dans les jours à venir....:-))

--
xbk
"Si tous ceux qui croient avoir raison n'avaient pas tort, la vérité ne serait pas loin" Dac Pierre


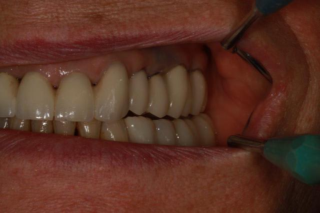
S2y2o1v7q53ws4r5wy6ou8czrpom - Eugenol
pxav

14/01/2016 à 19h02

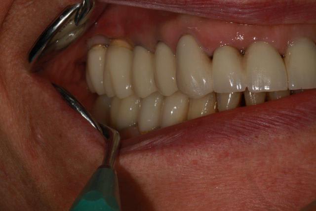
petit contrôle à 8 jours, vérification occlusion et latéralité (désocclusion canine.
très légère retouche esthétique (latérale, centrale et canine)
et élimination d'un petit résidu de ciment sur 27 (1mm2)
--
xbk
"Si tous ceux qui croient avoir raison n'avaient pas tort, la vérité ne serait pas loin" Dac Pierre

Img 3453 uu8med - Eugenol
Img 3454 tzxkr8 - Eugenol
Img 3455 iyzolo - Eugenol
Img 3459 ihkzdv - Eugenol
Img 3460 ycvnax - Eugenol
Img 3456 rwkgwi - Eugenol
Img 3458 bsuyjp - Eugenol

Vw campersurfvan bmnk1q - Eugenol
enlaye

14/01/2016 à 19h33

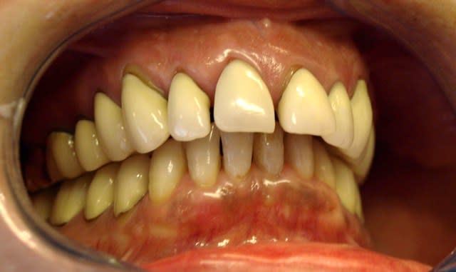
je prefere le coté droit au coté gauche ,au niveau des 6 et 7 .
tu me crois si je te demande de gratter un poil la pointe des cuspides de 26 et 27 et surtout en en distal de 27 ? et puis un peu 16 et 17 ( surtout 17 )ca mange pas de pain !


S2y2o1v7q53ws4r5wy6ou8czrpom - Eugenol
pxav

14/01/2016 à 19h45

non seulement je te crois (cette fois) mais je l'ai déjà fait,(avec un mini éclat sur la cuspide vestibulaire de 15) pas assez sans doute, mais je préfère retoucher en plusieurs fois.


--
xbk
"Si tous ceux qui croient avoir raison n'avaient pas tort, la vérité ne serait pas loin" Dac Pierre


Vw campersurfvan bmnk1q - Eugenol
enlaye

14/01/2016 à 19h52

tu vois , dans le cas de la photo :
il n'ya pas un fort calage lateral dans les trajets de fermeture sur 14+15 .du coup j'ai laissé un leger jeu sur la canine .
par contre si j'avais eu un calage fort sur 14+15 , j'aurais du surforcer au niveau canine .parce que le support desmondontal de la canine est supposé etre meilleur et supposé sur guider les pm.
donc dans ton cas , la 16 etant un implant avec un fort calage lateral , il te faudrait un super- super guide canin pour compenser . or le support paro de ta patient n'etant pas capable de le supporter , ne serait il pas plus simple de donner de l'aisance à l'arriere ?

P9165804 mljwnl - Eugenol

Vw campersurfvan bmnk1q - Eugenol
enlaye

14/01/2016 à 20h00

alors qu'avant ,elle etait bloquée à droite ( un coup de brigitte ? ), et elle avait decompensé a gauche . tu vois les pointes 25+26 etc ?
le fait d'avoir diminué le recouvrement a droite , a permis d'augmenter l'engrènement à gauche ( ça se voit bien sur la photo du cas fini )

Avant dwc6du - Eugenol

Vw campersurfvan bmnk1q - Eugenol
enlaye

14/01/2016 à 20h08

moralité les occlusions inverses ou en bout à bout ç est la merde . de moins en moins j'essaye de corriger en surguidant .
sais pas si je me suis fait comprendre .


S2y2o1v7q53ws4r5wy6ou8czrpom - Eugenol
pxav

14/01/2016 à 20h10

Pour le moment, disons que nous sommes dans la phase critique, , d'après mon analyse (basique), la patiente "jouait" avec ses dents, et la mobilité des postérieures n'était pas ressentie.
Le problème paro n'était pas son soucis non plus, car pas consciente (comme souvent).
L'option que j'ai choisie, armature métal (contention) et Emax (parodonte et réparation / changement d'élément cassé facile, contrairement aux céramo-métal, a comme inconvénient de l’empêcher de "jouer" avec ses dents, ce qui bien évidement va générer soit un nouvel équilibre (bienfaiteur)soit un mini cataclysme (qui te donnera raison) car elle risque de ne pas supporter que l'on l’empêche de "jouer" et elle forcera jusqu'à la rupture.
Tout ceci inconsciemment, bien sur.

C'est une des raisons pour laquelle je poste le suivi en photos, même si ce n'est pas hyper intéressant, je pense que pour ce cas, il est important de tout montrer.

l'autre raison, c'est bien sur qu'il faut que je nourrisse mon égo..:-))
--
xbk
"Si tous ceux qui croient avoir raison n'avaient pas tort, la vérité ne serait pas loin" Dac Pierre


Vw campersurfvan bmnk1q - Eugenol
enlaye

14/01/2016 à 20h13

pxav écrivait:
--------------
"d'après mon analyse (basique), la patiente "jouait" avec ses dents, et la mobilité des postérieures n'était pas ressentie."

oui les femmes sont souvent plus joueuses que ce que l'on croit :-))))


Vw campersurfvan bmnk1q - Eugenol
enlaye

15/01/2016 à 03h12

pxav écrivait:
--------------

"....... évidement va générer soit un nouvel équilibre (bienfaiteur)soit un mini cataclysme (qui te donnera raison) "

ni l'un ni l'autre dans un premier temps.
mais elle va tout faire pour potentialiser tous les bons soins que tu as pu prodigué pour elle .paradoxalement les personnes agées sont tres adaptatives ne serait ce que par leur comportement .si d'aventure tu auras des fractures de ceram ( et tu en auras )elle ne t'en voudra pas parce qu'elle aura gardé ses dents grace à toi .
( et à mes réglages :-))))))))) )


Vw campersurfvan bmnk1q - Eugenol
enlaye

19/01/2016 à 01h04

Pxav ,j'ai revu un cas aujourd'hui , et j'ai pensé à toi .

2007
classe 2
tout bouge , gros dégâts paro , il ne reste qu'un quart ( dans le meilleur des cas ) des racines dans l'os ,
recouvrements classiques « qui vont bien »
bruxomane , dépressive , bien à la masse .

Le ttt classique en ortho ç est de tout rentrer en essayant de retrouver la protection canine
le ttt classique en prothèse , ç est de retrouver la protection canine ,et même des protections et encore des protections .
Au final ,cette femme ,à force d'avoir été protégée , grâce à l'ortho et à la prothèse :
il faut lui enlever les 4 pm , ce qui ne plaît pas trop à son protecteur !
le deal est simple :
«  faut aller vite , pas de paro , pas d'implanto , enfin rien ,le moins possible , je passe mon temps au parloir ,,,, »
je traduis : question règlement , ç est open bar ,ç est oui ou c est non ,mais si ç est oui , faut pas s' rater ,,,,a moins d'aimer les pieds dans le béton par grand fond :-)))
Bon , j'ai dit oui ,j'sais pas pourquoi , mais j'ai dit oui .:-)))

Initial1 oxolbp - Eugenol
Initial2 d3ssiy - Eugenol

Vw campersurfvan bmnk1q - Eugenol
enlaye

19/01/2016 à 01h32

Donc , ,il y a des diastemes qui se sont crées, les dents bougent grave
le parodonte est très fragile et moi je suis fébrile:-))
Idée : si les dents ne tiennent pas , on va faire comme en prothèse totale , une sorte d'occlusion balancée , et pour amortir le système , un gros décalage OIM ORC .
En espérant que ce décalage ou plutôt ce dérapage absorbe l’énergie cinétique de la mandibule avant d'aller frapper le bloc ant du haut .Ah ben oui ,la madame , n'aime pas les diastemes , sinon ç est pas drôle , et faut plus que ça bouge !
Plan de ttt :
2 bridges canines / molaires sur les cotés+unitaires pour devant
bon ,on est pas là pour causer prothèse mais occluso , mais ce sont des @max scellées ( et non pas collées ,on se chie pas ) + bridge zircon ,comme ça ç est dit ,on en parlera plus:-))


Vw campersurfvan bmnk1q - Eugenol
enlaye

19/01/2016 à 01h46

2016 tout a l'heure
1 mince ,il y a une petite récession sur la 23 mais ça ira .
2 les dents ne bougent plus ( fallait les tenir pour les tailler )
3 l'absence de recouvrement latéral a été bénéfique
4 une nouvelle oim plus en avant s' est recrée
5 le décalage centrée oim est tjs là
6 aucun diastème n'est réapparu
7 aucune fracture

t'en dis quoi pxav ? y a rien là ?

Sourire 2015 cwzsai - Eugenol
18.01 - Eugenol
18.01 - Eugenol
18.01 - Eugenol

1...8910...