Tous les forums
Comment gerez vous ce genre de chose
04/07/2015 à 13h12
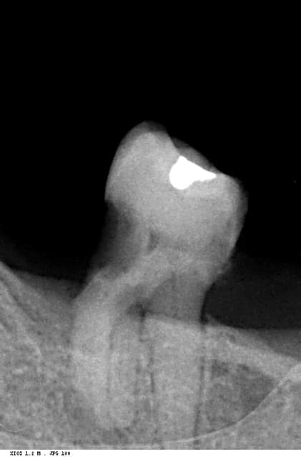
Hier, extration de prevue sur cette 37 sur ce patient de 60 ans. Bien sur, la racine distale s'est petée lors de la mobilisation. Impossible d'aller la recuperer. J'ai essayé de fraiser autour pour avoir une accroche au bernard et elevateur en tout genre mais pas moyen. J'ai pas insisté,, ne voulant pas fraiser l'os pendant 15 km mais ca commence à m'embeter ce genre de situation. vous avez des astuces? Merci
04/07/2015 à 13h22
une radio per opératoire.
Elle n’élèvera pas la racine, mais permet d'y voir plus clair pour la suite.
Edit : Ce n'est pas une demande, mais mon conseil.
04/07/2015 à 13h57
Plantes un gros screw-post en laiton dans la racine, visse le bien, scelle le au CVI si il faut. Puis avec un rouleau salivaire qui te servira de point d'appuis tire dessus avec une pince-gouge en faisant levier.
Dans la mesure ou le ligament est nettement visible à la Rx, ça ne devrait pas poser de problème.
04/07/2015 à 23h01
oui radio pas top (patient obese avec plancher bien haut). Mais je vois pas ce que peut nous apporter l'apex mesial vu que j'ai reussi a sortir cette racine mesiale
05/07/2015 à 01h06
Justement je vois le mésial ou ce qui semble l'être à gauche de l'image et pas le distal à droite de mon point de vue au regard du sens de courbure des racines.
05/07/2015 à 03h06
Racine droite avec un ligament visible, c'est étonnant que bien détourée à la fraise (mais alors bien bien détourée ce qui n'est pas facile sur une 7 du bas + patient obèse) elle ne soit pas sortie avec un syndesmotome faucille bien pointu qui fait levier vers le haut.
Laisse-la bien où elle est, tu la sortiras tranquillement dans quelque temps.
Ces racines invincibles qui ont défié le dentiste à la première intervention s'enlèvent sans histoires après quelques mois, voire quelques années.
C'est toujours vexant mais il ne faut pas en faire une histoire.
05/07/2015 à 11h06
racine a gauche=racine distale=racine qui est resté dans l'os. Ca s'est cassé du à la carie
racine a droite de l'image=racine mesiale=celle qui est venue avec le davier
On devine la branche montante a gauche de l'image.
Pour le detourage, je ne l'ai trop fait. J'avais du mal a voir. Je fait jamais de lambeau, je prefere encore laisser un apex que me taper des douleurs post operatoires pendant des semaines et revoir le patient tous le sjours
05/07/2015 à 11h20
racine gauche, je ne vois pas de ligament, alors qu'il devrait être très large.
Le ciment peut à certains endroits être soudé à l'os.
Avant même de commencer, je sais à 90% que ce morceau restera en place.
Jeune, j'ai viré les dents ankylosées à la fraise.. tout est soudé..faut tout meuler petit à petit .. long et ingrat et douleurs en post op.
05/07/2015 à 11h50
Perso, je vois deux racines en distal... Une séparation des deux et un ptit coup de fraise (zekrya chir ou autre) en distal aurait sans doute permis de les extraire plus facilement.
Pareil, je ne fais jamais de lambeau, mais je ne laisse jamais de racine résiduelle (ça m'est arrivé dans mes deux 1ères années d'exercice, mais plus maintenant).
Depuis plusieurs année, je met 1 ou 2 éponges hémostatiques, et je n'ai quasi jamais de suite opératoire douloureuse...
https://www.gacd.fr/article-0282419-gelatamp.html
05/07/2015 à 12h10
"racine gauche, je ne vois pas de ligament, alors qu'il devrait être très large.
Le ciment peut à certains endroits être soudé à l'os.
Avant même de commencer, je sais à 90% que ce morceau restera en place. "
Le ligament, je le vois en mesial de la racine distale mais pas en distale de cette racine. Mais ca doit etre du à l'angle de vu
Sinon ce qui me fait chier, c'est que j'ai l'impression de voir une lesion peri apicale sur cette derniere
05/07/2015 à 12h12
" Une séparation des deux et un ptit coup de fraise (zekrya chir ou autre) en distal aurait sans doute permis de les extraire plus facilement. "
On est d'accord mais pour faire ca, il faut bien voir. Entre le sang, la gencive... tu distingues difficilement l'os de la dent. Il faut des loupes ou je suis un gros naze?
05/07/2015 à 12h16
tictac écrivait:
----------------
> racine a gauche=racine distale=racine qui est resté dans l'os.
Ah OK. Donc nos avis étaient tout à l'envers.
05/07/2015 à 12h19
tictac écrivait:
----------------
> ...
> Sinon ce qui me fait chier, c'est que j'ai l'impression de voir une lesion peri
> apicale sur cette derniere
Laisse cette fichue racine là où elle est et passe à autre chose ;)
05/07/2015 à 12h21
oui quand meme, la racine mesiale, le ligament fait 10 km de large. Je sais que je suis pas doué en chir mais si je suis pas capable de sortir ca, c'est alarmant
Non je parle donc bien de la racine de gauche (distale) qui semble dedoublé et infecté. Ca a cassé direct à la prise au davier lié à l'enorme carie qui l'a surplombe
05/07/2015 à 12h23
"Laisse cette fichue racine là où elle est et passe à autre chose ;)"
Mais je suis passé à autre chose! Ce topic a juste pour but de determiner si vous aviez des astuces pour degager ce genre de racine de maniere generale.
05/07/2015 à 12h31
OK
1 les loupes permettent de distinguer os/racine
2 section de la couronne, puis verticale pour la séparation des racines.
Pas de davier sur ce type de dent: ça casse tout de suite.
3 détourage à la fraise diamantée = fraise de touati
4 mobilisation au syndes faucille (pousser puis piquer puis faire levier)
5 si ça casse en petits morceaux mais que la racine est mobile j'insiste un peu, si ça casse + racine fixe/ankylosée je n'insiste pas longtemps.
Je ne fais jamais de lambeau ni de sutures.
05/07/2015 à 12h55
tictac écrivait:
----------------
> " Une séparation des deux et un ptit coup de fraise (zekrya chir ou autre) en
> distal aurait sans doute permis de les extraire plus facilement. "
>
> On est d'accord mais pour faire ca, il faut bien voir. Entre le sang, la
> gencive... tu distingues difficilement l'os de la dent. Il faut des loupes ou je
> suis un gros naze?
Une assistante qui aspire avec une canule chirurgicale, un bon éclairage (LED si possible), tamponner régulièrement le site avec des compresses, écarquiller les yeux, essayer de "ressentir" une démarcation entre l'os et la racine à l'aide d'un syndesmotome faucille (avec la pointe non abimée) comme le ferait un aveugle avec sa canne...
Je n'ai pas de loupe (mis à part mes lunettes), mais surement que ça doit bien aider.
A part ces conseils de bon sens, il n'y a pas de recette miracle! L'expérience fait que l'on y arrive de mieux en mieux, si on s'en donne la peine.
Pour les instruments, le syndesmotome faucille marche bien dans ces cas là, mais il est parfois utile d'alterner avec un Syndes de Bernard, ou/et avec un élévateur coudé...
05/07/2015 à 13h10
Merci pour vos bons conseils. Quand vous fraisez, vous le faites juste en proximal pour avoir une prise aux elevateurs ou vous le faites tout autour pour avoir moins de contraintes sur la racine?
Vous auriez un lien pour de bonne fraise dans ce genre là car je trouve que le "bout" de mes fraises chir sont pas top
05/07/2015 à 13h13
Pour une 37, l'assistante n'est pas aussi indispensable que ça car elle aspirera du côté de la joue. C'est le côté lingual qui pose problème car il y a la langue qui pousse vers le haut.
La première des choses à faire est d'allonger le plus possible le patient pour qu'il ait le menton qui pointe vers le haut. Ca permet au plancher de la bouche de s'abaisser un peu plus, et à la langue de ne pas pousser vers l'avant.
L'utilisation d'une canule serpentin (hygoformic) correctement placée permet de protéger la langue des coups de fraises. Et alors seulement, on peut détourer l'os à la fraise Zekrya.
Bien évidemment, l'utilisation d'aide optique, mais surtout d'une lumière puissante sur un microscope opératoire aide d'une façon incomparable. Mais quand on n'en a pas, il faut faire avec.
05/07/2015 à 13h16
tictac écrivait:
----------------
> Merci pour vos bons conseils. Quand vous fraisez, vous le faites juste en
> proximal pour avoir une prise aux elevateurs ou vous le faites tout autour pour
> avoir moins de contraintes sur la racine?
> Vous auriez un lien pour de bonne fraise dans ce genre là car je trouve que le
> "bout" de mes fraises chir sont pas top
Fraise Zekrya et contre angle multiplicateur bague rouge (je préfère de très loin les Kavo, à cause de leur angle entre la tête et le corps de 100°). Je fraise tout autour, en me plaçant à 11 h par rapport au patient.
Elevateur de Bernard
05/07/2015 à 13h17
je suis collab. J'ai pas le matos que je veux, encore moins une assistante et un halogene qui eclaire aussi bien bien qu'une lampe de chevet^^
05/07/2015 à 13h20
tictac écrivait:
----------------
> Merci pour vos bons conseils. Quand vous fraisez, vous le faites juste en
> proximal pour avoir une prise aux elevateurs ou vous le faites tout autour pour
> avoir moins de contraintes sur la racine?
C'est en fonction de la racine (partie médiane ou apicale plus ou moins renflée), et de l'épaisseur de l'os (plus ou moins fin et donc potentiellement cassant...).
> Vous auriez un lien pour de bonne fraise dans ce genre là car je trouve que le
> "bout" de mes fraises chir sont pas top
J'utilise celles-ci de chez komet.
http://www.kometdental.de/fileadmin/_migrated/media/410162V1_PI_KF_254E-LE.pdf
Partie travaillante plus petite que la zekrya chir, donc moins de risque de couper la langue...
Surtaillée => moins de vibration.